|
Fig. 1. Comparison of the expression of XHRT1 and N-tubulin in neurula stage embryos and repression of XHRT1 expression by X-Ngnr-1. (A, B) Cross-sections in the posterior region of stage 17 embryos, XHRT1 stained (A) or XHRT1/N-tubulin double stained (B), showing that the expression of the two genes is exclusive. (C) Cross-section of a stage 16 embryo injected with X-ngnr-1 and stained with N-tubulin showing ectopic N-tubulin staining in the neural midline. (D) A X-ngnr-1 misexpressing embryo injected into the dorsal medial animal blastomeres at the 16-cell stage and a control embryo stained at stage 15 showing inhibition of XHRT1 expression in the injected area (15/17 embryos). |
|
Fig. 2. Effects of XHRT1 over-expression on whole embryos and on the expression of marker genes expressed during gastrulation and neuronal differentiation. Embryos at neurula or tailbud stage are viewed with the anterior end towards the right and with the dorsal side up, except panels S and T (lateral views). Embryos at gastrula stage are all viewed from the vegetal pole with dorsal side up. The injected side is marked by blue or red staining for nuclear LacZ expression. (A, B) Gastrulation defects in embryos injected at the 4-cell stage with XHRT1 mRNA in all blastomeres and allowed to develop until tailbud stage (stage 25) (30/30 embryos). (C, L) In situ hybridization for the indicated genes of control embryos or XHRT1 and LacZ mRNA-injected embryos allowed to develop to stage 11.5 (for expression of chordin, Xbra and Xnot) or stage 16 (for N-tubulin, X-MyT1 and X-Ngnr-1). XHRT1 blocks chordin (21/21 embryos), Xbra (27/29 embryos) and Xnot (10/30 embryos) mesodermal expression in gastrula embryos and inhibits in neurula embryos the expression of the neuronal markers N- tubulin (13/13 embryos), X-MyT1 (16/16 embryos) and X-ngnr-1 (23/23 embryos). (H) Sagittal section of a stage 11.5 uninjected embryos stained with Xnot showing that Xnot transcript are found in the three dorsal midline layer (I) Sagittal section of a XHRT1 mRNA injected embryo at the same stage stained with Xnot showing that its expression is repressed in the mesoderm and is not affected in the ectodermal layer. (J) A XHRT1 mRNA injected embryo with an expansion of Xnot expression in the ectodermal layer on the injected side (24/31 embryos). (K) Whole-mount in situ analysis of ESR9 expression in XHRT1 mRNA injected embryo allowed to develop until stage 10.5. Note the upregulation of ESR9 in the injected area (33/33 embryos). (O) In situ hybridization for the indicated genes of embryos injected with XHRT1-MT-hGR, hGR-ESR9 or hGR-ESR10 along with LacZ mRNA as lineage tracer. Embryos were incubated with or without dexamethasone beginning at the end of gastrulation and fixed at neurula stage (for N-tubulin, Ep. keratin, Sox2) or tailbud stage (for Kielin and F-spondin). Whereas hGR-ESR9 and hGR-ESR10 strongly inhibited N-tubulin expression (22/23 and 13/13 embryos, respectively), XHRT1-MT-hGR only moderately inhibited its expression (30/32 embryos). XHRT1-MT-hGR also inhibited Ep. keratin expression (31/40). There was no effect on the pan-neural marker Sox2 (0/13 embryos) and the floor plate markers Kielin (20/20 embryos) and F-spondin (11/11 embryos)(arrowheads). |
|
Fig. 3. XHRT1 functions as a DNA-binding repressor and its Orange domain and C-terminal region are important for its activity. (A) XHRT1 mutants were tested in Xenopus embryos for their effect on chordin and N-tubulin expression. The number and frequency of embryos showing repression on the total number of embryos examined is indicated. (B) Coexpression of XHRT1, but not XHRT1 DBM, efficiently inhibits X-ngnr-1-mediated activation of N-tubulin expression. b, basic domain; DBM, DNA Binding Mutated domain; H, bHLH domain; I, sequence between the bHLH domain and the Orange domain; nd, non-defined; O, Orange domain; T, TEIGAF sequence; Y, YRPW sequence. |
|
Fig. 6. Comparison of the expression of XHRT1, Xhairy1 and Xhairy2b in the midline of early Xenopus embryos. Embryos were analyzed by whole- mount in situ hybridization with probes for XHRT1 (A, C, E, G, I, K), Xhairy2b (B, D, F, H, J, L) and Xhairy1 (M, N). Stages of development are indicated on the left for each line of embryos. (A, B) Vegetal view with dorsal up, (C, I, J, M) dorsal view with anterior right, (G, H, K, L, N) transverse vibratome sections. Xhairy2b is activated earlier than XHRT1 in the developing floor plate and their expression overlaps extensively. Xhairy1 is weakly expressed in the neural midline. It is only detected starting from late neurula stage in the superficial layer of the prospective floor plate cells. |
|
Fig. 4.
Mapping of the repression domain of XHRT1. HeLa cells were transfected with a UAS-tk-luc reporter construct and the indicated GAL4 fusion expression vectors. The sequences downstream of the bHLH domain, but not the bHLH domain itself, have significant repression activity. A Western blot using GAL4 antibodies of the proteins expressed in parallel in Hela cells is shown to verify protein levels. The position of the XHRT1 full-length fusion which is the protein expressed at the lowest level is indicated by an arrowhead. H, bHLH domain; I, sequence between the bHLH domain and the Orange domain; O, Orange domain; T, TEIGAF sequence; Y, YRPW sequence. |
|
Fig. 5.
XHRT1 efficiently homodimerizes and heterodimerizes with Xhairy1 and Xhairy2b and weakly interacts with XHes2, XneuroD and Xath3. (A) XHRT1 dimerization properties analyzed by immunoprecipitation. Embryos were injected with mRNAs encoding the indicated tagged proteins. Immunoprecipitate and cell lysate were analyzed using anti-myc or anti-Flag antibodies as indicated. H and L, position of the heavy and light chains, respectively, of the α-myc or α-Flag antibody in this and subsequent figures. (B) XHRT1 dimerization properties in the presence of DNA analyzed by gel-shift assays. EMSA was carried out using the indicated proteins produced by in vitro-translation. Equal amount of proteins were used based on in parallel vitro translations performed in the presence of [35S] methionin. The proteins were incubated in the presence of the E box containing sequence ggCACGTGcc defined by selex experiments as the XHRT1 optimal binding site (Pichon et al., unpublished). The positions of the bands representing XHRT1, Xhairy1 and Xhairy2b homo- and heterodimers are indicated. Note that XHRT1 binds with very low efficiency to DNA as a homodimer but strongly as heterodimers with Xhairy1 or Xhairy2b. |
|
hes1 (hes family bHLH transcription factor () gene expression in Xenopus laevis embryo, assayed via in situ hybridization, NF stage 17, anterior view, dorsal up.
|
|
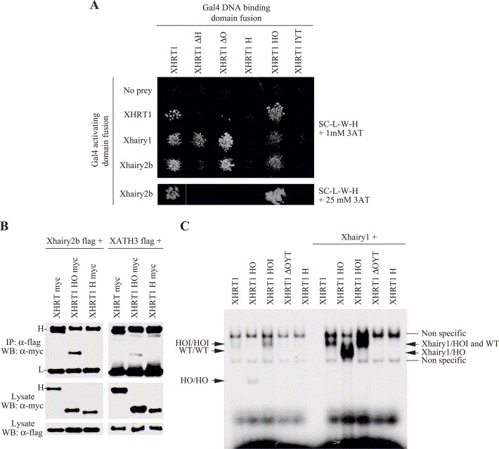
Fig. 7.
XHRT1 homodimerizes and heterodimerizes with Xhairy1 and Xhairy2b through the bHLH and downstream sequences. (A) Yeast two-hybrid growth assays of the various bait and prey plasmids as indicated plated onto plates lacking Leu, Trp and His in the presence of 1 mM (low stringency) or 25 mM 3AT (high stringency). (B) Immunoprecipitation assays to detect the interaction between various myc-tagged XHRT1 deletion mutants and Flag-tagged Xhairy2b or Xath3. (C) EMSA carried out using the indicated in vitro-translated XHRT1 proteins, cotranslated or not with Xhairy1 and incubated with a labeled oligonucleotide containing the ggCACGCGgg E box sequence (Pichon et al., unpublished). |
|
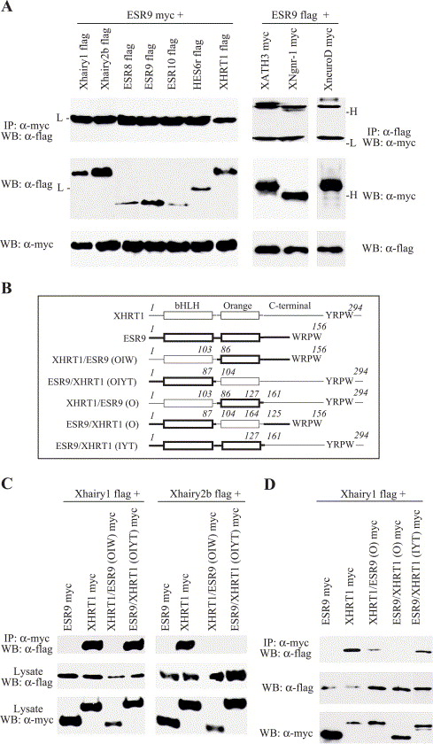
Fig. 8.
Differences in the dimerization properties of XHRT1 and ESR9 with Xhairy1 maps to the C-terminal region. (A) Dimerization properties of ESR9 analyzed by coimmunoprecipitation assays. ESR9 interacts with the proneural factors X-ngnr-1, Xath3 and XneuroD but does not dimerize with the bHLH-O proteins tested. (B) Schematic representation of the chimeric proteins that were made between XHRT1 and ESR9 to determine which portions of XHRT1 were needed to interact with Xhairy1. The wild type XHRT1 and ESR9 are shown for comparison. (C) Coimmunoprecipitation to analyze the ability of the indicated myc tagged XHRT1/ESR9 chimeric proteins to interact with Flag-tagged Xhairy1 or Xhairy2b. |
|
hey1 (hes-related family bHLH transcription factor with YRPW motif 1) gene expression in Xenopus laevis embryo, assayed via in situ hybridization, NF stage 17, anterior-dorsal view, anterior left. |
|
hes4 (hes family bHLH transcription factor 4) gene expression in Xenopus laevis embryo, assayed via in situ hybridization, NF stage 17, anterio-dorsal view, anterior left. |
|
hes4 (hes family bHLH transcription factor 4) gene expression in Xenopus laevis embryo, assayed via in situ hybridization, NF stage 17, transverse section, dorsal up. |
|
hey1 (hes-related family bHLH transcription factor with YRPW motif 1) gene expression in Xenopus laevis embryo, assayed via in situ hybridization, NF stage 17, transverse section, dorsal up. |