|
Fig. 4. Notochord and Hedgehog signalling are required for normal MRF expression. (A) Notochord was ablated at stage 13 and embryos analysed by in situ hybridisation 2 hours later for XMyf5, XMyoD and actin mRNA. Arrowheads indicate adaxial tissue with high XMyf5 expression that is absent after notochord ablation. (B) Xptc2 expression in stage 28 embryos is ablated by cyclopamine treatment, both in the first wave slow muscle-forming region (arrows) and elsewhere (arrowheads). Solanidine has no effect (inset). (C) Embryos treated with cyclopamine, or ethanol vehicle control, at stage 9 and fixed at stage 28 or 32. XMyf5 in PSM is reduced creating a `gap' in tail expression (arrows). However, dorsal and ventral somite borders retain XMyf5 expression (arrowheads). XMyoD is reduced in tail tip (arrows), but unaffected in somitic stripes anteriorly. The dorsal and ventral somite borders fail to upregulate XMyoD in presence of cyclopamine (white arrows). Note reduced chevron form and dorsoventral extent of anterior XMyoD signal. |
|
Fig. 7. XMyoD and XMyf5 expression distinguish several myogenic cell populations in Xenopus somites. XMyf5 (A,C,D,G-I) and XMyoD (B,E,F,J) mRNA was detected in whole-mount in situ hybridisation of stage 35 embryos. Sections of stained embryos at the approximate positions shown in A and B were mounted without further treatment (H,J) or after immunohistochemical staining for MyHC (C-G) or PCNA (I). (A,B) Whole-mount embryos showing the distinct expression of XMyf5 and XMyoD, with section positions marked. (C-F) Trunk level sections showing that the superficial (dermomyotome, brackets) layer of the somite has distinct morphology, lacks MyHC expression and expresses XMyf5 in dorsomedial (shown magnified in D) and ventrolateral lips, and in rare cells away from the lips (C, arrows). XMyoD, by contrast, is expressed within the superficial myotome (E,F, arrowheads) and in the most dorsal dermomyotomal cells (E, arrow). (G-I) Tail sections showing that XMyf5 transcript is located medially in undifferentiated posterior tailbud (G). The outer layer of mesoderm lacks XMyf5 (brackets). Cells with less signal appear orientated perpendicular to the notochord in slightly more anterior regions and are most obvious at dorsal and ventral somite extremes (H). The nuclei of some of these XMyf5-expressing cells contain PCNA (I). (J) XMyoD expression is primarily superficial within the somite in tail tip (bracket). (K-M) Col1a1 is expressed in trunk regions at stage 25 (K) and more widely at stage 37 (L), and vibratome sections reveal expression in epidermis and more weakly in underlying dermomyotome (M, arrowheads). |
|
Fig. 1. Monoclonal antibodies distinguish two populations of muscle cells in Xenopus. Transverse cryosections of stage 35 (A-E), stage 48 trunk (F,G) and adult hindlimb muscle (H-J) stained with monoclonal antibodies to all skeletal muscle MyHC isoforms (A), MyHC of the myotomal superficial muscle fibre monolayer (B-D,F,I,J), MyHC of the deep muscle layers (D,F, green) and NADH-TR histochemistry of adjacent serial sections showing fibres with high mitochondrial enzyme content (E,G,H). (A-G) Two antibodies (BA-F8 and EB165) preferentially label the outermost muscle fibre layer (arrowheads, A-D,F). Note that the superficial layer develops oxidative metabolism (arrowheads E,G). (H-J) In adult muscle, oxidative fibres weakly express MyHC immunologically, similar to the superficial muscle layer in the larvae (asterisks), whereas glycolytic fibres show only background staining (dots). (K,L) Whole-mount immunohistochemistry reveals that a subset of all muscle fibres marked by the 12/101 muscle marker (K) express the EB165 epitope (L). Note the EB165 expression at the leading edge of the abdominal fibre layer (arrowhead) and its lack in more dorsal fibres (asterisk) at stage 48. A subset of head fibres express slow (EB165). NT neural tube; not, notochord; e, eye; i, intestine; j, jaw; s, somite. |
|
Fig. 2. Slow muscle fibres mature in a posterior to anterior wave. Embryos at successive developmental stages were serially sectioned and stained for slow (EB165, red) and all (BA-D5, green) fibres. Approximate somite number in each row of sections is indicated on the right, counting from anterior. Thus, temporal development of a somite can be followed left to right. (A,B) Only fast fibres (green) are present in the â¼10 somites formed at stage 22. (C) Summary scale diagram showing the stages described with anteroposterior extent of expression of MyHC markers highlighted [modified, with permission, from Nieuwkoop and Faber (Nieuwkoop and Faber, 1967)]. (D-F) Fast expression continues anteriorly in stage 28 embryos, but in the most posterior region, the fast marker is less apparent. A few cells reactive with slow muscle marker (red) are detected medially only in the most posterior region of this â¼20 somite embryo (F, inset, brackets). (G-J) By stage 35, cells in post-anal tail express slow markers in a monolayer of superficial cells (I, arrows), which is not apparent in trunk somites (G,H). In the most posterior somites of these â¼36-somite embryos, slow markers appear to span the somite (J, brackets). (K-N) Fast fibres fill the somite at stage 48, as occurs earlier, and slow fibres form a monolayer at the dorsal and ventral extremes of the lateral myotome (arrows). Note that several antibodies show weak and variable crossreactivity to epidermis. not, notochord. Scale bars: in J, 75 μm for A,B,D-J; in K, 75 μm for K-N; in insets, 86 μm. |
|
Fig. 3. Overexpression of sonic hedgehog induces ectopic slow muscle fibres. Control lacZ RNA, with (right panels) or without (left panels) RNA encoding zebrafish shh, was injected into one side of four-cell Xenopus embryos and the animals allowed to develop for 2 days until stage 35. Embryos were fixed, serially sectioned and stained for slow (red, EB165) and all sarcomeric (green, A4.1025) MyHCs to identify muscle fibre populations. Whereas lacZ-injected embryos never showed alteration in superficial slow muscle fibre number or position, either close toβ -galactosidase activity or elsewhere, Shh-injected embryos frequently contained ectopic slow fibres in regions showing overexpression ofβ -galactosidase. Somite is outlined on X-gal panels. Despite injected RNA frequently being highest in anterior regions, ectopic slow muscle was detected posteriorly within embryos. This suggested that induction of ectopic slow fibres was more readily achieved in regions that normally contain slow superficial cells at this stage. |
|
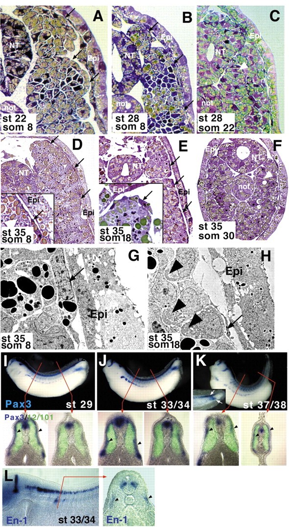
Fig. 6. Morphologically and molecularly distinct cell monolayer coats, first, trunk then tail somites. Embryos at stage 22(A), stage 28 (B,C) and stage 35 (D-F) were plastic embedded, transversally sectioned and stained with violet fuchsin. NT, neural tube; Not, notochord; Epi, epidermal bilayer. Yolk droplets appear yellow. A distinct superficial layer of cells covers trunk somites prior to superficial slow fibre differentiation (A,B,D, arrows) and anterior tail somites after slow fibre formation is initiated (E, arrows, compare with Fig. 1D). Insets show superficial layer (arrows) in middle of somite (D) and at dorsomedial lip (E) at stage 35. Note the transient lack of this layer in the nascent posterior somites present at stage 28 (C) and stage 35 (F), when single cells can be observed elongated across the somite (arrowheads). (G,H) Electron micrographs show a distinct dermomyotome (arrows) in somite 8 (G) but only spindly cells in somite 18 (H) above a layer of well-differentiated muscle with basal myofibrils (arrowheads). Pax3 mRNA was detected by whole-mount in situ hybridisation of stage 29-38 embryos (I-K, upper panels) and En1 mRNA marked a subset of medial cells in the superficial somite level with the notochord (L, arrowheads). Serial transverse 100 μm vibratome sections revealed that signal is superficial within the somite (I-K, lower panels, arrowheads) and non-overlapping with 12/101, a marker of differentiated muscle. Dorsal and ventral groups of cells in the tailbud express highly (K, inset, arrows). Expression persists in a complex pattern in all somites, but is consistently stronger in trunk somites anterior to about somite 12 at stage 29 (G) and stage 33/34 (H). Subsequently, Pax3 increases in tail somites (I). |