Click here to close
Hello! We notice that you are using Internet Explorer, which is not supported by Xenbase and may cause the site to display incorrectly.
We suggest using a current version of Chrome,
FireFox, or Safari.
J Gen Physiol
2004 Oct 01;1244:395-407. doi: 10.1085/jgp.200409120.
Show Gene links
Show Anatomy links
Mechanisms of regulation of epithelial sodium channel by SGK1 in A6 cells.
Alvarez de la Rosa D, Paunescu TG, Els WJ, Helman SI, Canessa CM.
???displayArticle.abstract???
The serum and glucocorticoid induced kinase 1 (SGK1) participates in the regulation of sodium reabsorption in the distal segment of the renal tubule, where it may modify the function of the epithelial sodium channel (ENaC). The molecular mechanism underlying SGK1 regulation of ENaC in renal epithelial cells remains controversial. We have addressed this issue in an A6 renal epithelial cell line that expresses SGK1 under the control of a tetracycline-inducible system. Expression of a constitutively active mutant of SGK1 (SGK1T(S425D)) induced a sixfold increase in amiloride-sensitive short-circuit current (Isc). Using noise analysis we demonstrate that SGK1 effect on Isc is due to a fourfold increase in the number of functional ENaCs in the membrane and a 43% increase in channel open probability. Impedance analysis indicated that SGK1T(S425D) increased the absolute value of cell equivalent capacitance by an average of 13.7%. SGK1T(S425D) also produced a 1.6-1.9-fold increase in total and plasma membrane subunit abundance, without changing the half-life of channels in the membrane. We conclude that in contrast to aldosterone, where stimulation of transport can be explained simply by an increase in channel synthesis, SGK1 effects are more complex and involve at least three actions: (1) increase of ENaC open probability; (2) increase of subunit abundance within apical membranes and intracellular compartments; and (3) activation of one or more pools of preexistent channels within the apical membranes and/or intracellular compartments.
???displayArticle.pubmedLink???
15452200 ???displayArticle.pmcLink???PMC2233909 ???displayArticle.link???J Gen Physiol ???displayArticle.grants???[+]
Figure 1. . Representative strip-chart recordings of the short-circuit current, Isc, in (A) nontreated and (B) tetracycline-stimulated cells. The apical perfusion solution contained 10 μM CDPC except for the pulse periods when the blocker concentration was increased to 30 μM (arrows). The marked inhibition of current by 100 μM amiloride at the end of the experiments (arrowhead) confirmed that the Isc mostly reflects ENaC mediated Na+ currents. The amiloride sensitive currents are also subtracted from the short-circuit currents to determine macroscopic rates of sodium transport expressed as blocker-sensitive Na+ currents (INa).
Figure 2. . Stimulation of Na+ transport in A6 epithelia by SGKTS425D expression. (A) Rates of Na+ transport measured as macroscopic Na+ currents (INa) are fivefold higher in tetracycline-treated cells (open circles) compared with nontreated cells (closed circles). (B) iNas do not change significantly with expression of SGKTS425D (+tetracycline). (C) The increase in Na+ transport in tetracycline-treated cells is due to a comparable increase in ENaC open channel densities (No). Values are means ± SE (n = 8 for nontreated cells, n = 9 for tetracycline-treated cells).
Figure 3. . Typical current noise PDS in control and SGKTS42 5 D expressing A6 cells. Current noise PDS at 10 μM (open circles) and 30 μM CDPC (solid circles) in (A) control and (B) tetracycline-treated cells. Data were fit by nonlinear regression to three components, including a Lorentzian {So/[1 + (f/fc)2]}, noise at low frequencies (S1/fα), and noise at higher frequencies (S2fβ), originating at the input stage of the voltage amplifier.
Figure 4. . SGKTS425D expression increases the number of active ENaCs and channel Po in A6 epithelia. (A) Expression of SGKTS425D (open circles, +tetracycline) increases Po by 43% above control cells (closed circles, âtetracycline). (B) NT, calculated as the quotient No/Po, increased by fourfold in cells expressing SGKTS425D (open circles, +tetracycline) compared with control cells (closed circles, âtetracycline). Values are means ± SE (n = 8 for nontreated cells, n = 9 for tetracycline-treated cells).
Figure 5. . Expression of SGKTS425D increases the absolute value of the |Ceq* | in A6 epithelia. Summary of the |Ceq*| at frequencies between 2.5 Hz and 5.5 kHz. Values are means ± SE for control (closed circles, n = 8) and tetracycline-treated (open circles, n = 7) A6 monolayers. For clarity, only every third point is shown. Induction of SGKTS425D expression caused a significant increase of cell capacitance at every frequency point.
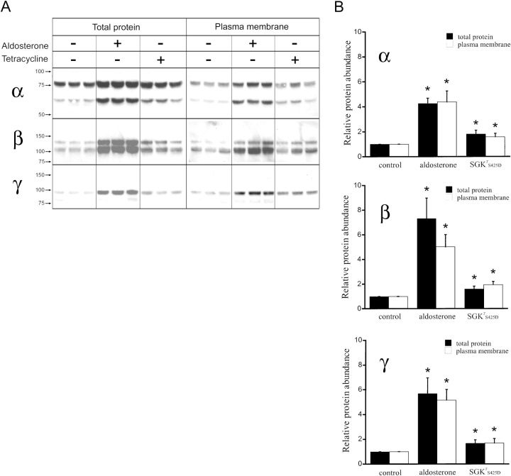
Figure 6. . Aldosterone and SGKTS425D effects on the relative abundance of xENaC subunits in A6 cells. (A) A6 cells grown on filters were treated overnight with 100 nM aldosterone or 1 μg/ml of tetracycline. Each condition was performed in triplicate. Apical plasma membrane proteins were biotinylated, recovered with streptavidinâagarose beads and analyzed by Western blot with antibodies against xENaC subunits (plasma membrane). Aliquots of cells lysates were run in parallel (total protein). Representative Western blots are shown for α, β, and γ ENaC subunits. Arrows indicate the migration of molecular mass standards. Molecular mass values are given in kD. (B) Quantification of relative changes in α, β, and γ ENaC subunit protein abundance. Bars represent mean ± SE of the values obtained in six to nine independent experiments, each of them performed in triplicate. Solid bars correspond to total protein and open bars to plasma membrane protein. Asterisks indicate statistically significant changes when compared with control conditions (P < 0.05).
Figure 7. . Quantification of total and plasma membrane ENaC in A6 cells. We used cell surface biotinylation to obtain an estimate of the number of ENaCs endogenously expressed in the plasma membrane of A6 cells. (A) Coomassie blue staining of a SDS-PAGE with the product of MBP–αENaC fusion protein purification. Molecular mass (kD) of each of the standards is indicated on the left. (B) A serial dilution of the MBP–αENaC fusion protein was detected by Western blot with a polyclonal antibody against α subunit. Signal intensities were quantified with a densitometer and plotted against the amount of fusion protein in fmol. The signal was linear between 5 and 20 fmol. (C) Samples from total protein (T) and biotinylated plasma membrane proteins (PM) were loaded in the same gel used for the serial dilution of fusion protein.
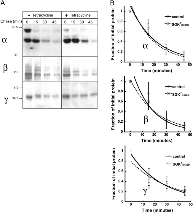
Figure 8. . xENaC subunits half-life in the plasma membrane. A6 cells were grown on filters, serum depleted, and treated overnight with 1 μg/ml of tetracycline. Apical membrane proteins were biotinylated at 4°C and then chased in serum-free medium for the indicated period of time (min). (A) Representative Western blots of biotinylated proteins recovered from the lysates of nontreated and tetracycline-treated cells and probed with antibodies against α, β, or γ xENaC subunits. The arrows on the left indicate migration of molecular mass markers (kD). (B) Time course of the decay in surface xENaC subunits. Data points are the mean ± SE of four to five independent experiments normalized to the values at time 0 fitted to a single exponential. There is no statistically significant difference between any of the data points in the two groups.
Figure 9. . Aldosterone and SGKTS425D effects on xENaC subunits rate of synthesis. (A) A6 cells grown on filters and serum depleted were treated overnight with 100 nM aldosterone or 1 μg/ml of tetracycline as indicated. Cells were metabolically labeled with [35S]methionine and [35S]cysteine for 15 min and lysed immediately afterwards. xENaC α, β, and γ subunits were recovered from the lysates by immunoprecipitation with specific polyclonal antibodies. The products of each immunoprecipitation were separated in SDS-PAGE and detected by autoradiography. A representative experiment performed in triplicate for each condition is shown. Arrows indicate the migration of molecular mass markers (kD). (B) Quantification of relative changes in α, β, and γ ENaC subunit rate of synthesis. Bars represent the mean ± SE of the values obtained in five independent experiments normalized to control conditions. Solid bars correspond to values for α subunit, open bars correspond to values for β subunit, and hatched bars correspond to values for γ subunit. Asterisks represent statistically significant changes when compared with control conditions. *, P < 0.01 compared with control.
Figure 10. . SGKTS425D effects on xENaC subunits phosphorylation. (A) A6 cells grown on filters were treated overnight with 100 nM aldosterone or 100 nM aldosterone and 1 μg/ml of tetracycline. Each condition was performed in triplicate. Cells were metabolically labeled with [32P]orthophosphate for 4 h in the presence of aldosterone or a combination of aldosterone and tetracycline and then lysed in the presence of phosphatase inhibitors. xENaC α, β, and γ subunits were recovered from the lysates by immunoprecipitation with specific polyclonal antibodies. The products of each immunoprecipitation were separated in SDS-PAGE and detected by autoradiography. Representative examples of α, β, and γ immunoprecipitation products for each condition are shown. Arrows indicate the migration of molecular mass markers (kD). (B) Quantification of relative changes in α, β, and γ ENaC subunit phosphorylation. Bars represent the mean ± SE of the values obtained from three samples normalized to those obtained from cells treated with aldosterone (solid bars). Open bars correspond to values obtained from cells treated with aldosterone and tetracycline.
Abramcheck,
Autoregulation of apical membrane Na+ permeability of tight epithelia. Noise analysis with amiloride and CGS 4270.
1985, Pubmed
Abramcheck,
Autoregulation of apical membrane Na+ permeability of tight epithelia. Noise analysis with amiloride and CGS 4270.
1985,
Pubmed Alvarez de la Rosa,
Role of SGK in hormonal regulation of epithelial sodium channel in A6 cells.
2003,
Pubmed
,
Xenbase Alvarez de la Rosa,
The serum and glucocorticoid kinase sgk increases the abundance of epithelial sodium channels in the plasma membrane of Xenopus oocytes.
1999,
Pubmed
,
Xenbase Alvarez de la Rosa,
Distribution and regulation of expression of serum- and glucocorticoid-induced kinase-1 in the rat kidney.
2003,
Pubmed Alvarez de la Rosa,
Effects of aldosterone on biosynthesis, traffic, and functional expression of epithelial sodium channels in A6 cells.
2002,
Pubmed
,
Xenbase Baxendale-Cox,
Steroid hormone-dependent expression of blocker-sensitive ENaCs in apical membranes of A6 epithelia.
1997,
Pubmed Bhargava,
The serum- and glucocorticoid-induced kinase is a physiological mediator of aldosterone action.
2001,
Pubmed
,
Xenbase Blazer-Yost,
Phosphoinositide 3-kinase is required for aldosterone-regulated sodium reabsorption.
1999,
Pubmed Butterworth,
cAMP-sensitive endocytic trafficking in A6 epithelia.
2001,
Pubmed Chen,
Epithelial sodium channel regulated by aldosterone-induced protein sgk.
1999,
Pubmed
,
Xenbase Debonneville,
Phosphorylation of Nedd4-2 by Sgk1 regulates epithelial Na(+) channel cell surface expression.
2001,
Pubmed
,
Xenbase Els,
Dual role of prostaglandins (PGE2) in regulation of channel density and open probability of epithelial Na+ channels in frog skin (R. pipiens).
1997,
Pubmed Els,
Differential effects of phorbol ester (PMA) on blocker-sensitive ENaCs of frog skin and A6 epithelia.
1998,
Pubmed Faletti,
sgk: an essential convergence point for peptide and steroid hormone regulation of ENaC-mediated Na+ transport.
2002,
Pubmed
,
Xenbase Farjah,
Dietary salt regulates renal SGK1 abundance: relevance to salt sensitivity in the Dahl rat.
2003,
Pubmed Firsov,
Cell surface expression of the epithelial Na channel and a mutant causing Liddle syndrome: a quantitative approach.
1996,
Pubmed
,
Xenbase Firsov,
The heterotetrameric architecture of the epithelial sodium channel (ENaC).
1998,
Pubmed
,
Xenbase Helman,
Time-dependent stimulation by aldosterone of blocker-sensitive ENaCs in A6 epithelia.
1998,
Pubmed Helman,
Substrate-dependent expression of Na+ transport and shunt conductance in A6 epithelia.
1997,
Pubmed
,
Xenbase Helman,
Blocker-related changes of channel density. Analysis of a three-state model for apical Na channels of frog skin.
1990,
Pubmed Huang,
Impaired regulation of renal K+ elimination in the sgk1-knockout mouse.
2004,
Pubmed Kamynina,
Concerted action of ENaC, Nedd4-2, and Sgk1 in transepithelial Na(+) transport.
2002,
Pubmed Kobayashi,
Activation of serum- and glucocorticoid-regulated protein kinase by agonists that activate phosphatidylinositide 3-kinase is mediated by 3-phosphoinositide-dependent protein kinase-1 (PDK1) and PDK2.
1999,
Pubmed Lang,
Deranged transcriptional regulation of cell-volume-sensitive kinase hSGK in diabetic nephropathy.
2000,
Pubmed
,
Xenbase Lawlor,
Essential role of PDK1 in regulating cell size and development in mice.
2002,
Pubmed Morris,
cAMP increases density of ENaC subunits in the apical membrane of MDCK cells in direct proportion to amiloride-sensitive Na(+) transport.
2002,
Pubmed Náray-Fejes-Tóth,
sgk is an aldosterone-induced kinase in the renal collecting duct. Effects on epithelial na+ channels.
1999,
Pubmed
,
Xenbase Park,
Serum and glucocorticoid-inducible kinase (SGK) is a target of the PI 3-kinase-stimulated signaling pathway.
1999,
Pubmed Păunescu,
LY-294002-inhibitable PI 3-kinase and regulation of baseline rates of Na(+) transport in A6 epithelia.
2000,
Pubmed
,
Xenbase Păunescu,
PGE(2) activation of apical membrane Cl(-) channels in A6 epithelia: impedance analysis.
2001,
Pubmed Pearce,
The role of SGK1 in hormone-regulated sodium transport.
2001,
Pubmed Setiawan,
Stimulation of Xenopus oocyte Na(+),K(+)ATPase by the serum and glucocorticoid-dependent kinase sgk1.
2002,
Pubmed
,
Xenbase Shigaev,
Regulation of sgk by aldosterone and its effects on the epithelial Na(+) channel.
2000,
Pubmed
,
Xenbase Shimkets,
In vivo phosphorylation of the epithelial sodium channel.
1998,
Pubmed Snyder,
Serum and glucocorticoid-regulated kinase modulates Nedd4-2-mediated inhibition of the epithelial Na+ channel.
2002,
Pubmed Staub,
Regulation of stability and function of the epithelial Na+ channel (ENaC) by ubiquitination.
1997,
Pubmed
,
Xenbase Valentijn,
Biosynthesis and processing of epithelial sodium channels in Xenopus oocytes.
1998,
Pubmed
,
Xenbase Vuagniaux,
Synergistic activation of ENaC by three membrane-bound channel-activating serine proteases (mCAP1, mCAP2, and mCAP3) and serum- and glucocorticoid-regulated kinase (Sgk1) in Xenopus Oocytes.
2002,
Pubmed
,
Xenbase Weisz,
Non-coordinate regulation of endogenous epithelial sodium channel (ENaC) subunit expression at the apical membrane of A6 cells in response to various transporting conditions.
2000,
Pubmed
,
Xenbase Wulff,
Impaired renal Na(+) retention in the sgk1-knockout mouse.
2002,
Pubmed
,
Xenbase Zhang,
Insulin-induced phosphorylation of ENaC correlates with increased sodium channel function in A6 cells.
2005,
Pubmed
,
Xenbase