Click here to close
Hello! We notice that you are using Internet Explorer, which is not supported by Xenbase and may cause the site to display incorrectly.
We suggest using a current version of Chrome,
FireFox, or Safari.
???displayArticle.abstract???
Immunocytochemical studies using a monoclonal anti-porcine vimentin antibody reveal a well-organized pattern of staining in Xenopus laevis oocytes, eggs and early embryos. The positions of Xenopus vimentin and desmin in two-dimensional (2D) polyacrylamide gels were first established by immunoblotting of muscle Triton extracts with anti-intermediate filament antibodies (anti-IFA), which cross-react with all intermediate filament proteins (IFPs). The anti-porcine vimentin reacts with vimentin and desmin in muscle 2D immunoblots, but only reacts with one polypeptide in oocyte blots in the position predicted for vimentin (Mr 55 x 10(3), pI 5.6). Using an anti-sense probe derived from a Xenopus vimentin genomic clone in RNase protection assays, we show that expression of vimentin begins in previtellogenic oocytes. The level of expression remains constant throughout oogenesis and in unfertilized eggs. These data suggest that vimentin is expressed in oocytes and eggs. Most interestingly, the immunocytochemical results also show that vimentin is present in the germ plasma of oocytes, eggs and early embryos. It is therefore possible that vimentin has an important role in the formation or behaviour of early germ line cells.
Fig. 1. Anti-vimentin staining of oocytes.
(A) Thick strands of material (arrows) in
the cytoplasm of animal hemisphere of
the oocyte, /, follicle cell layer. (B)
Islands of germ plasm (gp) in the cortex
of vegetal hemisphere. Insert on A shows
IgG control. Bar, 50^m. White spots of
irregular size probably represent immune
complexes of the primary and/or the
secondary antibodies.
Fig. 2. (A) Anti-vimentin staining of
germ plasm (gp) in cytoplasm of 32-cellstage
embryo. (B) Phase-contrast image
showing the granular mass of germ plasm.
Bar, 20 um.
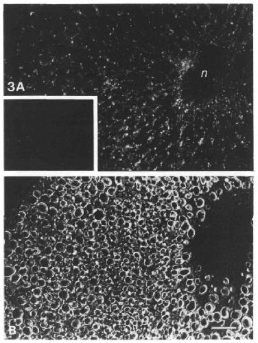
Fig. 3. (A) Anti-vimentin stains irregular
pattern of filaments extending radially
outwards from the nuclear region of each
blastomere of 32-cell-stage embryo, n,
nucleus. Insert shows IgG control. (B)
Phase-contrast image. Bar, 20 um.
Fig. 4. Small area of the surface of an oocyte showing;
(A) DAPI staining of the nuclei of the adherent follicle
cells prior to collagenase treatment. (B) Absence of
follicle cells after collagenase treatment. Bar, 10um.
Fig. 5. 2D immunoblots
showing the reaction of antivimentin
or anti-IFA with
Xenopus cytoskeletal
extracts. On extracts of
muscle (A,B) both anti-IFA
(A) and anti-vimentin (B)
react with vimentin (v) and
desmin and its isoforms (d).
On extracts of oocyte (C,D)
anti-IFA (C) stains a number
of polypeptides one of which
corresponds to the vimentin
spot found in the muscle
extract. Anti-vimentin (D)
stains only a single spot
corresponding to vimentin.
Background marks are due to
nonspecific staining and
damage to the nitrocellulose
filter during handling.
Fig. 6. RNase protection assays of total ovary, oocytes
(stages 1-5) and unfertilized eggs. A full-length protected
band of 222 bp (arrow) was detected in all the samples
tested.
Fig. 7. RNase protection assays of total ovary, and early
embryos. A full-length protected band of 222 bp (arrow)
was detected throughout early development. These
results are also presented in fig. 4 of Sharpe, 1988.