Click here to close
Hello! We notice that you are using Internet Explorer, which is not supported by Xenbase and may cause the site to display incorrectly.
We suggest using a current version of Chrome,
FireFox, or Safari.
???displayArticle.abstract???
We report the isolation of a new homeobox gene from Xenopus laevis genomic DNA. The homeodomain sequence is highly diverged from the prototype Antennapedia sequence, and contains a unique histidine residue in the helix that binds to DNA. The homeodomain is followed by a 65 amino acid carboxyterminal domain, the longest found to date in any vertebrate homeobox gene. We have raised specific antibodies against an XlHbox 8-beta-gal fusion protein to determine the spatial and temporal expression of this gene. The nuclear protein first appears in a narrow band of the endoderm at stage 33 and develops into expression within the epithelial cells of the pancreatic anlagen and duodenum. Expression within the pancreatic epithelium persists into the adult frog. This unprecedented restriction to an anteroposterior band of the endoderm suggests that vertebrate homeobox genes might be involved in specifying positional information not only in the neuroectoderm and mesoderm, but also in the endoderm. Our data suggest that XlHbox 8 may therefore represent the first member of a new class of position-dependent transcription factors affecting endodermal differentiation.
Fig. 1. XlHbox 8 encodes a novel type of
homeodomain protein. (A) Construction of
XlHbox 8 fusion protein. The top line shows the
genomic EcoRl fragment (E-E) that carries the
3'-most two-thirds of the homeobox and
downstream sequences. The far left end shows
the rest of the homeobox to indicate the position
of the EcoRl site within the homeobox. The
middle line shows the Alul/Sau3A\ fragment
(A-S) used in constructing the /3-gal fusion
protein in pTRB 2 (bottom line). The proteincoding
region is indicated by an open box, the
homeobox by a shaded portion within this. The
translation termination codon is asterisked. (B)
Nucleotide and amino acid sequence of XlHbox
8. The sequence between the EcoRl and the
Haelll site was determined on both strands (see
Methods). Some additional downstream sequence
is shown to indicate the Sau3AI site used in
constructing the fusion protein. A Pstl site used
in determining orientation in pTRB 2 is also
shown. The homeodomain is indicated in bold
type and a sequence of eight amino acids also
found in the 'potentiator' region of human
glucocorticoid receptor is underlined. (C)
Comparison of XlHbox 8 with other
homeodomain sequences. The relevant region of
the prototype Antp homeodomain (amino acid
position within the 60 residues is indicated above
the sequences) is compared first with XlHbox 2
(Wright et al. 1987) and then with XlHbox 8. The
position of the helix-turn-DNA-recognition
helix motif is indicated (De Robertis et al. 1985;
Scott et al. L988). The corresponding part of five
other major classes of homeodomain are also
presented.
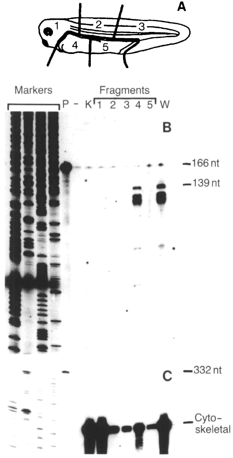
Fig. 2. Spatial distribution of XlHbox 8 transcripts.
(A) Stage 38 Xenopus embryos were dissected into five
parts (1-5) and RNA extracted from each set of pooled
fragments for analysis by RNAse protection as shown below
(for full description see Methods). (B) RNAse protection of
XlHbox 8 probe by total RNA from whole tadpoles or
fragments thereof. Lane assignments are: P, probe
incubated alone without RNAse; â, no RNA control; K,
10 j.ig adult kidney RNA control; 1-5, total RNA from 15
fragments of each type indicated in panel A; W, total RNA
from 10 whole tadpoles. Probe length is indicated; fulllength
protection is at 139 nucleotides (nt). The other major
bands (about 8-10 nt shorter) probably represent artefactual
cutting within the RNA duplex (see Wright et al. 1987), but
could be due to transcripts from other copies of the XlHbox
8 gene within the tetraploid X. laevis genome with minor
allelic variations (see Fritz et al. 1988). The film was
deliberately over-exposed as a stringent test of the
restriction of XlHbox 8 RNA to fragment 4. (C) RNAse
protection of cytoskeletal actin probe by total RNA from
the same samples. Lane assignments are exactly as for panel
B, except that total RNA from only 9 fragments (lanes 1-5)
or 6 whole tadpoles (lane W) was analysed. Probe length is
indicated and the position of the cognate cytoskeletal actin
band is shown. The film was exposed for approx. 2h to
allow the band in fragment 5 to show properly - for this
reason the intensities of the bands in lanes K, 1 and W are
well outside the linear range of the film. From other
exposures, the band intensities are in good agreement with
the recovery of total RNA as judged by agarose gel
electrophoresis. Markers are single-strand sequence ladders
from an M13 subclone of XlHbox 2 (Wright et al. 1987).
Fig. 4. Spatial expression pattern of XlHbox 8 protein
visualized by antibody whole-mount staining. (A) A side
view of a stage 40 tadpole immunostained with XlHbox 8
primary antibody and peroxidase-coupled anti-rabbit second
antibody, visualized with diaminobenzidine/hydrogen
peroxide, and cleared in benzyl benzoate/benzyl alcohol.
Samples were processed exactly as described by M.
Klymowsky (personal communication). (B) Diagrammatic
interpretation of panel A. The regions labelled dp and vp
are the dorsal and ventral pancreatic rudiment, respectively;
duo represents the region of the duodenum. The epithelial
nuclei of these regions together constitute the only specific
XlHbox 8 staining in the embryo. The punctate appearance
of the lower left edge of the embryo is a photographic
artefact caused by the extreme curvature of the tadpole
combined with nonunitorm illumination by the microscope
condenser. This whole-mount embryo staining allows us to
conclude that the endoderm is the only place where XlHbox
8 antigen is found. Photomicrograph was taken in a BioRad
confocal microscope using an image-enhancement program.
pdx1 (pancreatic and duodenal homeobox 1) gene expression in adult Xenopus laevis pancreas.
Key: pd= hepato-pancreatic duct. The nuclei of acinar cells are weakly stained.