Click here to close
Hello! We notice that you are using Internet Explorer, which is not supported by Xenbase and may cause the site to display incorrectly.
We suggest using a current version of Chrome,
FireFox, or Safari.
???displayArticle.abstract???
During amphibian larval-to-adult intestinal remodeling, progenitor cells of the adult epithelium actively proliferate and differentiate under the control of thyroid hormone (TH) to form the intestinal absorptive epithelium, which is analogous to the mammalian counterpart. We previously found that TH-up-regulated expression of bone morphogenetic protein-4 (BMP-4) spatiotemporally correlates with adult epithelial development in the Xenopus laevis intestine. Here, we aimed to clarify the role of BMP-4 in intestinal remodeling. Our reverse transcriptase-polymerase chain reaction and in situ hybridization analyses indicated that mRNA of BMPR-IA, a type I receptor of BMP-4, is expressed in both the developing connective tissue and progenitor cells of the adult epithelium. More importantly, using organ culture and immunohistochemical procedures, we have shown that BMP-4 not only represses cell proliferation of the connective tissue but promotes differentiation of the intestinal absorptive epithelium. In addition, we found that the connective tissue-specific expression of BMP-4 mRNA is up-regulated by sonic hedgehog (Shh), whose epithelium-specific expression is directly induced by TH. These results strongly suggest that the Shh/BMP-4 signaling pathway plays key roles in the amphibian intestinal remodeling through epithelial-connective tissue interactions.
Figure 1. In vitro expression of bone morphogenetic protein-4 (BMP-4) mRNA in Xenopus laevis intestines cultured for 5 days and analyzed by in situ hybridization. A,B: Intact intestines. A high level of BMP-4 mRNA is localized in the connective tissue (CT) just beneath the epithelium (E) in the presence of thyroid hormone (TH, A) but not in its absence (B). Small arrowheads show the boundary between the epithelium and the connective tissue. C,D: Epithelium-free intestines cultured in the presence of TH. TH up-regulation of BMP-4 expression does not occur in the absence of Shh (C). When Shh protein (500 ng/ml) is added to the medium (D), BMP-4 mRNA becomes detectable in the connective tissue but does not in muscles (M). E,F: Intact (E) and epithelium-free (F) intestines cultured in the absence of TH. Even though Shh is added to the medium, BMP-4 mRNA remains undetectable in any tissue. Scale bars = 20 mu m.
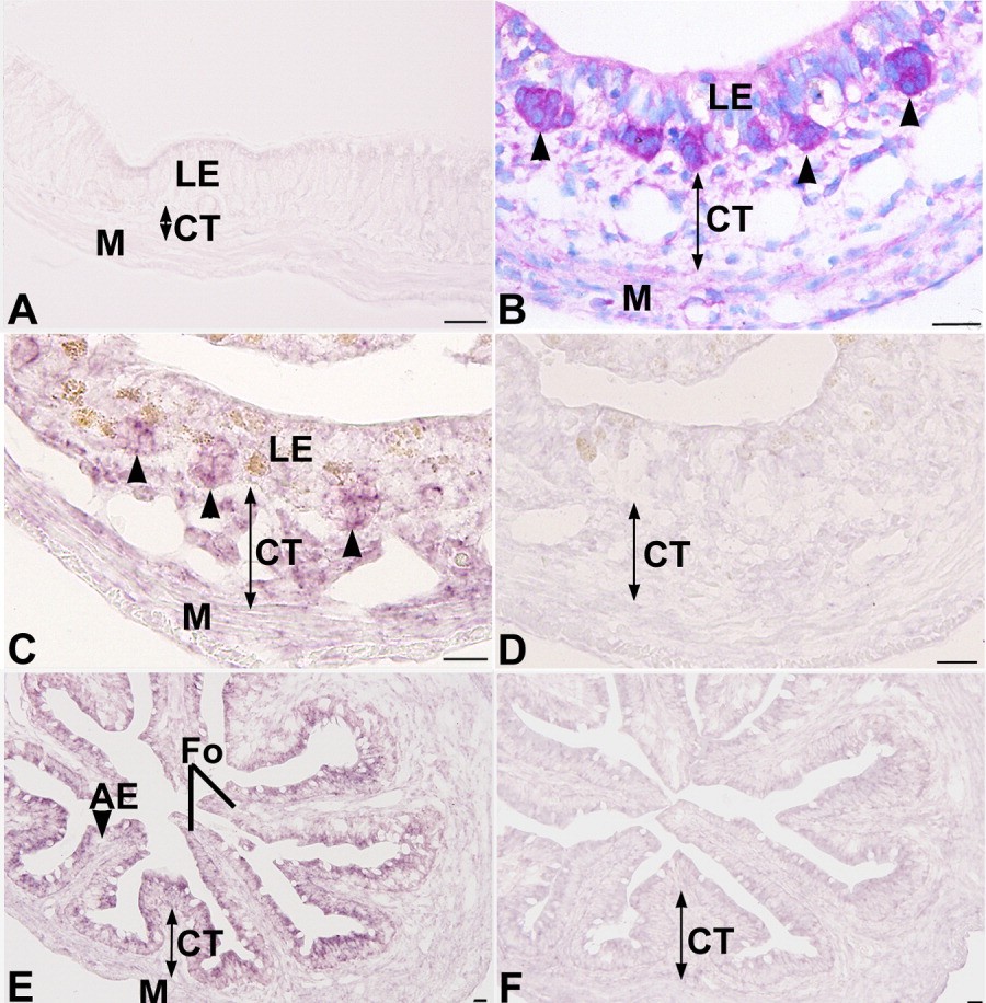
Figure 3. Developmental expression of BMPR-IA, a type I receptor of bone morphogenetic protein-4, mRNA in Xenopus laevis intestine analyzed by in situ hybridization. A-F: Cross-sections were hybridized with the antisense (A,C,E) and sense probes (D, F) and stained with methyl green-pyronin Y (MG-PY; B). A: Stage 56. No specific signals are detected in any tissue. B-D: Stage 61. Primordia of the adult epithelium (arrowheads) appear as islets stained red with MG-PY between the larval epithelium (LE) and the connective tissue (CT) (B). Specific signals are detectable in both the connective tissue and the adult primordia (C). E,F: Stage 66 after morphogenesis of intestinal folds (Fo) and the larval-to-adult epithelial replacement. Specific signals are mostly localized in the adult epithelium (AE) (E). In control sections hybridized with the sense probe, only background signals are weakly detectable throughout metamorphosis (D,F). M, muscle. Scale bars = 20 mu m.
Figure 4. A-L: Effects of exogenous bone morphogenetic protein-4 (BMP-4) (100 ng/ml) and Chordin proteins (1 mu g/ml) on tadpole intestines cultured for 5 days (A-I) and 7 days (J-L). Cross-sections were stained with methyl green-pyronin Y (MG-PY, A-C) and immunostained with anti-proliferating cell nuclear antigen (PCNA, D-F), anti-smooth muscle actin (G-I), and anti-intestinal fatty acid-binding protein (IFABP) antibodies (J-L). A,D,G,J: Control intestines cultured without exogenous bone morphogenetic protein-4 (BMP-4) and Chordin. Primordia of the adult epithelium (arrowheads) appear between the degenerating larval epithelium (LE) and the connective tissue (CT) on day 5 (A). Proliferating cells positive for PCNA are numerous in any tissue. In the epithelium, they are mostly localized in the adult primordia (D). B,E,H,K: In the presence of BMP-4. Proliferating cells on day 5 are numerous in the single layer of the epithelium (arrows) and the muscles (arrowheads) but few in the connective tissue (E), which is thinner (H) than in the control intestines (G). K,J: On day 7, IFABP immunoreactivity of the epithelium is much higher (K) than in the control intestines (J). C,F,I,L: In the presence of Chordin. Epithelial cells stained red with MG-PY (arrowheads) are fewer (C) than those in the control intestine (A). Proliferating cells on day 5 are numerous in the connective tissue (arrows) but few in the epithelium (F). The epithelium on day 7 is negative for IFABP (L). Scale bars = 20 mu m.