Click here to close
Hello! We notice that you are using Internet Explorer, which is not supported by Xenbase and may cause the site to display incorrectly.
We suggest using a current version of Chrome,
FireFox, or Safari.
???displayArticle.abstract???
T-box proteins are important transcriptional regulators in animal development. We searched the Xenopus laevis expressed sequence tag (EST) database using zebrafish tbx24 (Ztbx24) as a query and found a sequence. We then obtained corresponding clones from a neurula cDNA library. This novel gene has a T-box showing 53% homology with Xenopus laevis tbx6 (Xtbx6) and 51% with Ztbx24 at the amino acid level and is relatively close to Xtbx6 indicated by alignment analysis. In situ hybridization showed that it is expressed in the paraxial mesoderm in the caudal region in a very similar manner to Xtbx6, with a slight difference in that the former is emphasized more dorsally and has a more restricted distribution along the antero-posterior axis. From these results we named this gene Xtbx6r (tbx6-related). Xtbx6r or Xtbx6r-EnR, when overexpressed in animal caps, induced anterior neural markers but not mesodermal markers. In contrast, Xtbx6r-VP16, Xtbx6 and Ztbx24 induced various mesodermal markers. These results indicate that Xtbx6r is a transcriptional repressor and has activity different from that of Xtbx6 or Ztbx24. Xtbx6r induced Otx2, XAG and Pax6 in animal caps. This activity differed from that of Xbra-EnR or Xtbx6-EnR, suggesting that some differences in biological activity exist among the tested repressor-type T-box genes. Depletion of Xtbx6r by antisense morpholino oligo produced curved embryos, but did not affect expressions of MyoD, Myf5, XWnt8 or thylacine2, nor inhibited muscle differentiation or segmentation. The results of knockdown and overexpression experiments suggest that Xtbx6r is involved in some morphogenesis in the paraxial mesoderm.
Fig. 2. Expression profile of Xtbx6r. (A) Temporal expression of Xtbx6r as revealed by RT-PCR at indicated stages. Ornithine decarboxylase (ODC) was used as loading controls. (B) Spatial expression of Xtbx6r was examined by RT-PCR at st.33. Embryos were dissected into four frag- ments (head-1, head-2, trunk, tail) as shown and analyzed by RT-PCR for expression of the indicated genes.
Fig. 3. Spatial expression pattern of Xtbx6r revealed by in situ hybridization. (A-C) Dorsal view. (D) Lateral view. (A-D) Anterior is to the left. (E) Transverse sections, dorsal is to the top. (F) Parasagittal sections, anterior is to the left. Ar, archenteron; Bc, blastocoel; Bp, blastopore; No, notochord; Nt, neural tube; PSM, presomitic mesoderm
Fig. 4. Comparison of expression of Xtbx6r and Xtbx6 by double in situ hybridization. (A-D) Xtbx6r expression was detected with MagentaPhos, while Xtbx6 expression (turquoise) was detected with BCIP. Since the area of Xtbx6r expression was completely included in the Xtbx6 area, there is no magenta domain and the overlap is stained in dark blue. (A) Posterior view. (B) Dorsolateral view. (C) Lateral view. (D) Ventrolateral view.
tbx6r ( T-box 6 related) gene expression in Xenopus laevis embryos, NF stage 17, as assayed by in situ hybridization, dorsal view, anteriorleft.
tbx6r ( T-box 6 related) gene expression in Xenopus laevis embryos, NF stage 30, as assayed by in situ hybridization, dorsal view, anteriorleft.
tbx6r (T-box 6 related) gene expression in Xenopus laevis embryos, NF stage 35, as assayed by in situ hybridization, lateral view, anteriorleft, dorsal up.
Fig. 5 (Left). Overexpression of Xtbx6r inhibits convergent extension movements. (A-C) Xtbx6r mRNA (200 pg/embryo) was injected into two dorsal blastomeres of 4-cell stage embryos. (A) st.24, (B) st.35, (C) st.38, stained with 12/101 monoclonal antibody. (D-G) Effect of Xtbx6r on convergent extension elicited by activin. mRNA doses were Xtbx6r: 150 pg, Ztbx6: 400 pg and the activin concentration was 2.0 ng/ml. Explants were photographed at st.19.
Fig. 6 (Right). The effect of overexpression of Xtbx6r and its derivatives or Ztbx24 on development. (A-Q) mRNA was injected into the animal (Animal), dorsal (DMZ), or ventral (VMZ) region. (M-O) Immunohistochemistry with 12/101 monoclonal antibody. (P) Xtbx6 expression was detected by whole-mount in situ hybridization (black arrowheads). (Q) Embryos were injected with Xtbx6r-VP16 mRNA and nlacZ mRNA and stained with X- Gal. White arrowhead indicates ectopic tail-like structures. Black arrow displays the secondary axis.
Fig. 7. Xtbx6r induces anterior neuroectodermal markers in animal cap explants. (A-E) Histological sections of animal cap explants at st.31. Injected mRNA and its doses were: (A) uninjected control, (B) Xtbx6r (200 pg), (C) Xtbx6r-VP16 (200 pg), (D) Xtbx6r-EnR (200 pg), (E) Ztbx24 (200 pg). Cg, cement gland; fg, fibroblast; nl, neural-like tissue; ms, muscle; mt, mesothelium. (F-G) Animal cap explants were analyzed at st.23 (F) and at stage 31 (G) by RT-PCR. Injected mRNA and its doses were: (F) Xtbx6r (200 pg), Xtbx6r-EnR, Xtbx6r-VP16 and noggin (100 pg, respectively). (G) Xtbx6, Xtbx6r, Ztbx6 and Ztbx24 (200 pg, respectively).
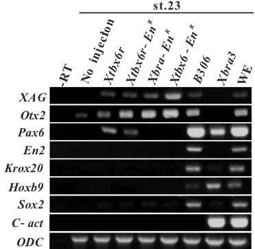
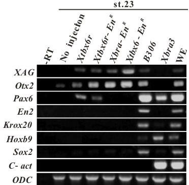
Fig. 8. Comparison of neural inducing activities among T-box genes. Injected mRNA and its doses are, Xtbx6r (200pg), Xtbx6r-EnR, Xbra- EnR, Xtbx6-EnR (100 pg, respectively), B306 (1.8ng), Xbra3 (200 pg).
Fig. 9. Relationship between Xtbx6r and BMP or Wnt signaling. (A-C) Indicated genes were overexpressed dorsally. (D-G) Animal cap explants. Injected mRNA and its doses were: (A) no injection, (B) Xtbx6r (50 pg), (C) Xtbx6r (50 pg) and XWnt8/pCSKA plasmid (50 pg), (D) no injection, (E) Xtbx6 (200 pg), (F) co-expression of Xtbx6 (200 pg) and noggin (100 pg), (G) co-expression of Xtbx6 (200 pg) and Xtbx6r (50 pg).
Fig.10. Knockdown experi- ments using exint-MO. (A) Partial genomic structure of the Xtbx6r gene. Boxes show exons and folded lines display introns. Arrows indicate prim- ers used in (B). Black bar dis- play exint-MO. (B) RT-PCR analysis of MO-injected em- bryos. MO was injected into 4 blastomeres at the equatorial region of 4 cell stage embryos (50ng/embryo). WE, whole embryo; MO inj, MO-injected embryos; genome, Xenopus laevis genomic DNA. (C) Con-
trol embryos. (D) MO-injected embryos. (E) MO and nlacZ mRNA-coinjected embryos were stained with X-Gal and carried out immunohistochemistory with 12/101 antibody. (F) MO (25 ng) injected embryos. (G) MO (25 ng) and short splicing variant mRNA (100 pg)-coinjected embryos.