|
Fig. 1 a-f. Characterization of monoclonal cytokeratin antibody Kspanl-8. 136 on cytoskeletal proteins from .human cell cultures and
tissues by gel electrophoresis and immunoblotting (Ao)r i mmunofluorescence microscopy (e, f). a Coomassie blue staining after
SDS-PAGE of cytoskeletal proteins from MCF-7 breast carcinoma cell cultures (lane I), RT112 bladder carcinoma cell cultures (lane
2), myornetrial tissue (lane 4 ) and brain (medulla, lane 5 ) , in comparison with total cell lysate of RT112 cells (lane 3). The dots denote
the position of cytokeratin 8 (lanes 1-3). b Autoradiograph corresponding to a, showing the radioactivity of the secondary reagent
(1251-labelled protein A) bound to antibody K,panl-8.136. Note that this antibody reacts specifically with a band containing cytokeratin
8 (MCF-7 cells; lane 1 ) or both cytokeratins 7 and 8 (RT112 cells (lanes 2' and 3') whereas the smooth muscle of myometrium (lane
4') and brain (lane 5') tissues are negative (however, trace amounts of cytokeratin 8 have been detected in other myornetrial cytoskeleton
samples; data not shown). c Coomassie-blue staining of cytoskeletal proteins from human vaginal mucosa separated by two-dimensional
gel electrophoresis (NEPHGE, nonequilibrium-pH gradient electrophoresis, used in first-dimension electrophoresis, direction indicated
by arrow; SDS, direction of second dimension SDS-PAGE). Endogenous major cytokeratins are numbered according to Moll et al.
[BO], reference polypeptides used in coelectrophoresis are: E, bovine serum albumin; P, yeast phosphoglycerokinase. V, position of
vimentin present in trace amounts from nonepithelial contaminations; A position of residual actin. d Autoradiograph showing immunoblot
reaction corresponding to c (as in b). Specific antigen-antibody reactions have been visualized by 'Z51-protein A. Note strong and
specific reactivity of the basic (type 11) cytokeratins 1, 5 , and 6 (the reaction of cytokeratin 4 is very weak. e Immunofluorescence
microscopy of frozen sections of human colon using antibody K,panl-8.136, showing specific reaction with the cells of the epithelium
( L , lumen) but absence of reaction with cells of the underlying connective tissue ( C n of the lamina propria. Ear, 20 pm. f Similar
reaction as in e, showing human vulva epithelium as an example of a stratified epithelium. Note reaction in all epithelial cell layers.
Bar, 20 pm |
|
|
|
Fig. 3a-h. Immunofluorescence microscopy of frozen sections through the esophageal wall of Xenopus laeuis (for details see [W])u,s ing
antibodies to various cytoskeletal proteins (a%, epifluorescence; h, phase contrast optics; symbols as in Fig. 2). a, b Double-label
immunofluorescence of a section through an esophageal nerve, using guinea-pig antibodies to neurofilament proteins a and murine
cytokeratin antibody Kganl-8.136 b. Note specific immunostaining of the endoneurial axons in a whereas the perineurium (brackets)
and the endothelium of the endoneurial blood vessel (bottom part) are positive for cytokerdtins b. The surrounding connective tissue
is negative with both kinds of antibodies. c For comparison with a and b, the immunostaining of antibody Kpn1-8.136 on the adjacent
esophageal mucosal epithelium is shown (L, lumen). d, e Double-label immunofluorescence, showing the reaction of guinea-pig antibodies
to vimentin d and cytokeratin antibody KG8.13 e. The latter reacts intensely with the perineurium (brackets) as well as with the endothelium
of an endoneurial and several surrounding blood vessels (0w,h ereas vimentin reactivity is absent in the perineurium, only weak
and sporadic in the blood vessel endothelia, in the connective tissue, but more prominent in the nerve interior. f For comparison
with d and e, the immunostaining of cytokeratin antibody K8.13 on the epithelium of the esophageal mucosa in the same section
is shown (L, lumen). g, h Similar nerve structures as in a, b, d and e but stained with desmoplakin antibodies (same as in Fig. 2j),
showing specific localization of desmosomes in the perineurium (brackets). All bars, 20 pm |
|
Fig. 4a-e. Immunofluorescence microscopy of frozen sections
through nervecontaining regions of the submucosal tissue of
esophagus a, b and tongue c-e of rat, using antibodies to various
cytoskeletal proteins. a, b Double-label immunofluroescence of a
section through two nerve structures, using guinea-pig antibodies
to neurofilament proteins a in comparison with cytokeratin antibody
lu-5 b. Note intense neurofilament reaction of neuronal cells
in a but absence of cytokeratin reaction in nerve tissue elements,
including the perineurium (denoted by brackets). c, d Negative
reaction of cytokeratin antibody KG8.13 on the perineurium (bruckets
in c, phase contrast optics; in d, epifluorescence optics). e Positive
reaction of monoclonal vimentin antibody with the perineurium
of a nerve (N), some endoneurial cells, endothelium and
smooth muscle walls of blood vessels (V) and some connective
tissue cells. All burs, 20 pm |
|
Fig. 5a-f. Immunofluorescence microscopy of frozen sections through human tongue, showing the reaction of a peripheral nerve located
in the lamina propria with antibodies to various cytoskeletal a-d and junctional proteins e, f. Symbols as in Fig. 2. a The axons
of the nerve (N) are brightly stained with a monoclonal antibody directed against the neurofilarnent protein NF-L. b A subset of
cells of the interior of the nerve (N), including Schwann cells and endoneurial fibroblasts, as well as cells of the perineurium (hruckef)
and fibroblasts located in the connective tissue (CT) are intenscly stained with a monoclonal vimcntin antibody. Endothelial cells
show a specific staining that is, however, variable in intensity. ce The broad-spectrum monoclonal cytokeratin antibodies Kc8. 13
c and fu-5 d as well as an equimolar mixture of monoclonal antibodies specific for desmoplakins I and 11 e are negative on all structures,
including the perineurium (brackers in ee). f Cells of the interior of the nerve and of the perineurium (bracket) are intensely stained
with monoclonal antibody PG 5.1 directed against plakoglobin. All burs, 20 p |
|
Fig. 6s-h. Immunofluorescence microscopy of frozen sections
through the bovine a-e and amphibian (f-h; Rum ridihunda) optic
nerve using antibodies to IF proteins a, c-g and to desmoplaskins
I and I1 b, h. Symbols as in Fig. 2. a, b Doublc-label immunofluorescence
using a monoclonal antibody for neurofilament protein
NF-L a and guinea-pig antibodies against desmoplakins 1 and 11
b. Note that only neurons are stained with the neurotilament antibody,
whereas the characteristic desmosomal punctate pattern is
restricted to the arachnoidal cell layer (hracker). c Arachnoidal
cells (bracket) stained with monoclonal antibody KJB.174 directed
against cytokeratin 18 (D of [33]). Note that all cells of the interior
of the nerve (N) are negative as are cells of the connective tissue
(CT). d, e Double-label immunofluorescence using guinea-pig antibodies
to vimentin d and the monoclonal broad-spectrum cytokeratin
antibody lu-5 e. Vimentin is detected in cells of the nerve interior,
primarily glial cells. in cells of the connective tissue, including
fibroblasts and endothelial cells, and in cells of the arachnoid.
Note coexpression of vimentin and cytokeratins in cells of the
arachnoid (some sites are denoted by arrows). f In the optic nerve
of Rum ridihunda the expression of neurofilarnent proteins is restricted
to neurons of the optic nerve (N) as visualized with guineapig
antibodies to neurofilament proteins, whereas the arachnoid
cell layers (dcnoted by hruckefs) arc negative. g Cells of the glia
of the optic nerve as well as arachnoidal cells (hracker) are intensely
stained by the monoclonal broad-spectrum cytokeratin antibody
Kgunl-8.136. h A typical punctate desmosornal pattern is seen
in the interior of the optic nerve (N) and in the arachnoid cell
layers (brockefs) after application of an equimolar mixture of the
monoclonal antibodies 2.15. 2.17 and 2.19. (note the high density
of desmosomes in the arachnoidal cells. Bars, 20 prn |
|
Fig. 7a-e. Immunofluorescence microscopy of cross sections of amphibian (Xenopus laeuis) spinal cord, using monoclonal desmoplakin
antibodies 2.19 a and 2.15 (c: for details see [14]) and the broad-spectrum cytokeratin antibody Kspanl-8.136 e to demonstrate the
coexpression of desmosomal and cytokeratin proteins in the arachnoidal cell layer (brackets in a, c, e). Epifluorescence microscopy
is shown in a, c, e, the corresponding phase-contrast photographs are shown in b, d, f. Bars, 20 pm |
|
Fig. 8a-f. Immunofluorescence microscopy of frozen cross-sections of human optic nervc, using antibodies to different IF proteins
b, c, e and desmoplakins I and I1 f. a-c Double-label immunofluorescence microscopy (a, phase-contrast optics) shows bright staining
of neurofilament proteins in the axons of the optic nerve (N; b) but not in the arachnoidal cell layers (bracket), whereas guinea-pig
antibodies to vimentin c react with certain cells of the neuroglia and, very intensely, with cells of the arachnoid (hrucket). d, e Reaction
of cytokeratin antibodies (d, phasecontrast optics; e, epifluorescence) is negative on both the nerve interior and the arachnoidal cell
layers (broad-spectrum cytokeratin antibody KG8.13). f Arachnoidal cells (bracket) show a punctate staining pattern, typical of desmosomes,
with the desmoplakin antibodies 2.15, 2.17 and 2.19. Burs, 20 ptn |
|
Fig.9. Electron micrograph of a thin section through a small fascicle of a bovine esophageal nerve. The cytoplasm of the flattened
perineurial cell (demarcated by the brackets at the left and right margin; N, nucleus) surrounds a myelinated axon (A; S, Schwann
sheath; the asterisk denotes an invagination of the Schwann cell) and is rich in 1Fs (the insert in rhe upper right shows a representative
field taken from a step section of the same fascicle) which locally can assume paracrystalline order (e.g., at the white brucker in the
insert) and may show associations with certain subplasmalemmal densities (denoted by arrows in the insert). Note that these cells
can be associated, on either side, with basal lamina-like material (arrows; denoted BL in the inserr) and collagen fibers (C), often
in an irregular and discontinuous fashion. Note also the numerous vesicles in the perineurial cell. Bur, 0.5 pm |
|
Fig. 1Oa-d. Electron micrographs of sections through myelinated
esophageal nerves a-c of the clawed toad, Xenopus laevis, and the
pcriphery of the optic nerve of the frog, Rana ridibunda d. a The
four major cell types are seen (firom top to bottom): The neuronal
cell axon (N, with a typical dense-core neuroendocrine vesicle),
the myelin sheath formed by the Schwann cell (3,a f ibroblastoid
endoneurial cell ( E ) and the cells of the perineurium which is twolayered
in this region (demarcated by the bracket). Note that the
perineurial cells are rich in 1Fs and show typical, albeit most small
desmosomes (D) and subplasmalemmal densities (denoted by arrowheads).
Note also the abundance of cytoplasmic vesiclcs and
plasma membrane caveolae in the perineurial cells and the coating
of the perineurial sheath on either side by a thick basal lamina
(BL). Collagen fibrils (C) are seen on either side of the perineurium
and throughout the extracellular spaces of the endoneurium. b
Slightly higher magnification of cells of a perineurial sheath (three
cell layers are seen in this region), showing details of the organization
of these layers, such as a desmosome ( D ) with IF tufts attached,
a layer of basal-lamina-like material in several places (denoted
by arrowheads) and interspersed extracellular spaces filled with
collagen fibers (C). Note also numerous caveolae. c Survey micrograph
showing an oblique section through a multilayered perincurial
sheath of a thicker esophageal nerve (symbols as in a and b).
Note the high frequency of IF bundles, often showing terminal
anchorage at desmosomes (I)), and caveolae. The central desmosome
is shown at higher magnification in the insert in the upper
right to demonstrate the typical desmosomal elements, such as
the midline (denoted by horizontal bars), the plaques (denoted by
brackets) and attached tonofilaments (Cn.d High magnification,
showing the high density of IFs in the cytoplasm of the interdigitating
perineurial cells of the two- and three-layered sheath (demarcated
by brackets). Note that the optic nerve arachnoidal cells
are rich in IFs (the most abundant cytoplasmic component), connected
by desmosomes (D, for details see also insert in the lower
right) as well as by tight junctions (arrows), and in this region
leave only a relatively narrow intercellular space. Other symbols
are as in a-c. Bars denote 0.2 pm a, b, d or 0.5 pm c |
|
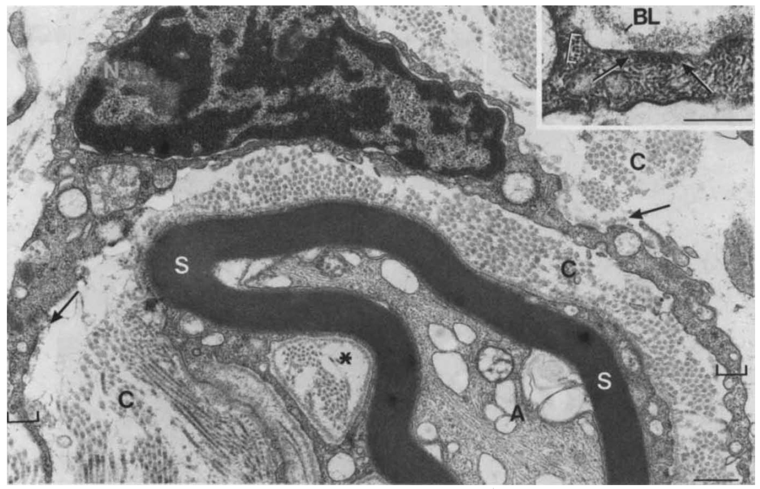
Fig. 11. Electron micrographs showing various aspects of the
arachnoid sheath surrounding the spinal cord of Xenopus laeuis.
a Survey micrograph of a cross-section through the spinal cord
(interior is toward the top), showing the multilayered organization
(14 cell layers can be resolved and are denoted by the brackets
at the right margin) and the numerous desmosomal connections
(arrows; note the size differences of the individual desmosomes).
Note also the abundance of IFs, many of which are packed into
bundles. b Higher magnification of a section similar to that shown
in a, showing the details of the organization of the desmosomes
(D),su ch as midline, membranes, plaques and IF bundles attached
and their size differences (the central desmosome is very small,
the lower one rather large and has probably resulted from a âfusionâ
of two adjacent desmosomes). The asterisk denotes a
âpocketâ formation, typical of the closely interdigitated organization
of this tissue. c Higher magnification, showing the masses
of IF bundles in longitudinal and in cross-sections (brackets) typical
of these cells. M, mitochondria. Bars denote 0.3 pm b, 0.5 pm
c and 1 pm a |
|
Fig. 12a, b. Sodium dodecyl sulfate polyacrylamide gel electrophoresis
(SDS-PAGE; a) and immunoblot (b) analysis of cytoskeletal
polypeptides of cultured bovine cells of line BMGE-H (lane 1 a ,
6 ) and the microdissected arachnoid of bovine optic nervc (lane
2) probed with monoclonal antibody Kganl-8.136 specific for type
I1 (basic) cytokeratins. a Coomassie brilliant blue staining showing
the cytoskeletal polypeptides of BMGE-H cells (lane 1, indicated
by the dots from top to bottom: vimentin, major cytokeratins 8
(A), 18 (D) and 19 in comparison with the arachnoidal proteins
(lane 2. dots denote vimentin and cytokeratin 8, i.e., (A); the arrowhead
demarcates a yet-uncharacterized polypeptide component of
M, 5 66000. b Autoradiography of the immunoblot corresponding
to a showing the reaction with cytokeratin antibody Kganl-8.136
detected by labelling with ‘251-protein A. Lane 1, the antibody
only reacts with cytokeratin 8 (A); lane 2, the dot indicates a faint
band representing cytokeratin 8 (A), whereas a stronger reaction
is seen at a higher band corresponding to M,- 66000 (arrowhead)
which, however, has not been found in all preparations |