Click here to close
Hello! We notice that you are using Internet Explorer, which is not supported by Xenbase and may cause the site to display incorrectly.
We suggest using a current version of Chrome,
FireFox, or Safari.
Identification of XMAP215 as a microtubule-destabilizing factor in Xenopus egg extract by biochemical purification.
Shirasu-Hiza M, Coughlin P, Mitchison T.
???displayArticle.abstract???
Microtubules (MTs) polymerized with GMPCPP, a slowly hydrolyzable GTP analogue, are stable in buffer but are rapidly depolymerized in Xenopus egg extracts. This depolymerization is independent of three previously identified MT destabilizers (Op18, katanin, and XKCM1/KinI). We purified the factor responsible for this novel depolymerizing activity using biochemical fractionation and a visual activity assay and identified it as XMAP215, previously identified as a prominent MT growth-promoting protein in Xenopus extracts. Consistent with the purification results, we find that XMAP215 is necessary for GMPCPP-MT destabilization in extracts and that recombinant full-length XMAP215 as well as an NH2-terminal fragment have depolymerizing activity in vitro. Stimulation of depolymerization is specific for the MT plus end. These results provide evidence for a robust MT-destabilizing activity intrinsic to this microtubule-associated protein and suggest that destabilization may be part of its essential biochemical functions. We propose that the substrate in our assay, GMPCPP-stabilized MTs, serves as a model for the pause state of MT ends and that the multiple activities of XMAP215 are unified by a mechanism of antagonizing MT pauses.
Figure 1. There is a CPP MT–depolymerizing activity in Xenopus egg extract independent of XKCM1. (A) XKCM1 overlaps with the peak of depolymerizing activity on sucrose gradients. 50 μl of clarified CSF extract was sedimented over a 5–20% sucrose gradient. Western blot of fractions showed that XKCM1 is present in fractions 10–18. CPP MT–depolymerizing activity peaked in fractions 9–14 (see B). Arrows below the blot indicate sedimentation values for protein standards run on a parallel gradient. Active fractions are labeled with asterisks. (B) Inhibition of XKCM1 did not inhibit depolymerizing activity in sucrose gradient fractions. Fractions from the sucrose gradient shown in A were assayed for depolymerizing activity, using rhodamine-labeled CPP MTs as described in the Materials and methods. Each fraction was assayed in the absence of ATP and in the presence of random IgG or inhibitory amounts of α-XKCM1 antibody and fixed after 10 min. XKCM1 depolymerizing activity is ATP dependent. As shown, neither the absence of ATP nor the presence of αXKCM1 antibody blocked the depolymerizing activity of active fractions. Active fractions are labeled with asterisks. Bar, 10 μm.
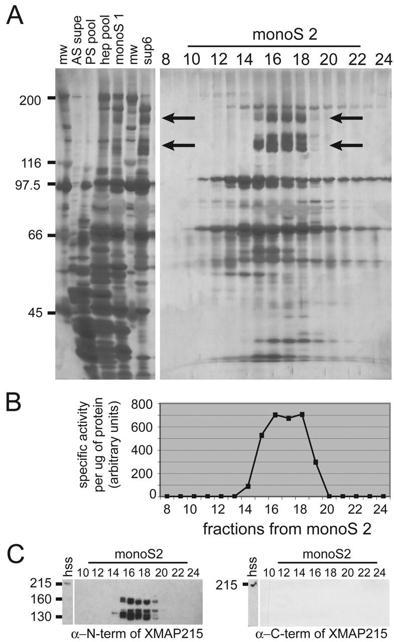
Figure 2. Proteins of 130 and 160 kD were enriched during the purification and consistently copeaked with activity. (A) Specific activity increased with each step of the purification, as did the prominence of p160 and p130 bands (arrows). Shown here is a silver-stained polyacrylamide gel containing fractions from the purification. Samples for the first seven lanes are listed as follows: mw, molecular weight markers; AS supe, 40% AS supernatant (5 μg protein; 4 U of specific activity); PS pool, phenyl sepharose pool of active fractions (4 μg; 10 U); hep pool, heparin pool (4.8 μg; 300 U); monoS 1, first monoS column (5 μg; 600 U); sup6, gel filtration/superose 6 (2.5 μg; 600 U). The remaining lanes (monoS2) represent fractions from the second monoS column; depolymerizing activity peaked in fractions 16, 17, and 18 (see B). Lanes loaded with these fractions each contain ∼1.3 μg of total protein and 1,260 U of specific activity. Arrows indicate p130 and p160 bands. Identity of the p130 bands (lower arrows) from these fractions was determined by mass spectrometry. (B) Activity profile for fractions for the monoS2 step. Relative activity was estimated for fractions 8–24 by serial titration in the depolymerization assay and is presented in this graph as arbitrary units per microgram protein. (C) p160 and p130 bands are NH2-terminal fragments of XMAP215. Western blots of high-speed supernatant (hss) and monoS2 fractions were probed for XMAP215 with NH2-terminal– or COOH-terminal–specific antibodies.
Figure 3. XMAP215 contributes to CPP MT–depolymerizing activity in CSF extract. (A) Full-length XMAP215 copeaks with depolymerizing activity on a sucrose gradient. Sucrose gradient fractions were analyzed by Western blot with COOH-terminal–specific α-XMAP215 antibody. Active fractions are labeled with asterisks. (B) Crude extract was specifically depleted of full-length XMAP215, XKCM1, or both. Samples were depleted with random IgG, COOH-terminal α-XMAP215 antibody (ΔXMAP215), α-XKCM1 antibody (ΔXKCM1), or both α-XMAP215 and α-XKCM1 antibodies (Δboth). Western blots for the four major depolymerizers (XMAP215, XKCM1, katanin, and Op18) are shown for each condition. (C) Depletion of XMAP215 and XKCM1 from crude extract inhibited CPP MT depolymerization. Rhodamine-labeled CPP MTs were incubated in depleted extracts for 10 min. Representative fluorescence images of each sample are shown. Buffer used for negative control was CSF-XB (extract buffer used, see Materials and methods). Bar, 10 μm.
Figure 4. Pure recombinant XMAP215 depolymerizes CPP MTs in vitro. (A) Full-length XMAP215 and an NH2-terminal fragment of XMAP215 both depolymerize CPP MTs, but a COOH-terminal fragment does not. Rhodamine-labeled CPP MTs were incubated for 15 min in buffer containing different concentrations of full-length XMAP215 (F), an NH2-terminal fragment (N), or a COOH-terminal fragment (C). Shown here are representative fluorescence images for four concentrations of each protein. Bar, 10 μm. (B) Full-length XMAP215 and the NH2-terminal fragment have depolymerizing activity between 6.25 and 200 nM. MT polymer was quantitated for each sample by calculating average fluorescent pixel area per field for each protein concentration of full-length (F), NH2-terminal (N), and COOH-terminal (C) XMAP215. MT polymer is expressed as percent median value of buffer control; error bars denote 10th and 90th percentile; the 75th, 50th, and 25th percentiles are represented by the top, middle, and bottom of each box.
Figure 5. XMAP215 promotes CPP MT depolymerization at MT plus ends. (A) XMAP215 promotes end-dependent CPP MT depolymerization. Shown here are images from a time-lapse series of dim-bright CPP MTs (see Materials and methods) treated with buffer alone or buffer plus 19 nM XMAP215 (interval between still images is 40 s). In each sample, kinesin motility was used to determine MT polarity; translocation of the MT from left to right represents minus end leading and plus end lagging. In the XMAP215-treated sample, the plus end shortens while the minus end remains stable (see Video 1, available at http://www.jcb.org/cgi/content/full/jcb.200211095/DC1). (B) Depolymerization by XMAP215 is specific to MT plus ends. Depolymerization rates were quantitated for each MT end from experiments as in A. Error bars denote 10th and 90th percentile; 75th, 50th, and 25th percentiles are represented by the top, middle, and bottom of each box.
Figure 6. Mechanism of CPP MT depolymerization by XMAP215. (A) Nocodazole does not depolymerize CPP MTs in our assay. Dimer sequestration was tested by incubating rhodamine-labeled CPP MTs with buffer plus DMSO or 20 μM nocodazole. (B) XMAP215 does not accelerate hydrolysis of GMPCPP. TLC was used to detect the hydrolysis of γ-32P–labeled GMPCPP in CPP MTs treated with buffer alone, full-length XMAP215, NH2-terminal fragment of XMAP215, or Na-BRB80/60% glycerol (positive control). Time points were taken from each reaction at 0, 30, and 60 min. [γ-32P]GMPCPP (CPP), [γ-32P]ATP (ATP), and 32Pi (Pi) are loaded as markers. Release of Pi is seen by the appearance of a second spot in Na-BRB80/60% glycerol, but not in XMAP215 or NH2-terminal XMAP215 samples. Microscopy assays run in parallel demonstrated that treatment with XMAP215 and the NH2-terminal construct depolymerized CPP MTs by the final time point (not depicted). (C) XMAP215 causes protofilament curling on MT ends. CPP MTs were incubated in buffer alone or buffer plus 38.5 nM full-length XMAP215 for 2 min and imaged by negative stain EM. Bars: (left) 200 nm; (right) 50 nm.
Figure 7. Model for the potential mechanism of XMAP215 as an antipause factor. Depicted here are the growing MT end (top) as a sheet-like structure of protofilament extensions and the shrinking MT end (bottom) with curled protofilaments (adapted from Miyamoto et al., 2002). The hypothetical paused MT end structure (middle) is positioned as an obligate intermediate between the two, drawn here with a blunt-ended, closed tube structure. We propose that XMAP215 destabilizes this pause state by weakening interprotofilament bonds and/or preventing tube closure, increasing transition to either the growing or shrinking state (arrows). Based on work by Cassimeris et al. (2001), we depict XMAP215 here as a long curved molecule that can bind protofilaments along their long axis.
Belmont,
Identification of a protein that interacts with tubulin dimers and increases the catastrophe rate of microtubules.
1996, Pubmed,
Xenbase
Belmont,
Identification of a protein that interacts with tubulin dimers and increases the catastrophe rate of microtubules.
1996,
Pubmed
,
Xenbase Belmont,
Real-time visualization of cell cycle-dependent changes in microtubule dynamics in cytoplasmic extracts.
1990,
Pubmed
,
Xenbase Caplow,
Evidence that a single monolayer tubulin-GTP cap is both necessary and sufficient to stabilize microtubules.
1996,
Pubmed Caplow,
The free energy for hydrolysis of a microtubule-bound nucleotide triphosphate is near zero: all of the free energy for hydrolysis is stored in the microtubule lattice.
1994,
Pubmed Cassimeris,
XMAP215 is a long thin molecule that does not increase microtubule stiffness.
2001,
Pubmed
,
Xenbase Chrétien,
Structure of growing microtubule ends: two-dimensional sheets close into tubes at variable rates.
1995,
Pubmed Desai,
Kin I kinesins are microtubule-destabilizing enzymes.
1999,
Pubmed
,
Xenbase Desai,
The use of Xenopus egg extracts to study mitotic spindle assembly and function in vitro.
1999,
Pubmed
,
Xenbase Drechsel,
The minimum GTP cap required to stabilize microtubules.
1994,
Pubmed Garcia,
Spindle-kinetochore attachment requires the combined action of Kin I-like Klp5/6 and Alp14/Dis1-MAPs in fission yeast.
2002,
Pubmed Garcia,
Fission yeast ch-TOG/XMAP215 homologue Alp14 connects mitotic spindles with the kinetochore and is a component of the Mad2-dependent spindle checkpoint.
2001,
Pubmed
,
Xenbase Gard,
A microtubule-associated protein from Xenopus eggs that specifically promotes assembly at the plus-end.
1987,
Pubmed
,
Xenbase Gergely,
The ch-TOG/XMAP215 protein is essential for spindle pole organization in human somatic cells.
2003,
Pubmed Gliksman,
Okadaic acid induces interphase to mitotic-like microtubule dynamic instability by inactivating rescue.
1992,
Pubmed Holy,
Dynamic instability of microtubules as an efficient way to search in space.
1994,
Pubmed Hyman,
Preparation of marked microtubules for the assay of the polarity of microtubule-based motors by fluorescence.
1991,
Pubmed Hyman,
Role of GTP hydrolysis in microtubule dynamics: information from a slowly hydrolyzable analogue, GMPCPP.
1992,
Pubmed Kinoshita,
Reconstitution of physiological microtubule dynamics using purified components.
2001,
Pubmed
,
Xenbase Kline-Smith,
The microtubule-destabilizing kinesin XKCM1 regulates microtubule dynamic instability in cells.
2002,
Pubmed
,
Xenbase Mandelkow,
Microtubule dynamics and microtubule caps: a time-resolved cryo-electron microscopy study.
1991,
Pubmed Maney,
Molecular dissection of the microtubule depolymerizing activity of mitotic centromere-associated kinesin.
2001,
Pubmed McNally,
Identification of katanin, an ATPase that severs and disassembles stable microtubules.
1993,
Pubmed
,
Xenbase Mitchison,
Localization of an exchangeable GTP binding site at the plus end of microtubules.
1993,
Pubmed Miyamoto,
Dynamics of the mitotic spindle--potential therapeutic targets.
2003,
Pubmed Nakaseko,
M phase-specific kinetochore proteins in fission yeast: microtubule-associating Dis1 and Mtc1 display rapid separation and segregation during anaphase.
2001,
Pubmed Ohkura,
Dis1/TOG universal microtubule adaptors - one MAP for all?
2001,
Pubmed Popov,
XMAP215 regulates microtubule dynamics through two distinct domains.
2001,
Pubmed
,
Xenbase Rusan,
Cell cycle-dependent changes in microtubule dynamics in living cells expressing green fluorescent protein-alpha tubulin.
2001,
Pubmed Shelden,
Observation and quantification of individual microtubule behavior in vivo: microtubule dynamics are cell-type specific.
1993,
Pubmed Simon,
The structure of microtubule ends during the elongation and shortening phases of dynamic instability examined by negative-stain electron microscopy.
1990,
Pubmed Spittle,
The interaction of TOGp with microtubules and tubulin.
2000,
Pubmed
,
Xenbase Takada,
Identification of ribonucleotide reductase protein R1 as an activator of microtubule nucleation in Xenopus egg mitotic extracts.
2000,
Pubmed
,
Xenbase Tirnauer,
EB1-microtubule interactions in Xenopus egg extracts: role of EB1 in microtubule stabilization and mechanisms of targeting to microtubules.
2002,
Pubmed
,
Xenbase Tirnauer,
Yeast Bim1p promotes the G1-specific dynamics of microtubules.
1999,
Pubmed Tournebize,
Control of microtubule dynamics by the antagonistic activities of XMAP215 and XKCM1 in Xenopus egg extracts.
2000,
Pubmed
,
Xenbase Tran,
A metastable intermediate state of microtubule dynamic instability that differs significantly between plus and minus ends.
1997,
Pubmed van Breugel,
Stu2p, the budding yeast member of the conserved Dis1/XMAP215 family of microtubule-associated proteins is a plus end-binding microtubule destabilizer.
2003,
Pubmed
,
Xenbase Vasquez,
XMAP from Xenopus eggs promotes rapid plus end assembly of microtubules and rapid microtubule polymer turnover.
1994,
Pubmed
,
Xenbase Walczak,
XKCM1: a Xenopus kinesin-related protein that regulates microtubule dynamics during mitotic spindle assembly.
1996,
Pubmed
,
Xenbase Walker,
Dynamic instability of individual microtubules analyzed by video light microscopy: rate constants and transition frequencies.
1988,
Pubmed