|
Figure 1. ldentificatron of the Antrgens Recognized
by Monoclonal Antibodies L,46F7 and
PuBa.
(a) Gel electrophoresis (12% polyacrylamide)
according to Thomas and Kornberg (1975)
stained with Coomassie Blue. Reference proteins
(R) pgalactosidase (M, 116,000), phosphorylase
a (M, 94.000) bovine serum albumin
(M, 66,000). Lane 1: Total polypeptides
from 30 manually isolated nuclei of oocytes of
Xenopus laevis; lane 2; residual polypeptides
of mass-isolated oocyte nuclei after extraction
with Triton X-100 and high salt buffer; lane 3:
nuclear pore complex-lamina fraction of Xenopus
erythrocytes; lane 4: residual polypeptides
of cultured Xenopus kidney epithelial cells (A6
i .’ cells). Arrow denotes lamin L,,,; arrowheads
.&. 4G.w. denote lamina polypeptides L, and L,, (lanes 3
and 4).
(b) Corresponding autoradiograph of an immunoblot
experiment after incubation with antibody
L,46F7 This antibody shows exclusive
reaction with Lrrr (lanes 1’ and 2’) and does not
bind to the related polypeptides of erythrocytes
and A6 cells (lanes 3’ and 4’).
(c) Autoradiograph of an immunoblot reaction
with monoclonal antibody PKSB. Only the nuclear
lamina polypeptides L, and L,, show positive
reaction (lanes 3” and 4”). whereas L,,,
does not react (lanes 1” and 2”). |
|
Figure 2. Identification of Lamin L,,, as the Antigen Recognized by
the Antibody L,46F7 by Two-Dimensional Gel Electrophoresis
(a,a’) Nuclear pore complex-lamina fraction of oocytes separated by
two-dimensional gel electrophoresis (first dimension: NEPHGE, nonequilibrium
pH gradient gel electrophoresis; second dimension: SDS,
gel electrophoresis in the presence of sodium dodecyl sulfate). (a)
Nitrocellulose filter after staining with Ponceau-S showing the position
of Llll (open triangle); reference polypeptides subjected to coelectrophoresis
were bovine serum albumin (8) and phosphoglycerokinase
(P). (a’) Autoradiograph of the corresponding immunoblot with
antibody L046F7. The position of the positive spot (open triangle) coincides
with that of L,,,. |
|
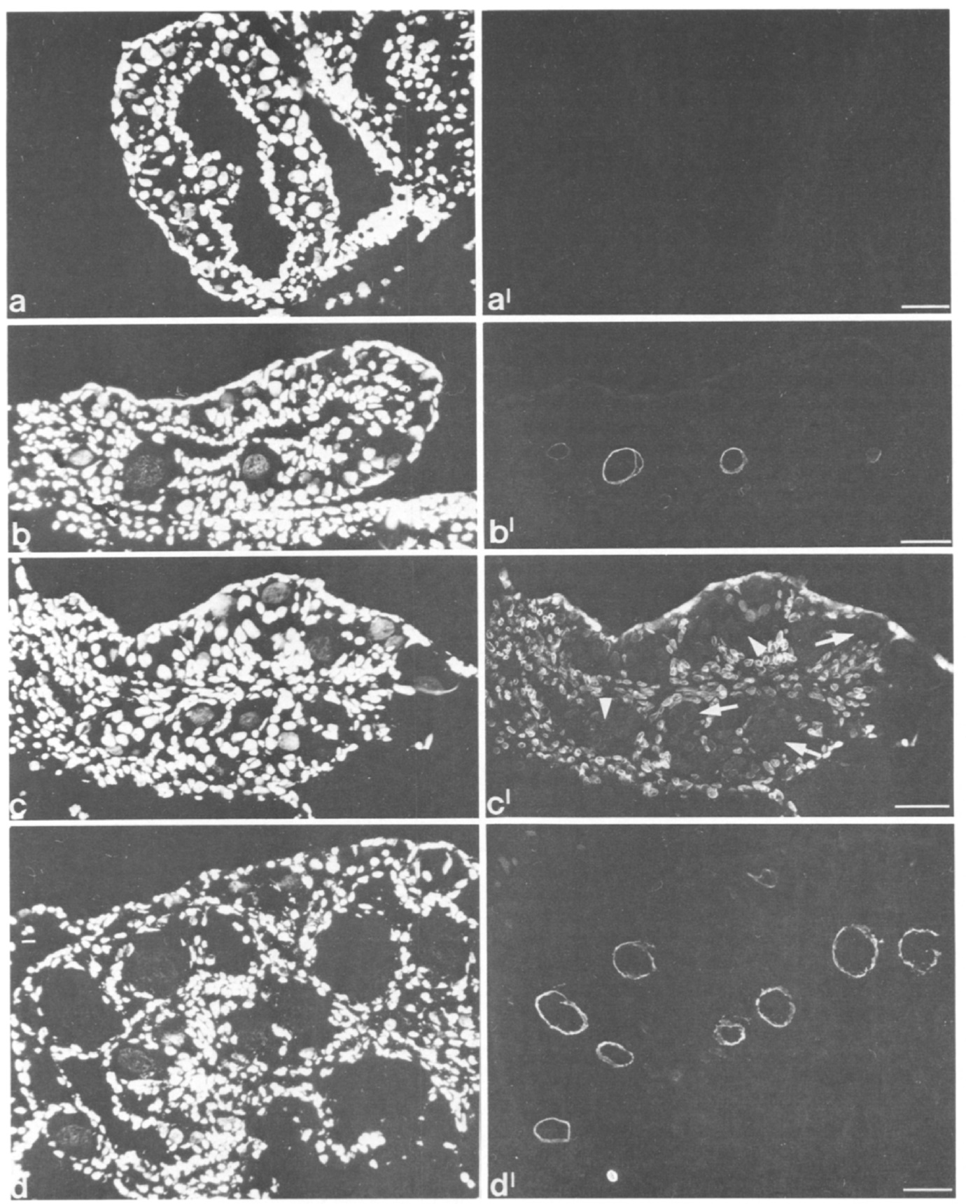
Figure 3. lmmunolocalization of Lamin L,,, by
Monoclonal Antibody L,46F7
(a,a’) Frozen section through an adult ovary (a:
section after staining of the DNA of nuclei with
DAPI; a’: lmmunofluorescence of the same
section after reaction with antibody (L,46F7).
This antibody reacts exclusively with the nuclear
envelope of the oocyte (a’) and does not
stain the nuclei of follicle (F) and interstitial
cells. N, oocyte nucleus.
(b,c) Electron micrographs showing immunolocalization.
Monoclonal antibody L,46F7 recognizes
exclusively the nuclear lamina and reacts
with no other structural component of the oocyte
nuclear envelope, as demonstrated by immunolocalization
using secondary antibodres
confugated to colloidal gold particles (b; c
shows a control experiment in which only secondary
antibodies have been applied). Nuclear
pore complexes are denoted by arrows; C,
cytoplasmic side; N, nuclear side. Bars, 50 pm
(a’) and 0.2 pm (b,c). |
|
Frgure 4. Soluble Nuclear Lamina Protein Llll in Unfertilrzed Eggs
(a) Sucrose gradrent centrifugation of soluble egg proteins and ELISA
assay with antibody L,46F7. Llll has a mean peak sedimentation
coefficient of approximately 9s. Reference proteins examined in parallel
were bovine serum albumin (4.3s) immunoglobulin G (6.5s) and
catalase (11.3s). (b) Autoradiograph showing identification of Lr,, in the
9s peak fraction shown in (a) after gel electrophoresis and immunoblot
reaction with antrbody L,46F7 (lane 2; lane 1 shows reference rmmunoblot
of L,,, obtained from nuclear lamina fraction of oocytes). |
|
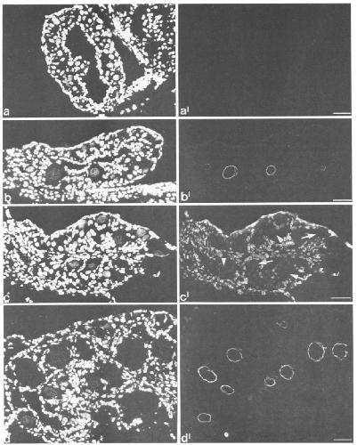
Figure 5. Localization of Lamin Llll in Early Embryos by lmmunofluorescence Microscopy
Frozen sections from embryos of early stage 9 (a’) and stage 9 (c’) were incubated with antibody L,46R. As a control, parallel sections of the same
embryos were stained with antibody PKBB (b’, early stage 8; d’, stage 9). (a-d) DAPI stain of the same sections, Up to stage 9, only L,46F7 (a’)
shows positive reaction, that is, staining of the nuclear periphery. Nuclei of late blastula embryos (stage 9; c’, d’) are positive with both antibodies.
Bar, 50 pm. |
|
Figure 6. Localization of Lamin L,,, in Later Stages of Development by lmmunofluorescence Microscopy
Frozen sections from embryos of stages 21 (a), 39 (b,c) and 47 (d,e). As development progresses, fluorescence with antibody L,46F7 IS weaker (aâ),
and no significant reaction is seen from stage 39 on, in most of the tissues examined (bâ, somite region of a tadpole). A parallel section of the same
tadpole shows intense staining of the lamina with antibody PKB8 (câ, somite region). In later stages (dâ,eâ), fluorescence of the nuclear periphery
with antibody L,46F7 is evident in some tissues, such as skeletal muscle (dâ, note that only muscle cell nuclei are positrve, while nuclei of connective
tissue do not react) and retina (eâ, note restriction of staining to certain retinal cells). (a-d) DAPI staining of the same sections for Identifying nuclei.
Bar, 50 urn. |
|
Figure 7. ldentificatron of Lamin L,,, during Development by Immunoblotting
Experiments
Autoradrographs showing immunoblot reactions of polypeptides separated
by gel electrophoresis. blotted and reacted with antibody L,46F7.
Lane 1: Reference samples showing nuclear lamina fraction of oocytes.
Lanes 2-6: Nuclear lamina-enriched residual fractions of embryos
(each lane contains the residues from 200 embryos). Lane 2:
stage 10; lane 3: stage 21; lane 4: stage 30; lane 5: stage 39, lane 6:
stage 47. In embryos of all stages, antibody L,46F7 recognizes a polypeptide
of M, 68,000, apparently L rrr, with comparable Intensities. |
|
Figure 8. Synthesis of Nuclear Lamrna Polypeptide durrng Embryogenesis
(a-c) In viva labeling of embryos (a: 100; b: 200; c: 200) by mcubatron
with 35S-methionine from stages 2 to 9 (a, a’), 8 to 13 (b) and 18 to 26
(c). Nuclear lamina-enriched fractions were separated by two-dimensional
gel electrophoresrs (first dimension: NEPHGE, nonequilibrium pH gradient gel electrophoresis; second dimension: SDS, direction of
second dimension electrophoresis in the presence of SDS), and poly
peptides were visualized by autoradiofluorography. (a’) Same gel as in
(a) but with fluorescent ink marks showing the positions of Coomassieblue-
stained reference proteins used for electrophoresis (8, bovine serum
albumin; P phosphoglycerokinase; A, aactin). Second dimension
electrophoresis has been performed using the gel system of Thomas
and Kornberg (1975) which results in better separation of the lamins.
The arrow denotes the posrtion of L,,,, which is only synthesized in minor
amounts not detected after the exposure time shown here. Note
that relatively large amounts of lamin L, have been synthesized. No
expression of L,, could be detected. Polypeptides C, and C, are newly
synthesized cytokeratins (cf. Franz et al., 1983).
(b) In the period from stage 8 to stage 13, synthesis of all three lamina
polypeptides could be detected (L,, was resolved into two isoelectric
variant spots; insert). C3 is cytokeratin C, of M, 40,000 (cf. Franz et al.,
1983). Second dimension electrophoresis was in the gel system of
Laemmli (1970).
(c) Later in development (from stages 18 to 26) only synthesis of lamins
L, and LII could be detected in significant amounts. Note that this exposure
time exceeds the time of optimal resolution of the three abundant
cytokeratins, C-C,. Second dimension electrophoresis as in (a).
(d) Quantitative determination of L, and L,, in early development by
ELISA assay with antibody PK138. Nuclear lamina-enriched fractions
of identical numbers of embryos of stages 7 (4 hr), 9 (7 hr), 12 (13 hr),
14 (16 hr), and 18 (20 hr) were used. Lamms L, and L,, were not detected
at stage 7, whereas in later stages the amount of structurebound
L, and L,, increased. A,,,, absorbance at 405 nm. |
|
Figure 9. Localization of the Antigen Recognized by Antibody L,46F7 in Adult Tissues by lmmunofluorescence Microscopy
(a-d) DAPI stain; (a’-d’) immunofluoresence. Frozen sections through heart (a’) and brain (b’) show positive reaction with antibody L,46F7 rn the
periphery of nuclei from cardiac muscle cells and neurons. Nuclei of other cells (for DAPI staining see arrowheads in b) do not react (a’). As a control,
parallel sections have been incubated with antibody PKBB (c’ presents an example of brain). Note that all nuclei are positive with antibody PKB8
recognizing lamins L, and Lr,. Intestinal cell nuclei (d’) are negative with antibody L,46F7. Bar, 50 pm. |
|
Figure 10. Identification of the Antigen Recognized by Antibody
L,46F7 in Adult Tissues by lmmunoblot Experiments and Peptide
Mapping
(a) Autoradiographs showing binding of antibody L,46F7 to a polypeptide
of M, 68,000 in fractions enriched in nuclear lamina material from
skeletal muscle (lane 2) heart (lane 3), and brain (lane 4) after separation
by SDS-polyacrylamide gel electrophoresis and immunoblotting.
For comparison, an oocyte nuclear lamina fraction has been examined
in parallel (lane 1). (b-c) Two-dimensional separation of ‘Wabeled
tryptic peptides of Llll from oocytes (b) and of the polypeptide with
identical isoelectric point and molecular weight present in nuclear
lamina-enriched fractions from adult brain (c). Both polypeptides present
tryptic fragments that are identical (some are denoted by arrows;
identity has also been shown by analysis of a mixture of the samples
shown in b and c).
E, first dimension by electrophoresis; C, second dimension by chromatography. |
|
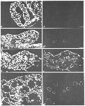
Figure 11. Localization of Lamin Llll in Developrng Ovaries by lmmunofluorescence Microscopy
Frozen sections through ovaries were stained with the monoclonal antibody L,46F7 (a’, b’, d), PKBB (c’), and DAPI (a-d). Ovaries of tadpoles in
the process of metamorphosis (stages 64-65 according to Nieuwkoop and Faber, 1967) do not react with antibody L,46F7 (a’). Two weeks after
metamorphosis, the nuclear envelope of early diplotene oocytes shows positive reaction (b’). Note that the accumulation of the antigen seems to
be gradual and that smaller oocytes show weaker reaction. Three weeks after metamorphosis (d’), the number of diplotene oocytes in the ovary
was increased (d,d’). For comparrson, parallel sections of the same ovary shown in (b, b’) have been incubated with the monoclonal antibodies PKB8
(c’) and DAPI (c) to demonstrate the distribution of the somatic cells in such ovarres. Diplotene oocytes (arrows in c’) are negative, as are nuclei
of cells that are significantly larger than somatic cell nuclei (some are denoted by arrowheads in c’), probably early meiotic stages. Bars, 50 pm. |