Click here to close
Hello! We notice that you are using Internet Explorer, which is not supported by Xenbase and may cause the site to display incorrectly.
We suggest using a current version of Chrome,
FireFox, or Safari.
???displayArticle.abstract??? Nucleoplasmin is the most abundant protein in the nucleus of Xenopus laevis oocytes. We cloned a cDNA coding for nucleoplasmin from an expression library of immature Xenopus laevis oocytes. The deduced amino acid sequence shows that the carboxyl terminus is very hydrophilic and contains an unusual stretch of 12 glutamic acid residues, which is consistent with one of the proposed functions of nucleoplasmin--that of promoting chromatin assembly. The last 50 amino acids are lysine- and alanine-rich and contain short stretches of homology to histone H1. These regions could be involved in interactions with nucleosomes. The levels of nucleoplasmin mRNA and protein during oogenesis and embryogenesis were investigated using Northern blots, Western blots, and in situ hybridization to oocyte sections. The mRNA is detected during oogenesis but not during embryogenesis, suggesting that nucleoplasmin may be an exclusively maternally expressed gene. However, the protein is present throughout embryogenesis and undergoes pronounced changes in its level of phosphorylation during maturation of the oocyte and just after midblastula transition. These results support the notion that nucleoplasmin is not only important in oocytes but also plays a major role during the rapid cleavages of early embryogenesis.
???displayArticle.pubmedLink???
3428591 ???displayArticle.link???Genes Dev
Figure 1. Immunolocalization of nucleoplasmin in the nucleus
of X. laevis oocytes. Paraffin sections of stage 5 oocytes
(Dumont 1972} were incubated with anti-nucleoplasmin serum
and the antibodies were detected with Protein A-gold complexes.
The gold staining was then enhanced using a photochemical
silver method. Bar, 200 um.
Figure 2. Characterization of the clone using affinity-purified
antibodies. Fusion proteins from hgtl 1 and clone N7.2 were expressed
in E. coli Y1089. The cells were sonicated and the protein
extracts were separated on 7.5% SDS-polyacrylamide gels.
Gels were then either stained with Coomassie Blue {lanes a-d)
or transferred to nitrocellulose and stained with anti-nucleoplasmin
serum (lanes e-g) or stained with affinity-purified antibodies
against the fusion protein (lane h). Xenopus oocyte extracts
were separated on 15% SDS-polyacrylamide gels, transferred
to nitrocellulose, and stained with affinity-purified
antibody {lane i)or crude anti-nucleoplasmin serum {lane j).
{Lane a) Protein molecular weight markers m first three
markers from the top are: myosin, 200 kD; 13-galactosidase, 116
kD; phosphorylase B, 92.5 kD. (Lane b)Crude hgtl 1 protein extract
from a culture not induced with IPTG. (Lane c) Same as
lane b, but induced with IPTG. (Lane d) Crude protein extract
of the N7.2 clone from a culture induced with IPTG. The extract
was precipitated with 35% ammonium sulfate prior to gel
separation. Note the difference in size of the fusion protein
{arrow} compared with B-galactosidase. {Lanes e-g) Same
samples as lanes b, c, and d, respectively, after transfer to nitrocellulose
and staining with anti-nucleoplasmin serum. Note
the staining of the fusion protein. (Lane h) Same as lane g, but
stained with anti-nucleoplasmin serum which had been affinity-
purified against N7.2 fusion {see text and Materials and
methods). Only the fusion protein stains now. (Lane i) Same
affinity-purified antibody as in lane h stains only nucleoplasmin
on Xenopus oocyte extracts. {Lane j) Crude anti-nucleoplasmin
serum shows some other cross-reacting bands on
Xenopus oocyte extracts.
Figure 3. Sequence of nucleoplasmin A. The deduced amino acid sequence of the clone is in frame with ~-galactosidase. The first
two amino acids are coded by the EcoRI linker used for constructing the cDNA library. At the end of the clone a possible polyadenylation
signal is found (underlined). The last four bases are EcoRI linker sequence. The numbering of the sequence is provisional, since
the 5' end is missing.
Figure 4. Homologies of the carboxyl terminus to histones.
Gonadal histone H1 of sea urchin (Parechinus angulosus) and
histone H1.3 of rabbit show short stretches of high homology to
the lysine-rich parts of the carboxyl terminus of nucleoplasmin.
Figure 5. Secondary structure prediction of the amino acid sequence
of N7.2. The bars indicate the regions where a-helixes,
turns, and B-sheets might form. The hatched box indicates the
polyglutamic acid stretch. The open box indicates the stretch of
four lysines, which is most likely involved in nuclear transport.
The tail region starts upstream of the glutamic acid stretch.
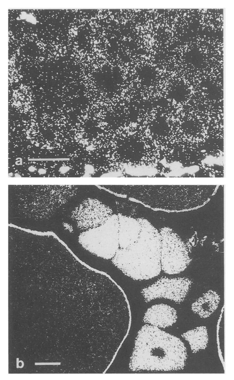
Figure 6. Dark-field micrograph of paraffin sections of oocytes
hybridized with the clone N7.2 in situ. (a) Immature ovary of a
young frog. Note the silver grains over the cytoplasm. Bar, 50
~m. (b) Ovary of an adult frog with oocytes of different stages.
Smallest oocytes are previtellogenic. Bar, 100 ~m. This method
is specific, since hybridization using U2 snRNAs was shown to
be nuclear (Mattaj et al. 1985).
Figure 7. Developmental profile of nucleoplasmin message
and protein during oogenesis. Stages of oogenesis are according
to Dumont (1972). (a) Northern blot of stages 1-6 and in vitromatured
(M) oocytes probed with clone N7.2. Total RNA from
2.5 oocytes was loaded per lane. Molecular weight markers
(pBR322 digested with RsaI)are indicated on the left. (b)
Western blot of stages 1-6, and in vitro-matured (M) oocytes.
Extracts of five oocytes per lane were separated on a 15% SDS
gel, transferred to nitrocellulose, and immunostained with
anti-nucleoplasmin serum. Note the shift in mobility between
stage 6 and matured oocytes, and that the cross-reacting bands
do not shift. The gel is somewhat overexposed so as to show the
fainter bands in the early stages. Arrows indicate the nucleoplasmin
bands.
Figure 8. Developmental profile of nucleoplasmin message
and protein during embryogenesis. Stages are according to
Nieuwkoop and Faber {1967). {a) Northern blot of different
stages of embryogenesis probed with clone N7.2. Poly(A) + RNA
from 40 embryos was loaded in each lane. The same blot had
previously been used by Carrasco et al. (1984} and Miiller et al.
{1984}, showing that poly(A) + RNA is present in all stages. (b)
Western blot of different stages of embryogenesis. Two stage 5
oocytes (oo), eggs, or embryos of the indicated stages were separated
on a 10% SDS gel and analyzed as in Fig. 7b. {Lane 3)
Four-cell stage; {lane 5) 16-cell stage; {lanes 8 and 9a) blastula;
{lane 9b) late blastula; {lanes 10 and 11) gastrula; (lane 27)tail
bud; (lane 41) swimming tadpole. Note the reduced electrophoretic
mobility of nucleoplasmin protein during the period from
egg to midblastula transition, when compared with oocytes and
late embryos. [The impression of a gradual increase in electrophoretic
mobility during early embryogenesis (egg to stage 9) is
merely due to the curvature artifact {"smile" of the gel).]
Arrows indicate the shifts in electrophoretic mobility.