Click here to close
Hello! We notice that you are using Internet Explorer, which is not supported by Xenbase and may cause the site to display incorrectly.
We suggest using a current version of Chrome,
FireFox, or Safari.
???displayArticle.abstract???
The transcription factor, VegT, is the meso-endodermal determinant in Xenopus laevis, and the localization of VegT RNA to the vegetal cortex of the oocyte is an important starting point for embryonic patterning. We have cloned the VegT orthologue from the urodele amphibian, Ambystoma mexicanum, the Mexican axolotl. Axolotl VegT (AmVegT) is expressed zygotically in the presumptive mesoderm and Rohon-Beard neurons as in X. laevis, and its expression persists at the tip of the tail as with zebrafish and chicken orthologues. Unlike in X. laevis, AmVegT RNA is not localized in the oocyte. This result highlights a major difference in the molecular organization of oocytes of these two amphibian orders.
Fig. 1. Expression of AmVegT in axolotl early embryos. (a) Late blastula. Individual cells in the marginal zone expressed AmVegT. Animal pole â A, Vegetal pole âV. (b) Gastrula. AmVegT was expressed in cells surrounding the area where the blastoporal lip forms. There was distinctly less expression at the dorsal lip (D) itself. (c) Gastrula section. A section through the blastoporal lip showed staining in the surface cells.
Fig. 2. Expression of AmVegT in embryonic tails. (a) Neurula. Distinct AmVegT staining was present at the posterior end of this neurula. The cranial neural folds are at the anterior end of the embryo, which was cleared following staining. (b) Tailbud. AmVegT was expressed in the tailbud, as seen in this uncleared embryo. (c) Tail expression. AmVegT expression persisted at the tip of the tail in this cleared stage 36 larva. In addition, AmVegT was expressed in cells along the spinal cord, which are likely Rohon-Beard cells.
Fig. 3. Expression of AmVegT in axolotl oocytes. Full-grown ovarian oocytes (O) were cut into animal (A) and vegetal (V) thirds. RNA, extracted from oocytes and pooled thirds, was examined for the presence of AmVegT RNA by RT-PCR, using AxEF1α as a control RNA. AmVegT RNA was found in both animal and vegetal pieces. There appears to be somewhat more AmVegT RNA in the vegetal third than the animal third, but this was not consistently seen. (−RT) – control with no reverse transcriptase.
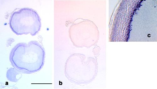
Fig. 4. Expression of AmVegT in ovarian oocytes. (a) Early vitellogenic oocytes hybridized with an antisense AmVegT probe. The clear area in the center of the oocytes is the germinal vesicle. It is surrounded by central cytoplasm, lacking yolk platelets, and then a thin layer of yolk-filled cytoplasm. There is stain throughout the cytoplasm, with a concentration at the boundary between the central cytoplasm and the yolk-filled cytoplasm. (b) An adjacent section hybridized with a sense probe has little stain. (c) Enlargement of the boundary between the central and the yolk-filled cytoplasm. Scale bar: 300 μm for (a) and (b); 50 μm for (c).