Click here to close
Hello! We notice that you are using Internet Explorer, which is not supported by Xenbase and may cause the site to display incorrectly.
We suggest using a current version of Chrome,
FireFox, or Safari.
???displayArticle.abstract???
BACKGROUND: The dual specificity phosphatase Cdc14 has been shown to be a critical regulator of late mitotic events in several eukaryotes, including S. cerevisiae, S. pombe. C. elegans and H. sapiens. However, Cdc14 homologs have clearly evolved to regulate distinct cellular processes and to respond to regulatory signals important for these processes. The human paralogs hCdc14A and B are the only vertebrate Cdc14 homologues studied to date, but their functions are not well understood. Therefore, it is of great interest to examine the function Cdc14 homologs in other vertebrate species.
RESULTS: We identified two open reading frames from Xenopus laevis closely related to human Cdc14A, called XCdc14alpha and XCdc14beta, although no obvious paralog of the hCdc14B was found. To begin a functional characterization of Xcdc14alpha and XCdc14beta, we raised polyclonal antibodies against a conserved region. These antibodies stained both the nucleolus and centrosome in interphase Xenopus tissue culture cells, and the mitotic centrosomes. GFP-tagged version of XCdc14alpha localized to the nucleulus and GFP-XCdc14beta localized to the centrosome, although not exclusively. XCdc14alpha was also both meiotically and mitotically phosphorylated. Injection of antibodies raised against a conserved region of XCdc14/beta into Xenopus embryos at the two-cell stage blocked division of the injected blastomeres, suggesting that activities of XCdc14alpha/beta are required for normal cell division.
CONCLUSION: These results provide evidence that XCdc14alpha/beta are required for normal cellular division and are regulated by at least two mechanisms, subcellular localization and possibly phosphorylation. Due to the high sequence conservation between Xcdc14alpha and hCdc14A, it seems likely that both mechanisms will contribute to regulation of Cdc14 homologs in vertebrates.
Figure 1. Primary Structure of Xenopus Cdc14α and Cdc14β phosphatases A. Schematic comparison of XCdc14α, XCdc14β and hCdc14A. The gray regions in hCdc14A correspond to the dual specificity phosphatase (DSP) domains identified in the crystal structure of hCdc14B. The nuclear export signal (NES), putative nuclear localization signal (NLS), and QGD repeats present in hCdc14A are conserved in XCdc14α and XCdc14β and are represented by shaded boxes. The asterisks represent the active site cysteines, and the circled p represents a canonical Cdk phosphorylation site (SPLK) located at residues 443–446 of XCdc14α. The solid lines at the bottom of the figure represent the regions of XCdc14α that were used for immunizations. Percentage identities between the subregions are indicated in grey. B. Alignment of the NLS, NES, and QGD sequences of hCdc14B, hCdc14A, XCdc14α and XCdc14β. Top left: hCdc14A, hCdc14B, XCdc14α, and XCdc14β contain putative bipartite NLS sequences that conform to the consensus motif (R/K)2X7–12(R/K)3,. The sequences are aligned with the bipartite NLS from nucleoplasmin. Top right: Alignment of the NES sequences that are present in all four Cdc14 homologs. The NES of hCdc14A was shown to be functional by mutational analysis [21]. The φ in the consensus motif signifies hydrophobic amino acids. Bottom: Alignment of conserved C-terminal QGD motifs.
Figure 2. Xenopus Cdc14α/β localize to the centrosome and nucleolus. A. Characterization of anti-XCdc14 antibodies. Affinity purified antibodies raised against the N- (aa 46–336) and C-termini (aa 376–577) of XCdc14α were used to Western blot Xenopus egg lysate. Arrows indicate a protein band that cross-reacts with both antibodies and that is competed away by pre-incubation of the antibodies with the immunizing antigen. The asterisk indicates a cross-reacting protein with X46-336 antibodies that partially competed by preincubation. This is likely to represent XCdc14β. B. XCdc14α/β localizes to the centrosome and nucleolus. Antibodies raised against the N-terminus of XCdc14α were used to immuno-stain Xenopus XTC cells. The cells were co-stained with the centrosomal marker γ-tubulin. The arrow in the upper left panel indicates XCdc14α/β localization to the centrosome in an interphase cell. XCdc14α/β localization to interphase nucleoli is also very prominent. C. XCdc14α is imported into nuclei formed in Xenopus embryonic extracts. Interphase Xenopus extracts were incubated with demembranated sperm (1000 sperm/μl) in order to induce nuclear formation. The time course was started by moving the reaction tubes to 23°C, and at the indicated times (in minutes) samples were diluted and centrifuged through a sucrose cushion to separate cytosolic and nuclear fractions. A sample from the top of the cushion was taken for immunoblot analysis (cytoplasm). The cushion was aspirated, the pellet was washed and centrifuged, and the entire pellet (nuclei) was loaded on SDS PAGE for subsequent immunoblotting with anti-XCdc14α antibodies. In vitro translated and 35S-labeled Xic1 was used as a positive control for nuclear formation and import (bottom panels). Xic1 was imported into the nucleus and destroyed by 55 minutes. Ubiquitinated forms of Xic1 can be seen in the nuclear fractions.
Figure 3. XCdc14α is mitotically phosphorylated during oocyte maturation and in the Xenopus embryonic cell cycle. A. XCdc14α protein levels are constant during development. Xenopus eggs were fertilized in vitro and at the indicated stages were frozen down for subsequent immunoblot analysis. B. XCdc14α is phosphorylated in mitosis in cycling Xenopus extracts. At the indicated times, samples from cycling extracts were frozen in liquid nitrogen for subsequent immunoblot analysis with anti-XCdc14α antibodies (top panel) and total histone H1 kinase activity (lower panel). For the immunoblot, lysates were resolved on 11% SDS PAGE gels. C. XCdc14α becomes phosphorylated after germinal vesicle breakdown (GVBD) in the maturing oocyte. Defolliculated Stage VI oocytes were induced to mature by the addition of progesterone (10 μg/ml). At the indicated times, oocytes were flash frozen for subsequent immunoblot analysis with antibodies against XCdc14α. GVBD occurred between 2 and 2.5 hrs. D. The majority of XCdc14α is monomeric or dimeric through the cell cycle. At 0, 70 and 90 min, samples from cycling extract were flash frozen in liquid nitrogen. Left: samples from the cycling extract were tested for total histone H1 kinase activity. Arrows indicate timepoints that were analyzed. Right: The frozen samples were diluted 10-fold in XB buffer, and 50 μg (1 μl equivalent of undiluted lysate) was fractionated on a Superdex200 gel filtration and probed with anti-XCdc14α antibodies. The elution profiles of molecular weight standards are depicted above the fractions.
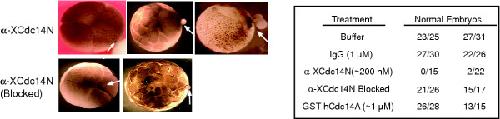
Figure 4. Injection of anti-XCdc14α/β antibodies into Xenopus embryos blocks cell division. One cell of 2-cell Xenopus embryos was injected with 10 nL of XB Buffer, purified rabbit IgG (final concentration ~1 μM), anti-XCdc14α/β antibodies (~200 nM final concentration), anti-XCdc14α/β antibodies pre-incubated with the immunizing antigen (Blocked), or GST-hCdc14A (1 μM). Left: examples of embryos injected with α-XCdc14α/β antibodies (top) or pre-blocked α-XCdc14α/β antibodies. Right: summary of two independent experiments. Embryos were analyzed at the 32-cell stage, and only embryos with an obvious large blastomere phenotype were considered abnormal.
Balasubramanian,
Tying the knot: linking cytokinesis to the nuclear cycle.
2000, Pubmed
Balasubramanian,
Tying the knot: linking cytokinesis to the nuclear cycle.
2000,
Pubmed Bardin,
A mechanism for coupling exit from mitosis to partitioning of the nucleus.
2000,
Pubmed Bembenek,
Regulation of the anaphase-promoting complex by the dual specificity phosphatase human Cdc14a.
2001,
Pubmed Cueille,
Flp1, a fission yeast orthologue of the s. cerevisiae CDC14 gene, is not required for cyclin degradation or rum1p stabilisation at the end of mitosis.
2001,
Pubmed Furstenthal,
Triggering ubiquitination of a CDK inhibitor at origins of DNA replication.
2001,
Pubmed
,
Xenbase Gray,
The structure of the cell cycle protein Cdc14 reveals a proline-directed protein phosphatase.
2003,
Pubmed Gruneberg,
The CeCDC-14 phosphatase is required for cytokinesis in the Caenorhabditis elegans embryo.
2002,
Pubmed Ho,
Systematic identification of protein complexes in Saccharomyces cerevisiae by mass spectrometry.
2002,
Pubmed Hou,
Mob1p interacts with the Sid2p kinase and is required for cytokinesis in fission yeast.
2000,
Pubmed Jaspersen,
Inhibitory phosphorylation of the APC regulator Hct1 is controlled by the kinase Cdc28 and the phosphatase Cdc14.
1999,
Pubmed Jaspersen,
A late mitotic regulatory network controlling cyclin destruction in Saccharomyces cerevisiae.
1998,
Pubmed Kaiser,
Disruption of centrosome structure, chromosome segregation, and cytokinesis by misexpression of human Cdc14A phosphatase.
2002,
Pubmed Li,
The human Cdc14 phosphatases interact with and dephosphorylate the tumor suppressor protein p53.
2000,
Pubmed Mailand,
Deregulated human Cdc14A phosphatase disrupts centrosome separation and chromosome segregation.
2002,
Pubmed McCollum,
Timing is everything: regulation of mitotic exit and cytokinesis by the MEN and SIN.
2001,
Pubmed Murray,
Cell cycle extracts.
1991,
Pubmed Pereira,
Regulation of the Bfa1p-Bub2p complex at spindle pole bodies by the cell cycle phosphatase Cdc14p.
2002,
Pubmed Pereira,
The Bub2p spindle checkpoint links nuclear migration with mitotic exit.
2000,
Pubmed Shirayama,
The yeast TEM1 gene, which encodes a GTP-binding protein, is involved in termination of M phase.
1994,
Pubmed Shou,
Exit from mitosis is triggered by Tem1-dependent release of the protein phosphatase Cdc14 from nucleolar RENT complex.
1999,
Pubmed Sohaskey,
Distinct, constitutively active MAPK phosphatases function in Xenopus oocytes: implications for p42 MAPK regulation In vivo.
1999,
Pubmed
,
Xenbase Sparks,
Sid2p, a spindle pole body kinase that regulates the onset of cytokinesis.
1999,
Pubmed Stegmeier,
Separase, polo kinase, the kinetochore protein Slk19, and Spo12 function in a network that controls Cdc14 localization during early anaphase.
2002,
Pubmed Strezoska,
Bop1 is a mouse WD40 repeat nucleolar protein involved in 28S and 5. 8S RRNA processing and 60S ribosome biogenesis.
2000,
Pubmed Taylor,
The activity of Cdc14p, an oligomeric dual specificity protein phosphatase from Saccharomyces cerevisiae, is required for cell cycle progression.
1997,
Pubmed Trautmann,
Fission yeast Clp1p phosphatase regulates G2/M transition and coordination of cytokinesis with cell cycle progression.
2001,
Pubmed Traverso,
Characterization of the Net1 cell cycle-dependent regulator of the Cdc14 phosphatase from budding yeast.
2001,
Pubmed Visintin,
The phosphatase Cdc14 triggers mitotic exit by reversal of Cdk-dependent phosphorylation.
1998,
Pubmed Visintin,
Cfi1 prevents premature exit from mitosis by anchoring Cdc14 phosphatase in the nucleolus.
1999,
Pubmed