Click here to close
Hello! We notice that you are using Internet Explorer, which is not supported by Xenbase and may cause the site to display incorrectly.
We suggest using a current version of Chrome,
FireFox, or Safari.
???displayArticle.abstract???
We have previously described the isolation of several genes expressed exclusively in the nervous system of adult Xenopus laevis and activated in the embryo shortly after neural induction. The sequence of one of these cDNAs, 24-15, identifies the corresponding protein as an isotype of the beta subunit of Na+,K(+)-ATPase [ATP phosphohydrolase (Na+/K(+)-transporting); EC 3.6.1.37]. This form is distinct from the previously described beta 1 subunit of Xenopus, and the protein sequence comparison suggests that it is not the frog homolog of the mammalian beta 2 subunit; therefore, we refer to the 24-15 protein as the beta 3 subunit of Na+,K(+)-ATPase of Xenopus. Antisera directed against beta 3-subunit fusion protein detected a protein in adult brain extracts with the size and properties expected for a Na+,K(+)-ATPase beta subunit. In Xenopus the beta 1 and beta 3 subunits are expressed as maternal mRNAs at similar levels; during embryogenesis rapid accumulation of beta 3 mRNA begins at stage 14 (early neurula), and the rapid accumulation of beta 1 mRNA begins at stage 23/24. In situ hybridization of antisense RNA probes to tadpolebrain sections indicates that beta 3 subunit is expressed throughout the developing brain. We suggest that beta 3 is a major Na+,K(+)-ATPase beta subunit present during early nervous system development in the frog.
FIG. 6. In situ hybridization of antisense Na+,K+-ATPase ,B3 subunit mRNA to a sagittal section of tadpolebrain viewed with dark-field optics; anterior is at left, and dorsal is at top.
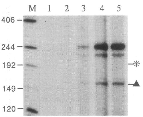
FIG. 2. Primer-extension analysis of (83 mRNA. A labeled antisens6
oligonucleotide (5'-GAGTCCGGCGAGGAATCCAT, nt
195-176 of the cDNA sequence, Where the coding region starts at nt
37) was hybridized to 10 ,ig of RNA and extended with reverse
transcriptase. The extension products were electrophoresed on
urea/6% polyacrylamide gel and exposed to x-ray film. Lanes: 1,
control reaction with only carrier tRNA; 2, kidney RNA; 3, stage 8
RNA; 4, stage 19 RNA; and 5, stage 25 RNA. Migration of molecular
size markers (lane M) is indicated at left. Asterisk and triangle at right
represent locations of the endpoint of cDNA 24-15 and the AUG
initiation codon, respectively.
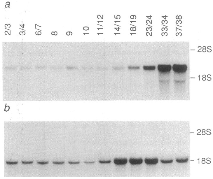
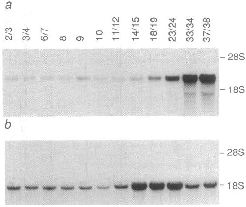
FIG. 3. RNA accumulation of (31 and (3 mRNAs during early
development. Total RNA (10 pAg) isolated from staged embryos was
analyzed by Northern blots probed either with a Xenopus (31 (a) or
(33 (b) coding region probe. The lanes are labeled with the stage, and
migration of 28S and 18S rRNA it indicated at right. Both films were
exposed for 12 hr.
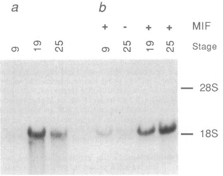
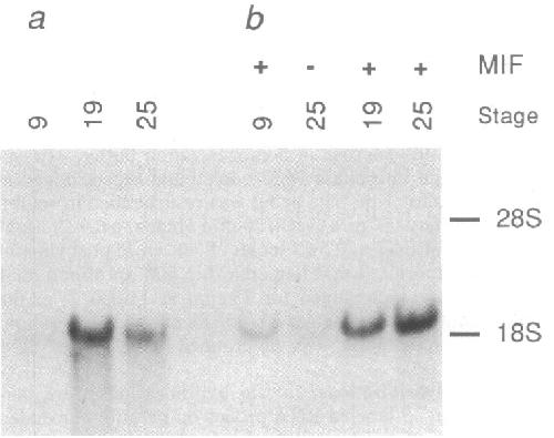
FIG. 4. Induction of Xenopus j33 mRNA in animal caps. Animal
cap explants were isolated from stage-8 to -9 embryos and treated
with XTC-conditioned medium containing MIF. RNA was isolated
and analyzed by Northern blotting for expression of (33 mRNA. As
control, one set of caps was treated with fresh medium; in addition,
total-embryo RNA was isolated at corresponding stages. (a) RNA
from treated animal caps. Lanes are labeled with the equivalent stage
of RNA isolation; + and - refer to treatment with MIF or control
medium, respectively. (b) RNA from whole embryos at indicated
stages. Location of 28S and 18S rRNA is indicated at right.
FIG. 5. Immunoblot of membrane proteins treated with anti-
Xenopus Na+,K+-ATPase /33 subunit fusion-protein antisera. Membrane
proteins (40 ,ug) from different tissues were electrophoresed on
SDS/10% polyacrylamide gel and transferred to Immobilon-P membrane
(Millipore). After incubation with rabbit antisera and 1251[
labeled protein A, immunoreactive proteins were visualized by
autoradiography. Br, brain; Ki, kidney; Li, liver. The lane labeled Br
+ Ki contained a 1:10 mixture of brain and kidney proteins.
Migration of prestained molecular mass markers is indicated at right.
Antonicek,
Biochemical and functional characterization of a novel neuron-glia adhesion molecule that is involved in neuronal migration.
1987, Pubmed
Antonicek,
Biochemical and functional characterization of a novel neuron-glia adhesion molecule that is involved in neuronal migration.
1987,
Pubmed Barth,
Ionic regulation of embryonic induction and cell differentiation in Rana pipiens.
1974,
Pubmed Blackshaw,
Alterations in resting membrane properties during neural plate stages of development of the nervous system.
1976,
Pubmed Breckenridge,
Intracellular sodium and the differentiation of amphibian embryonic neurones.
1982,
Pubmed
,
Xenbase Dawid,
The role of growth factors in embryonic induction in amphibians.
1990,
Pubmed Devereux,
A comprehensive set of sequence analysis programs for the VAX.
1984,
Pubmed Dieckmann,
Assembly of the mitochondrial membrane system. CBP6, a yeast nuclear gene necessary for synthesis of cytochrome b.
1985,
Pubmed Emanuel,
Differential expression of Na+,K+-ATPase alpha- and beta-subunit mRNAs in rat tissues and cell lines.
1987,
Pubmed Fambrough,
Multiple forms of (Na+ + K+)-ATPase in the chicken. Selective detection of the major nerve, skeletal muscle, and kidney form by a monoclonal antibody.
1983,
Pubmed Geering,
A role for the beta-subunit in the expression of functional Na+-K+-ATPase in Xenopus oocytes.
1989,
Pubmed
,
Xenbase Girardet,
Immunochemical evidence for a transmembrane orientation of both the (Na+, K+)-ATPase subunits.
1981,
Pubmed Gloor,
The adhesion molecule on glia (AMOG) is a homologue of the beta subunit of the Na,K-ATPase.
1990,
Pubmed Hinkle,
The direction of growth of differentiating neurones and myoblasts from frog embryos in an applied electric field.
1981,
Pubmed
,
Xenbase Jacobson,
Induction of neural cell adhesion molecule (NCAM) in Xenopus embryos.
1986,
Pubmed
,
Xenbase Jørgensen,
Structure, function and regulation of Na,K-ATPase in the kidney.
1986,
Pubmed Kay,
Patterns of N-CAM expression during myogenesis in Xenopus laevis.
1988,
Pubmed
,
Xenbase Kintner,
Expression of Xenopus N-CAM RNA in ectoderm is an early response to neural induction.
1987,
Pubmed
,
Xenbase Kirley,
Determination of three disulfide bonds and one free sulfhydryl in the beta subunit of (Na,K)-ATPase.
1989,
Pubmed Lane,
Characterization of two genes for the human Na,K-ATPase beta subunit.
1989,
Pubmed Martin-Vasallo,
Identification of a putative isoform of the Na,K-ATPase beta subunit. Primary structure and tissue-specific expression.
1989,
Pubmed Marxer,
(Na+ + K+)-ATPase and plasma membrane polarity of intestinal epithelial cells: presence of a brush border antigen in the distal large intestine that is immunologically related to beta subunit.
1989,
Pubmed McCaig,
The ontogeny of the transepidermal potential difference in frog embryos.
1982,
Pubmed
,
Xenbase McDonough,
The sodium pump needs its beta subunit.
1990,
Pubmed Melton,
Translocation of a localized maternal mRNA to the vegetal pole of Xenopus oocytes.
,
Pubmed
,
Xenbase Messenger,
The function of the sodium pump during differentiation of amphibian embryonic neurones.
1979,
Pubmed
,
Xenbase Orlowski,
Tissue-specific and developmental regulation of rat Na,K-ATPase catalytic alpha isoform and beta subunit mRNAs.
1988,
Pubmed Pagliusi,
Identification of a cDNA clone specific for the neural cell adhesion molecule AMOG.
1989,
Pubmed Rappolee,
Wound macrophages express TGF-alpha and other growth factors in vivo: analysis by mRNA phenotyping.
1988,
Pubmed Richter,
Gene expression in the embryonic nervous system of Xenopus laevis.
1988,
Pubmed
,
Xenbase Robinson,
The responses of cells to electrical fields: a review.
1985,
Pubmed Rosa,
Mesoderm induction in amphibians: the role of TGF-beta 2-like factors.
1988,
Pubmed
,
Xenbase Saiki,
Primer-directed enzymatic amplification of DNA with a thermostable DNA polymerase.
1988,
Pubmed Schneider,
Tissue specificity, localization in brain, and cell-free translation of mRNA encoding the A3 isoform of Na+,K+-ATPase.
1988,
Pubmed Shull,
Molecular cloning of three distinct forms of the Na+,K+-ATPase alpha-subunit from rat brain.
1986,
Pubmed Shyjan,
Antisera specific for the alpha 1, alpha 2, alpha 3, and beta subunits of the Na,K-ATPase: differential expression of alpha and beta subunits in rat tissue membranes.
1989,
Pubmed Shyjan,
Differential expression and enzymatic properties of the Na+,K(+)-ATPase alpha 3 isoenzyme in rat pineal glands.
1990,
Pubmed Smith,
Mesoderm induction and mesoderm-inducing factors in early amphibian development.
1989,
Pubmed Smith,
Purification, partial characterization and biological effects of the XTC mesoderm-inducing factor.
1988,
Pubmed
,
Xenbase Sweadner,
Two isozymes of the Na,K-ATPase have distinct antigenic determinants.
1985,
Pubmed Sweadner,
Isozymes of the Na+/K+-ATPase.
1989,
Pubmed Takeyasu,
Expression of hybrid (Na+ + K+)-ATPase molecules after transfection of mouse Ltk-cells with DNA encoding the beta-subunit of an avian brain sodium pump.
1987,
Pubmed Tamkun,
The (Na+ + K+)-ATPase of chick sensory neurons. Studies on biosynthesis and intracellular transport.
1986,
Pubmed Thomas,
Hybridization of denatured RNA transferred or dotted nitrocellulose paper.
1983,
Pubmed
,
Xenbase Urayama,
Identification of three isozyme proteins of the catalytic subunit of the Na,K-ATPase in rat brain.
1989,
Pubmed Verrey,
Primary sequence of Xenopus laevis Na+-K+-ATPase and its localization in A6 kidney cells.
1989,
Pubmed
,
Xenbase Young,
Multiple mRNAs from rat kidney and brain encode a single Na+,K+-ATPase beta subunit protein.
1987,
Pubmed Zamofing,
Role of the Na,K-ATPase beta-subunit in the cellular accumulation and maturation of the enzyme as assessed by glycosylation inhibitors.
1988,
Pubmed