Click here to close
Hello! We notice that you are using Internet Explorer, which is not supported by Xenbase and may cause the site to display incorrectly.
We suggest using a current version of Chrome,
FireFox, or Safari.
???displayArticle.abstract???
Mouse-lines expressing Cre recombinase in a tissue-specific manner are a powerful tool in developmental biology. Here, we report that a 3 kb fragment of the Xenopus laevis myosin light-chain 2 (XMLC2) promoter drives Cre recombinase expression in a cardiac-restricted fashion in the mouse embryo. We have isolated two XMLC2-Cre lines that express recombinase exclusively within cardiomyocytes, from the onset of their differentiation in the cardiac crescent of the early embryo. Expression is maintained throughout the myocardium of the embryonic heart tube and subsequently the mature myocardium of the chambered heart. Recombinase activity is detected in all myocardial tissue, including the pulmonary veins. One XMLC2-Cre line shows uniform expression while the other only expresses recombinase in a mosaic fashion encompassing less than 50% of the myocardial cells. Both lines cause severe cardiac malformations when crossed to a conditional Tbx5 line, resulting in embryonic death at midgestation. Optical projection tomography reveals that the spectrum of developmental abnormalities includes a shortening of the outflow tract and its abnormal alignment, along with a dramatic reduction in trabeculation of the ventricular segment of the looping heart tube.
FIG. 1. Expression of Cre recombinase in XMLCCre mouse lines 1118 and 1141. (a, b) E7.5-E8.0 (early and late, respectively) transgenicXMLC2Cre1118::Z/AP embryos showing nuclear alkaline phosphatase (AP) staining in the cardiac crescent. (c,d) E8.5 and E9.5XMLC2Cre1118::Z/AP embryos showing AP staining limited to the developing heart. (e) Explanted heart from E10.5 XMLC2Cre1118::Z/APembryo, showing AP staining in the right and left atria (RA, LA, respectively), strong staining in the proximal outflow tract (POT) and weakerstaining in the distal outflow tract (DOT). (f, i) Explanted heart from E10.5 XMLC2Cre1118::ROSA26 embryo observed from the ventral andright lateral aspects, respectively, showing proximal and distal outflow tract lacZ staining. (g) E7.5 transgenic XMLC2Cre1141::Z/AP embryoshowing nuclear AP staining in the cardiac crescent in a speckled pattern. (h) Explanted heart from E10.5 XMLC2Cre1141::Z/AP embryo,showing AP staining all four cardiac chambers, proximal outflow tract, and to a lesser extent distal outflow tract, in a speckled pattern.[Color figure can be viewed in the online issue, which is available at www.interscience.wiley.com.]137PAN-MYOCARDIAL EXPRESSION OF CRE RECOMBINASEgenesis DOI 10.1002/dvg
FIG. 2. Myocardial-specific expression of Cre recombinase. (a)Cryostat section (12 lm) though an E9.5 XMLC2Cre1118::Z/APembryo, showing cardiac-specific AP staining in the inflow tract(IFT) and ventricle (V). (b) Paraffin-wax (8 lm) embedded sectionthrough an E10.5 XMLC2Cre1118::Z/AP embryo stained for APbefore sectioning and counter-stained with haematoxylin and eosin,showing absence of AP staining in the endocardial cushions(arrowed). (c) Cryostat section (12 lm) thought the thorax of anE12.5 XMLC2Cre1118::Z/AP embryo, showing AP staining in all fourcardiac chambers. (d) Cryostat section (12 lm) though the thorax ofan E16.5 transgenic XMLC2Cre1118::Z/AP embryo, showing APstaining in all four cardiac chambers, pulmonary vein (PV), left atrium(LA), and absence of stain in the tricuspid valves (TV). (e–h) Paraffin-wax (8 lm) embedded sections through the same E10.5XMLC2Cre1118::Z/AP embryo as (b), in dorsal–ventral sequencee–h. Note strong AP staining in the inflow tract (e), ventricle (g), andoutflow tract (h), with complete absence of staining in any extra-car-diac tissue.
FIG. 3. OPT analysis of XMLC2-Cre::Tbx5fl/fl embryos. Virtual sections of Tbx5fl/fl control and XMLC2-Cre::Tbx5fl/fl embryos (E9.5) derivedfrom optical projection tomography. Comparison of sagittal sections from normal (a, b) and XMLC2-Cre::Tbx5fl/fl embryos (c, d) reveals ashortening of the outflow tract in the mutant embryos. As a result the myocardium of control embryos (a, b) is closer to the abdominal wall,whereas that of XMLC2-Cre::Tbx5fl/fl embryos projects outwards at an angle (c, d, red arrows). White lines indicate the plane of transversesection used to obtain panels e–h. These reveal rudimentary development of ventricular structures in the mutant embryos and characteristicabsence or poor development of atrio-ventricular and ventricle-outflow tract grooves (arrowed: compare g and h with e and f). Transversevirtual sections of each embryo are shown beneath each sagittal section, transverse plane (embryos pictured in a–d sectioned in the planesindicated by the white line in panels e–h, respectively) revealed rudimentary ventricular structures and poor or absent atrio-ventricular andventricle-outflow tract grooves in XMLC2-Cre::Tbx5fl/fl embryos (g, h) compared with control embryos (e, f), (arrowed). [Color figure can beviewed in the online issue, which is available at www.interscience.wiley.com.]139PAN-MYOCARDIAL EXPRESSION OF CRE RECOMBINASEgenesis DOI 10.1002/dvg
FIG. 4. 3D Volume rendering of XMLC2-Cre::Tbx5fl/fl embryos. (a, b) Volume rendering of control hearts, viewed from planes I–III in e and f,respectively. c, g, and d, h are the equivalent views of XMLC2-Cre::Tbx5fl/fl embryos. In control Tbx5fl/fl embryos (a, e and b, f) by E9.5 com-plete cardiac looping has occurred, with the outflow tract largely rostral to the inflow tract (eI, fI). In comparison, the hearts of XMLC2-Cre::Tbx5fl/fl embryos are looped incompletely, with inflow and outflow tracts lying more closely adjacent to each other (c, d). There is ab-sence of ventricular ‘‘budding’’ in XMLC2-Cre::Tbx5fl/fl (c, d) embryonic hearts compared with controls (a, b), and the unlooped heart tubesof the XMLC2-Cre::Tbx5fl/fl embryos protrude from the body wall of the embryos (c, d, arrows). At this stage, the ventricles of the controlhearts are extensively trabeculated (eIII, fII, arrowed), whereas XMLC2-Cre::Tbx5fl/fl heart tubes have much reduced trabeculation (gII, hII,arrowed).
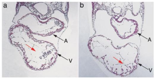
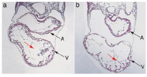
FIG. 5. H & E staining of XMLC2-Cre::Tbx5fl/fl embryos. (a) Plasticsection (2 lm) through the heart of an E9.5 control embryo, showingthe smooth walled common atrium (A) and trabeculated ventricle(V). (b) XMLC2-Cre::Tbx5fl/fl heart has a similar atrial appearance tothe control heart (A), but a thin-walled, hypo-trabeculated ventricle(V). Note the grossly enlarged, acellular endocardial cushions almostoccluding the ventricular lumen of the XMLC2-Cre::Tbx5fl/fl embryo(red arrow). [Color figure can be viewed in the online issue, which isavailable at www.interscience.wiley.com.]