Click here to close
Hello! We notice that you are using Internet Explorer, which is not supported by Xenbase and may cause the site to display incorrectly.
We suggest using a current version of Chrome,
FireFox, or Safari.
???displayArticle.abstract??? FoxC1 is an important transcription factor in vertebrate development since its mutation in humans results in Axenfeld-Rieger syndrome. In the mouse, disturbance of its function causes congenital hydrocephalus and abnormalities in the development of various mesodermal derivatives. In this report, we provide one mechanistic basis for the requirement for FoxC1 in vertebrate development. We find that, in Xenopus laevis embryos, FoxC1 expression is regulated by the maternal T-box transcription factor VegT, via the nodal sub-family of TGFbeta signaling transducers. We show that at the late neurula to early tailbud stage, FoxC1 depletion causes the down-regulation of adhesion molecules, EP and E cadherin, as well as members of the Ephrin/EphR signaling families in the mesodermgerm layer resulting in the loss of adhesion and apoptosis of mesodermal cells.
Figure 1. FoxC1 is an indirect target of VegT and FoxC1 expression in the equatorial zone. A: VegT-depleted gastrulae (early gastrula, stage 10; mid gastrula, stage 10.5) showed a decrease of FoxC1 expression using real time RT-PCR compared to control sibling embryos. Levels of expression are normalized to ornithine decarboxylase (ODC).B: Using whole-mount in situ hybridization, FoxC1 was shown to be localized in the equatorial zone of wild-type embryos at the mid-gastrula stage (stage 11). The upper two half-embryos seen in hemisection through the blastopore; lower two whole embryos, viewing the blastopore. C: After CerS mRNA injection at the 2-cell stage, FoxC1 expression measured by real time RT-PCR is reduced in wild type gastrulae, at the early and mid-gastrula stage. D: The expression of FoxC1 in 1 whole embryo compared to batches of 10 wild type animal caps (Caps), 10 caps injected with 60 pg VegT mRNA at the two cell stage (Caps + VegT mRNA), 10 wild type caps treated with cycloheximide (Caps + cyclohex), and 10 caps injected with VegT mRNA and treated with cycloheximide (Caps + VegT + cyclohex). Wild-type animal caps do not express FoxC1, while injection with VegT mRNA induces FoxC1 expression. Injection of cycloheximide in addition to VegT mRNA into animal caps represses FoxC1 expression.
Figure 2. The phenotype of FoxC1 depleted gastulae. A:Xenopus FoxC1 pseudoalleles aligned against the reverse complement of the morpholino oligo used in the study using Clustal alignment in Macvector. B: FoxC1 MO (MO) blocks translation of FoxC1 mRNA (FoxC1) in a dose-responsive fashion, but does not block translation of a protected FoxC1 RNA, (MOR-), in an in vitro translation assay. C: HA-tagged Fox1 mRNA was injected alone or together with different doses of FoxC1 MO at the 2-cell stage to confirm a reduction of FoxC1 translation. DâG: Wild type sibling embryos and embryos injected with 40 ng MO (MO), or 40 ng MO and 50 pg MO-R FoxC1 mRNA (MO+RNA) were cultured until early (stage 10), mid (stage 11), and late gastrula (stage 11.5) stages before freezing and analyzing by real time RT-PCR for the expression of Mespo (D), Endodermin (E), Bix4 (F), and CK1ϵ (G). Expression levels are normalized to ODC. H,I: Whole mount in situ hybridization on FoxC1-depleted mid-gastrulae (bottom) as compared to wild type sibling embryos (top) showing increased expression of CK1ϵ (H) and Bix4 (I) after FoxC1 depletion.
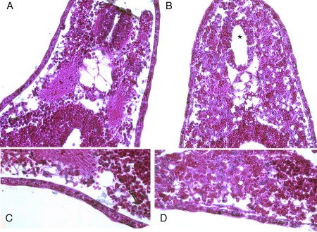
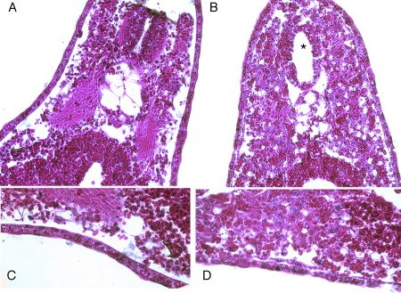
Figure 4. Histology of FoxC1-depleted embryos at the late tailbud stage. Embryo-derived FoxC1-depleted embryos (B,D) have disorganized somites and undifferentiated neural tubes (asterisk in B) compared to controls (A,C), while notochord differentiation appears normal. C and D are higher magnification images of parts of A and B, respectively, showing the loss of close adhesion between the simple squamous epithelium of the lateral plate mesoderm and the epidermis in FoxC1-depleted embryos (D) compared to controls (C).
Figure 5. FoxC1 target genes and apoptosis at the early tailbud stage (stage 20) (AâD). Real-time RT-PCR analysis of the equatorial zones (equators) and vegetal masses (bases) shown in Figure 3 (F and I) for E and EP cadherin and occludin (A); Ephrin B1 and 3, EphB2 and 3, and Ephrin A4 (B); FGF8, MyoD, and SCL (C); and Sox17 and GATA5 (D). Expression was normalized to ODC. EâG: Oocyte-derived, FoxC1-depleted embryos were hemisected in the sagittal plane and subject to TUNEL staining at stage 20. FoxC1-depleted embryos exhibited more cell apoptosis particularly in the mesoderm (F) compared to controls (E), and this effect was rescued by reintroducing MO-R FoxC1 mRNA (G).