Click here to close
Hello! We notice that you are using Internet Explorer, which is not supported by Xenbase and may cause the site to display incorrectly.
We suggest using a current version of Chrome,
FireFox, or Safari.
???displayArticle.abstract???
In Xenopus embryos, proper hindbrain formation requires activities of both XMeis3 protein and retinoic acid (RA) signaling. In this study, we show that XMeis3 protein and RA signaling differentially interact to regulate hindbrain patterning. The knockdown of XMeis3 protein prevented RA-caudalizing activity from inducing hindbrain marker expression in both explants and embryos. In contrast, inhibition of RA signaling differentially modulated XMeis3 activity. Target genes that are jointly activated by either RA or XMeis3 activities could not be efficiently induced by XMeis3 when RA signaling was inhibited. However, transcription of an XMeis3 target gene that is not an RA target gene was hyper-induced in the absence of retinoid signaling. Target genes jointly induced by RA or XMeis3 protein were synergistically activated in the presence of both activities, while RA treatment inhibits the ability of XMeis3 to activate transcription of neural genes that are not RA targets. HoxD1, an RA direct-target gene was also identified as an XMeis3 direct-target gene. HoxD1 protein acts downstream of XMeis3 to induce hindbrain marker gene transcription. To pattern the hindbrain, RA requires functional XMeis3 protein activity. XMeis3 protein appears crucial for initial hindbrain induction, whereas RA signaling defines the spatial limits of hindbrain gene expression by modifying XMeis3 protein activity.
Fig. 1. XMeis3 and RA cooperatively regulate HoxD1 expression. Two-cell albino embryos were injected unilaterally into the animal hemisphere of one blastomere. All embryos are injected on the right side, viewed dorsally, and are oriented anterior (top), posterior (bottom). (A) Control (uninjected). (B) 0.8 ng XMeis3 RNA, HoxD1 expression is increased in 67% of the embryos (n = 30/45). (C) 7.5 ng of XMeis3 MO; 50 pg h-gal RNA, HoxD1 expression is reduced in 52% of the embryos (n = 11/21). (D) 0.1 AM RA (uninjected), HoxD1 expression is anteriorly expanded in 98% of the embryos (n = 61/62). (E) 0.8 ng XMeis3 RNA; 0.1 AM RA, HoxD1 expression is highly increased in 71% of the embryos (n = 27/38). (F) 7.5 ng XMeis3 MO; 0.1 AM RA, HoxD1 expression is reduced in 66% of the embryos (n = 21/32). (G) 0.8 ng XCYP26 RNA; 50 pg h-gal RNA, HoxD1 expression is reduced in 70% of the embryos (n = 16/23). (H) 0.8 ng XCYP26 RNA; 0.8 ng XMeis3 RNA; 50 pg h-gal RNA, HoxD1 expression is reduced in 90% of the embryos (n = 18/20).
Fig. 2. XMeis3 and RA cooperatively regulate HoxB3 expression. Two-cell albino embryos were injected unilaterally into the animal hemisphere of one blastomere. All embryos are injected on the right side, viewed dorsally, and are oriented anterior (top), posterior (bottom). (A) Control (uninjected; HoxB3 and HoxB9 staining). (B) 0.8 ng XMeis3 RNA (HoxB3 and HoxB9 staining) HoxB3 expression is increased in 44% of the embryos (n = 18/41). (C) 7.5 ng of XMeis3 MO (only HoxB3), HoxB3 expression is reduced in 73% of the embryos (n = 25/34). (D) 0.1 AM RA (uninjected; only HoxB3) HoxB3 expression is anteriorly expanded in 94% of the embryos (n = 33/35). (E) 0.8 ng XMeis3 RNA; 0.1 AM RA (HoxB3 and HoxB9 staining), HoxB3 expression is highly increased in 67% of the embryos (n = 22/33). (F) 7.5 ng XMeis3 MO; 0.1 AM RA (only HoxB3), HoxB3 expression is highly reduced in 92% of the embryos (n = 34/37). (G) 0.8 ng XCYP26 RNA; 50 pg h-gal RNA (only HoxB3), HoxB3 expression is posteriorized in 68% of the embryos (n = 13/19). (H) 0.8 ng XCYP26 RNA; 0.8 ng XMeis3 RNA; 50 pg h-gal RNA (only HoxB3), HoxB3 expression is reduced in 82% of the embryos (n = 23/28).
Fig. 3. RA modulates XMeis3 activation of Krox20 expression. Two-cell albino embryos were injected unilaterally into the animal hemisphere of one blastomere. All embryos are injected on the right side, viewed dorsally, and are oriented anterior (top), posterior (bottom). (A) Control (uninjected). (B) 0.8 ng XMeis3 RNA, Krox20 expression is increased in 70% of the embryos (n = 62/89). (C) 7.5 ng of XMeis3 MO, Krox20 expression is decreased in 68% of the embryos (n = 32/47). (D) 0.1 AM RA (uninjected), Krox20 expression stripes are fused in 98% of the embryos (81/83). (E) 0.8 ng XMeis3 RNA; 0.1 AM RA, ectopic Krox20 expression is decreased in 78% of the embryos (n = 62/80). (F) 7.5 ng XMeis3 MO; 0.1 AM RA; 50 pg h-gal RNA, Krox20 expression is decreased in 89% of the embryos (n = 49/55). (G) 0.8 ng XCYP26 RNA, Krox20 expression is posteriorized in 89% of the embryos (17/19). (H) 0.8 ng XCYP26 RNA; 0.8 ng XMeis3 RNA, Krox20 expression is highly expressed in 68% of the embryos (13/19).
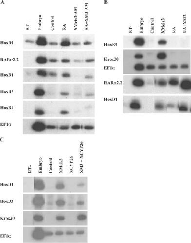
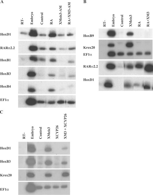
Fig. 4. XMeis3 and RA interactions in animal cap explants. (A) One-cell stage embryos were injected in the animal hemisphere with 1.6 ng of XMeis3- antimorph (AM) encoding RNA. Eighteen animal cap explants were removed from uninjected and injected groups of blastula embryos (stage 8 â 9) and treated with RA (1.0 AM) at stage 10.25. Explants from each group were grown to stage 18 and total RNA was isolated. RT-PCR analysis was performed with the markers HoxD1, RARa2.2, HoxB1, HoxB3, and HoxB4. EF1a served as a control for quantitating RNA levels in the different samples. For controls, RT-PCR and -RT-PCR was performed on total RNA isolated from normal embryos. (B) One-cell stage embryos were injected in the animal hemisphere with 1.6 ng of XMeis3 encoding RNA. Eighteen animal cap explants were removed from uninjected and injected groups of blastula embryos (stage 8 â 9) and treated with RA (0.1 AM). Explants from each group were grown to stage 18 and total RNA was isolated. RT-PCR analysis was performed with the markers: HoxB9, Krox20, RARa2.2, and HoxD1. EF1a served as a control for quantitating RNA levels in the different samples. For controls, RT-PCR and -RT-PCR was performed on total RNA isolated from normal embryos. (C) One-cell stage embryos were injected in the animal hemisphere with either 1.6 ng of XMeis3 or XCYP26 encoding RNAs. Eighteen animal cap explants were removed from uninjected and injected groups of blastula embryos (stage 8 â 9). Explants from each group were grown to stage 18 and total RNA was isolated. RT-PCR analysis was performed with the markers: Krox20, HoxB3, and HoxD1. EF1a served as a control for quantitating RNA levels in the different samples. For controls, RT-PCR and -RT-PCR was performed on total RNA isolated from normal embryos.
Fig. 5. RA signaling modifies XMeis3 expression along the A â P axis. Two-cell albino embryos were injected unilaterally into the animal hemisphere with XCYP26 or RALDH2 encoding RNAs. The injected side is on the left as marked by h-gal staining (blue) and all embryos are viewed dorsally with anterior on top and posterior at the bottom. (A) 0.5 ng of XCYP26 RNA, XMeis3 expression is shifted posteriorly in the hindbrain, and inhibited in the spinal cord in 100% of the embryos (86/86). The gap between hindbrain and spinal cord expression was narrowed or lost in 82% of the embryos (70/86). (B) 2.0 ng of RALDH2 RNA, XMeis3 expression is slightly shifted anteriorly, laterally expanded in the anterior spinal cord (as indicated with the dashed line) in 68% of the embryos (37/54). Expression in the hindbrain was not increased. (C) 2.0 ng of RALDH2 RNA and treatment with 500 nm all-trans-retinal (ATR) at stage 10.5. Similar phenotypes described in B were observed, including no increase in hindbrain expression, a slight anterior shift, and a lateral expansion of XMeis3 expression in 74% (35/48) of the embryos. (D) 18 nM RA treatment at gastrula stage 10.5. XMeis3 expression was strongly shifted anteriorly and increased in the spinal cord in 100% (76/76) of the embryos.
Fig. 6. HoxD1 is an XMeis3 direct-target gene that interacts with XMeis3 to activate hindbrain marker expression. (A) One-cell stage embryos were injected in the animal hemisphere with 1.6 ng of inducible XMeis3-GR encoding RNAs. Fifty-four and seventy-two animal cap explants were respectively removed from uninjected and injected groups of blastula embryos (stage 8 â 9). Eighteen explants from each group were grown in cyclohexamide and/or dexamethasone (see Materials and methods) to stage 12.5 and total RNA was isolated. RT-PCR analysis was performed with the markers: Krox20 and HoxD1. EF1a served as a control for quantitating RNA levels in the different samples. For controls, RT-PCR and -RT-PCR was performed on total RNA isolated from normal embryos. (B) One-cell stage embryos were injected in the animal hemisphere with either 1.6 ng of XMeis3 or HoxD1 encoding RNAs. Eighteen animal cap explants were removed from uninjected and injected groups of blastula embryos (stages 8 â 9). Explants from each group were grown to stage 18 and total RNA was isolated. RT-PCR analysis was performed with the markers: Krox20 and HoxB3. EF1a served as a control for quantitating RNA levels in the different samples. For controls, RT-PCR and -RT-PCR was performed on total RNA isolated from normal embryos. (C) Two-cell albino embryos were injected unilaterally into the animal hemisphere of one blastomere with RNAs encoding XMeis3 or HoxD1 proteins. In situ hybridization to Krox20 was performed in neurula stage embryos. All embryos are injected on the left side, viewed dorsally, and are oriented anterior (top), posterior (bottom). Upper left panel: control embryo. Upper right panel: XMeis3 injected (0.8 ng), 70% of the embryos had expanded Krox20 expression (62/89). HoxD1 injected (0.8 ng), none of the embryos had expanded Krox20 expression (0/27). XMeis3 and HoxD1 co-injected (0.8 ng), 68% of the embryos had ectopic Krox20 expression (28/41). (D) Embryos were co-injected with the rpt3-luc or rpt3-CAT reporter constructs (see Materials and methods) along with RNAs encoding HoxD1, Xpbx1, or XMeis3 proteins. One representative experiment is shown. At early-mid gastrula stages, 10 embryos were lysed per injection group and luciferase activity was assayed. The bar graph describes relative luciferase activity in each sample, with the control embryos expressing only the rpt3-luc reporter taken as 1. A mutant version of the rpt3-luc reporter did not activate luc transcription (not shown) in injected embryos.
Fig. 7. HoxD1 protein acts downstream of XMeis3. Two-cell albino embryos were injected unilaterally into the animal hemisphere of one blastomere with RNAs encoding XMeis3 and HoxD1-Eng (antimorph) proteins or XMeis3-MO and RNA encoding HoxD1 protein. In situ hybridization to Krox20 was performed in neurula stage embryos. All embryos are injected on the left side, viewed dorsally, and are oriented anterior (top), posterior (bottom). (A) Control (uninjected). (B) 0.8 ng XMeis3 RNA, Krox20 expression was increased in 81% of the embryos (9/11). (C) 0.1 ng HoxD1-Eng RNA, Krox20 expression was lost in 90% of the embryos (20/22). (D) 0.8 ng XMeis3 RNA, 0.1 ng HoxD1-Eng RNA RNA (two representative embryos), ectopic Krox20 expression was inhibited in 93% of the embryos (13/14). (E) 18 ng XMeis3-MO, Krox20 expression was highly inhibited in 75% of the embryos (39/52), Krox20 expression was fairly normal on both sides in 13.5% of the embryos (7/52). (F) 18 ng XMeis3 MO, 0.8 ng HoxD1 RNA (two representative embryos), Krox20 expression was fairly normal in 58% of the embryos (14/24). Krox20 expression was highly inhibited in only 21% of the embryos (5/24). Embryos solely expressing HoxD1 RNA resembled uninjected controls (see Fig. 6C). Similar results were observed for HoxB3 expression (not shown).