Click here to close
Hello! We notice that you are using Internet Explorer, which is not supported by Xenbase and may cause the site to display incorrectly.
We suggest using a current version of Chrome,
FireFox, or Safari.
Proc Natl Acad Sci U S A
1985 Sep 01;8218:6176-80.
Show Gene links
Show Anatomy links
Change of karyoskeleton during spermatogenesis of Xenopus: expression of lamin LIV, a nuclear lamina protein specific for the male germ line.
Benavente R, KrohneG .
???displayArticle.abstract???
Lamins are the major constituent proteins of the nuclear lamina. In the frog, Xenopus laevis, they are the products of a multigene family whose expression can be correlated to certain routes of cell differentiation. For example, lamins LI (Mr, 72,000) and LII (Mr, 68,000) is expressed, together with LI/LII, in certain highly differentiated cell types such as neurons and muscle cells and is the only lamin present in diplotene oocytes. Here we report the identification by means of two monoclonal antibodies of a fourth lamin (LIV) of Mr 75,000, which is expressed specifically during the later stages of spermatogenesis. In the seminiferous tubules, Sertoli cells contain LI/LII and LIII whereas, among the spermatogenic cells, spermatogonia contain only LI and LII. In contrast, in spermatids and sperm cells these lamins are completely replaced by lamin LIV. Primary spermatocytes are negative with both antibodies, indicating that a switch in the expression of lamins occurs early in spermatogenesis. Lamin LIV is distributed in patches along the nuclear envelopes of elongated spermatids and sperm cells rather than in the characteristic continuous lamina pattern found in most other cells. We hypothesize that the specific expression of lamin LIV is related to the conspicuous changes of nuclear architecture and chronmatin composition that are known to take place during the late stages of sperm development.
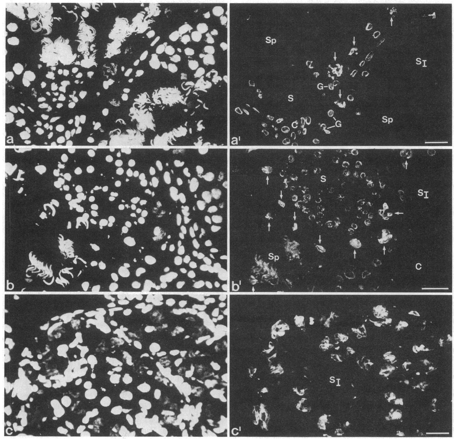
FIG. 1. Immunofluorescence microscopy on frozen sections through Xenopus testes with monoclonal lamin antibodies [a'-c'; the same
sections were stained with 4',6-diamidino-2-phenylindole for visualization of nuclei (a-c)]. (a') Antibody PKB8 reacts with the nuclear periphery
of Sertoli cells (arrows), spermatogonia (some are denoted by G), and connective tissue cells (C). (b') Antibody L046F7 stains the nuclear
periphery of Sertoli cells (arrows), spermatids (S), and sperms (Sp). (c') Testis of an immature animal after incubation with antibody L046F7.
Positive reaction is found only in the Sertoli cells. Primary spermatocytes (SI) are negative with both antibodies (a'-c'). (Bars = 20 um.)
FIG. 2. Electron microscopic immunolocalization using antibody L046F7 on frozen sections through testis, showing positive reaction in the
nuclear (N) periphery of a round spermatid (a) and sperms (c and d). Second antibodies coupled to 5-nm colloidal gold particles (a and c) or
to peroxidase (d) were used. (a) Round spermatids show gold label over most of the nucleoplasmic surface of the nuclear envelope (NE). (b)
Control section similar to a after incubation with the gold-coupled secondary antibodies only. Gold particles are extremely sparse and randomly
distributed in such preparations. (c and d) In sperms, the positive reaction at the nucleoplasmic surface of the inner nuclear membrane is more
disperse and usually appears in the form of small clusters of gold particles (arrows in c). A corresponding patchy pattern is seen after
immunoperoxidase reaction (arrows in d). (Bars = 0.2 Am.)
FIG. 3. Identification of lamins present in testis of Xenopus by
immunoblotting of polypeptides separated on NaDodSO4/polyacrylamide
gel (12% acrylamide; a, b, c', and d, autoradiographs; c,
Coomassie blue staining). (a and b) Nuclear lamina-enriched fraction
of testes obtained from adult animals (lane 2 in a and b) is shown in
comparison with the related fraction of diplotene oocytes (lane 1 in
a and b). Two polypeptides ofMr 75,000 and Mr 68,000 corresponding
to lamins LIV (arrowheads) and LI,, (arrows) react specifically with
antibody L046F7 (lane 2 in a) and with the guinea pig antibodies (lane
2 in b). (c and c') Nuclear lamina-enriched fraction of purified sperms
(lane 2), in comparison with the related fraction of oocytes (lane 1).
Reference proteins (R) are, from top to bottom, bovine serum
albumin albumin and actin. (c') Immunoblot of a parallel gel after
incubation with antibody L046F7. Only lamin L1v is detected in
sperms (lane 2, arrowhead). (d) Immunoblot of nuclear laminaenriched
fraction from testes of immature animals (lane 2; lane 1
shows lamina fraction ofoocytes). L,,, (arrow) is the prominent lamin
but small amounts of Lv (arrowhead) are already detectable. The
positive lower molecular weight band represents a degradation
product of LI,, (cf. ref. 21).
FIG. 4. Autoradiography showing polypeptides of nuclear lamina-
enriched fractions obtained from testes (a) and purified sperms (b)
as revealed after two-dimensional gel electrophoresis and immunoblotting
with monoclonal antibody L046F7 (a) and guinea pig antibodies
against lamins (b). The position of coelectrophoresed bovine
serum albumin is denoted by an asterisk. NEPHGE, non-equilibrium
pH gradient gel electrophoresis in the first dimension; SD,
NaDodSO4/PAGE (12% acrylamide) in the second dimension.
FIG. 5. Maps of l25l-labeled tryptic peptides of lamins Liv (a) and
LI,, (b). Prominent peptide spots are not coincident. E, first dimension
by electrophoresis; C, second dimension by chromatography.
Aaronson,
Isolation of nuclear pore complexes in association with a lamina.
1975, Pubmed
Aaronson,
Isolation of nuclear pore complexes in association with a lamina.
1975,
Pubmed Benavente,
Karyoskeletal proteins and the organization of the amphibian oocyte nucleus.
1984,
Pubmed
,
Xenbase Benavente,
Electron microscopic immunolocalization of a karyoskeletal protein of molecular weight 145 000 in nucleoli and perinucleolar bodies of Xenopus laevis.
1984,
Pubmed
,
Xenbase Benavente,
Cell type-specific expression of nuclear lamina proteins during development of Xenopus laevis.
1985,
Pubmed
,
Xenbase Elder,
Radioiodination of proteins in single polyacrylamide gel slices. Tryptic peptide analysis of all the major members of complex multicomponent systems using microgram quantities of total protein.
1977,
Pubmed Fisher,
Isolation and characterization of a proteinaceous subnuclear fraction composed of nuclear matrix, peripheral lamina, and nuclear pore complexes from embryos of Drosophila melanogaster.
1982,
Pubmed Franke,
The nuclear envelope and the architecture of the nuclear periphery.
1981,
Pubmed Gerace,
Organization and modulation of nuclear lamina structure.
1984,
Pubmed Gerace,
Nuclear lamina and the structural organization of the nuclear envelope.
1982,
Pubmed Gerace,
The nuclear envelope lamina is reversibly depolymerized during mitosis.
1980,
Pubmed Gerace,
Immunocytochemical localization of the major polypeptides of the nuclear pore complex-lamina fraction. Interphase and mitotic distribution.
1978,
Pubmed Ierardi,
Synaptonemal complexes are integral components of the isolated mouse spermatocyte nuclear matrix.
1983,
Pubmed Krohne,
Proteins of pore complex--lamina structures from nuclei and nuclear membranes.
1983,
Pubmed
,
Xenbase Krohne,
Localization of a nuclear envelope-associated protein by indirect immunofluorescence microscopy using antibodies against a major polypeptide from rat liver fractions enriched in nuclear envelope-associated material.
1978,
Pubmed Krohne,
Cell type-specific differences in protein composition of nuclear pore complex-lamina structures in oocytes and erythrocytes of Xenopus laevis.
1981,
Pubmed
,
Xenbase Krohne,
Immunological localization of a major karyoskeletal protein in nucleoli of oocytes and somatic cells of Xenopus laevis.
1982,
Pubmed
,
Xenbase Krohne,
A monoclonal antibody against nuclear lamina proteins reveals cell type-specificity in Xenopus laevis.
1984,
Pubmed
,
Xenbase Krohne,
The major polypeptides of the nuclear pore complex.
1978,
Pubmed
,
Xenbase Maul,
Nuclear envelope proteins from Spisula solidissima germinal vesicles.
1980,
Pubmed O'Farrell,
High resolution two-dimensional electrophoresis of basic as well as acidic proteins.
1977,
Pubmed Scheer,
Experimental disintegration of the nuclear envelope. Evidence for pore-connecting fibrils.
1976,
Pubmed
,
Xenbase Stick,
Disappearance and reformation of the nuclear lamina structure during specific stages of meiosis in oocytes.
1983,
Pubmed Stick,
Changes in the nuclear lamina composition during early development of Xenopus laevis.
1985,
Pubmed
,
Xenbase Stick,
Immunological localization of the major architectural protein associated with the nuclear envelope of the Xenopus laevis oocyte.
1982,
Pubmed
,
Xenbase Stick,
The disappearance of the nuclear lamina during spermatogenesis: an electron microscopic and immunofluorescence study.
1982,
Pubmed Thomas,
An octamer of histones in chromatin and free in solution.
1975,
Pubmed Towbin,
Electrophoretic transfer of proteins from polyacrylamide gels to nitrocellulose sheets: procedure and some applications.
1979,
Pubmed