Click here to close
Hello! We notice that you are using Internet Explorer, which is not supported by Xenbase and may cause the site to display incorrectly.
We suggest using a current version of Chrome,
FireFox, or Safari.
???displayArticle.abstract???
The TGFbeta family member Nodal has been implicated in heart induction through misexpression of a dominant negative version of the type I Nodal receptor (Alk4) and targeted deletion of the co-receptor Cripto in murine ESCs and mouse embryos; however, whether Nodal acts directly or indirectly to induce hearttissue or interacts with other signaling molecules or pathways remained unclear. Here we present Xenopus embryological studies demonstrating an unforeseen role for the DAN family protein Cerberus within presumptive foregut endoderm as essential for differentiation of cardiac mesoderm in response to Nodal. Ectopic activation of Nodal signaling in non-cardiogenic ventroposterior mesendoderm, either by misexpression of the Nodal homologue XNr1 together with Cripto or by a constitutively active Alk4 (caAlk4), induced both cardiac markers and Cerberus. Mosaic lineage tracing studies revealed that Nodal/Cripto and caAlk4 induced cardiac markers cell non-autonomously, thus supporting the idea that Cerberus or another diffusible factor is an essential mediator of Nodal-induced cardiogenesis. Cerberus alone was found sufficient to initiate cardiogenesis at a distance from its site of synthesis. Conversely, morpholino-mediated specific knockdown of Cerberus reduced both endogenous cardiomyogenesis and ectopic heart induction resulting from misactivation of Nodal/Cripto signaling. Since the specific knockdown of Cerberus did not abrogate heart induction by the Wnt antagonist Dkk1, Nodal/Cripto and Wnt antagonists appear to initiate cardiogenesis through distinct pathways. This idea was further supported by the combinatorial effect of morpholino-medicated knockdown of Cerberus and Hex, which is required for Dkk1-induced cardiogenesis, and the differential roles of essential downstream effectors: Nodal pathway activation did not induce the transcriptional repressor Hex while Dkk-1 did not induce Cerberus. These studies demonstrated that cardiogenesis in mesoderm depends on Nodal-mediated induction of Cerberus in underlying endoderm, and that this pathway functions in a pathway parallel to cardiogenesis initiated through the induction of Hex by Wnt antagonists. Both pathways operate in endoderm to initiate cardiogenesis in overlying mesoderm.
Fig. 1. XNr1/Cripto and caAlk4 misexpression induce ectopic expression of cardiac genes Nkx2.5, Tbx5, TnIc and αMHC cell non-autonomously. (A) One ventralblastomere of 16â32 cell stage embryos were injected with mRNAs encoding XNr1 and Cripto or caAlk4 along with AD546 (red) as a lineage label. The normally non-cardiogenic VMZmesendoderm was explanted at the onset of gastrulation (stage 10.25â10.5), cultured until cardiac tissue expressed Nkx2.5 and Tbx5 (stage 23â25) or Tnic and αMHC (stage 30), then stained for gene expression by in situ hybridization (blue). (BâG) Examples of cell non-autonomous gene induction on histological section. Injection of XNr1 and Cripto or caAlk4 mRNAs with AD 546 induced Nkx2.5 (B, F), Tbx5 (D) TnIc (E, G) and αMHC (C). Images represent a photo merging of brightfield and fluorescent images. Note that cardiac marker positive cells (blue) were localized at a distance from lineage-labeled cells (red). Scale bar in panels B, DâG represents 40 μM, scale bar in panel C represents 20 μM.
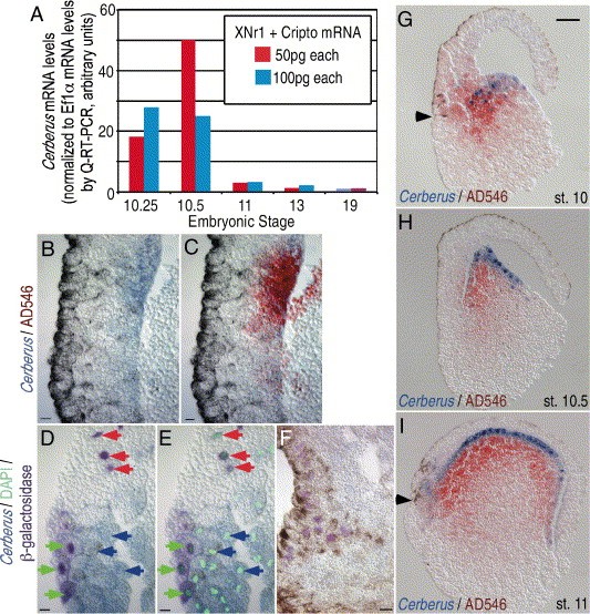
Fig. 2. XNr1/Cripto and caAlk4 induce endogenous Cer mRNA. Embryos were injected with synthetic mRNA for XNr1 and Cripto or caAlk4 into one ventralblastomere of a 4â8 cell stage embryo. Non-cardiogenic VMZ explants were dissected at onset of gastrulation (stage 10.25â10.5) then either frozen immediately for subsequent RNA isolation or grown in culture and frozen when age matched siblings had reached stages 10.5, 11, 13 and 19 and analyzed for mRNA levels by quantitative RT-PCR (data presented represent the average of two technical replicates each from two of the 6 biological replicates performed). (A) Plot depicts the fold induction of Cer in injected cells relative to uninjected controls, after normalization to levels of the ubiquitously expressed Ef1α transcript. (BâI) Examples of Cer induction detected by in situ hybridization relative to the AD546 (B, C, G, H, I) or β-galactosidase (DâF) lineage labels that mark the progeny of injected cells. XNr1 and Cripto induced expression of Cerberus in mesendodermal cells in a manner that was largely cell autonomous (note nearly complete overlap of Cerberus with AD546 in merged image (C) and large number of purple stained nuclei in Cerberus-expressing tissue (D, E, green arrows)). Neighboring cells that did not express the injected mRNAs often expressed Cer, as can be seen in panel E by the presence of nuclei visualized by DAPI but without β-galactosidase lineage label stain (blue arrows). In contrast, cells in the deependoderm (D, E, red arrows) and cells in the pigmented epithelium (F) never expressed Cer despite expressing the injected β-galactosidase lineage label. Injection of caAlk4 also induced expression of Cerberus (GâI); however, induction was almost entirely cell non-autonomous [note lack of overlap between injected cells (red) and Cer-expressing cells (blue)], suggestive that chronic misactivation of the Nodal pathway is incompatible with Cer expression. Scale bars in panels BâF represents 20 μM and in panels GâI 100 μM.
Fig. 3. Cerberus is required for normal cardiogenesis and ectopic heart induction by XNr1 and Cripto but not for heart induction by the Wnt antagonist Dkk1. (A, B) Cerberus was co-injected into one ventralblastomere at the 4â8 cell stage with AD546. Explants of the non-cardiac VMZ were isolated at early gastrula stages 10.25 to 10.5 and grown until age-matched siblings had reached stage 23â35 and processed by in situ hybridization. Cerberus induced expression of both Nkx2.5 and Tbx5 (red arrowheads) cell non-autonomously. Scale bars represent 20 μM. (C) Morpholino mediated knockdown of Cerberus decreases the percentage of heart induction by XNr1 and Cripto but not by Dkk1. Asterisk indicates statistically significant (p < 0.001, Student's T-test) difference between treatment classes for greater than 3 experimental trials. (DâHâ²) Examples of explants showing effects of Cerberus morpholino-mediated knockdown on endogenous heart induction and heart induction by XNr1 and Cripto versus that by Dkk1. DMZ explants express the early and late cardiac markers Nkx2.5 and TnIC (red arrowheads panels D, E) whereas morpholino-injected explants lacked heart gene expression (Dâ², Eâ²) without effecting head development and loss of Nkx2.5 was rescued by co-injection of a plasmid that directed expression of Cerberus protein (panel Dâ² inset). VMZ explants injected with XNr1 and Cripto expressed early and late cardiac markers Nkx2.5 and TnIc, respectively (red arrowheads G, Gâ²). Morpholino-knockdown of Cerberus caused loss of heart markers without reduction in axial structures (Fâ², Gâ²). Dkk1 injected either alone (H) or with a standard control morpholino (panel H insert) induced expression of TnIc (red arrowhead). Cer MO did not effect induction of TnIc by Dkk1 (panel Hâ² red arrowhead).
Fig. 4. Cer-S inhibition of Nodal contributes to heart induction. (AâE) Embryos were injected into two dorsal/vegetal blastomeres at the 8 cell stage with either 2Â pmol control MO (A), 1Â pmol Hex MO (B), 2Â pmol Cer MO (C) or combination of 2Â pmol Cer MO and 1Â pmol Hex MO (D). DMZ explants isolated at early gastrula stages (10â10.25) and grown until age-matched siblings had reached stage 23â25 when they were processed by in situ hybridization for expression of Nkx2.5 (arrowhead in panel A). Incidence of Nkx2.5 expression is shown in in panel E. Asterisks indicate statistical significance (p < 0.01, Student's T-test) between indicated conditions for greater than 3 independent experiments. (FâI) Embryos were injected into one ventralblastomere at the 4â8 cell stage with either the truncated form of Cerberus, Cer-S (F), the truncated version of the BMP receptor, tBR (G), or the two constructs together (H). VMZ explants were isolated at early gastrula stages 10.25 to 10.5 and grown until age-matched siblings had reached stage 23â25 and processed by in situ hybridization for expression of either Nkx2.5 (arrowhead in in panel H) or Tbx5. Neither Cer-S nor tBR alone induced expression of Nkx2,5 or Tbx5 whereas co-injection of Cer-S and tBR induced robust expression of both markers. The incidence of expression is plotted in the histogram (I). (J) The data indicate that two pathways for specification of the heart field in mesoderm are independent at the level of Hex and Cerberus. Dkk1 (and other canonical Wnt antagonists) act through the homeodomain transcriptional repressor Hex to induce an as yet unidentified diffusible intermediate whereas activation of the Nodal pathway results in production of the secreted factor Cerberus.
Agius,
Endodermal Nodal-related signals and mesoderm induction in Xenopus.
2000, Pubmed,
Xenbase
Agius,
Endodermal Nodal-related signals and mesoderm induction in Xenopus.
2000,
Pubmed
,
Xenbase Arai,
Murine cardiac progenitor cells require visceral embryonic endoderm and primitive streak for terminal differentiation.
1997,
Pubmed Beddington,
Axis development and early asymmetry in mammals.
1999,
Pubmed Belo,
Cerberus-like is a secreted factor with neutralizing activity expressed in the anterior primitive endoderm of the mouse gastrula.
1997,
Pubmed
,
Xenbase Bertocchini,
The hypoblast of the chick embryo positions the primitive streak by antagonizing nodal signaling.
2002,
Pubmed
,
Xenbase Bertocchini,
Determination of embryonic polarity in a regulative system: evidence for endogenous inhibitors acting sequentially during primitive streak formation in the chick embryo.
2004,
Pubmed Bianco,
A Nodal- and ALK4-independent signaling pathway activated by Cripto-1 through Glypican-1 and c-Src.
2003,
Pubmed Biben,
Murine cerberus homologue mCer-1: a candidate anterior patterning molecule.
1998,
Pubmed
,
Xenbase Brennan,
Nodal signalling in the epiblast patterns the early mouse embryo.
2001,
Pubmed Chang,
A post-mid-blastula transition requirement for TGFbeta signaling in early endodermal specification.
2000,
Pubmed
,
Xenbase Chen,
ALK4 functions as a receptor for multiple TGF beta-related ligands to regulate left-right axis determination and mesoderm induction in Xenopus.
2004,
Pubmed
,
Xenbase Conlon,
A primary requirement for nodal in the formation and maintenance of the primitive streak in the mouse.
1994,
Pubmed David,
Cell autonomous commitment to an endodermal fate and behaviour by activation of Nodal signalling.
2001,
Pubmed Ding,
Cripto is required for correct orientation of the anterior-posterior axis in the mouse embryo.
1998,
Pubmed Engleka,
VegT activation of Sox17 at the midblastula transition alters the response to nodal signals in the vegetal endoderm domain.
2001,
Pubmed
,
Xenbase Faure,
Endogenous patterns of TGFbeta superfamily signaling during early Xenopus development.
2000,
Pubmed
,
Xenbase Foley,
Heart induction: embryology to cardiomyocyte regeneration.
2004,
Pubmed Foley,
Heart induction by Wnt antagonists depends on the homeodomain transcription factor Hex.
2005,
Pubmed
,
Xenbase Graff,
Studies with a Xenopus BMP receptor suggest that ventral mesoderm-inducing signals override dorsal signals in vivo.
1994,
Pubmed
,
Xenbase Green,
Graded changes in dose of a Xenopus activin A homologue elicit stepwise transitions in embryonic cell fate.
1990,
Pubmed
,
Xenbase Griffin,
One-Eyed Pinhead and Spadetail are essential for heart and somite formation.
2002,
Pubmed Gritsman,
The EGF-CFC protein one-eyed pinhead is essential for nodal signaling.
1999,
Pubmed
,
Xenbase Harland,
In situ hybridization: an improved whole-mount method for Xenopus embryos.
1991,
Pubmed
,
Xenbase Henry,
TGF-beta signals and a pattern in Xenopus laevis endodermal development.
1996,
Pubmed
,
Xenbase Jones,
Nodal-related signals induce axial mesoderm and dorsalize mesoderm during gastrulation.
1995,
Pubmed
,
Xenbase Lee,
Timing of endogenous activin-like signals and regional specification of the Xenopus embryo.
2001,
Pubmed
,
Xenbase Logan,
Induction of cardiac muscle differentiation in isolated animal pole explants of Xenopus laevis embryos.
1993,
Pubmed
,
Xenbase Lowe,
Genetic dissection of nodal function in patterning the mouse embryo.
2001,
Pubmed Marvin,
Inhibition of Wnt activity induces heart formation from posterior mesoderm.
2001,
Pubmed
,
Xenbase Meno,
Mouse Lefty2 and zebrafish antivin are feedback inhibitors of nodal signaling during vertebrate gastrulation.
1999,
Pubmed Norris,
The Foxh1-dependent autoregulatory enhancer controls the level of Nodal signals in the mouse embryo.
2002,
Pubmed Osada,
Xenopus nodal-related signaling is essential for mesendodermal patterning during early embryogenesis.
1999,
Pubmed
,
Xenbase Parisi,
Nodal-dependent Cripto signaling promotes cardiomyogenesis and redirects the neural fate of embryonic stem cells.
2003,
Pubmed
,
Xenbase Peng,
Xenopus laevis: Practical uses in cell and molecular biology. Solutions and protocols.
1991,
Pubmed
,
Xenbase Piccolo,
The head inducer Cerberus is a multifunctional antagonist of Nodal, BMP and Wnt signals.
1999,
Pubmed
,
Xenbase Reissmann,
The orphan receptor ALK7 and the Activin receptor ALK4 mediate signaling by Nodal proteins during vertebrate development.
2001,
Pubmed
,
Xenbase Reiter,
Bmp2b and Oep promote early myocardial differentiation through their regulation of gata5.
2001,
Pubmed
,
Xenbase Rhinn,
Sequential roles for Otx2 in visceral endoderm and neuroectoderm for forebrain and midbrain induction and specification.
1998,
Pubmed Schneider,
Spatially distinct head and heart inducers within the Xenopus organizer region.
,
Pubmed
,
Xenbase Schneider,
Wnt antagonism initiates cardiogenesis in Xenopus laevis.
2001,
Pubmed
,
Xenbase Shi,
BMP signaling is required for heart formation in vertebrates.
2000,
Pubmed
,
Xenbase Silva,
Endogenous Cerberus activity is required for anterior head specification in Xenopus.
2003,
Pubmed
,
Xenbase Smithers,
Xhex-expressing endodermal tissues are essential for anterior patterning in Xenopus.
2002,
Pubmed
,
Xenbase Sonntag,
Context-dependent neuronal differentiation and germ layer induction of Smad4-/- and Cripto-/- embryonic stem cells.
2005,
Pubmed Suzuki,
A truncated bone morphogenetic protein receptor affects dorsal-ventral patterning in the early Xenopus embryo.
1994,
Pubmed
,
Xenbase Symes,
Morphological differences in Xenopus embryonic mesodermal cells are specified as an early response to distinct threshold concentrations of activin.
1994,
Pubmed
,
Xenbase Takahashi,
Two novel nodal-related genes initiate early inductive events in Xenopus Nieuwkoop center.
2000,
Pubmed
,
Xenbase Toyama,
Nodal induces ectopic goosecoid and lim1 expression and axis duplication in zebrafish.
1995,
Pubmed Varlet,
nodal expression in the primitive endoderm is required for specification of the anterior axis during mouse gastrulation.
1997,
Pubmed Waldrip,
Smad2 signaling in extraembryonic tissues determines anterior-posterior polarity of the early mouse embryo.
1998,
Pubmed Xu,
Abrogation of the Cripto gene in mouse leads to failure of postgastrulation morphogenesis and lack of differentiation of cardiomyocytes.
1999,
Pubmed Xu,
Specific arrest of cardiogenesis in cultured embryonic stem cells lacking Cripto-1.
1998,
Pubmed Yamamoto,
Molecular link in the sequential induction of the Spemann organizer: direct activation of the cerberus gene by Xlim-1, Xotx2, Mix.1, and Siamois, immediately downstream from Nodal and Wnt signaling.
2003,
Pubmed
,
Xenbase Yan,
Cell autonomous regulation of multiple Dishevelled-dependent pathways by mammalian Nkd.
2001,
Pubmed
,
Xenbase Yatskievych,
Induction of cardiac myogenesis in avian pregastrula epiblast: the role of the hypoblast and activin.
1997,
Pubmed Yeo,
Nodal signals to Smads through Cripto-dependent and Cripto-independent mechanisms.
2001,
Pubmed
,
Xenbase Zhou,
Nodal is a novel TGF-beta-like gene expressed in the mouse node during gastrulation.
1993,
Pubmed
,
Xenbase