|
Fig. 2. Developmental expression profiles of XHAPLN3 and Nkx2.5. (A) RT-PCR analysis of XHAPLN3 and Nkx2.5 expression during Xenopus development. Ornithine decarboxylase (ODC) served as a control. Reverse transcriptase negative (ODC (-RT)) reactions showed absence of genomic DNA contamination. (BâK, Bâ²âKâ²) Whole-mount in situ hybridization of XHAPLN3 and Nkx2.5. Nkx2.5 expression indicates heart region. (BâE, J, K) Ventral views with anterior toward the left. (FâI) Lateral views with anterior toward the left and dorsal upwards. (Bâ²âKâ²) Transverse sections of panels BâK embryos taken at respective positions of red lines in panels BâK. (Bâ²âGâ², Jâ², Kâ²) Dorsal upwards. (Hâ², Iâ²) Dorsal toward the left. so, somite; ov, otic vesicle; ea, eye anlage; PCM, precardiac mesoderm; EC, endocardium; MC, myocardium; A, atrium; BC, bulbus cordis; V, ventricle. Scale bars in BâK and Bâ²âKâ² indicate 0.5 mm and 0.1 mm, respectively. |
|
Fig. 3. Loss of XHAPLN3 affects cardiogenesis. (A) Schema of bilateral injection experiment. Eight-cell-stage Xenopus embryos were bilaterally microinjected with 30Â ng of XHAPLN3-MO. (BâM) Whole-mount in situ hybridization of Nkx2.5 and cardiac troponin I (cTnI). (B, C, J, K) Ventral views with anterior upwards. (D, E) Ventral views with anterior toward the left. (F, G) Lateral views with anterior toward the left and dorsal upwards. (H, I, L, M) Transverse sections of panels F, G, J, K embryos taken at respective positions of red lines. Dorsal upwards. Asterisk indicates archenteron. Scale bars in panels âBâG, J, Kâ and âH, I, L, Mâ indicate 0.5Â mm and 0.1Â mm, respectively. The number of photo-presenting phenotype per total number of injected embryos is indicated at upper right of each panel. |
|
Fig. 4. Determining the stage of XHAPLN3-MO effect. (A) Schema of unilateral injection experiment. Eight-cell-stage Xenopus embryos were unilaterally microinjected with 15Â ng of XHAPLN3-MO. (B-D) Whole-mount in situ hybridization of Nkx2.5. Arrowhead indicates the injected side. Nkx2.5 mRNA expression was unchanged at stage 17 (B), but decreased at stages 23 and 28 (C, D). (E) Experimental summary showing that XHAPLN3-MO had an effect from the early tailbud stage. |
|
Fig. 5. Xhas2 and Xversican affect cardiogenesis in combination with XHAPLN3. (A, B) Ventral views with anterior toward the left. (CâF) Lateral views with anterior toward the left and dorsal upwards. (Aâ²âFâ²) Transverse sections of panels AâF embryos taken at respective positions of red lines. (Aâ²âDâ²) Dorsal upwards. (Eâ², Fâ²) Dorsal toward the left. so, somite; PCM, precardiac mesoderm; EC, endocardium; MC, myocardium. Scale bars in panels AâF and Aâ²âFâ² indicate 0.5 mm and 0.1 mm, respectively. |
|
Fig. 6. Loss of Xhas2 affects cardiogenesis. Eight-cell-stage Xenopus embryos were bilaterally microinjected with 40Â ng of Xhas2-MO. Whole-mount in situ hybridization of Nkx2.5 and cardiac troponin I (cTnI). (A, B, I, J) Ventral views with anterior upwards. (C, D) Ventral views with anterior toward the left. (E, F) Lateral views with anterior toward the left and dorsal upwards. (G, H, K, L) Transverse sections of panels E, F, I, J embryos taken at respective positions of red lines. Dorsal upwards. Asterisk indicates archenteron. Scale bars in panels âAâF, I, Jâ and âG, H, K, Lâ indicate 0.5Â mm and 0.1Â mm, respectively. The number of photo-presenting phenotype per total number of injected embryos is indicated at the upper right of each panel. |
|
Fig. 7. XHAPLN3-MO and Xhas2-MO act synergistically. (A) Summary of the frequencies of heart malformations in synergistic experiment with XHAPLN3-MO and Xhas2-MO. (B) Summary of the crossing rescue experiments showing the effect of XHAPLN3-MO and Xhas2-MO injection on heart formation. |
|
Fig. 8. Loss of XHAPLN3 and Xhas2 was rescued by Nkx2.5. Graph showing heart malformation frequencies in experiments using Nkx2.5 to rescue effect of XHAPLN3-MO and Xhas2-MO. |
|
Fig. 9. Loss of XHAPLN3 and Xhas2 effect around precardiac region. Tbx5 (AâC), myocardin (DâF), GATA4 (GâI), Sox17α (JâL), Hex (MâO), Xlfli (PâR), SCL (SâU), and Xversican (VâX) mRNA expressions at stage 23. Ventral views with anterior toward the left. Scale bars indicate 0.5 mm. The number of photo-presenting phenotype per total number of injected embryos is indicated at the upper right of each panel. |
|
Fig. 10. Loss of XHAPLN3 and Xhas2 does not induce apoptosis. XHAPLN3-MO (A) or Xhas2-MO (B) was injected into one dorsalâvegetal blastomere. Injected side and uninjected side are indicated by an arrowhead and arrow, respectively. A positive control section (C) was prepared from an adjacent section shown in panel B by treating with 1 U/μl DNaseI. Three photos were taken at the same exposure. Dorsal upwards. âNâ and asterisk indicate notochord and archenteron, respectively. |
|
Fig. 11. XHAPLN3 maintains hyaluronan matrix around precardiac mesoderm. (A, D) Schema of unilateral injection experiment on precardiac mesoderm (A) or somite (D). Eight-cell-stage Xenopus embryos were unilaterally coinjected with 15 ng of MOs and Alexa594-dextran. The boxed area was observed in more detail as follows. (B, C, E, F) Hyaluronan was detected as green fluorescence on the uninjected side (arrow). However, the MO-injected areas were dark (arrowhead), indicating decreased hyaluronan expression. MO-injected regions of panels B, C, E, F were traced by red fluorescence, (Bâ², Câ², Eâ², Fâ², respectively). (G) Schema for measuring hyaluronan concentration. Precardiac region (red circle) was isolated and used for hyaluronan quantification. (H) Graph indicating the amount of hyaluronan per weight of precardiac region. Ten embryos in four independent experiments were used for this analysis. Means ± standard deviation of hyaluronan amounts are shown. |
|
Supplementary Fig. 1.
Classification of cardiac defects induced by MO experiments. Throughout this manuscript, the heart phenotype (arrowhead) at stage 42 was described as follows: ânormal sizeâ constitutes both wild-type heart (A) and deformed heart of the same size as wild-type heart (B). These hearts are beating and express cardiac troponin I; âsmall sizeâ constitutes small heart compared with wild-type heart (C). These hearts are beating, expresses cardiac troponin I, and compartmentalization (atrium or ventricle formation) is not obvious;âlossâ constitutes no visible heart tissue (D), with no beating, cardiac troponin I expression, or heart structure in sections observed (See Fig. 3M). |
|
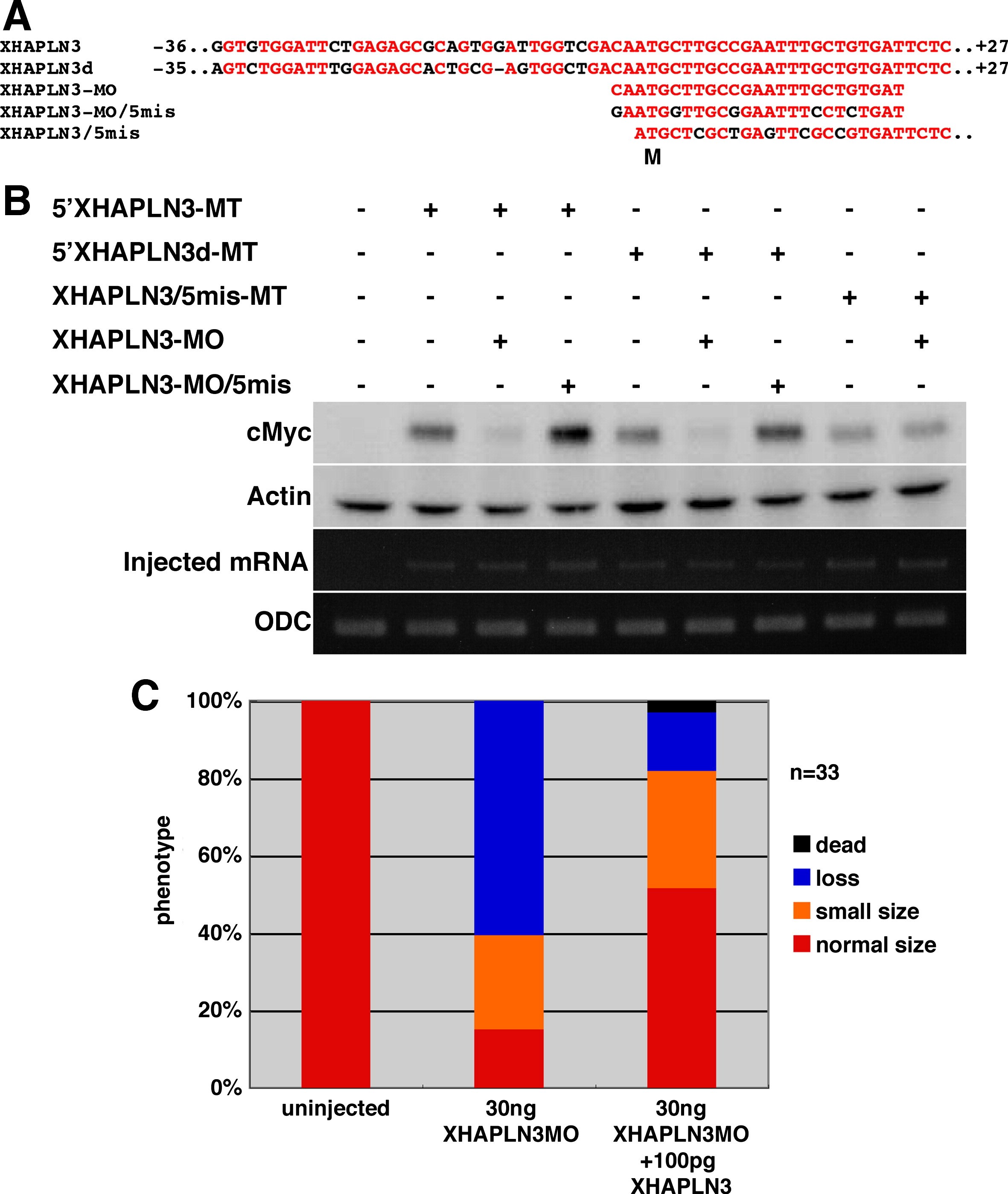
Supplementary Fig. 2.
Verification of XHAPLN3-MO activity and specificity. (A) XHAPLN3-MO was designed to target the sequence around the translational start codon (M) of both XHAPLN3 alleles (XHAPLN3 and XHAPLN3d) at the positions indicated. XHAPLN3-MO/5mis introduces five mutations and serves as a negative control MO. XHAPLN3/5mis introduces 5 silent mutations into XHAPLN3 mRNA as indicated. Identical residues are indicated in red. (B) Western blot analysis of cMyc-tagged proteins, with actin expression as a control (upper two columns). Both alleles were targeted by XHAPLN3-MO (lanes 3, 6) and not targeted by XHAPLN3-MO/5mis (lanes 4, 7). XHAPLN3/5mis mRNA was not targeted by XHAPLN3-MO (lane 9). RT-PCR analysis of injected mRNA amounts, with ODC expression as a control (lower two columns). (C) Summary of the rescue experiments showing the effect of XHAPLN3-MO injection on heart formation. Knockdown of XHAPLN3 impaired heart formation and this effect was rescued by coexpression of 100 pg pCS2-XHAPLN3/5mis plasmid. |
|
Supplementary Fig. 3.
Verification of Xhas2-MO activity and specificity. (A) Xhas2-MO was designed to target the sequence around the translational start codon (M) of both Xhas2 alleles (Xhas2 and Xhas2d) at the positions indicated. Xhas2/5mis introduces 5 silent mutations into Xhas2 mRNA as indicated. Identical residues are indicated in red. (B) Western blot analysis of cMyc-tagged proteins, with actin expression as a control(upper two columns). Xhas2 mRNA was targeted by Xhas2-MO (lane 3). Xhas2/5mis mRNA was not targeted by Xhas2-MO (lane 5). RT-PCR analysis of injected mRNA amounts, with ODC as a control (lower two columns). (C) Summary of the rescue experiments showing the effect of Xhas2-MO injection. Knockdown of Xhas2 impaired heart formation and the effect was rescued by coexpression of 100 pg pCS2-Xhas2/5mis plasmid. |