XB-ART-37115
Mol Biol Cell
2008 Apr 01;194:1317-27. doi: 10.1091/mbc.e07-11-1099.
Show Gene links
Show Anatomy links
Roles of Greatwall kinase in the regulation of cdc25 phosphatase.
???displayArticle.abstract???
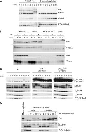
We previously reported that immunodepletion of Greatwall kinase prevents Xenopus egg extracts from entering or maintaining M phase due to the accumulation of inhibitory phosphorylations on Thr14 and Tyr15 of Cdc2. M phase-promoting factor (MPF) in turn activates Greatwall, implying that Greatwall participates in an MPF autoregulatory loop. We show here that activated Greatwall both accelerates the mitotic G2/M transition in cycling egg extracts and induces meiotic maturation in G2-arrested Xenopus oocytes in the absence of progesterone. Activated Greatwall can induce phosphorylations of Cdc25 in the absence of the activity of Cdc2, Plx1 (Xenopus Polo-like kinase) or mitogen-activated protein kinase, or in the presence of an activator of protein kinase A that normally blocks mitotic entry. The effects of active Greatwall mimic in many respects those associated with addition of the phosphatase inhibitor okadaic acid (OA); moreover, OA allows cycling extracts to enter M phase in the absence of Greatwall. Taken together, these findings support a model in which Greatwall negatively regulates a crucial phosphatase that inhibits Cdc25 activation and M phase induction.
???displayArticle.pubmedLink??? 18199678
???displayArticle.pmcLink??? PMC2291418
???displayArticle.link??? Mol Biol Cell
???displayArticle.grants??? [+]
GM48430 NIGMS NIH HHS , R01 CA93941 NCI NIH HHS , R01 CA093941 NCI NIH HHS , R01 GM048430 NIGMS NIH HHS
Species referenced: Xenopus laevis
Genes referenced: alb camk2a camk2g camp ccnb1 ccnb2 cdc25c cdk1 mapk1 mastl mos pkmyt1 plk1 rasgrf1 rps6ka1 uqcc6 wee1
???displayArticle.antibodies??? Cdc2 Ab2 Cdk1 Ab2 Mapk1 Ab14 Mastl Ab1 Plk1 Ab1
???displayArticle.morpholinos??? mos MO1
???attribute.lit??? ???displayArticles.show???
References [+] :
Abrieu,
The Polo-like kinase Plx1 is a component of the MPF amplification loop at the G2/M-phase transition of the cell cycle in Xenopus eggs.
1998, Pubmed,
Xenbase
Abrieu, The Polo-like kinase Plx1 is a component of the MPF amplification loop at the G2/M-phase transition of the cell cycle in Xenopus eggs. 1998, Pubmed , Xenbase
Barr, Polo-like kinases and the orchestration of cell division. 2004, Pubmed
Chun, Phosphorylation of Cdc25C by pp90Rsk contributes to a G2 cell cycle arrest in Xenopus cycling egg extracts. 2005, Pubmed , Xenbase
Clarke, Dephosphorylation of cdc25-C by a type-2A protein phosphatase: specific regulation during the cell cycle in Xenopus egg extracts. 1993, Pubmed , Xenbase
Descombes, The polo-like kinase Plx1 is required for M phase exit and destruction of mitotic regulators in Xenopus egg extracts. 1998, Pubmed , Xenbase
Duckworth, G2 arrest in Xenopus oocytes depends on phosphorylation of cdc25 by protein kinase A. 2002, Pubmed , Xenbase
Dupré, Mos is not required for the initiation of meiotic maturation in Xenopus oocytes. 2002, Pubmed , Xenbase
Elia, The molecular basis for phosphodependent substrate targeting and regulation of Plks by the Polo-box domain. 2003, Pubmed , Xenbase
Fernández, Okadaic acid, useful tool for studying cellular processes. 2002, Pubmed
Frank-Vaillant, Interplay between Cdc2 kinase and the c-Mos/MAPK pathway between metaphase I and metaphase II in Xenopus oocytes. 2001, Pubmed , Xenbase
Gowdy, Entry into mitosis without Cdc2 kinase activation. 1998, Pubmed
Grieco, A role for cAMP-dependent protein kinase in early embryonic divisions. 1994, Pubmed , Xenbase
Gross, The critical role of the MAP kinase pathway in meiosis II in Xenopus oocytes is mediated by p90(Rsk). 2000, Pubmed , Xenbase
Guadagno, Requirement for MAPK activation for normal mitotic progression in Xenopus egg extracts. 1998, Pubmed , Xenbase
Haccard, Redundant pathways for Cdc2 activation in Xenopus oocyte: either cyclin B or Mos synthesis. 2006, Pubmed , Xenbase
Hutchins, Regulation of Cdc2/cyclin B activation in Xenopus egg extracts via inhibitory phosphorylation of Cdc25C phosphatase by Ca(2+)/calmodulin-dependent protein [corrected] kinase II. 2003, Pubmed , Xenbase
Hutchins, Dephosphorylation of the inhibitory phosphorylation site S287 in Xenopus Cdc25C by protein phosphatase-2A is inhibited by 14-3-3 binding. 2002, Pubmed , Xenbase
Izumi, Phosphorylation and activation of the Xenopus Cdc25 phosphatase in the absence of Cdc2 and Cdk2 kinase activity. 1995, Pubmed , Xenbase
Jessus, Levels of microtubules during the meiotic maturation of the Xenopus oocyte. 1987, Pubmed , Xenbase
Karaiskou, Polo-like kinase confers MPF autoamplification competence to growing Xenopus oocytes. 2004, Pubmed , Xenbase
Karaïskou, Phosphatase 2A and polo kinase, two antagonistic regulators of cdc25 activation and MPF auto-amplification. 1999, Pubmed , Xenbase
Kuang, A novel M phase-specific H1 kinase recognized by the mitosis-specific monoclonal antibody MPM-2. 1991, Pubmed , Xenbase
Kumagai, Regulation of the cdc25 protein during the cell cycle in Xenopus extracts. 1992, Pubmed , Xenbase
Lee, Inhibition of cdc2 activation by INH/PP2A. 1994, Pubmed , Xenbase
Liu, Xenopus Polo-like kinase Plx1: a multifunctional mitotic kinase. 2005, Pubmed , Xenbase
Liu, The polo box is required for multiple functions of Plx1 in mitosis. 2004, Pubmed , Xenbase
Lorca, Calmodulin-dependent protein kinase II mediates inactivation of MPF and CSF upon fertilization of Xenopus eggs. 1993, Pubmed , Xenbase
Margolis, A role for PP1 in the Cdc2/Cyclin B-mediated positive feedback activation of Cdc25. 2006, Pubmed , Xenbase
Margolis, Role for the PP2A/B56delta phosphatase in regulating 14-3-3 release from Cdc25 to control mitosis. 2006, Pubmed , Xenbase
Margolis, PP1 control of M phase entry exerted through 14-3-3-regulated Cdc25 dephosphorylation. 2003, Pubmed , Xenbase
Maton, Differential regulation of Cdc2 and Aurora-A in Xenopus oocytes: a crucial role of phosphatase 2A. 2005, Pubmed , Xenbase
Meijer, Biochemical and cellular effects of roscovitine, a potent and selective inhibitor of the cyclin-dependent kinases cdc2, cdk2 and cdk5. 1997, Pubmed , Xenbase
Mochida, Calcineurin is required to release Xenopus egg extracts from meiotic M phase. 2007, Pubmed , Xenbase
Murray, Cell cycle extracts. 1991, Pubmed
Murray, Cyclin synthesis drives the early embryonic cell cycle. 1989, Pubmed , Xenbase
Perdiguero, Regulation of Cdc25C activity during the meiotic G2/M transition. 2004, Pubmed , Xenbase
Perry, Cdc25 and Wee1: analogous opposites? 2007, Pubmed
Qian, The polo-like kinase Plx1 is required for activation of the phosphatase Cdc25C and cyclin B-Cdc2 in Xenopus oocytes. 2001, Pubmed , Xenbase
Qian, Activated polo-like kinase Plx1 is required at multiple points during mitosis in Xenopus laevis. 1998, Pubmed , Xenbase
Rauh, Calcium triggers exit from meiosis II by targeting the APC/C inhibitor XErp1 for degradation. 2005, Pubmed , Xenbase
Rudner, Phosphorylation by Cdc28 activates the Cdc20-dependent activity of the anaphase-promoting complex. 2000, Pubmed
Smyth, Inhibition of the inositol trisphosphate receptor of mouse eggs and A7r5 cells by KN-93 via a mechanism unrelated to Ca2+/calmodulin-dependent protein kinase II antagonism. 2002, Pubmed
Stanford, Changes in regulatory phosphorylation of Cdc25C Ser287 and Wee1 Ser549 during normal cell cycle progression and checkpoint arrests. 2005, Pubmed , Xenbase
Stark, Control of the G2/M transition. 2006, Pubmed
Takenaka, MAP kinase is required for the spindle assembly checkpoint but is dispensable for the normal M phase entry and exit in Xenopus egg cell cycle extracts. 1997, Pubmed , Xenbase
Wang, Regulation of Cdc25C by ERK-MAP kinases during the G2/M transition. 2007, Pubmed , Xenbase
Xiong, A positive-feedback-based bistable 'memory module' that governs a cell fate decision. 2003, Pubmed , Xenbase
Yu, Greatwall kinase: a nuclear protein required for proper chromosome condensation and mitotic progression in Drosophila. 2004, Pubmed
Yu, Greatwall kinase participates in the Cdc2 autoregulatory loop in Xenopus egg extracts. 2006, Pubmed , Xenbase
