Click here to close
Hello! We notice that you are using Internet Explorer, which is not supported by Xenbase and may cause the site to display incorrectly.
We suggest using a current version of Chrome,
FireFox, or Safari.
The characterization of amphibian nucleoplasmins yields new insight into their role in sperm chromatin remodeling.
Frehlick LJ, Eirín-López JM, Jeffery ED, Hunt DF, Ausió J.
???displayArticle.abstract???
BACKGROUND: Nucleoplasmin is a nuclear chaperone protein that has been shown to participate in the remodeling of sperm chromatin immediately after fertilization by displacing highly specialized sperm nuclear basic proteins (SNBPs), such as protamine (P type) and protamine-like (PL type) proteins, from the sperm chromatin and by the transfer of histone H2A-H2B. The presence of SNBPs of the histone type (H type) in some organisms (very similar to the histones found in somatic tissues) raises uncertainty about the need for a nucleoplasmin-mediated removal process in such cases and poses a very interesting question regarding the appearance and further differentiation of the sperm chromatin remodeling function of nucleoplasmin and the implicit relationship with SNBP diversity The amphibians represent an unique opportunity to address this issue as they contain genera with SNBPs representative of each of the three main types: Rana (H type); Xenopus (PL type) and Bufo (P type).
RESULTS: In this work, the presence of nucleoplasmin in oocyte extracts from these three organisms has been assessed using Western Blotting. We have used mass spectrometry and cloning techniques to characterize the full-length cDNA sequences of Rana catesbeiana and Bufo marinus nucleoplasmin. Northern dot blot analysis shows that nucleoplasmin is mainly transcribed in the egg of the former species. Phylogenetic analysis of nucleoplasmin family members from various metazoans suggests that amphibian nucleoplasmins group closely with mammalian NPM2 proteins.
CONCLUSION: We have shown that these organisms, in striking contrast to their SNBPs, all contain nucleoplasmins with very similar primary structures. This result has important implications as it suggests that nucleoplasmin's role in chromatin assembly during early zygote development could have been complemented by the acquisition of a new function of non-specifically removing SNBPs in sperm chromatin remodeling. This acquired function would have been strongly determined by the constraints imposed by the appearance and differentiation of SNBPs in the sperm.
Figure 1. Electrophoretic characterization of R. catesbeiana, X. laevis and B. marinus SNPBs. Characterization of histones and SNBPs extracted from different tissues by: A) SDS-PAGE; B) AUT-PAGE run for a short time duration to separate histones (H), protamine-like proteins (PL) and protamines (P); and C) AUT-PAGE run for a longer duration to separate histones. Lane 1: R. catesbeiana liver; lane 2: R. catesbeiana blood; lane 3: R. catesbeiana sperm; lane 4: R. catesbeiana testes; lane 5: X. laevis testes; lane 6: B. marinus testes. CM; Chicken erythrocyte histones used as a histone marker. The SNBPs of X. laevis in lane 5, called sperm-specific proteins (SP1-6), are labeled and arrows (<) are used when needed to clearly indicate which bands the labels refer to. The asterisks point to the sperm-specific histone H1 complement in R. catesbeiana.
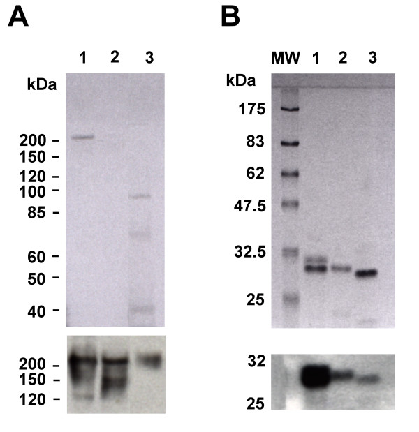
Figure 2. Western blot analysis of egg extracts and purified nucleoplasmin proteins. A) SDS-PAGE of heat soluble egg extracts from: Lane1, X.laevis; lane 2, B. marinus; lane 3, R. catesbeiana. Egg extract aliquots were mixed with an equal volume of 2 × SDS sample buffer and loaded in the gel without any previous boiling. Under these conditions the nucleoplasmin protein retains its pentameric conformatiom [25]. Molecular weights are a PageRuler Protein Ladder (Fermentas Life Sciences, Burlington, ON) B) SDS-PAGE of nucleoplasmin proteins purified from the extracts of: Lane1, X. laevis; lane 2, B. marinus; lane 3, R. catesbeiana. Samples were boiled in SDS (0.1%) sample buffer for 10 minutes before loading on the gel to separated nucleoplasmin proteins into their monomeric forms. MW is a prestained broad range molecular weight protein marker (New England Biolabs, Ipswich, MA). Western blot analysis was done using a polyclonal antibody elicited against recombinant X. laevis nucleoplasmin [28] and the results are shown in the lower panels of both A) and B) below the corresponding gels.
Figure 3. X. tropicalis nucleoplasmin gene. A) Nucleotide sequence and corresponding protein sequence of a nucleoplasmin cDNA from X. tropicalis [GenBank: NM_001016938]. The arrow heads and lines indicate the sites of insertion of the different introns. B) Schematic representation of the organization and structure of the gene. Exons are schematically represented by solid boxes, with black representing translated regions and grey representing untranslated regions. Introns are indicated by black lines. The numbers indicate the basepair size of the regions below them.
Figure 4. Coding nucleotide sequences of B. marinus and R. catesbeiana nucleoplasmin. The nucleotide sequences determined in this study and translated protein sequences of nucleoplasmin cDNAs from A) B. marinus [GenBank: DQ340657] and B) R. catesbeiana [GenBank:DQ340656] are shown.
Figure 5. Protein sequence alignment of amphibian nucleoplasmins. The primary structures of nucleoplasmin from X. laevis (A) [60] [GenBank: X04766], X. laevis (Burglin et al., 1987) [GenBank: CAA68363], X. tropicalis [GenBank: NP_001016938], B. marinus and R. catesbeiana are shown. Identical amino acids are denoted by an asterisk, highly similar residues by a colon, and less similar residues by a period, as determined by CLUSTAL W software. The partial protein sequences of B. marinus and R. catesbeiana determined by mass spectroscopy peptide sequencing are underlined. The highly structured N-terminal protein core spans amino acids 1–120 and has β sheets (β1–8), two type 1 turns (T1) and a β hairpin (βh) [8]. The other boxes represent the A1, A2, A3 polyglutamic tracts and the bipartite nuclear localization signal (NLS), as indicated.
Figure 6. Phylogenetic tree of nucleophosmin/nucleoplasmin family members from various metazoans. Amino acid sequences were aligned with CLUSTAL W (Thompson et al., 1994), and the tree was produced with MEGA 3.1 (Kumar et al., 2004) using the neighbor-joining method. Two other histone-binding proteins, NASP [61] and N1/N2 [62], which are closely related to each other [61] but unrelated to the nucleophosmin/nucleoplasmin family were used to root the tree. Bootstrap significance values are shown at the corresponding internal nodes after 1000 replications.
Figure 7. Northern dot blot hybridizations comparing Npm2 and Npm1 mRNA levels in different R. catesbeiana tissues. In the top two rows 7.5 μg of total RNA was loaded per well and the blot was probed with P32 labeled X. laevis Npm1 or R. catesbeiana Npm2 cDNA amplified from PCR. In the bottom row 1.5 μg of total RNA was loaded per well and the blot was probed with a P32 labeled 18S ribosome cDNA probe which was used as a loading control.
Figure 8. Schematic representation of the amphibian sperm chromatin remodeling by nucleoplasmin. The chromatin structures corresponding to each of the different SNBP types is schematically shown in the upper part of the figure. Upon fertilization of the egg, nucleoplasmin (shown here as a pentamer) stereo-specifically bound to histone H2A-H2B dimers exchanges these dimers with the SNBP components that become non-specifically (electrostatically) bound to the polyglutamic tracts of the unstructured C-terminal tails of the molecule. Note that only chromosomal proteins associated with the linker-like (non-helically constrained) domains of the sperm chromatin are extracted by nucleoplasmin which is highly phosphorylated at this stage of development [39]. Other nuclear chaperones are likely involved in the transition from the sperm chromatin to the male pronuclear chromatin. In this regard N1/N2 would be responsible for the assembly of H3/H4 [6] and NAP-1 for the assembly of egg/early embryo-specific histone B4 like histone H1 molecules [45].
Abbott,
Structural characterization of macroH2A containing chromatin.
2004, Pubmed
Abbott,
Structural characterization of macroH2A containing chromatin.
2004,
Pubmed Arnan,
Interaction of nucleoplasmin with core histones.
2003,
Pubmed
,
Xenbase Ausio,
Presence of a highly specific histone H1-like protein in the chromatin of the sperm of the bivalve mollusks.
1992,
Pubmed Ausió,
Histone H1 and evolution of sperm nuclear basic proteins.
1999,
Pubmed Bañuelos,
Activation mechanism of the nuclear chaperone nucleoplasmin: role of the core domain.
2003,
Pubmed
,
Xenbase Bavykin,
Histone H1 deposition and histone-DNA interactions in replicating chromatin.
1993,
Pubmed Bonner,
Two-dimensional gel analysis of histones in acid extracts of nuclei, cells, and tissues.
1980,
Pubmed Bürglin,
Cloning of nucleoplasmin from Xenopus laevis oocytes and analysis of its developmental expression.
1987,
Pubmed
,
Xenbase Burns,
Roles of NPM2 in chromatin and nucleolar organization in oocytes and embryos.
2003,
Pubmed
,
Xenbase Cotten,
Massive phosphorylation distinguishes Xenopus laevis nucleoplasmin isolated from oocytes or unfertilized eggs.
1986,
Pubmed
,
Xenbase Dilworth,
Two complexes that contain histones are required for nucleosome assembly in vitro: role of nucleoplasmin and N1 in Xenopus egg extracts.
1987,
Pubmed
,
Xenbase Dingwall,
Nucleoplasmin: the archetypal molecular chaperone.
1990,
Pubmed
,
Xenbase Dingwall,
Nucleoplasmin cDNA sequence reveals polyglutamic acid tracts and a cluster of sequences homologous to putative nuclear localization signals.
1987,
Pubmed
,
Xenbase Dingwall,
A polypeptide domain that specifies migration of nucleoplasmin into the nucleus.
1982,
Pubmed
,
Xenbase Dutta,
The crystal structure of nucleoplasmin-core: implications for histone binding and nucleosome assembly.
2001,
Pubmed Earnshaw,
Assembly of nucleosomes: the reaction involving X. laevis nucleoplasmin.
1980,
Pubmed
,
Xenbase Eirín-López,
Protamines, in the footsteps of linker histone evolution.
2006,
Pubmed Grisendi,
Role of nucleophosmin in embryonic development and tumorigenesis.
2005,
Pubmed Haushalter,
Chromatin assembly by DNA-translocating motors.
2003,
Pubmed Itoh,
Histone H1 variants as sperm-specific nuclear proteins of Rana catesbeiana, and their role in maintaining a unique condensed state of sperm chromatin.
1997,
Pubmed
,
Xenbase Kasinsky,
On the diversity of sperm histones in the vertebrates: IV. Cytochemical and amino acid analysis in Anura.
1985,
Pubmed
,
Xenbase Kleinschmidt,
Co-existence of two different types of soluble histone complexes in nuclei of Xenopus laevis oocytes.
1985,
Pubmed
,
Xenbase Kleinschmidt,
Molecular characterization of a karyophilic, histone-binding protein: cDNA cloning, amino acid sequence and expression of nuclear protein N1/N2 of Xenopus laevis.
1986,
Pubmed
,
Xenbase Kleinschmidt,
Nucleosome assembly in vitro: separate histone transfer and synergistic interaction of native histone complexes purified from nuclei of Xenopus laevis oocytes.
1990,
Pubmed
,
Xenbase Kumar,
MEGA3: Integrated software for Molecular Evolutionary Genetics Analysis and sequence alignment.
2004,
Pubmed Laemmli,
Cleavage of structural proteins during the assembly of the head of bacteriophage T4.
1970,
Pubmed Laskey,
Nucleosomes are assembled by an acidic protein which binds histones and transfers them to DNA.
1978,
Pubmed
,
Xenbase Leno,
Hyperphosphorylation of nucleoplasmin facilitates Xenopus sperm decondensation at fertilization.
1996,
Pubmed
,
Xenbase Lewis,
A walk though vertebrate and invertebrate protamines.
2003,
Pubmed Lohka,
Formation in vitro of sperm pronuclei and mitotic chromosomes induced by amphibian ooplasmic components.
1983,
Pubmed
,
Xenbase Loyola,
Histone chaperones, a supporting role in the limelight.
2004,
Pubmed Mann,
Characterization of spermatid/sperm basic chromosomal proteins in the genus Xenopus (Anura, Pipidae).
1982,
Pubmed
,
Xenbase McLay,
Remodelling the paternal chromatin at fertilization in mammals.
2003,
Pubmed Moore,
Reconstitution of native-like nucleosome core particles from reversed-phase-HPLC-fractionated histones.
1997,
Pubmed Ohsumi,
Characterization of the ooplasmic factor inducing decondensation of and protamine removal from toad sperm nuclei: involvement of nucleoplasmin.
1991,
Pubmed
,
Xenbase Okuda,
The role of nucleophosmin in centrosome duplication.
2002,
Pubmed Okuwaki,
Function of nucleophosmin/B23, a nucleolar acidic protein, as a histone chaperone.
2001,
Pubmed Philpott,
Sperm decondensation in Xenopus egg cytoplasm is mediated by nucleoplasmin.
1991,
Pubmed
,
Xenbase Philpott,
Nucleoplasmin remodels sperm chromatin in Xenopus egg extracts.
1992,
Pubmed
,
Xenbase Philpott,
Nuclear chaperones.
2000,
Pubmed Prado,
Nucleoplasmin: a nuclear chaperone.
2004,
Pubmed
,
Xenbase Prieto,
Nucleoplasmin interaction with protamines. Involvement of the polyglutamic tract.
2002,
Pubmed
,
Xenbase Ramos,
Nucleoplasmin-mediated unfolding of chromatin involves the displacement of linker-associated chromatin proteins.
2005,
Pubmed
,
Xenbase Rice,
Nucleoplasmin-mediated decondensation of Mytilus sperm chromatin. Identification and partial characterization of a nucleoplasmin-like protein with sperm-nuclei decondensing activity in Mytilus californianus.
1995,
Pubmed
,
Xenbase Saitou,
The neighbor-joining method: a new method for reconstructing phylogenetic trees.
1987,
Pubmed Sealy,
Purification of Xenopus egg nucleoplasmin and its use in chromatin assembly in vitro.
1989,
Pubmed
,
Xenbase Shackleford,
Cloning, expression and nuclear localization of human NPM3, a member of the nucleophosmin/nucleoplasmin family of nuclear chaperones.
2001,
Pubmed
,
Xenbase Shevchenko,
Mass spectrometric sequencing of proteins silver-stained polyacrylamide gels.
1996,
Pubmed Shintomi,
Nucleosome assembly protein-1 is a linker histone chaperone in Xenopus eggs.
2005,
Pubmed
,
Xenbase Smith,
Expression of a histone H1-like protein is restricted to early Xenopus development.
1988,
Pubmed
,
Xenbase Szebeni,
Nucleolar protein B23 has molecular chaperone activities.
1999,
Pubmed Takamune,
Primary structure of toad sperm protamines and nucleotide sequence of their cDNAs.
1991,
Pubmed Thompson,
CLUSTAL W: improving the sensitivity of progressive multiple sequence alignment through sequence weighting, position-specific gap penalties and weight matrix choice.
1994,
Pubmed Wang,
Histones are the major chromosomal protein components of the sperm of the nemerteans Cerebratulus californiensis and Cerebratulus lacteus.
2001,
Pubmed Welch,
Characterization of a sperm-specific nuclear autoantigenic protein. I. Complete sequence and homology with the Xenopus protein, N1/N2.
1990,
Pubmed
,
Xenbase Zhang,
Detection and quantification of Pfiesteria piscicida by using the mitochondrial cytochrome b gene.
2002,
Pubmed Zucker,
The histone H3/H4.N1 complex supplemented with histone H2A-H2B dimers and DNA topoisomerase I forms nucleosomes on circular DNA under physiological conditions.
1990,
Pubmed
,
Xenbase