Click here to close Hello! We notice that you are using Internet Explorer, which is not supported by Xenbase and may cause the site to display incorrectly. We suggest using a current version of Chrome, FireFox, or Safari.
XB-ART-36622
Nucleic Acids Res 2007 Jan 01;3519:e132. doi: 10.1093/nar/gkm830.
Show Gene links Show Anatomy links

A novel method for poly(A) fractionation reveals a large population of mRNAs with a short poly(A) tail in mammalian cells.

Meijer HA, Bushell M, Hill K, Gant TW, Willis AE, Jones P, de Moor CH.


???displayArticle.abstract???
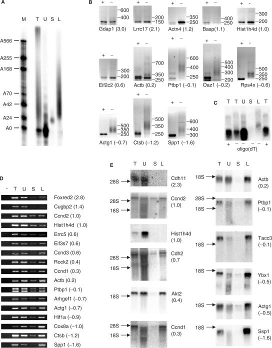
The length of the poly(A) tail of an mRNA plays an important role in translational efficiency, mRNA stability and mRNA degradation. Regulated polyadenylation and deadenylation of specific mRNAs is involved in oogenesis, embryonic development, spermatogenesis, cell cycle progression and synaptic plasticity. Here we report a new technique to analyse the length of poly(A) tails and to separate a mixed population of mRNAs into fractions dependent on the length of their poly(A) tails. The method can be performed on crude lysate or total RNA, is fast, highly reproducible and minor changes in poly(A) tail length distribution are easily detected. We validated the method by analysing mRNAs known to undergo cytoplasmic polyadenylation during Xenopus laevis oocyte maturation. We then separated RNA from NIH3T3 cells into two fractions with short and long poly(A) tails and compared them by microarray analysis. In combination with the validation experiments, the results indicate that approximately 25% of the expressed genes have a poly(A) tail of less than 30 residues in a significant percentage of their transcripts.

???displayArticle.pubmedLink??? 17933768
???displayArticle.pmcLink??? PMC2095794
???displayArticle.link??? Nucleic Acids Res
???displayArticle.grants??? [+]

Species referenced: Xenopus laevis
Genes referenced: actb


???attribute.lit??? ???displayArticles.show???
References [+] :
Beilharz, Widespread use of poly(A) tail length control to accentuate expression of the yeast transcriptome. 2007, Pubmed