|
Figure 1. Design of Induction Experiments
The diagram shows the position of cuts used to separate animal, vegetal,
and equatorial regions of a blastula, as well as the preparation of
animal-vegetal conjugates and exconjugates. |
|
Figure 2. Morphology of Embryo Fragments before and after Induction
Whole views of animal (A, B) and vegetal (C, D) regions cultured in isolation
or as conjugates (E, F), compared to complete embryo controls
(G, H). Views on the left were taken 30 min after the time of isolation
or conjugation (stage 8), and those on the right 15 hr later, when controls
(H) had reached stage 18. Results of this kind have been obtained
in all experiments (over 20 series with eggs of different females). |
|
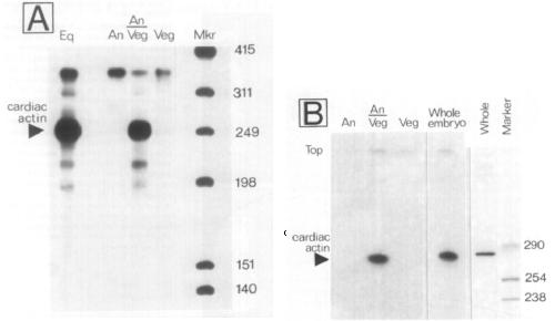
Figure 3. Transcription of Muscle-Specific Actin Genes in Conjugates
RNA was extracted from conjugates (AnNeg), or from isolated animal (An), vegetal (Veg), or equatorial (Eq) regions, of stage 8 blastulae, cultured
until control (Whole) embryos had reached stage 20.
(A) $1 nuclease protection analysis using an M13 DNA probe specific for Xenopus laevis cardiac actin RNA, as described by Mohun et al. (1984)
and Gurdon et al. (1984). DNA markers (Mkr) were obtained from a Hinf I digest of +X174. (B) RNAase protection analysis using an SP6 probe specific
for Xenopus laevis cardiac actin RNA (see text and Experimental Procedures). Lanes 4 and 5 each show the analysis of a single whole embryo
(control) from two experiments. RNA markers (lane 6) were run-off transcripts of the pSP65 vector linearized at various sites downstream of the SP6
promoter. Results of the kind illustrated have been obtained in over 20 experimental series with eggs of different females. |
|
Figure 4. Synthesis of Muscle-Specific o~-Actin in Conjugates
Conjugates (A, B) and animal tissue alone (C) were prepared from
stage 8 blastulae and incubated in 3SS-methionine until controls had
reached stage 18. At this time, conjugates were roughly separated into
animal (A) and vegetal (B) parts, and all samples were analyzed by twodimensional
gel electrophoresis, e: muscle-specific actins. -(, fl:
cytoskeletal actins. Arrows indicate reference proteins used to confirm
the location of ,~-actin. The small amount of o~-actin in B is attributable
to residual animal cells left on the vegetal part when separated after
15 hr of contact. Each analysis is of ten or more equivalent conjugates
or animal pieces pooled for extraction. |
|
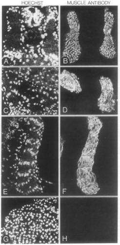
Figure 5. Cellular Distribution of a Muscle-
Specific Protein
Sections on the left (A, C, E, G) show the use
of Hoechst nuclear stain; sections on the right
(B, D, F, H) were viewed with rhodamine attached
indirectly to the 12/101 antibody. (B) The
monoclonal antibody 12/101 binds only to muscle
cells of Xenopus embryos reared from fertilized
eggs; transverse section, stage 26. (D)
The same antibody binds to one or two regions
in the animal part of conjugates cultured until
controls reached stage 26; transverse section.
(F) Shows the clustering of cells into myotomes
characteristic of Xenopus embryo muscle; longitudinal
section. (H) An animal region cultured
alone failed to bind the antibody. All photographs
were taken under appropriate fluorescence
conditions. Positive antibody binding in
conjugates, and the absence of it in animal
only controls, has been seen in all six samples
of each kind which have been serially sectioned
throughout. Each sample yielded over
50 sections, all of which were examined after
antibody treatment. |
|
Figure 6. Stage Specificity of Induction; Examples of SP6 Analyses
Pieces of animal or vegetal tissue, isolated as shown in Figure 1 from
the blastula or early gastrula stages indicated, were used to prepare
conjugates and cultured until controls reached stage 18. Extracted
RNA was analyzed with our SP6 probe, which gives a protected fragment
of 285 nucleotides when hybridized to cardiac actin mRNA (~,-)
and of 135 nucleotides with cytoskeletal actin mRNA (0), as explained
in Experimental Procedures. The presence of cytoskeletal actin RNA
is an important internal control for the absence of cardiac actin RNA
in the right-hand lane of each group. |
|
Figure 7. Stage Specificity of Induction; Summary of Results
Seventy-seven SP6 analyses of the design shown in Figure 6 are summarized.
A cardiac actin RNA band was classified as clearly positive
(+), within a factor of 2 of the controls; clearly negative (-), at 1east 10
times less than a positive signal; or weakly positive (+_), 5-10 times
less than a positive signal. Each plus or minus indicates the result of
a single conjugate analysis. N+F stage refers to Nieuwkoop and Faber
(1956). |
|
Figure 8. The Time of Gene Activation after Conjugation at Different
Stages
Pieces of animal tissue were taken from blastulae or very early gastrulae
(stage 7 or 10), combined with stage 8 vegetal tissue, and incubated
until frozen at the final stage indicated. Analyses made use of an SP6
probe (see Experimental Procedures). Conjugates started at stage 7
transcribe cardiac actin genes at stages 12-13, 2 hr before those
started at stage 10 (gene transcripts first seen at stage 14). Cardiac,
Cytoskel., see legend to Figure 6. |
|
Figure 9. The Time of Gene Activation Is Related to the Developmental
Stage of the Responding Cells
Animal tissue at stage 7, 9, or 10 was combined with stage 8 vegetal
tissue and incubated for the times shown. The upper group of lines
indicates results with fertilized eggs. +, -+, and - represent the
amount of cardiac actin RNA as explained in the legend to Figure 7,
each sign being the average of two analyses from two independent experiments
that were in close agreement. |
|
Figure 10. Separation of Animal and Vegetal Parts of Conjugates
Vegetal cells were taken at stage 8 from embryos injected at the one-cell stage with 3H-thymidine and were combined with unlabeled stage 8 animal
tissue. All figures are autoradiographs of sections. (A) A conjugate incubated until control stage 18. Nuclei of vegetal origin (large yolk platelets)
are intensely labeled, and nuclei of animal origin almost unlabeled (enlarged view in B). (C, D) The animal part of a conjugate fixed as soon as
isolated 5 hr after conjugation; a single contaminating vegetal cell is easily seen (enlarged view in D). (E, F) Two animal exconjugates separated
after 3 hr and cultured until control stage 18; note the absence of any contaminating labeled vegetal cells. |
|
Figure 11. The Minimum Cell Contact Time Required for Gene Activation
Stage 8 animal and vegetal tissues were placed in contact and separated
after the times stated, using 1251-labeledv egetal cells to monitor
complete vegetal cell removal (see text). RNA was analyzed by our
SP6 probe. Note the cytoskeletal actin RNA in the 1 hr analyses. Two
other similar experimental series have been analyzed. Altogether eight
samples with a contact period of 40 min to 11/2 hr were negative; seven
samples with a 21/2-3 hr contact period, and numerous samples in contact
for 5-10 hr, were positive. |