Click here to close
Hello! We notice that you are using Internet Explorer, which is not supported by Xenbase and may cause the site to display incorrectly.
We suggest using a current version of Chrome,
FireFox, or Safari.
???displayArticle.abstract???
We have isolated three cDNA clones that are preferentially expressed in the cement gland of early Xenopus laevis embryos. These clones were used to study processes involved in the induction of this secretory organ. Results obtained show that the induction of this gland coincides with the process of neural induction. Genes specific for the cement gland are expressed very early in the anterior neural plate of stage-12 embryos. This suggests that the anteroposterior polarity of the neural plate is already established during gastrulation. At later stages of development, two of the three genes have secondary sites of expression. The expression of these genes can be induced in isolated animal caps by incubation in 10 mM-NH4Cl, a treatment that is known to induce cement glands.
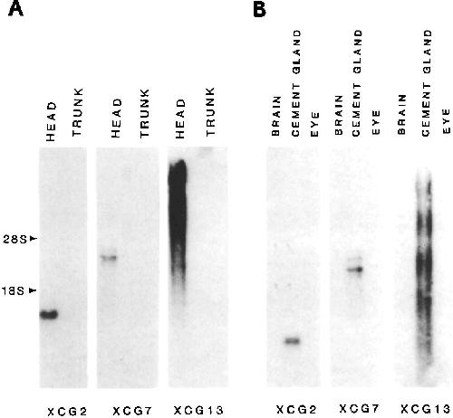
Fig. 1. (A) Localization of XCG 2, XCG 7, and XCG 13 RNA in dissected stage-24 Xenopus embryos. Northern blot
analysis of equal amounts of RNA (1 jig per lane) using nick-translated XCG 2, XCG 7, and XCG 13 probes. In every case,
the corresponding RNA is present in the head region only. (B) Localization of XCG 2, XCG 7, and XCG 13 in dissected
regions of stage-24 Xenopus heads. Northern blot analysis of equal amounts of RNA (1 jig per lane) using nick-translated
probes. RNA corresponding to the XCG 2, XCG 7, and XCG 13 is present in the cement glands.
Fig. 2. (A) In situ hybridization of XCG 2 antisense transcripts to a stage-34 embryo viewed with dark-field optics.
Hybridization is to the cement gland. The plane of section is indicated in B. (C) A phase-contrast view of the same section;
B, brain; CG, cement gland; E, eye. (D) In situ hybridization of XCG 7 probe to a sagittal section of a stage-25 embryo.
Though most of the hybridization is to the cement gland, secondary hybridization to the olfactory pit can be observed
(arrow). (E) A phase-contrast view of the section in Figure D; CG, cement gland; O, olfactory placode; P, pharynx. (F) In
situ hybridization of XCG 13 probe to a cross section of a stage-34 embryo. The plane of section is indicated in B.
Hybridization is to the cement gland. Arrows indicate the concentration of pigment in the embryonic eyes. These areas
diffract light in darkfield, but do not show any real hybridization. (G) Phase-contrast picture of Figure F; CG, cement gland;
E, eye; N, notochord; P, pharynx.
Fig. 3. (A) In situ hybridization of a clone XCG 7 probe to a section of a stage-12 embryo. This dark-field view shows the
hybridization to the anterior portion of the neural plate (arrow). (B) Phase-contrast view of the section of stage 12. Boxed
area shows the region enlarged in A; A, archenteron; BL, blastocoel; Y, yolk plug. (C) A higher magnification of the neural
plate to show the position of the future brain; B, brain. The apparent signal in the archenteron floor is due to trapped air
bubbles and not to silver grains.
Fig. 4. In situ hybridization of XCG 13 probe to a section of a stage-17 embryo. The plane of section is indicated in B;
A, anterior; P, posterior.
Fig. 5. (A) 7n sita hybridization of XCG 7 probe to a section of a stage-38 embryo. Hybridization is to the pharyngeal
arches. Arrow shows the accumulation of pigment in the eye. There is no hybridization to this region. (B) Phase-contrast
view of the same section; E, eye; NT, neural tube; P, pharynx. (C) In situ hybridization of XCG 7 to a section of a stage-28
embryo. Arrow indicates the pigment in the neural crest cells. Most of the hybridization is to the pharynx with a high
concentration of grains dorsal to the heart mesoderm. (D) Phase-contrast view of the same picture; H, heart; N, notochord;
NT, neural tube.
Fig. 6. Induction of XCG 7 gene by treatment of animal
caps with NH4Cl. Northern blot analysis of RNA from
NH4Cl-treated caps shows a strong induction of
transcription of this gene whereas cytokeratin XK 81 RNA
accumulation is suppressed.