Click here to close
Hello! We notice that you are using Internet Explorer, which is not supported by Xenbase and may cause the site to display incorrectly.
We suggest using a current version of Chrome,
FireFox, or Safari.
???displayArticle.abstract??? Rhodopsin transgenes carrying mutations that cause autosomal dominant retinitis pigmentosa in humans have been used to study rod photoreceptor degeneration in various model organisms including Xenopus laevis. To date, the only transgenes shown to cause rod photoreceptor degeneration in Xenopus laevis have been either mammalian rhodopsins or chimeric versions of rhodopsin based mainly on Xenopus laevis rhodopsin sequences but with a mammalian C-terminus. Since the C-terminal sequence of rhodopsin is highly conserved in mammals and divergent in Xenopus laevis, and mammalian and epitope-tagged rhodopsins may have unexpected properties as transgenes, we decided to test whether a Xenopus laevis rhodopsin transgene carrying only the P23H mutation could also cause rod photoreceptor degeneration. Xenopus laevis tadpoles expressing these transgenes indeed had shortened outer segments and, in severely affected animals, the loss of rod photoreceptors but not the loss of cone photoreceptors. RT-PCR analyses showed that less than 10% of mutant transgenic rhodopsin relative to wild-type endogenous rhodopsin mRNA was sufficient to produce severe rod photoreceptor degeneration. As observed in other animal models as well as humans carrying this particular rhodopsin mutation, the rod photoreceptor degeneration was most severe in the ventralretina and was modified by light. Thus, the rod photoreceptor degeneration produced in Xenopus laevis by the P23H mutation in an otherwise untagged Xenopus laevis rhodopsin is generally similar to that seen with mammalian rhodopsins and epitope-tagged versions of Xenopus laevis rhodopsin, though some differences remain to be explained.
???displayArticle.pubmedLink???
18291367 ???displayArticle.pmcLink???PMC4127875 ???displayArticle.link???Exp Eye Res ???displayArticle.grants???[+]
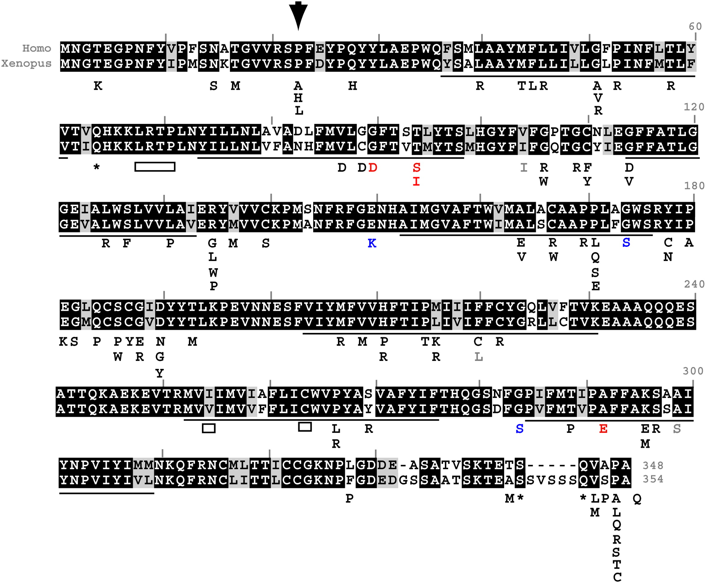
Fig. 1.
Human rhodopsin mutations superimposed on an alignment of Xenopus laevis and human rhodopsin sequences. In the aligned sequences, blackened boxes highlight identical amino-acids, while grey boxes highlight conserved amino-acid substitutions. Underlined are the predicted transmembrane spanning regions of rhodopsin. Underneath the aligned sequences are listed mutations occurring in human rhodopsin ( Briscoe et al., 2004). Mutations that cause autosomal dominant retinitis pigmentosa are shown in black: missense mutations as letters; nonsense mutations as asterisks; deletions as boxes. In blue are shown mutations that cause autosomal recessive retinitis pigmentosa. In red are shown mutations that cause congenital stationary night blindness. In grey are shown mutations found in humans that are presumed to be non-deleterious polymorphisms. An inverted arrowhead marks the position of the P23H mutation for which transgenic Xenopus laevis were generated and characterized.
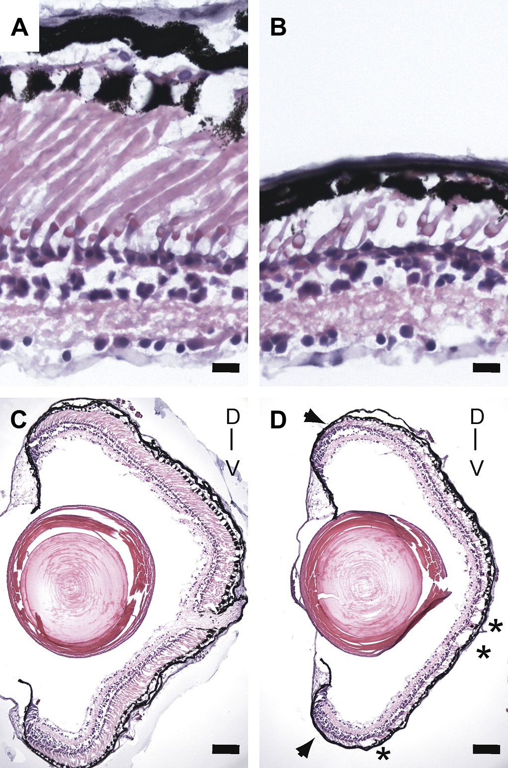
Fig. 2. Rod photoreceptor degeneration in 4 week-old Xenopus laevis tadpoles expressing a P23H Xenopus laevis rhodopsin transgene, shown by hematoxylin/eosin stain of cryosectioned retinas. (A) Retina of control tadpole has comparable numbers of rods and cones. (B) Retina of P23H transgenic tadpole has cones but a near absence of rods. (C) Low-power view of the same control retina shown in A. (D) Low-power view of the same P23H transgenic retina shown in B, which shows patchy degeneration (asterisks) preferentially in the ventral half of the retina. The outer segments of rods in P23H transgenic tadpoles are shorter than those in control animals, even in young rod photoreceptors near the ciliary marginal zone (arrows). D and V mark the dorsoventral axis. Scale bars: 10 μm in (A) and (B), and 80 μm in (C) and (D).
Fig. 3.
Rhodopsin protein immunoreactivity in the retinas of control tadpoles and tadpoles expressing the P23H rhodopsin transgene. (A) Low power view of retina of a control tadpole stained with the 4D2 rhodopsin monoclonal antibody and the nuclear dye DAPI (blue). (B) Low power view of similarly stained retina from a P23H rhodopsin transgenic tadpole, showing preferential degeneration in the ventralretina. (C) Higher power view that shows photoreceptors of a control tadpole. (D) Higher power view from a P23H rhodopsin transgenic tadpole; note the presence of rhodopsin immunoreactivity near outer nuclear layer (arrows). D and V mark the dorsoventral axis in (A) and (B). Scale bars: 10 μm in (A) and (B), and 100 μm in (C) and (D).
Fig. 4.
Expression of transgenic P23H rhodopsin mRNA as a percent relative to endogenous Xenopus laevis rhodopsin. (A) Competitive PCR using cDNA templates for P23H(ÎHincII) rhodopsin and wild-type rhodopsin in 0â10% ratios. (B) Relationship between added and measured rhodopsin ratios from the blot shown in (A). (C) Competitive PCR using cDNAs generated from individual eyes from tadpoles generated during the injection of the P23H(ÎHincII) transgene. (D) Expression ratio of P23H(ÎHincII) transgenic rhodopsin relative to wildtype endogenous rhodopsin for the tadpoleeyes shown in (C). Below the graph are genotyping results showing whether the tadpoles carried the transgene, as well as the extent of photoreceptor degeneration observed in the other eye of the same tadpoles.
Fig. 5.
Rod photoreceptor degeneration caused by P23H rhodopsin transgene is modified by light. Triple label of 4D2 rhodopsin antibody labeling (red), GFP antibody labeling (green) and DAPI nuclear labeling (blue) in non-transgenic siblings raised under low light (A) and transgenic siblings raised under low (D) and high (G) light intensities. White brackets show the shortening of outer segments occurring during rod photoreceptor degeneration. Rhodopsin mRNA in non-transgenic siblings raised under low light (B) and transgenic siblings raised under low (E) and high (H) light intensities. Red cone opsin mRNA in non-transgenic siblings raised under low light (C) and transgenic siblings raised under low (F) and high (I) light intensities. Quantification of rhodopsin protein (J), rhodopsin mRNA (K) and red cone opsin mRNA (L) in transgenic and non-transgenic siblings raised under low and high light intensities. * and ** mark groups that are significantly different at p < 0.05 and p < 0.01 levels. Scale bar: 50 μm.
Ayuso,
Novel rhodopsin mutation in an autosomal dominant retinitis pigmentosa family: phenotypic variation in both heterozygote and homozygote Val137Met mutant patients.
1996, Pubmed
Ayuso,
Novel rhodopsin mutation in an autosomal dominant retinitis pigmentosa family: phenotypic variation in both heterozygote and homozygote Val137Met mutant patients.
1996,
Pubmed Becker-André,
Absolute mRNA quantification using the polymerase chain reaction (PCR). A novel approach by a PCR aided transcript titration assay (PATTY).
1989,
Pubmed Boughman,
Population genetic studies of retinitis pigmentosa.
1980,
Pubmed Briscoe,
The spectrum of human rhodopsin disease mutations through the lens of interspecific variation.
2004,
Pubmed Bunker,
Prevalence of retinitis pigmentosa in Maine.
1984,
Pubmed Cideciyan,
Disease sequence from mutant rhodopsin allele to rod and cone photoreceptor degeneration in man.
1998,
Pubmed Dryja,
A point mutation of the rhodopsin gene in one form of retinitis pigmentosa.
1990,
Pubmed Fyhrquist,
Rhodopsins from three frog and toad species: sequences and functional comparisons.
1998,
Pubmed
,
Xenbase Galy,
Rhodopsin maturation defects induce photoreceptor death by apoptosis: a fly model for RhodopsinPro23His human retinitis pigmentosa.
2005,
Pubmed Heckenlively,
Clinical findings and common symptoms in retinitis pigmentosa.
1988,
Pubmed Heckenlively,
Autosomal dominant sectoral retinitis pigmentosa. Two families with transversion mutation in codon 23 of rhodopsin.
1991,
Pubmed Jozwick,
Reversal of functional loss in the P23H-3 rat retina by management of ambient light.
2006,
Pubmed Kemp,
Abnormal rod dark adaptation in autosomal dominant retinitis pigmentosa with proline-23-histidine rhodopsin mutation.
1992,
Pubmed Knox,
Transgene expression in Xenopus rods.
1998,
Pubmed
,
Xenbase Kroll,
Transgenic Xenopus embryos from sperm nuclear transplantations reveal FGF signaling requirements during gastrulation.
1996,
Pubmed
,
Xenbase Lewin,
Ribozyme rescue of photoreceptor cells in a transgenic rat model of autosomal dominant retinitis pigmentosa.
1998,
Pubmed Machida,
P23H rhodopsin transgenic rat: correlation of retinal function with histopathology.
2000,
Pubmed Mani,
Xenopus rhodopsin promoter. Identification of immediate upstream sequences necessary for high level, rod-specific transcription.
2001,
Pubmed
,
Xenbase Marsh-Armstrong,
Asymmetric growth and development of the Xenopus laevis retina during metamorphosis is controlled by type III deiodinase.
1999,
Pubmed
,
Xenbase Naash,
Simulation of human autosomal dominant retinitis pigmentosa in transgenic mice expressing a mutated murine opsin gene.
1993,
Pubmed Naash,
Light-induced acceleration of photoreceptor degeneration in transgenic mice expressing mutant rhodopsin.
1996,
Pubmed Olsson,
Transgenic mice with a rhodopsin mutation (Pro23His): a mouse model of autosomal dominant retinitis pigmentosa.
1992,
Pubmed Organisciak,
Susceptibility to retinal light damage in transgenic rats with rhodopsin mutations.
2003,
Pubmed Roof,
Rhodopsin accumulation at abnormal sites in retinas of mice with a human P23H rhodopsin transgene.
1994,
Pubmed Stone,
Regional distribution of retinal degeneration in patients with the proline to histidine mutation in codon 23 of the rhodopsin gene.
1991,
Pubmed Sung,
Functional heterogeneity of mutant rhodopsins responsible for autosomal dominant retinitis pigmentosa.
1991,
Pubmed Tam,
Mislocalized rhodopsin does not require activation to cause retinal degeneration and neurite outgrowth in Xenopus laevis.
2006,
Pubmed
,
Xenbase Tam,
Dark rearing rescues P23H rhodopsin-induced retinal degeneration in a transgenic Xenopus laevis model of retinitis pigmentosa: a chromophore-dependent mechanism characterized by production of N-terminally truncated mutant rhodopsin.
2007,
Pubmed
,
Xenbase Tam,
Characterization of rhodopsin P23H-induced retinal degeneration in a Xenopus laevis model of retinitis pigmentosa.
2006,
Pubmed
,
Xenbase Tan,
The relationship between opsin overexpression and photoreceptor degeneration.
2001,
Pubmed To,
Histopathologic study of variation in severity of retinitis pigmentosa due to the dominant rhodopsin mutation Pro23His.
2002,
Pubmed Turner,
Expression of achaete-scute homolog 3 in Xenopus embryos converts ectodermal cells to a neural fate.
1994,
Pubmed
,
Xenbase Wang,
Expression of a mutant opsin gene increases the susceptibility of the retina to light damage.
1997,
Pubmed Wilson,
The nature of dominant mutations of rhodopsin and implications for gene therapy.
2003,
Pubmed Wu,
Opsin localization and rhodopsin photochemistry in a transgenic mouse model of retinitis pigmentosa.
1998,
Pubmed