Click here to close
Hello! We notice that you are using Internet Explorer, which is not supported by Xenbase and may cause the site to display incorrectly.
We suggest using a current version of Chrome,
FireFox, or Safari.
???displayArticle.abstract??? Rho GTPases and their downstream effector proteins regulate a diverse array of cellular processes during embryonic development, including reorganization of cytoskeletal architecture, cell adhesion, and transcription. Changes in the activation state of Rho GTPases are converted into changes in cellular behavior by a diversity of effector proteins, which are activated in response to changes in the GTP binding state of Rho GTPases. In this study we characterize the expression and function of one such effector, XCEP2, that is present during gastrulation stages in Xenopus laevis. In a search for genes whose expression is regulated during early stages of embryonic development in Xenopus laevis, a gene encoding a Rho GTPase effector protein (Xenopus Cdc42 effector protein 2, or XCEP2) was isolated, and found to be highly homologous, but not identical, to a Xenopus sequence previously submitted to the Genbank database. These two gene sequences are likely pseudoalleles. XCEP2 mRNA is expressed at constant levels until mid- to late- gastrula stages, and then strongly down-regulated at late gastrula/early neurula stages. Injection of antisense morpholino oligonucleotides directed at one or both pseudoalleles resulted in a significant delay in blastopore closure and interfered with normal embryonic elongation, suggesting a role for XCEP2 in regulating gastrulation movements. The morpholino antisense effect could be rescued by co-injection with a morpholino-insensitive version of the XCEP2 mRNA. Antisense morpholino oligonucleotides were found to have no effect on mesodermal induction, suggesting that the observed effects were due to changes in the behavior of involuting cells, rather than alterations in their identity. XCEP2 antisense morpholino oligonucleotides were also observed to cause complete disaggregation of cells composing animal cap explants, suggesting a specific role of XCEP2 in maintenance or regulation of cell-cell adhesion in early embryos. This loss of cell adhesion could be rescued by co-injection with a morpholino-insensitive version of the XCEP2 mRNA. XCEP2 appears to be an essential component in the early developmental program in Xenopus laevis. XCEP2 is involved in maintenance of cell-cell adhesion, and as such may constitute a regulatory component that could help to balance the need for tissue integrity and plasticity during the dynamic cellular rearrangements of gastrulation.
Figure 3. Spatial Localization of XCEP2 mRNA. (A) Animal pole view in situ hybridization of embryos fixed at late blastula stage with digoxygenin-labeled antisense XCEP2A antisense probe exhibit diffuse staining across the animal region of the embryo (right). An XCEP2A sense probe served as a negative control, and showed minimal background staining (left). (B) A blastula stage embryo, cut to reveal a cross-section, reveals the animal/vegetal gradient of antisense XCEP2 probe. The blastocoel cavity is visible in the upper portion of this embryo. (C) A side view of an antisense XCEP2A probed embryo, revealing an animal (top) to vegetal (bottom) gradient of staining.
Figure 4. Effects of antisense XCEP2 morpholino oligonucleotide on gastrulation. (A) Injected embryos received 100 ng of morpholino, delivered to the animal region of 1-cell embryos. Typical gastrula stage embryos for each of three experimental conditions (non-injected, control morpholino and MO1 antisense injected) are shown. (B) The distribution of blastopore-to-embryo diameter ratios for each experimental condition. 180 embryos were assessed for each condition. In the combined "MO1+MO2" condition, 50 ng of each morpholino were co-injected. (C) Average blastopore to embryo diameter ratios for each of the control and experimental conditions, +/- 1SEM, are shown. (D) Effects of antisense morpholinos on post-neurulation embryonic development are shown. Antisense XCEP2-injected embryos exhibit dose-dependent abnormalities suggestive of gastrulation and/or convergence extension defects. Representative viable embryos, at Stage 267, from each control and experimental condition are shown. Several embryos in the MO1 treated groups exhibited varying degrees of spina bifida. Embryonic viability for the water, control morpholino, and the three doses of antisense XCEP2 morpholino (75 ng, 95 ng and 115 ng) were 90%, 90%, 81%, 63%, and 26%, respectively (200 embryos injected for each condition).
Figure 8. Effects of antisense XCEP2 Morpholino oligonucleotides on animal cap explant cell adhesion. (A) 100 ng morpholino oligonucleotide MO1 was injected into the animal region of each blastomere of 2-cell stage embryos. Animal cap explants from antisense MO1-injected embryos exhibited a marked loss of integrity (upper right panel) 24 hours after explantation, as compared to animal caps from non-injected or control morpholino injected embryos (upper left panels). Effects of these treatments on whole sibling embryos at Stage 223 are shown in the lower panels. In (B), embryos were injected with 75 ng of MO1 antisense morpholino in each blastomere at the 2-cell stage. Animal explants derived from non-injected embryos (left panel), MO1-injected embryos (middle panel), or embryos co-injected with 0.7 ng XCEP2*myc mRNA (right panel) are shown 24 hours after explantation.
CDC42ep2 ( CDC42 effector protein (Rho GTPase binding) 2 ) gene expression in bisected Xenopus laevis embryos, NF stage 9, as assayed by in situ hybridization. Lateral view: Animal up.
Image published in: Nelson KK and Nelson RW (2004)
Figure 1. XCEP2 Nucleic Acid and Amino Acid Sequences. (A) The nucleic acid sequence of the XCEP2A cDNA is shown. Sequences encoding the start methionine (green), the stop codon (red) are indicated. The protein coding region is shown in blue. (B) Amino acid sequences of the two Xenopus pseudoalleles of CEP2, along with the mammalian (human) sequence, are shown. Asterisks indicate highly conserved residues within the CRIB domain (black asterisks, lines), the CI domain (red asterisks, lines) and the CII domain (blue asterisks, lines) in the CEP-2 protein. Dark gray shading indicate residues conserved in all three species; light gray areas indicate residues that are conserved between two of the three species listed. Vertically oriented pairs of dots (:) indicate positions where amino acid identity is conserved in all three sequences.
Figure 2. Temporal regulation of XCEP2 during pre-neurula stages of embryonic development. Semi-quantitative RT-PCR was conducted on equivalent amounts of RNA derived from the indicated developmental stages. XCEP2A was amplified using XCEP2A forward and reverse primers (see Methods). Ornithine Decarboxylase (ODC) serves as a loading control (middle panel). RT-PCR amplification to reveal expression of the alternative pseudoallele (XCEP2B), using XCEP2B forward and reverse primers, is shown in the lower panel.
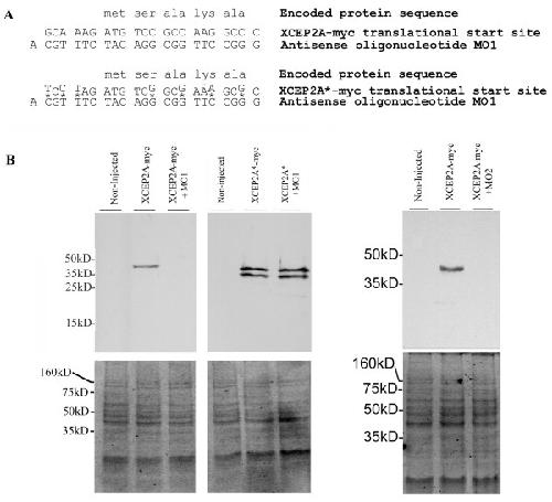
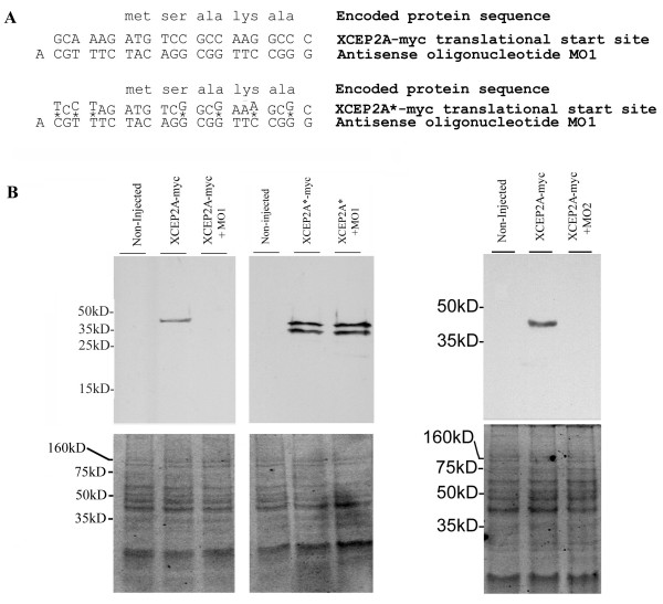
Figure 5. Antisense XCEP2 morpholino oligonucleotides specifically inhibit translation from XCEP2 mRNA. (A) Schematic diagram indicating mutations (designated by asterisks) in the morpholino target site of XCEP2*-myc mRNA that would be expected to inhibit strong interactions with the antisense XCEP2 morpholino (MO1). (B) 0.7 ng of mRNA encoding myc-tagged XCEP2 (either the normal XCEP2-myc or the mutated XCEP2*-myc) was injected alone or in combination with 80 ng of antisense XCEP2 morpholino oligonucleotide (MO1) into the animal pole of 1-cell embryos. XCEP2 protein was detected in embryo extracts (prepared at stage 8.5–9) by Western Blotting using anti-myc monoclonal antibody 9E10 (upper panels). Equivalency in protein loads in the Western Blot lanes are indicated by the similarity in staining intensity of protein bands in the corresponding SYPRO Ruby-stained gels in the lower panels.
Figure 6. Rescue of the antisense XCEP2 morpholino phenotype by XCEP2 mRNA co-injection. Injected embryos received 100 ng of morpholino oligonuceotide in the animal region of both blastomeres in two-cell stage embryos. MO1 and MO2 oligonucleotides were mixed at a molar ratio of 3:1, respectively. 20–30 embryos were assessed for each condition. (A) The distributions of blastopore to embryo diameters for the indicated experimental conditions are shown. The rescuing XCEP2 mRNA (XCEP*-myc) sequence was altered such that antisense morpholino oligonucleotides would be expected to bind inefficiently. (B) Average blastopore to embryo diameter ratios, +/- 2 SEM, are indicated for each experimental condition.
Figure 7. Antisense XCEP2 morpholino oligonucleotides do not inhibit mesodermal induction. Semiquantitative RT-PCR analysis was conducted on duplicate RNA samples using primers for Brachyury (a pan-mesodermal marker), goosecoid (a dorsal mesodermal marker) and ornithine decarboxylase (ODC, used as loading control). For control and morpholino-injected conditions, 100 ng of morpholino oligonucleotide was injected into the animal region of 1-cell stage embryos.
Arthur,
Regulation of Rho family GTPases by cell-cell and cell-matrix adhesion.
2002, Pubmed
Arthur,
Regulation of Rho family GTPases by cell-cell and cell-matrix adhesion.
2002,
Pubmed Aspenström,
Rho GTPases have diverse effects on the organization of the actin filament system.
2004,
Pubmed Bishop,
Rho GTPases and their effector proteins.
2000,
Pubmed Brieher,
Regulation of C-cadherin function during activin induced morphogenesis of Xenopus animal caps.
1994,
Pubmed
,
Xenbase Burbelo,
MSE55, a Cdc42 effector protein, induces long cellular extensions in fibroblasts.
1999,
Pubmed Caviston,
The role of Cdc42p GTPase-activating proteins in assembly of the septin ring in yeast.
2003,
Pubmed Choi,
Xenopus Cdc42 regulates convergent extension movements during gastrulation through Wnt/Ca2+ signaling pathway.
2002,
Pubmed
,
Xenbase Djiane,
Role of frizzled 7 in the regulation of convergent extension movements during gastrulation in Xenopus laevis.
2000,
Pubmed
,
Xenbase Evan,
Isolation of monoclonal antibodies specific for human c-myc proto-oncogene product.
1985,
Pubmed
,
Xenbase Fanto,
Nuclear signaling by Rac and Rho GTPases is required in the establishment of epithelial planar polarity in the Drosophila eye.
2000,
Pubmed Frohman,
Rapid production of full-length cDNAs from rare transcripts: amplification using a single gene-specific oligonucleotide primer.
1988,
Pubmed Fukata,
Cdc42 and Rac1 regulate the interaction of IQGAP1 with beta-catenin.
1999,
Pubmed Fukata,
Rho-family GTPases in cadherin-mediated cell-cell adhesion.
2001,
Pubmed Gumbiner,
Regulation of cadherin adhesive activity.
2000,
Pubmed Habas,
Wnt/Frizzled activation of Rho regulates vertebrate gastrulation and requires a novel Formin homology protein Daam1.
2001,
Pubmed
,
Xenbase Habas,
Coactivation of Rac and Rho by Wnt/Frizzled signaling is required for vertebrate gastrulation.
2003,
Pubmed
,
Xenbase Hardin,
The behaviour and function of bottle cells during gastrulation of Xenopus laevis.
1988,
Pubmed
,
Xenbase Heasman,
Morpholino oligos: making sense of antisense?
2002,
Pubmed
,
Xenbase Hirsch,
A new family of Cdc42 effector proteins, CEPs, function in fibroblast and epithelial cell shape changes.
2001,
Pubmed Islam,
Enzymatic removal of vitelline membrane and other protocol modifications for whole mount in situ hybridization of Xenopus embryos.
1996,
Pubmed
,
Xenbase Joberty,
The Borgs, a new family of Cdc42 and TC10 GTPase-interacting proteins.
1999,
Pubmed Joberty,
Borg proteins control septin organization and are negatively regulated by Cdc42.
2001,
Pubmed Kaibuchi,
Regulation of cadherin-mediated cell-cell adhesion by the Rho family GTPases.
1999,
Pubmed Keller,
Shaping the vertebrate body plan by polarized embryonic cell movements.
2002,
Pubmed Keller,
How we are shaped: the biomechanics of gastrulation.
2003,
Pubmed
,
Xenbase Kuroda,
Cdc42, Rac1, and their effector IQGAP1 as molecular switches for cadherin-mediated cell-cell adhesion.
1999,
Pubmed Kwan,
Xbra functions as a switch between cell migration and convergent extension in the Xenopus gastrula.
2003,
Pubmed
,
Xenbase Marsden,
Regulation of cell polarity, radial intercalation and epiboly in Xenopus: novel roles for integrin and fibronectin.
2001,
Pubmed
,
Xenbase Mlodzik,
Spiny legs and prickled bodies: new insights and complexities in planar polarity establishment.
2000,
Pubmed Montero,
Adhesive crosstalk in gastrulation.
2003,
Pubmed
,
Xenbase Park,
The planar cell-polarity gene stbm regulates cell behaviour and cell fate in vertebrate embryos.
2002,
Pubmed
,
Xenbase Penzo-Mendèz,
Activation of Gbetagamma signaling downstream of Wnt-11/Xfz7 regulates Cdc42 activity during Xenopus gastrulation.
2003,
Pubmed
,
Xenbase Raftopoulou,
Cell migration: Rho GTPases lead the way.
2004,
Pubmed Stamnes,
Regulating the actin cytoskeleton during vesicular transport.
2002,
Pubmed Strutt,
The role of RhoA in tissue polarity and Frizzled signalling.
1997,
Pubmed Tada,
Xwnt11 is a target of Xenopus Brachyury: regulation of gastrulation movements via Dishevelled, but not through the canonical Wnt pathway.
2000,
Pubmed
,
Xenbase Tahinci,
Distinct functions of Rho and Rac are required for convergent extension during Xenopus gastrulation.
2003,
Pubmed
,
Xenbase Wallingford,
Xenopus Dishevelled signaling regulates both neural and mesodermal convergent extension: parallel forces elongating the body axis.
2001,
Pubmed
,
Xenbase Wallingford,
Convergent extension: the molecular control of polarized cell movement during embryonic development.
2002,
Pubmed
,
Xenbase Weber,
Jun mediates Frizzled-induced R3/R4 cell fate distinction and planar polarity determination in the Drosophila eye.
2000,
Pubmed Wilson,
Mesodermal patterning by an inducer gradient depends on secondary cell-cell communication.
1994,
Pubmed
,
Xenbase Winklbauer,
Frizzled-7 signalling controls tissue separation during Xenopus gastrulation.
2001,
Pubmed
,
Xenbase Winklbauer,
Vegetal rotation, a new gastrulation movement involved in the internalization of the mesoderm and endoderm in Xenopus.
1999,
Pubmed
,
Xenbase Yamashiro,
Localization of two IQGAPs in cultured cells and early embryos of Xenopus laevis.
2003,
Pubmed
,
Xenbase Yap,
Lateral clustering of the adhesive ectodomain: a fundamental determinant of cadherin function.
1997,
Pubmed
,
Xenbase