Click here to close
Hello! We notice that you are using Internet Explorer, which is not supported by Xenbase and may cause the site to display incorrectly.
We suggest using a current version of Chrome,
FireFox, or Safari.
Dev Growth Differ
2007 Feb 01;492:109-20. doi: 10.1111/j.1440-169X.2007.00911.x.
Show Gene links
Show Anatomy links
Regeneration of the amphibian retina: role of tissue interaction and related signaling molecules on RPE transdifferentiation.
Araki M.
???displayArticle.abstract???
Regeneration of eyetissue is one of the classic subjects in developmental biology and it is now being vigorously studied to reveal the cellular and molecular mechanisms involved. Although many experimental animal models have been studied, there may be a common basic mechanism that governs retinal regeneration. This can also control ocular development, suggesting the existence of a common principle between the development and regeneration of eye tissues. This notion is now becoming more widely accepted by recent studies on the genetic regulation of ocular development. Retinal regeneration can take place in a variety of vertebrates including fish, amphibians and birds. The newt, however, has been considered to be the sole animal that can regenerate the whole retina after the complete removal of the retina. We recently discovered that the anuran amphibian also retains a similar ability in the mature stage, suggesting the possibility that such a potential could be found in other animal species. In the present review article, retinal regeneration of amphibians (the newt and Xenopus laevis) and avian embryos are described, with a particular focus on transdifferentiation of retinal pigmented epithelium. One of the recent progresses in this field is the availability of tissue culture methods to analyze the initial process of transdifferentiation, and this enables us to compare the proliferation and neural differentiation of retinal pigmented epithelial cells from various animal species under the same conditions. It was revealed that tissue interactions between the retinal pigmented epithelium and underlying connective tissues (the choroid) play a substantial role in transdifferentiation and that this is mediated by a diffusible signal such as fibroblast growth factor 2. We propose that tissue interaction, particularly mesenchyme-neuroepithelial interaction, is considered to play a fundamental role both in retinal development and regeneration.
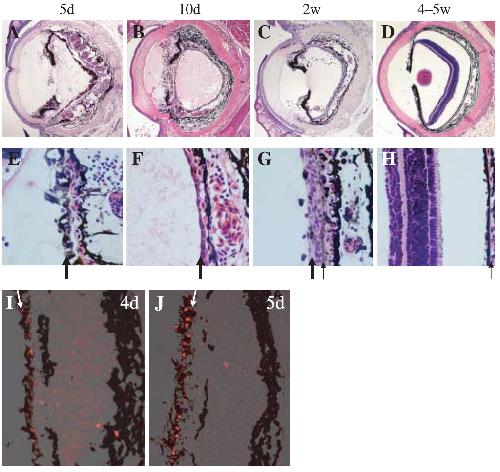
Fig. 2. Newt retinal regeneration.
Retinal regeneration at different
stages after the surgical removal
of the retina is shown in the light
micrographs from (A) to (H). The
retinal pigment epithelial (RPE)
cells appear to be irregularly
arranged at day 5 (arrow in E),
which then become more epithelial
at day 10 (arrow in F). At the
same time, RPE cells become
depigmented. Then, a multistratified
epithelium is formed
(large arrow in G) and one
pigmented single epithelium is
also observed (small arrow in G).
About 1 month later, a well stratified
retinal tissue and a RPE have
developed (arrow in H). Hematoxylin
and eosin staining. BrdU
labeling study indicates that at
day 4 only a few cells in the RPE
layer are labeled, while at day 5
most of the RPE cells have become
labeled (arrow in J). (I and J are
from Ikegami et al. 2002).
Fig. 3. In vitro neural cell differentiation
from newt retinal pigmented
epithelium (RPE) cells.
(AâC) RPE with the choroid are
cultured on membrane filters.
Cells migrate out from the explant
shown at the lefthand side in (A)
and extend long processes as
seen in (B). These cells are positively
stained for various neuronspecific
cell markers such as
Syntaxin (C). (DâF) Singly isolated
RPE alone are cultured. (D) RPE
culture at day 5 and (E) the
same culture at day 30. No cell
proliferation or neural differentiation
could be seen. When the same
RPEtissue is cultured with fibroblast
growth factor (FGF)2 plus insulinlike
growth factor (IGF)1, extensive
neural differentiation is observed
(F). (G, H) RPE attaches firmly
to the choroid as seen in (G), and
after dispase treatment RPE
(asterisk in H) can be clearly
separated from the choroid (from
Mitsuda et al. 2005).
Fig. 4. Intraocular transplantation of cultured retinal pigmented
epithelium (RPE). RPE with the adhering tissues (the choroid
and the sclera) was cultured for 10 days and then transplanted into
the newt eye chamber. A part of Figure 5A is shown at higher
magnification in (B). Well defined structures of RPE (black arrow)
and developing retina are observed. The yellow arrow indicates
the Bruch membrane. Ch, choroids; S, sclera (from Mitsuda
et al. 2005).
Fig. 5. Retinal regeneration in
Xenopus laevis. (AâC) Light
micrographs of eyes at day 15,
20 and 30 after retinectomy. At
day 30, a well defined structure of
the retina has regenerated. The lens
has also regenerated. (D, E) Intact
eye. A part of Figure (D) is shown
at a higher magnification in (E).
The black arrow indicates the retinal
vascular membrane consisting of
the basement membrane and
capillaries and this structure plays
a crucial role in retina regeneration.
The red arrow indicates the retinal
pigmented epithelium (RPE) layer.
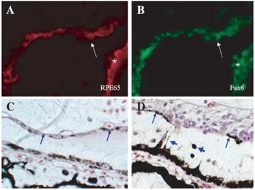
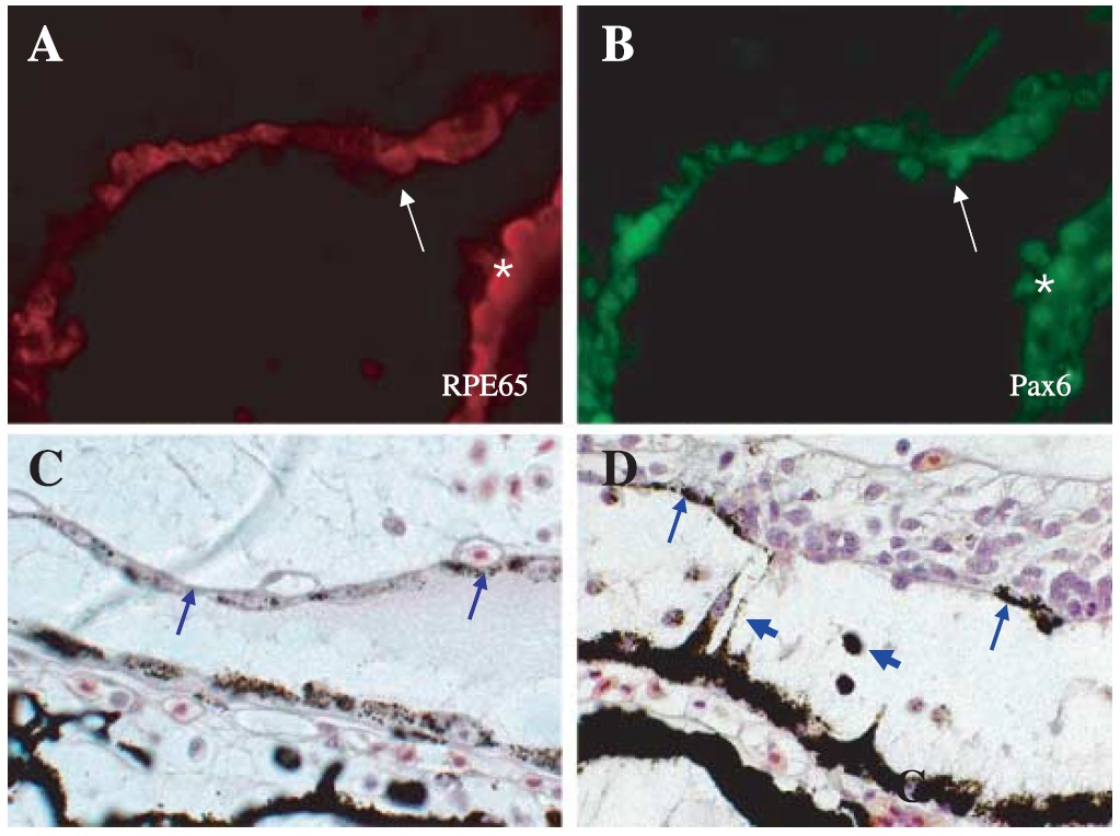
Fig. 6. A newly formed retinal
pigmented epithelium (RPE) layer
on the retinal vascular membrane
(RVM). (A, B) The same tissue
was simultaneously stained for
RPE65, a specific marker for RPE
and Pax6. The newly formed layer
(arrows) is positively stained for
both antibodies. The original RPE
layer (asterisks) also becomes
positive for Pax6. (C, D) Light
micrographs of regenerating retina
at day 10 and 20. A flat pigmented
epithelium is observed on RVM
(arrows in C) which vigorously
proliferates to form a stratified
epithelium as seen in (D). In this
stratified epithelium pigmented
cells are still found at the basal
side (arrows) and some RPE cells
extend toward the newly formed
layer (arrowheads) (from Yoshii
et al. 2007).
Fig. 7. Schematic diagram of retinal regeneration in Xenopus
laevis (a) and the newt (b). (a) Upper part in (A) shows
retinectomized eye cavity and the lower shows an intact one.
Cells from two origins regenerate the retina; ciliary marginal
cells and the retinal pigmented epithelial cells. The ciliary
marginal zone (CMZ) partially remains after retinectomy with the
present surgical procedure and CMZ stem cells initiate migration
on the retinal vascular membrane (RVM) to the posterior
direction. (B) At the same time, some of the retinal pigmented
epithelium (RPE) cells leave the RPE layer, migrate and attach
to the RVM, where they form a new RPE layer, as indicated in
(C). Numerous capillaries (indicated as C) are seen in RVM.
RPE cells on the RVM proliferate and transdifferentiate to neural
retinal precursor cells (D, E). RPE cells that were positively
stained for RPE65 are shown by brown colored nuclei or
pigmented granules in the cytoplasm (from Yoshii et al. 2007).
(b) In the newt retina regeneration, RPE cells become more
loosely adhered to each other soon after the retinectomy. At
about day 5, cells initiate proliferation and become depigmented
and show a more well packed epithelial structure. RPE cells do
not leave the epithelium and within the epithelium cells at the
most basal side (attaching to the Bruchâs membrane) become
pigmented. More apically located cells now form a stratified
epithelial structure. IML, inner limiting membrane.
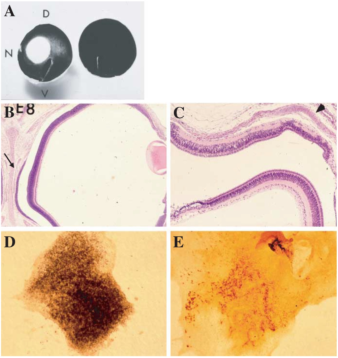
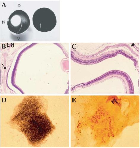
Fig. 8. Transdifferentiation of retinal pigmented epithelium (RPE) into the retinal tissue in Silver quail homozygote. (A) Eye cups of
day 15 homozygote embryos. At the lefthand side of the figure is an eye of a Silver embryo and at the right is a wild type embryo.
Both are lefteyes. A circular non-pigmented area is seen in the Silver embryo at the nasal side from the pectene. (B) Micrograph of
8-day embryonic homozygote eye. The region indicated by an arrow shows a thickening of RPEepithelium and has already
transdifferentiated to the retinal fate. (C) In a 13-day embryo, transdifferentiated neural retina shows well-organized cell layers with a
reversed polarity. The original retina begins to degenerate. An arrowhead shows scleral cartilage. (D, E) Culture of RPE sheets from
Silver homozygote embryos. Tissues were removed from day 3 embryos and the RPE sheet was separated from the neighboring
tissue, the choroid and then cultured for 9â10 days on filter membranes in the absence (D) or presence of fibroblast growth factor
(FGF)2 (E). In (D) the epithelial sheet remains densely pigmented and does not transdifferentiate. In the presence of FGF2 (E), RPE
cells proliferate, depigment and then transdifferentiate into iodopsin-immunoreactive cone cells.