Click here to close
Hello! We notice that you are using Internet Explorer, which is not supported by Xenbase and may cause the site to display incorrectly.
We suggest using a current version of Chrome,
FireFox, or Safari.
tBid mediated activation of the mitochondrial death pathway leads to genetic ablation of the lens in Xenopus laevis.
Du Pasquier D, Chesneau A, Ymlahi-Ouazzani Q, Boistel R, Pollet N, Ballagny C, Sachs LM, Demeneix B, Mazabraud A.
???displayArticle.abstract???
Xenopus is a well proven model for a wide variety of developmental studies, including cell lineage. Cell lineage in Xenopus has largely been addressed by injection of tracer molecules or by micro-dissection elimination of blastomeres. Here we describe a genetic method for cell ablation based on the use of tBid, a direct activator of the mitochondrial apoptotic pathway. In mammalian cells, cross-talk between the main apoptotic pathways (the mitochondrial and the death domain protein pathways) involve the pro-death protein BID, the active form of which, tBID, results from protease truncation and translocation to mitochondria. In transgenic Xenopus, restricting tBID expression to the lens-forming cells enables the specific ablation of the lens without affecting the development of other eye structures. Thus, overexpression of tBid can be used in vivo as a tool to eliminate a defined cell population by apoptosis in a developing organism and to evaluate the degree of autonomy or the inductive effects of a specific tissue during embryonic development.
FIG. 2. Dose-dependent cell death inducing activity of tBid in tad-pole muscle cells. Cell survival measured by the luciferase activity(RLU) in muscle extracts 72 h after transfection of 200 ng pcDNA3-LUC into the dorsal muscle of stage 56 tadpoles. The indicatedamounts of tBIDGFP or BIDGFP were co-injected with pcDNA3-LUC. All cDNA were CMV-driven. The total amount of DNA injectedwas brought up to 700 ng by adding control peGFP-C1 where nec-essary. Means 6 SEM are given; n > 4 in each group. ***P < 0.001.
Fig. 3 Transgenic Xenopus overexpressing tBIDGFP under thecontrol of the g-crystallin promoter. Stage 57 transgenic tadpoles expressing tBIDGFP from the g-crystallin promoter have smaller eyes (a) when compared with the wild type animals (b). Transgenic juvenile frog expressing tBIDGFP from the g-crystallin promoter have smaller eyes (c) when compared with the wild type animals (d).(e) Eye section of a stage 50 g-crystallin tBidGFP transgenic animal showing the absence of lens and the conservation of the retina (R), pigmented epithelium (PE), Iris (I), and Cornea (C). The star indicates the lens normal position. (f) Eye section, stage 50 Control animal.[Scale bars: 2 mm (aâd), 0.3 mm (e,f)]. [Color ï¬gure can be viewed in the online issue, which is available at www.interscience.wiley.com.]
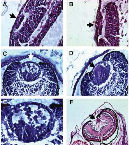
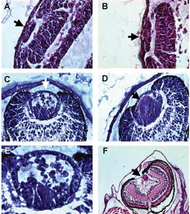
FIG. 4. Lens embryonic development in g-crystallin-tBidGFP F1 transgenics. Eye sections at different developmental stages. (a,b) NF stage 35 of a tBID transgenic and a wild-type, respectively. Nothing differs between the two lens anlagen. (c,d) NF stage 39 of a tBID transgenic and a wild-type, respectively. (e) enlargement of panel c. Lens cells, but not surrounding epithelial lens cells (arrow), are shrinking by apoptosis in the transgenic eye. (f) In some transgenic, at NF stage 42, a vestigial lens is still visible (arrow). [Color ï¬gure can be viewed in the online issue, which is available at www.interscience.wiley.com.]
FIG. 5. Morphology of g -crystallin tBIDGFP F1 adults. Adult X. laevis, either wild type (a) or transgenics (b,c) were imaged using X-ray microtomography. Frontal 3D views and transverse sections at the eye level are shown. Note the reduced size of the eye cups when the lens is absent. In green is the eye cup, in red the lenses. [Color ï¬gure can be viewed in the online issue, which is available at www.interscience.wiley.com.]
FIG. 6. Apoptosis of lens ï¬ber cells does not preclude formation of the different cellt ypes of retina. Eyes sections at NF stage39. (a,c) Sections of respectively wild type and tBID transgenic showing nuclei stained by Hoechst in blue and TUNEL positive nuclei in green. TUNEL positive nuclei inlens were only found in tBID transgeniclenses. Scale bar correspond to 40 lm.(b,d) Enlargement of respectively wild typeand tBID transgenics showing the differentcell layers, CMZ: Ciliary Marginal Zone;GCL: Ganglion Cell Layer; RPE: Retinal Pig-mented Epithelium; INL and ONL: Inner andOuter Nuclear Layers. The stars indicatethe position of the lenses. Scale bar corre-spond to 10 lm
FIG. 7. Photoreceptor organization is not affected by lensï¬bers apoptosis. Immunolabeling with R2â12 anti-rhodopsin antibody of sections at NF stage 40 of wild type (aâc) and tBID transgenics (dâf) showing nuclei stained by Hoechst in blue (a,d)and photoreceptors in red by the antibody (b,e). Panel c:merger of panels aþb; Panel f:merger of panels dþe.