Click here to close
Hello! We notice that you are using Internet Explorer, which is not supported by Xenbase and may cause the site to display incorrectly.
We suggest using a current version of Chrome,
FireFox, or Safari.
Miller M, Kloc M, Reddy B, Eastman E, Dreyer C, Etkin L.
???displayArticle.abstract???
The Xenopus oocytenucleus (GV) is a storehouse for a large number of proteins that are used during early development. We have cloned and characterized a cDNA coding for a maternal gene product that is localized in the GV and then becomes highly enriched in the nuclei of the central nervous system (CNS) of tadpoles and adult frogs. This cDNA (xlgv7) is 2.1 kb and hybridizes to a 2.4-kb RNA species on Northern blots. Southern blots of genomic DNA suggest that this gene is a member of a multigene family. The cDNA sequence reveals a long open reading frame (ORF) of 1773 nucleotides, with a putative nuclear targeting signal (Glu Arg Arg Lys Lys Lys Thr) at the extreme carboxyl terminus and an internal histidine (His)-rich region with a repeated conserved amino acid sequence between His pairs. The significance of this region is unclear, but the protein is a DNA-binding protein, and it is possible that this region is involved in this function. The xlgv7 protein also possesses a putative nucleotide-binding consensus sequence that is similar to the bacterial RecA and RecB and yeast RAD proteins. Protein xlgv7 exists as several isotypes that exhibit developmental and cell-specific changes during development. Northern blot analysis of the abundance of the xlgv7 mRNA shows an accumulation following neural induction at stages 15-16. There is a transient expression of the mRNA in the gut of tadpoles. In the adult, the mRNA is highly enriched in the brain and is absent or in very low abundance in other tissues. Immunohistochemical analysis of the protein shows that the protein is localized in the nuclei of the brain cells. We conclude that the xlgv7 gene product is a maternal protein that may serve several important functions, one of which may be in the development and maintanance of the CNS.
???displayArticle.pubmedLink???
2721962 ???displayArticle.link???Genes Dev ???displayArticle.grants???[+]
Figure 1. Nucleotide sequence of the xlgv7 cDNA clone and the deduced amino acid sequence of the encoded protein. (*) The ATG
initiation codon of the long ORF; (**) stop codons. The putative nuclear targeting sequence is underlined. The conserved sequences
located between the His residues are indicated with dashed lines. The site of the putative nucleotide-binding sequence is indicated by
double underline.
Figure 2. Western blots of chymotryptic digests of GV protein
xlgv7. {A) Proteins were extracted from oocyte GVs or bacteria
containing a plasmid expression vector with the xlgv7 eDNA.
The protein was either used undigested or digested with chymotrypsin
(see Materials and methods) and separated on a 17%
polyacrylamide gel. (Lane 1) 20 ~g of total GV protein (undigested);
{lane 2) 20 ~g of total GV protein partially digested
with chymotrypsin (10 mg/ml); (lane 3) complete digestion of
bacterially produced protein (80 ~g of total bacterial protein
with chymotrypsin (20 mg/ml); (lane 4) 20 ~g of total GV protein
completely digested with chymotrypsin (20 mg/ml); (lane
5) protein (80 txg) from bacteria transformed with the expression
vector lacking the xlgv7 insert {from a separate blot). Arrows
indicate the 7400-dalton proteolytic fragment predicted from
the amino acid sequence. (B) Chymotrypsin digestion of proteins
isolated from nuclei of stage 24 {Lane I) Undigested protein
(120 ~g of total protein); (lane 2) digested protein (120 o-g of
total protein digested with chymotrypsin (20 mg/ml).
Figure 3. Southern blots of genomic DNA digested with
various restriction enzymes and probed with a random primed
probe from xlgv7 (A) and with a probe of another maternal
single copy gene (B) (M. Miller, E. Eastman, L. Etkin, unpubl.).
Each lane contains 10 ~g of DNA. (Lanes 1-4 contain genomic
DNA digested with EcoRI, BamHI, HindlII, and PstI, respectively.
Figure 4. Different isotypes of protein xlgv7. Western blot of
protein extracted from brain (B, lane 1), stage 6 oocytes (Dumont
1972) (O, lane 2), and fertilized eggs (E, lane 3).
Figure 5. Binding of xlgv7 protein to DNA cellulose. Protein
extracted from Xenopus GVs in a low salt buffer was passed
over a DNA cellulose column made with double-stranded calf
thymus DNA (see Materials and methods). {Lane 1) Control oocyte
GV protein prior to loading on column; (lane 2)
flowthrough (FT); (lane 3) material coming off with several
washes of loading buffer (W). The column was eluted with 0.3
(lane 4), 0.5 (lane 5), and 1.5 M NaG1 (lane 6). The column fractions
were assayed by Western blot analysis. Greater then 95%
of the total protein came through with the flowthrough (data
not shown).
Figure 6. Immunofluorescence of GV protein xlgv7 in different regions of stage 51-55 tadpoles using fluorescent tagged mAB
37-1A9. [For procedures of embryo preparation and staining, see Hausen and Dreyer [1981).] (A,B) neural tube (NT) and ganglia (G) of
posterior region of stage 55 tadpole, (indicated by arrows) (A) FITC 37-1A9; (B) DAPI staining of all nuclei of the same section. (C,D)
Gut (G), stomach (S), and epidermis of stage 55 tadpole. (indicated by arrowheads). (C) FITC staining of the nuclei of secretory
epithelial cells; (D) DAPI staining of the same section. (E,F] Pharyngeal branchial tract of a stage 51 tadpole; (E) FITC staining
(negative), (F) DAPI staining.
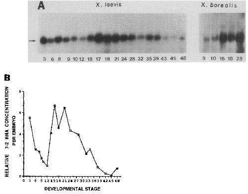
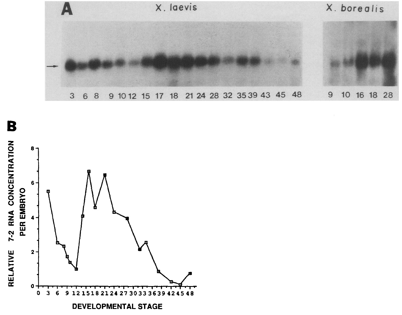
Figure 7. Northern blot analysis of xlgv7 mRNA during development
in X. laevis and X. borealis. RNA was extracted
from different stage embryos, separated by gel electrophoresis
under denaturing condition, and blotted to GeneScreen (see
Materials and methods). (A) RNA from different staged X.
laevis and X. borealis embryos. The numbers refer to the developmentai
stage (Nieuwkoop and Faber 1967}; the arrow indicates
2.4-kb xlgv7 mRNA in both X. laevis and X. borealis.
(B) A graphic representation of A, representing a compilation
of data from several experiments. The statistical analysis (ttest)
was based on a subset of that data, as all developmental
stages were not represented in each experiment. The decrease
in RNA titer from stage 3 to 10 is significant with a confidence
level of p <0.05. From stage 10 to 18, the increase is
significant with >95% confidence. The differences between
stages 32 and 34/35 are not statistically significant (p >0.1 }.
Figure 8. xlgv7 mRNA in adult tissues. RNA was extracted
from adult somatic tissues and ovaries. (A) Ovarian RNA (O)
was fractionated into poly(A) + and poly(A)- fractions. (B) Total
RNA from other adult tissues. (M) RNA from adult muscle; (B)
RNA from adult brain; {G) RNA from adult gut; (S) RNA from
adult skin. Ethidium bromide-stained gel of RNAs from adult
somatic tissues.