|
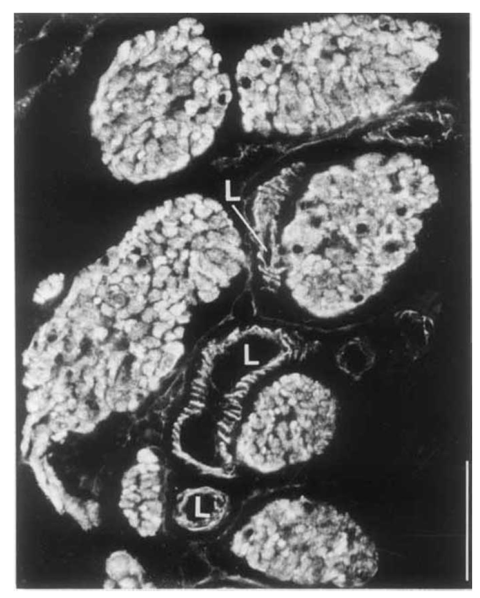
Fig. 1 a-d. Immunofluorescence microscopy performed on cryostat sections of frozen esophagus tissue from Xenopus laevis, using different
monoclonal antibodies against cytokeratin polypeptides. a Typical cytokeratin reaction (antibody K,pan 1-8.1 36), showing strongly
positive epithelium (E, top margin) and weaker, but significant staining of blood vessels ( L , lumina); CT, connective tissue. b Submucosal
region from the same tissue, showing a reaction with cytokeratin antibody lu-5. Three blood vessels display the moderate and heterogeneous
staining patterns seen in a; a thicker-walled vessel, probably an arteriole (bottom), shows morc-intense and homogenous staining. The
central circular structure (asterisk) probably represents perineural epithelium (for details, see text). c, d The same field is shown using
epifluorescence optics (c; cytokeratin antibody lu-5 on submucosal tissue) and phase-contrast optics (d). Note that connective tissue
(CT), muscle ( M ) and intraluminal (L, lumina) erythrocytes are completely negative, whereas endothelia (L) and perineural epithelium
(an example is denoted by the asterisk) are positive; bars, 50 um |
|
Fig. 2. Immunofluorescence microscopy performed on frozen sections of esophageal submucosa (a, b) and skeletal muscle (c) from
Xenopus laevis, using monoclonal antibody K,pan 1-8.136. Two different types of cytokeratin-positive blood vessels (L, lumina) are
shown in cross-section (a); circular profiles are vessels of the muscular type. As well, irregularly contoured vessels that have a thinner
wall are seen. A tangential section of endothelium is shown (b). c Note the specificity of cytokeratin staining for the capillary endothelia,
and the absence of reaction in the skeletal muscle; bar, 20 um |
|
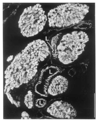
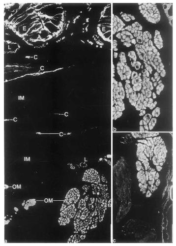
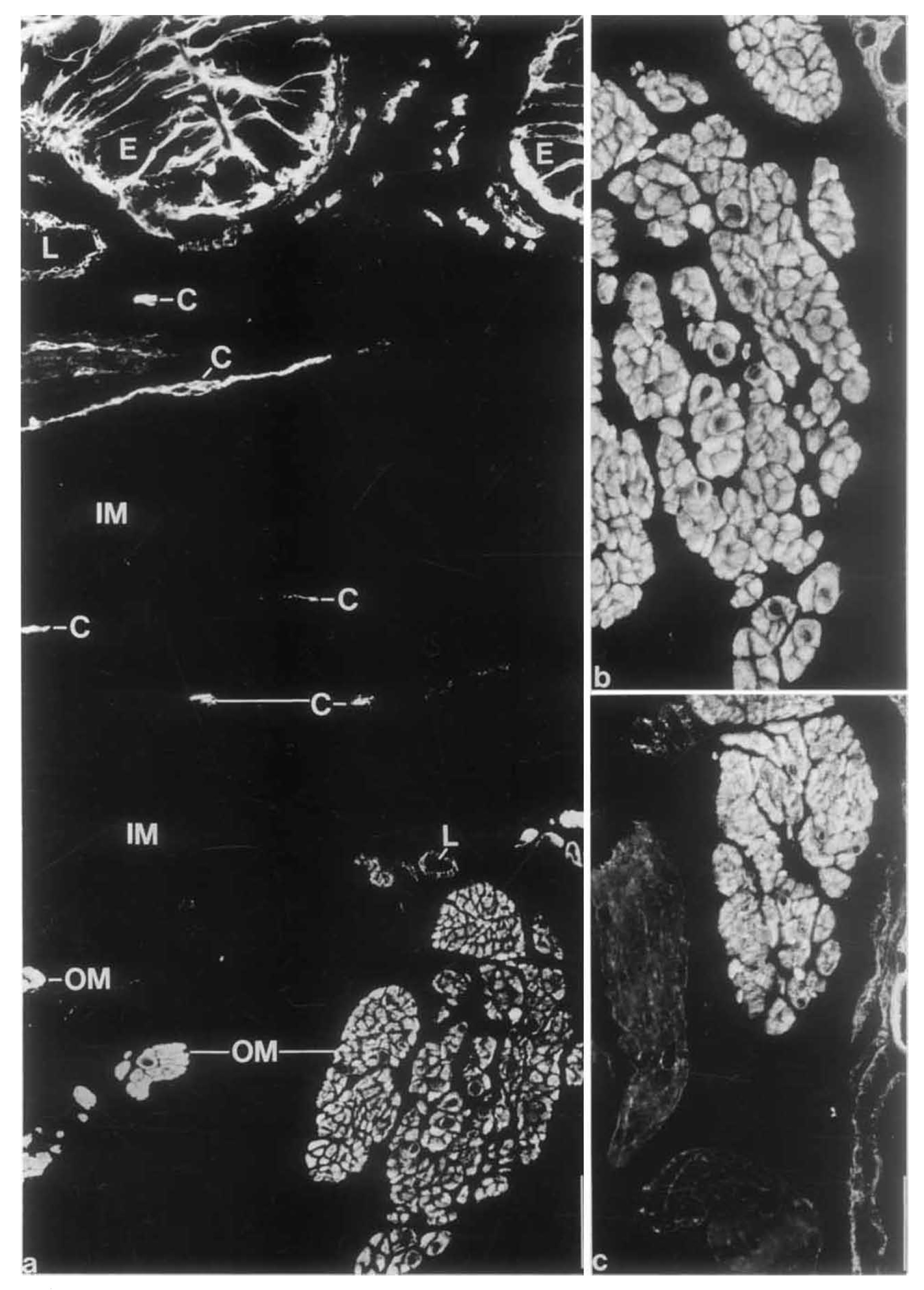
Fig. 3a-c. Immunofluorescence microscopy performed on sections through frozen esophageal tissue of Xenopus laevis, using monoclonal
antibodies to cytokeratin. a Composite survey micrograph showing the reaction of monoclonal antibody 111-5 in endothelial cells of
submucosal vessels (C, capillaries ; L, lumina of larger vessels) and in a certain type of longitudinal smooth-muscle bundle located
in the outer part of the esophageal muscle wall (OM, bottom). By contrast, the inner, mostly circular smooth-muscle layers (IM)
are completely negative. b Higher magnification of cross-section through a bundle of the outer smooth-muscle layer (as in bottom
part of a; same antibody). c Monoclonal antibody K,pan 1-8.136, also reacting specifically with the blood vessels and the outer smoothmuscle
bundles. Note that adjacent smooth-muscle cell layers and bundles (left and bottom) are negative; bars, 50 um |
|
Fig. 4. Immunofluorescence microscopy performed on frozen section
through the wall of the urinary bladder in Xenopus laevis
aftcr reaction with guinea-pig antibodies to cytokeratins 8 and
18. Certain smooth-muscle bundles and the endothelial cells of
blood vessels (L, lumina) are brightly stained; bar, 50 um |
|
Fig. 5a-d. Electron micrographs of endothelial cells from Xenopus laevis seen in cross-sections through capillaries of esophageal submucosa.
Bundles of intermediate-sized filaments (IFs; some are denoted by arrows) are seen in near-longitudinal (a, b) and in transverse (c)
sections. In some places, such IF bundles closely approach the plasma membrane at intercellular contact sites (c), but do not appear
to attach to distinct plaques. The plaque-bearing junctions seen in these cells (d, plaques denoted by brackets) are associated with
actin microfilaments; BL, basal lamina; A4 mitochondria; C, centriole; L, lumen; C , cytokeratin storage granules; burs, 0.25 um |
|
Fig. 6a, b. Immunoblotting identification of cytokeratins in smooth
muscle tissue of Xenopus laevis. a Ponceau-S staining of electrophoretically
separated polypeptides of cytoskeletal material from cultured
kidney epithelial cells of line A6 (lane I ) and from microdissected
outer smooth-muscle bundles of the esophageal wall (lane 2);
brackets demarcate positions of cytokeratin polypeptides. b Corresponding
immunoblot ( I ’, 27 using antibody K,pan 1-8.136, showing
the reaction of typical cytokeratin polypeptides (denoted by
dots in lane 2’; R, reference lane presenting, from top to bottom
(dots) : myosin-heavy chain (M, 223 000), P-gakdctosidase
(M, 116000), phosphorylase b (M, 97000), bovine serum albumin
(M, 67000), chicken ovalbumin (M, 45000), carbonic anhydrase
(M, 29000) |
|
Fig. 7a-d‘. Double-label-immunofluoresccnce microscopy performed on cryostat sections of human synovial tissue from patients with
rheumatoid arthritis (a, c) or from a healthy child of 6 weeks (b). Note the strong reaction of the endothelial layer with different
antibodies to cytokeratin 18 (a, monoclonal antibody LE61; b and c, monoclonal antibody K, 18.174), as opposed to the absence
of immunostaining in the surrounding vascular smooth muscle cells and connective tissue (CT) cells. a, a’, b, b’) Same fields showing
the cytokeratin reaction (a, b) and the typical punctate reaction of the factor-VIII-related antigen (a’, b’). (c, d) Section cut oblique
- to - tangential to endothelium; the same field is shown using epifluorescence (c) and phase-contrast (d) optics; L, lumina; bars, 50 um |
|
Fig. 8a, a’. Double-label-immunofluorescence microscopy of frozen section from human tongue submucosa, using cytokeratin antibody
(a, antibody K, 18.174) and antibodies to factor-VIII-related protein (a’). A few of the endothelial cells of submucosal vessels, which
show the typical punctate pattern of factor-VIII-related antigen (a’), are also positive for cytokeratin (a). The cytokeratin-positive
blood vessels are denoted by arrows. Arrowhead.y indicate vessels negative for cytokeratins; bars, 20 um |
|
Fig. 9 a-b‘. Double-label-immunofluorescence microscopy of frozen sections of human synovial tissue from a patient suffering from
rheumatoid arthritis, using guinea-pig antibodies to cytokeratins 8 and 18 (a, b) and rabbit antibodies against factor-VIII-related antigen
(a’, b’). a, a’ Endothelial cells of four vessels (numbered,) are positive for factor-VITT-related antigen (a’). Three of them also show
a reaction with antibodies to cytokerdtins (a, corresponding to a’). Blood vessel 4 shows only some positive smooth muscle cells in
the vascular wall (a, bracket), whereas endothelial cells are negative (b, b’); L, lumen; CT, connective tissue; bars, 50 um |
|
Fig. 1Oa-c’. Double-label-immunofluorescence microscopy on sections of rheumatoid human synovial tissuc. using guinea-pig antibodies
against cytokeratins 8 and 18 (a-c) in combination with monoclonal murine antibodies to desmin (a’, b’) and smooth muscle actin
(c’). Antibodies to cytokeratins react with a variable proportion of the smooth muscle cells of the vascular wall, and in most smooth
muscle cells shown here cytokeratin staining and desmin immunostaining are mutually exclusive. However, some of the cytokeratin-positive
cells are also positive for desmin (in b and b’: two cells are demarcated by arrowheads for direct comparsion). Arrows denote certain
cell tracts positive only for cytokeratin (a) or for desmin (b’): L, lumen: CT, connective tissue; bars, 20 um |
|
Fig. 11 a, a’. Double-label-immunofluorescence microscopy of a section through two larger blood vessels in frozen human rheumatoid
synovial tissue, using monoclonal antibody K, 18.174 (a) and guinea-pig antibodies against vimentin (a’). Endothelial, smooth muscle,
and connective tissue cells are all positive in the vimentin reaction. In both vessels, a few smooth muscle cells are also positive for
cytokeratin, whereas endothelial cells and cells of the connective tissue are completely negative; CT, conective tissue; bars, 20 uM |
|
Fig. 12a-c’. Double-label-immunofluorescence microscopy of cross-sections through snap-frozen human umbilical cord artery, using
antibody K, 18.174 specific for cytokeratin 18 (a, b) or guinea-pig antibodies to cytokeratius (c) in combination with guinea-pig antibodies
to vimentin (a’, b’) or monoclonal murine antibody to desmin (c’). Note that here endothelial cells (brackets in a and a’; L, lumen)
are negative whereas many of the smooth muscle cells are strongly positive for cytokeratin only or for both IF proteins (a, a’). In
deeper layers (b-c‘), most cells of the vascular wall are positive with both antibodies (b, cytokeratins; b’, vimentin). c, c’ Many of
the smooth muscle cells stained by antibodies to deamin (c’) are also positive for cytokeratin (c). Note that there are more desmin-positive
than cytokeratin-positive cells in Wharton’s jelly (W); bars, 20 um |