Click here to close
Hello! We notice that you are using Internet Explorer, which is not supported by Xenbase and may cause the site to display incorrectly.
We suggest using a current version of Chrome,
FireFox, or Safari.
???displayArticle.abstract???
The early cell divisions of Xenopus laevis and other metazoan embryos occur in the presence of constitutively high levels of the cell cycle regulator cyclin E1. Upon completion of the 12th cell division, a time at which many maternal proteins are downregulated by deadenylation and destabilization of their encoding mRNAs, maternal cyclin E1 protein is downregulated while its mRNA is polyadenylated and stable. We report here that stable polyadenylation of cyclin E1 mRNA requires three cis-acting elements in the 3' untranslated region; the nuclear polyadenylation sequence, a contiguous cytoplasmic polyadenylation element and an upstream AU-rich element. ElrA, the Xenopus homolog of HuR and a member of the ELAV gene family binds the cyclin E1 3'UTR with high affinity. Deletion of these elements dramatically reduces the affinity of ElrA for the cyclin E1 3'UTR, abolishes polyadenylation and destabilizes the mRNA. Together, these findings provide compelling evidence that ElrA functions in polyadenylation and stabilization of cyclin E1 mRNA via binding these elements.
Figure 1. GST-ElrA binds the 3′UTR of cyclin E1 mRNA. (A) UV-cross-link assay: radiolabeled cyclin E1 3′UTR (E1) was incubated with GST-ElrA, GST or 4 and 8 h embryo extracts. E1 lane is the RNA without added protein or RNase T1. RNase T1 lane is E1 digested with this enzyme in the absence of added protein. Molecular weight markers are indicated to the left of the phosphorimage in kDa. The arrow indicates a 36-kDa protein that binds in embryo extracts. n = 5. (B) Comassie blue stained gel of purified GST-ElrA. Molecular weight markers are indicated to the left of the gel in kDa. (C) Gel shift competition assay: GST-ElrA was incubated with radiolabeled cyclin E1 3′UTR containing a poly(A)65 tail (E1pA) in the presence of increasing molar excess (M) of either unlabeled E1pA or an unlabeled competitor RNA (A1, cyclin A1 3′UTR). E1pA lane is the RNA alone without added protein or RNase T1. Arrow indicates ElrA bound mRNA. Samples were electrophoresed on native gels and analyzed by phosphorimaging; the digested unbound RNA running at the bottom of the gel is not shown. Experiment was also performed in the absence of a poly(A)65 tail with identical results. n = 3. (D) Binding assay to determine the dissociation constant of GST-ElrA for the cyclin E1 3′UTR. Radiolabeled cyclin E1 3′UTR (1 fmol) was incubated with GST-ElrA over a range of 0–50 nM. Reactions were electrophoresed on native gels and analyzed by phosphorimaging. The bracket shows bound RNA and the line shows free RNA (n = 4). The results of the binding assay were quantitated to determine the dissociation constant (Kd,) shown in panel (E).
Figure 2. Endogenous ElrA binds the 3′UTR of cyclin E1 mRNA. Radiolabeled cyclin E1 3′UTR or cyclin A1 3′UTR was microinjected into two cell-embryos between 1.5 and 2 h post-fertilization (hpf) and time points were taken at 4 and 8 h. Protein extracts were prepared, treated with RNase T1, and UV-cross-linked to preserve RNA–protein complexes. Cross-linked embryo extracts were immunoprecipitated with either anti-HuR, anti-ElrA or pre-immune serum as described in the materials and methods section. Phosphorimages of the immunoprecipitated RNA–protein complexes are shown. Molecular weight markers are indicated to the right in kDa. n = 3.
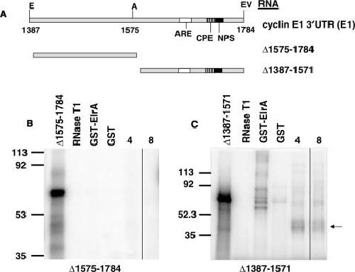
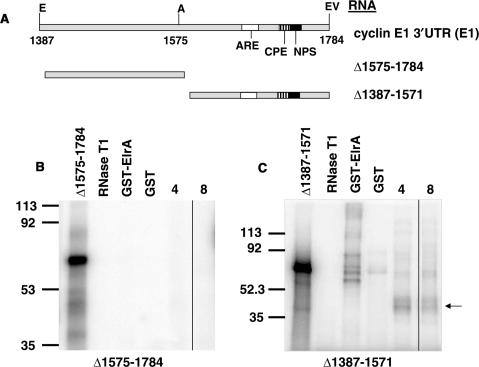
Figure 3. ElrA binds the distal portion of the cyclin E1 3′UTR. (A) Schematic of 3′UTR deletions. E1 is the full-length 3′UTR of cyclin E1 mRNA with nucleotides (numbers), restriction sites (E-EcoRI, A-AvaI, EV-EcoRV) and the relative positions of the cis-elements indicated (ARE, AU-rich element; CPE, cytoplasmic polyadenylation element; NPS, nuclear polyadenylation sequence). ▵1575-1784 has the distal part of the 3′UTR deleted while Δ1387-1571 has the proximal part deleted. Phosphorimages of UV-cross-link assays of GST-ElrA with (B) ▵1575-1784 or (C) Δ1387-1571 are shown. The indicated radiolabeled RNA was incubated with GST-ElrA, GST or 4- and 8-h embryo extracts. RNase T1 lane is the RNA digested with this enzyme in the absence of added protein. Molecular weight markers are indicated to the left in kDa. The arrow indicates a 36-kDa protein that binds in embryo extracts. n = 3.
Figure 4. Cyclin E1 3′UTR structure as predicted by the mfold algorithm (22). The entire 3′UTR of either X. tropicalis (A, Genbank accession NM_001016328) or X. laevis (B, Genbank accession Z13966) was folded using the mfold algorithm. The most stable predicted structure is shown, along with its free-energy value (dG) as compared to the initial free energy before folding. Only the distal part of the 3′UTR is shown due to space limitations (X. laevis nt 1641–1784, X. tropicalis nt 1617–1861). Large numbers show similar sequences and/or structures between the species as explained in the text. Small numbers refer to nucleotides with the first nucleotide of the 3′UTR set as 1.
Figure 5. The distal portion of the 3′UTR of cyclin E1 mRNA specifies polyadenylation. Radiolabeled cyclin E1 3′UTR (A) or 3′UTR deletions (B) ▵1575-1784 or (C) Δ1387-1571 were injected into two cell-embryos. Total RNA was extracted at the indicated hour post-fertilization (hpf), electrophoresed on a denaturing gel and analyzed by phosphorimaging. U is RNA before injection. Nucleotide markers are indicated on the left. Bracket indicates polyadenylated RNA. The 2-hpf sample was taken 5 min post-injection. n = 5.
Figure 6. Polyadenylation requires a minimum of three cis-elements in the 3′UTR. (A) Schematic of 3′UTR deletion mutants used in panels (B–G). The names of the RNAs and the nucleotides deleted are indicated on the right. E1 is the full-length cyclin E1 3′UTR as described in Figure 3. (B–G) show polyadenylation assays for the 3′UTR deletion mutants indicated performed as described in Figure 3. U is RNA before injection. Nucleotide markers are indicated on the left. Bracket indicates polyadenylated RNA. The 2-hpf sample was taken 5-min post-injection. n = 2 for panel E; n = 3 for panels C, D and F; n = 4 for panels A and G. (H) Graph showing the percent of indicated RNA remaining (+/− SEM) at each timepoint averaged over all experiments. Quantitation was performed with Imagequant (Molecular Dynamics).
Figure 7. Deletion of the 3′UTR cis-elements disrupts ElrA binding. Here, 1 fmol of the indicated radiolabeled RNA was incubated with GST-ElrA over a range of 0–50 nM. Reactions were electrophoresed on native gels, phosphorimaged (top panels) and the results quantitated (bottom panels). Bound and free RNA are indicated by the lines on the right. n = 2 for panels (A and B), n = 3 for panel (C).
Aoki,
Xenopus cold-inducible RNA-binding protein 2 interacts with ElrA, the Xenopus homolog of HuR, and inhibits deadenylation of specific mRNAs.
2003, Pubmed,
Xenbase
Aoki,
Xenopus cold-inducible RNA-binding protein 2 interacts with ElrA, the Xenopus homolog of HuR, and inhibits deadenylation of specific mRNAs.
2003,
Pubmed
,
Xenbase Audic,
Zygotic control of maternal cyclin A1 translation and mRNA stability.
2002,
Pubmed
,
Xenbase Audic,
Zygotic regulation of maternal cyclin A1 and B2 mRNAs.
2001,
Pubmed
,
Xenbase Audic,
Postfertilization deadenylation of mRNAs in Xenopus laevis embryos is sufficient to cause their degradation at the blastula stage.
1997,
Pubmed
,
Xenbase Brennan,
HuR and mRNA stability.
2001,
Pubmed Campos,
Molecular analysis of the locus elav in Drosophila melanogaster: a gene whose embryonic expression is neural specific.
1987,
Pubmed Campos,
Mutant alleles at the locus elav in Drosophila melanogaster lead to nervous system defects. A developmental-genetic analysis.
1985,
Pubmed Chevalier,
Xenopus cyclin E, a nuclear phosphoprotein, accumulates when oocytes gain the ability to initiate DNA replication.
1996,
Pubmed
,
Xenbase Colegrove-Otero,
The Xenopus ELAV protein ElrB represses Vg1 mRNA translation during oogenesis.
2005,
Pubmed
,
Xenbase de Moor,
Translational control in vertebrate development.
2001,
Pubmed Fan,
Overexpression of HuR, a nuclear-cytoplasmic shuttling protein, increases the in vivo stability of ARE-containing mRNAs.
1998,
Pubmed Fan,
HNS, a nuclear-cytoplasmic shuttling sequence in HuR.
1998,
Pubmed
,
Xenbase Good,
A conserved family of elav-like genes in vertebrates.
1995,
Pubmed
,
Xenbase Good,
The role of elav-like genes, a conserved family encoding RNA-binding proteins, in growth and development.
1997,
Pubmed Guo,
HuR contributes to cyclin E1 deregulation in MCF-7 breast cancer cells.
2006,
Pubmed Hake,
CPEB is a specificity factor that mediates cytoplasmic polyadenylation during Xenopus oocyte maturation.
1994,
Pubmed
,
Xenbase Hartley,
In vivo regulation of the early embryonic cell cycle in Xenopus.
1996,
Pubmed
,
Xenbase Howe,
A developmental timer regulates degradation of cyclin E1 at the midblastula transition during Xenopus embryogenesis.
1996,
Pubmed
,
Xenbase Koushika,
ELAV, a Drosophila neuron-specific protein, mediates the generation of an alternatively spliced neural protein isoform.
1996,
Pubmed López de Silanes,
Identification of a target RNA motif for RNA-binding protein HuR.
2004,
Pubmed Ma,
The Elav-like proteins bind to AU-rich elements and to the poly(A) tail of mRNA.
1997,
Pubmed Ma,
Cloning and characterization of HuR, a ubiquitously expressed Elav-like protein.
1996,
Pubmed Meisner,
mRNA openers and closers: modulating AU-rich element-controlled mRNA stability by a molecular switch in mRNA secondary structure.
2004,
Pubmed Mendez,
Translational control by CPEB: a means to the end.
2001,
Pubmed
,
Xenbase Meng,
The ELAV RNA-stability factor HuR binds the 5'-untranslated region of the human IGF-IR transcript and differentially represses cap-dependent and IRES-mediated translation.
2005,
Pubmed Myer,
Identification of HuR as a protein implicated in AUUUA-mediated mRNA decay.
1997,
Pubmed Newport,
A major developmental transition in early Xenopus embryos: II. Control of the onset of transcription.
1982,
Pubmed
,
Xenbase Newport,
A major developmental transition in early Xenopus embryos: I. characterization and timing of cellular changes at the midblastula stage.
1982,
Pubmed
,
Xenbase Paillard,
Identification of a C-rich element as a novel cytoplasmic polyadenylation element in Xenopus embryos.
2000,
Pubmed
,
Xenbase Peng,
Xenopus laevis: Practical uses in cell and molecular biology. Solutions and protocols.
1991,
Pubmed
,
Xenbase Peng,
RNA stabilization by the AU-rich element binding protein, HuR, an ELAV protein.
1998,
Pubmed Rempel,
Maternal Xenopus Cdk2-cyclin E complexes function during meiotic and early embryonic cell cycles that lack a G1 phase.
1995,
Pubmed
,
Xenbase Richard-Parpaillon,
G1/S phase cyclin-dependent kinase overexpression perturbs early development and delays tissue-specific differentiation in Xenopus.
2004,
Pubmed
,
Xenbase Richter,
Cytoplasmic polyadenylation in development and beyond.
1999,
Pubmed
,
Xenbase Simon,
Further analysis of cytoplasmic polyadenylation in Xenopus embryos and identification of embryonic cytoplasmic polyadenylation element-binding proteins.
1994,
Pubmed
,
Xenbase Slevin,
Antisense knockdown of cyclin E does not affect the midblastula transition in Xenopus laevis embryos.
2005,
Pubmed
,
Xenbase Stebbins-Boaz,
CPEB controls the cytoplasmic polyadenylation of cyclin, Cdk2 and c-mos mRNAs and is necessary for oocyte maturation in Xenopus.
1996,
Pubmed
,
Xenbase Verrotti,
Evolutionary conservation of sequence elements controlling cytoplasmic polyadenylylation.
1996,
Pubmed
,
Xenbase Westmark,
Up-regulation of nucleolin mRNA and protein in peripheral blood mononuclear cells by extracellular-regulated kinase.
2001,
Pubmed Wu,
The 36-kilodalton embryonic-type cytoplasmic polyadenylation element-binding protein in Xenopus laevis is ElrA, a member of the ELAV family of RNA-binding proteins.
1997,
Pubmed
,
Xenbase Zuker,
Mfold web server for nucleic acid folding and hybridization prediction.
2003,
Pubmed