Click here to close
Hello! We notice that you are using Internet Explorer, which is not supported by Xenbase and may cause the site to display incorrectly.
We suggest using a current version of Chrome,
FireFox, or Safari.
Development
2004 Sep 01;13117:4263-73. doi: 10.1242/dev.01283.
Show Gene links
Show Anatomy links
Evidence for overlapping, but not identical, protein machineries operating in vegetal RNA localization along early and late pathways in Xenopus oocytes.
???displayArticle.abstract???
RNAs that localize to the vegetal cortex of Xenopus oocytes are involved in early embryonic patterning and cell fate specification. Two mechanistically distinct pathways lead to RNA enrichment at the vegetal cortex: the early and the late. While several candidate proteins that seem to operate in the late localization pathway have been identified, proteins involved in the early pathway remain to be identified. In this study, we report on the isolation of a novel vegetally localized RNA in Xenopus oocytes that makes use of the early pathway and encodes a protein with a conserved but functionally uncharacterized NIF-motif. The localization signal of XNIF was mapped to a 300-nucleotide region in the 5'-UTR, which is able to mediate both accumulation to the mitochondrial cloud in stage I oocytes, as well as vegetal transport in later stage oocytes. The XNIF-LE contains 16 copies of the previously defined CAC-containing signal motifs for RNA localization. A critical number of such repeats seems to be required for accumulation in the mitochondrial cloud along the early pathway, but additional repeats seem to be required for localization along the late pathway. Cross-linking experiments identify two novel proteins of 62 and 64 kDa that interact with the XNIF-LE but not with the Vg1-LE that operates in the late pathway. Conversely, at least two of the previously identified VgRBPs, Vg1RBP1 and Prrp, also bind to the XNIF-LE. Thus, overlapping, but not identical, protein machineries mediate vegetal RNA localization along early and late pathways in Xenopus oocytes.
Fig. 2. XNIF encodes for a vegetally localized RNA in Xenopus oocytes. Whole-mount in-situ hybridization was carried out using albino oocytes of different stages. For a detailed analysis, sections of stained stage I and stage II oocytes were prepared. (A) In stage I oocytes, XNIF RNA is enriched in the mitochondrial cloud (examples marked by arrows). The cell nucleus is indicated by a dashed line in one oocyte. (B) In stage II oocytes, XNIF accumulates at the tip of the vegetal cortex (red arrow). In stage III-IV oocytes, XNIF RNA is associated with the vegetal cortex (black arrow). (C) Vegetal-cortical localization of XNIF in stage V/VI oocytes. (D) Section of whole-mount in-situ stained stage I oocyte. XNIF transcript is enriched in the mitochondrial cloud adjacent to the germinal vesicle. (E) Section of whole-mount in-situ stained stage II oocyte. XNIF is associated with reticular structures in a wedge-shaped region beneath the germinal vesicle. Scale bar:⼠100 μm in (A,D,E) and 1 mm in (B,C). (F) XNIF expression in a stage 33 Xenopus albino embryo. Whole-mount in-situ hybridization staining with a XNIF specific antisense probe is shown.
neff1 (neuronal intermediate filament family member 1) gene expression in Xenopus laevis embryo, NF stage 32, assayed via in situ hybridization, lateral view, anteriorleft, dorsal up.
Fig. 3.
The 5â²-UTR of XNIF contains a vegetal localization element. lacZ-tagged RNAs were injected into stage II-III albino oocytes and visualized by whole-mount in-situ hybridization after culturing in vitellogenin-enriched L15 medium. Vegetal localization was observed in oocytes injected with transcripts containing the 5â²-UTR (A) and with fragments containing nucleotides 252-551 (C) and 252-381 (D), but not with the coding region or 3â²-UTR (B). Scale bar: â¼500 μm. The section in (E) shows the wedge and cortical staining of a stage II oocyte that has been injected with a transcript containing the nucleotides 252-551 as shown in (C). (F) Schematic representation of the constructs used for XNIF localization element mapping experiments. 5â²-UTR, ORF and 3â²-UTR are represented by yellow, blue and red, respectively. Corresponding nucleotide positions of the XNIF cDNA are indicated. Capability of vegetal localization is marked with (+), absence of vegetal localization by (-). A weak and not always reproducible localizing activity was also observed for the fragment nt 1002-1308 and is marked by an asterisk.
Fig. 4.
XNIF-LE mediates accumulation in the mitochondrial cloud. lacZ-tagged RNAs were injected into stage I-III oocytes and localization was visualized by whole-mount in-situ hybridization. Localization to the vegetal cortex in stage III and enrichment in the mitochondrial cloud in stage I was observed with the transcript nt 252-551 (A,F). The transcript nt 252-381 does not accumulate in the mitochondrial cloud, but is transported in stage III oocytes (B,G). A transcript containing nucleotides 415-551 neither localizes in stage I nor in stage III oocytes (C,H). A transcript containing a duplication of nucleotides 252-381 in tandem repeat localizes to the mitochondrial cloud in stage I and to the vegetal cortex in stage II-III oocytes (D,I). No localization to the mitochondrial cloud or vegetal cortex was observed with a transcript containing the XNIF 3â²-UTR (E,J). Scale bar: â¼100 μm in A-D; â¼500 μm in F-J. (K) The nucleotide sequence of the nt 252-551 localization element is shown. CAC-sequence element containing motifs and isolated CAC triplets are shaded. The nt 252-381 minimal sequence that mediates localization in stage III oocytes is boxed.
Fig. 5.
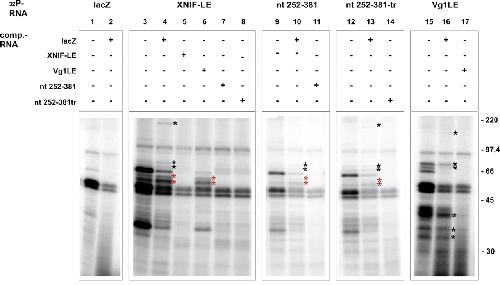
XNIF-LE is recognized by specific proteins from Xenopus oocyte extract. RNA binding was assayed in vitro by UV cross-linking. RNA-binding reactions contained 32P-labeled lacZ-tag RNA (lanes 1 and 2), lacZ-tag-XNIF-LE (252-551) (lanes 3-8), lacZ-tag-XNIF nt 252-381 (lanes 9, 10 and 11), lacZ-tag-XNIF nt 252-381 in a tandem repeat (nt 252-381-tr, lanes 12, 13 and 14) or lacZ-tag-Vg1-LE (lanes 15, 16 and 17) transcripts, S100 extract, and either solely tRNA competitor (1, 3, 9, 12 and 15), additional non-specific lacZ-tag competitor RNA (lanes 2, 4, 10, 13 and 16) or sequence specific competitor RNA, as indicated (lanes 5, 11, 14 and 17). For the XNIF-LE (252-551), additional unlabeled competitor and cross-competitor RNAs have been analyzed: Vg1LE (lane 6), XNIF nt 252-381 (lane 7) and XNIF nt 252-381 in a tandem repeat (lane 8). Cross-linked proteins were analyzed and detected by 10% SDS-PAGE and phospho-imaging. Specifically interacting proteins are marked by asterisks. Proteins that exclusively bound to the LE of the early pathway RNA XNIF are marked by red asterisks.
Fig. 6.
The XNIF localization element interacts with Vg1RBP and Prrp in co-immunoprecipitation experiments. lacZ-RNA, XNIF-LE (nt 252-551) as well as XNIF nt 252-381, XNIF nt252-381 in a tandem repeat (nt 252-381-tr) and Vg1-LE are radioactively labeled by in-vitro transcription. Vg1RBP, Prrp, VgRBP71 and L5 were produced by coupled transcription and translation in the TNT reticulocyte lysate system and incubated with radiolabeled RNAs. RNPs were immunoprecipitated by the myc-epitope and unbound RNA from the supernatant (sup.) and coprecipitated (bound) RNAs were analyzed by denaturing PAGE. Different labeled RNAs are marked on the left-hand side; in-vitro translated proteins are indicated on the top panel.