Click here to close
Hello! We notice that you are using Internet Explorer, which is not supported by Xenbase and may cause the site to display incorrectly.
We suggest using a current version of Chrome,
FireFox, or Safari.
???displayArticle.abstract???
BACKGROUND: After amputation of the Xenopus tadpoletail, a functionally competent new tail is regenerated. It contains spinal cord, notochord and muscle, each of which has previously been shown to derive from the corresponding tissue in the stump. The regeneration of the neural crest derivatives has not previously been examined and is described in this paper.
RESULTS: Labelling of the spinal cord by electroporation, or by orthotopic grafting of transgenic tissue expressing GFP, shows that no cells emigrate from the spinal cord in the course of regeneration. There is very limited regeneration of the spinal ganglia, but new neurons as well as fibre tracts do appear in the regenerated spinal cord and the regenerated tail also contains abundant peripheral innervation.The regenerated tail contains a normal density of melanophores. Cell labelling experiments show that melanophores do not arise from the spinal cord during regeneration, nor from the mesenchymal tissues of the skin, but they do arise by activation and proliferation of pre-existing melanophore precursors. If tails are prepared lacking melanophores, then the regenerates also lack them.
CONCLUSION: On regeneration there is no induction of a new neural crest similar to that seen in embryonic development. However there is some regeneration of neural crest derivatives. Abundant melanophores are regenerated from unpigmented precursors, and, although spinal ganglia are not regenerated, sufficient sensory systems are produced to enable essential functions to continue.
???displayArticle.pubmedLink???
17521450 ???displayArticle.pmcLink???PMC1890292 ???displayArticle.link???BMC Dev Biol ???displayArticle.grants???[+]
Figure 1. Tail regeneration after spinal cord labelling or grafting. (A) Electroporation of GFP plasmid into the spinal cord lumen labels some spinal cord cells. (B) GFP+ cells were observed only within the regenerating spinal cord. (C) Enlarged view of the section in (B), showing neurons with GFP+ve axons. (D-F) Spinal cord grafting in stage 48 tadpole (D) and its regeneration (E, F). GFP was only observed in spinal cord of the regenerate (F). White arrowheads indicate amputation level. Scale bars: 500 μm. (G, H) GFP expression in the regenerating tail from spinal cord-grafted tadpoles. GFP is green and nuclei are stained with DAPI (blue). In this case a single cell with GFP expression is found outside of the regenerating spinal cord (red arrow in H). Scale bars: 20 μm.
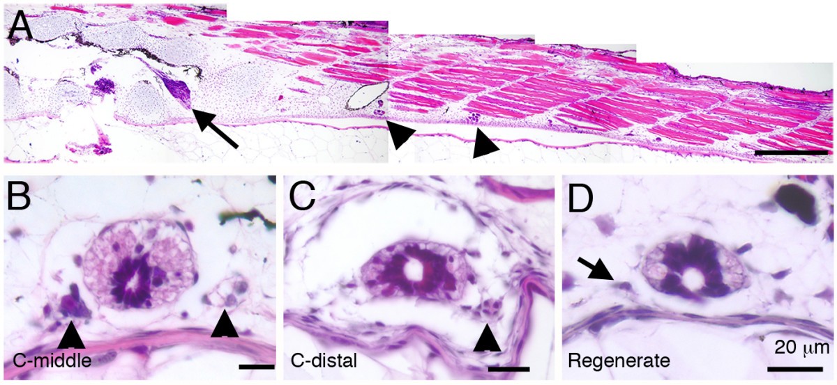
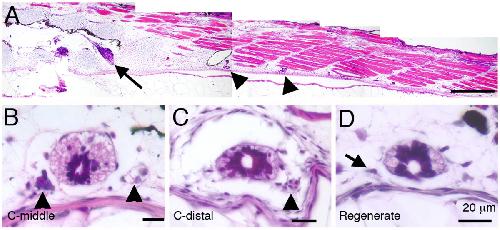
Figure 2. Morphology of the spinal ganglia viewed by haematoxylin-eosin staining. (A) A parasagittal section of the dorsal root ganglia in a stage 49 Xenopus tadpole is shown. The black arrow indicates ganglion 9. (B-D) Transverse sections of middle (B), distal (C) and regenerated (D) Xenopus tails. Arrow heads indicate the spinal ganglia in (B, C) and the arrow in (D) shows a "sporadic ganglion cell" in a regenerate. Scale bars: 500 μm in (A), 20 μm in (B-D).
Figure 3. Expression of neural markers in spinal cord of normal and regenerating tails. (A-B') In situ hybridization detection of mRNA expression of p75a (A, A') and Brn3a (B, B') on transverse sections. (A-B) Control tails. (A'-B') Tail regenerates. Arrows in (A, B) indicate ganglia and the arrow in (A') indicates a sporadic ganglion cell. (C-D') β III tubulin expression (green) in whole mount tadpole tails (C, C') and on cross sections (D, D'). (C', D') are one-month regenerates. (E-F') Expression of Hu (E, E') and islet 1 (F, F') are detected by antibody staining on transverse sections. (E, F) un-operated control, (E', F') 2 week old tail regenerates. Scale bars: 250 μm in (E, E'), 20 μm in the rest.
Figure 4. Peripheral nerve fibres in tail regenerates. (A) 1 month old tail regenerate. (B) Neurofilament 200 staining, enlarged view from the section in (A). Arrow indicates a neurofilament 200 positive nerve fibre. (C) Bright field image of a one week old tail regenerate, after DiI injection. (D) Red fluorescent image of (C), * marks the injection site of DiI, white arrow indicates a DiI-labelled nerve fibre. (E, F) The DiI signal is not found in neurons of the regenerating spinal cord (E) but is found in neurons of the proximal stump (red arrow in F). Arrow heads in (A-C) mark the amputation levels. Scale bars: 500 μm in (A-B); 250 μm in (C, D) and 20 μm in (E, F).
Figure 5. Regeneration of pigmentation in Xenopus tadpoles. (A) Pigment pattern of a stage 49tadpole. The inset is an enlarged view of the amputation level. (B) A regenerating tail 1 day post amputation (dpa). The white arrow indicates the melanophores near the surface. (C) A regenerating tail 5 dpa.
Figure 6. Tail regeneration after embryonic grafting of neural crest or of posterior ventral epidermis+mesenchyme. (A-C) A piece of GFP transgenic posterior neural crest was grafted to the same positions in wild type hosts. The labelled embryos were grown to tadpoles (B), amputated at stage 48 and allowed to regenerate for 7 days (C). Red lines indicate the amputation level. (D) A single melanophore in a regenerated tail from such an experiment, with contracted pigment and abundant GFP in the cytoplasm. (E-H) Similar experiment with graft of posterior ventral epidermis+mesenchyme (PVEM). In (H) is shown a section of the regenerate with two melanocytes, neither of which is labelled. White scale bars 500 μm; black scale bars, 20 μm.
Figure 7. Regeneration of melanophores after skin grafting in tadpoles. (A) A piece of GFP-labelled skin was grafted to the lateral region of the middle trunk of a non-GFP tadpole host, which was then amputated 3 days after. (B) A 7 day tail regenerate from a skin grafted tadpole, white arrowheads indicate the amputation level. (C) Detection of GFP in a melanophore in the regenerate. 4 views are shown: top left transmitted light; top right GFP fluorescence; bottom left DAPI fluorescence (DNA); bottom right transmitted light and fluorescence. Scale bars: 500 μm in A, B, 10 μm in C.
Figure 8. Detection of mitf, dct and kit expression. (A-D) Expression of mitf (A, B) and dct (C, D) transcripts in normal tadpole (A, C), and 3d tail regenerates (B, D) detected by in situ hybridization. Positive cells are present in the blastema region of the regeneration bud. Black arrows indicate amputation level. (E-H) Detection of kit in tail regenerates. Enlarged view of the selected area in (E) is shown in (F). The kit antibody staining is shown in red, and counterstained with DAPI (G). (H) Quantification of kit+ cells in the stump and regenerating tails, n = 6.
Figure 9. Tail regeneration in Phenylthiourea (PTU) treated tadpoles. (A) Untreated 4 day tail regenerate. (B) Tail regenerate of a tadpole treated with PTU for 4 days, starting immediately after tail amputation. (C) same tadpole as in (B), 2 days after PTU withdrawal. (D) same tadpole as in (B), 8 days after PTU withdrawal. White arrowheads mark the amputation level.
Figure 10. Tail regeneration in normal and neural crest-extirpated tadpoles. (A) A tadpole developed from a neural fold-extirpated embryo. The white bracket indicates the tail region with its pigment cells and dorsal fin depleted. The inset is a sketch of a stage 15/16 embryo, the green area marking the posterior neural fold removed. (B) A tadpole immediately after amputation. The white bracket indicates the region free from melanophores. (C) The same tadpole as in (B), 4 days after tail amputation, arrowheads indicate amputation level. (D) A tadpole with reduced number of melanophores close to the tail amputation level, 2 days after amputation. Arrowheads indicate amputation level. (E) A control tadpole, 4 days after amputation. White arrowheads indicate amputation level. (F, G) In situ hybridization of mitf (F) and dct (G) in neural fold extirpated tadpoles. Brackets mark the melanophore-free region of the tail. Scale bars, 500 μm.
An,
Differentiation and maturation of zebrafish dorsal root and sympathetic ganglion neurons.
2002, Pubmed
An,
Differentiation and maturation of zebrafish dorsal root and sympathetic ganglion neurons.
2002,
Pubmed Anderson,
Cellular and molecular biology of neural crest cell lineage determination.
1997,
Pubmed Aybar,
Early induction of neural crest cells: lessons learned from frog, fish and chick.
2002,
Pubmed
,
Xenbase Barembaum,
Early steps in neural crest specification.
2005,
Pubmed
,
Xenbase Beck,
Molecular pathways needed for regeneration of spinal cord and muscle in a vertebrate.
2003,
Pubmed
,
Xenbase Bernardini,
Spinal cord and ganglia regeneration in larval Xenopus laevis following unilateral ablation.
1992,
Pubmed
,
Xenbase Botella-Estrada,
Melanotic pigmentation in excision scars of melanocytic and non-melanocytic skin tumors.
1999,
Pubmed Brockes,
Appendage regeneration in adult vertebrates and implications for regenerative medicine.
2005,
Pubmed Callery,
There's more than one frog in the pond: a survey of the Amphibia and their contributions to developmental biology.
2006,
Pubmed
,
Xenbase Chen,
Control of muscle regeneration in the Xenopus tadpole tail by Pax7.
2006,
Pubmed
,
Xenbase Cristino,
Plastic changes and nitric oxide synthase induction in neurons which innervate the regenerated tail of the lizard Gekko gecko. II. The response of dorsal root ganglion cells to tail amputation and regeneration.
2000,
Pubmed Echeverri,
Ectoderm to mesoderm lineage switching during axolotl tail regeneration.
2002,
Pubmed Eng,
Coordinated regulation of gene expression by Brn3a in developing sensory ganglia.
2004,
Pubmed Ericson,
Early stages of motor neuron differentiation revealed by expression of homeobox gene Islet-1.
1992,
Pubmed
,
Xenbase Ferretti,
Changes in spinal cord regenerative ability through phylogenesis and development: lessons to be learnt.
2003,
Pubmed Filoni,
Comparative analysis of the regenerative capacity of caudal spinal cord in larvae of serveral Anuran amphibian species.
,
Pubmed
,
Xenbase Gargioli,
Cell lineage tracing during Xenopus tail regeneration.
2004,
Pubmed
,
Xenbase Goding,
Mitf from neural crest to melanoma: signal transduction and transcription in the melanocyte lineage.
2000,
Pubmed Harland,
In situ hybridization: an improved whole-mount method for Xenopus embryos.
1991,
Pubmed
,
Xenbase Huang,
Induction of the neural crest and the opportunities of life on the edge.
2004,
Pubmed
,
Xenbase Huang,
Brn3a is a transcriptional regulator of soma size, target field innervation and axon pathfinding of inner ear sensory neurons.
2001,
Pubmed Huang,
Neurotrophins: roles in neuronal development and function.
2001,
Pubmed HUGHES,
The factors controlling the development of the dorsal root ganglia and ventral horn in Xenopus laevis (Daud.).
1958,
Pubmed
,
Xenbase Iten,
Stages of tail regeneration in the adult newt, Notophthalmus viridescens.
1976,
Pubmed Kelsh,
Genetics and evolution of pigment patterns in fish.
2004,
Pubmed Kelsh,
Genetic analysis of melanophore development in zebrafish embryos.
2000,
Pubmed Knecht,
Induction of the neural crest: a multigene process.
2002,
Pubmed Kroll,
Transgenic Xenopus embryos from sperm nuclear transplantations reveal FGF signaling requirements during gastrulation.
1996,
Pubmed
,
Xenbase Kumasaka,
Regulation of melanoblast and retinal pigment epithelium development by Xenopus laevis Mitf.
2005,
Pubmed
,
Xenbase LaBonne,
Molecular mechanisms of neural crest formation.
1999,
Pubmed
,
Xenbase Lamborghini,
Disappearance of Rohon-Beard neurons from the spinal cord of larval Xenopus laevis.
1987,
Pubmed
,
Xenbase Le Douarin,
Neural crest cell plasticity and its limits.
2004,
Pubmed Le Douarin,
Multipotentiality of the neural crest.
2003,
Pubmed Le Douarin,
From the neural crest to the ganglia of the peripheral nervous system.
1981,
Pubmed Lister,
nacre encodes a zebrafish microphthalmia-related protein that regulates neural-crest-derived pigment cell fate.
1999,
Pubmed Ma,
Brn3a regulation of TrkA/NGF receptor expression in developing sensory neurons.
2003,
Pubmed Marusich,
Hu neuronal proteins are expressed in proliferating neurogenic cells.
1994,
Pubmed Mayor,
Development of neural crest in Xenopus.
1999,
Pubmed
,
Xenbase Nieto,
The early steps of neural crest development.
2001,
Pubmed
,
Xenbase Nishikawa,
Evolution of spinal nerve number in anuran larvae.
1989,
Pubmed Nishikawa,
Morphology of the caudal spinal cord in Rana (Ranidae) and Xenopus (Pipidae) tadpoles.
1988,
Pubmed
,
Xenbase Quigley,
Pigment pattern formation in zebrafish: a model for developmental genetics and the evolution of form.
2002,
Pubmed Rawls,
Zebrafish kit mutation reveals primary and secondary regulation of melanocyte development during fin stripe regeneration.
2000,
Pubmed Rawls,
Temporal and molecular separation of the kit receptor tyrosine kinase's roles in zebrafish melanocyte migration and survival.
2003,
Pubmed Rawls,
How the zebrafish gets its stripes.
2001,
Pubmed Roberts,
The neuroanatomy of an amphibian embryo spinal cord.
1982,
Pubmed
,
Xenbase Ryffel,
Tagging muscle cell lineages in development and tail regeneration using Cre recombinase in transgenic Xenopus.
2003,
Pubmed
,
Xenbase Schnapp,
Hedgehog signaling controls dorsoventral patterning, blastema cell proliferation and cartilage induction during axolotl tail regeneration.
2005,
Pubmed Simpson,
Studies on regeneration of the lizard's tail.
1970,
Pubmed Slack,
Cellular and molecular mechanisms of regeneration in Xenopus.
2004,
Pubmed
,
Xenbase Slominski,
Melanin pigmentation in mammalian skin and its hormonal regulation.
2004,
Pubmed Tanaka,
Cell differentiation and cell fate during urodele tail and limb regeneration.
2003,
Pubmed Tazaki,
Macroarray-based analysis of tail regeneration in Xenopus laevis larvae.
2005,
Pubmed
,
Xenbase Tsonis,
A newt's eye view of lens regeneration.
2004,
Pubmed Tucker,
Independent induction and formation of the dorsal and ventral fins in Xenopus laevis.
2004,
Pubmed
,
Xenbase Vercelli,
Recent techniques for tracing pathways in the central nervous system of developing and adult mammals.
2000,
Pubmed Yang,
Small molecule-induced ablation and subsequent regeneration of larval zebrafish melanocytes.
2006,
Pubmed