XB-ART-37734
J Cell Biol
2008 Apr 21;1812:269-80. doi: 10.1083/jcb.200708155.
Show Gene links
Show Anatomy links
The highly conserved nuclear lamin Ig-fold binds to PCNA: its role in DNA replication.
Shumaker DK, Solimando L, Sengupta K, Shimi T, Adam SA, Grunwald A, Strelkov SV, Aebi U, Cardoso MC, Goldman RD.
???displayArticle.abstract???
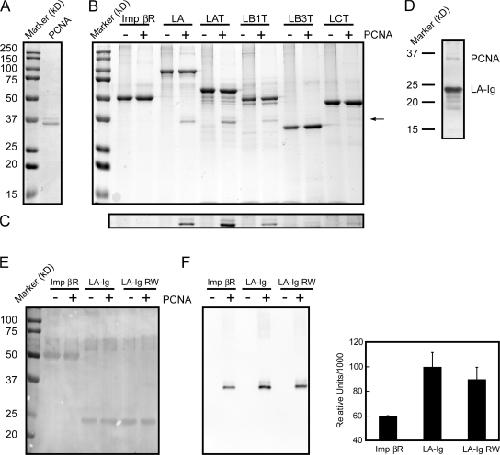
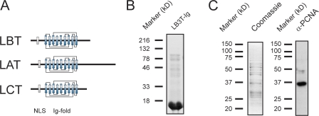
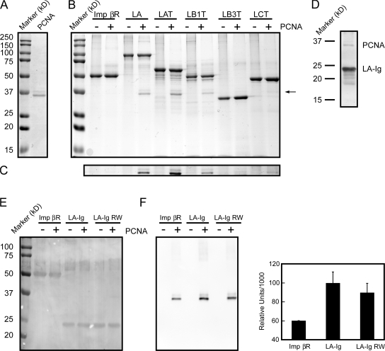
This study provides insights into the role of nuclear lamins in DNA replication. Our data demonstrate that the Ig-fold motif located in the lamin C terminus binds directly to proliferating cell nuclear antigen (PCNA), the processivity factor necessary for the chain elongation phase of DNA replication. We find that the introduction of a mutation in the Ig-fold, which alters its structure and causes human muscular dystrophy, inhibits PCNA binding. Studies of nuclear assembly and DNA replication show that lamins, PCNA, and chromatin are closely associated in situ. Exposure of replicating nuclei to an excess of the lamin domain containing the Ig-fold inhibits DNA replication in a concentration-dependent fashion. This inhibitory effect is significantly diminished in nuclei exposed to the same domain bearing the Ig-fold mutation. Using the crystal structures of the lamin Ig-fold and PCNA, molecular docking simulations suggest probable interaction sites. These findings also provide insights into the mechanisms underlying the numerous disease-causing mutations located within the lamin Ig-fold.
???displayArticle.pubmedLink??? 18426975
???displayArticle.pmcLink??? PMC2315674
???displayArticle.link??? J Cell Biol
???displayArticle.grants??? [+]
Species referenced: Xenopus laevis
Genes referenced: avd brap ckap2 lat lct lmna lmnb3 pcna ran
GO keywords: DNA replication [+]
???displayArticle.antibodies??? Pcna Ab8
???attribute.lit??? ???displayArticles.show???
References [+] :
Aebi, The nuclear lamina is a meshwork of intermediate-type filaments. , Pubmed , Xenbase
Blow, Initiation of DNA replication in nuclei and purified DNA by a cell-free extract of Xenopus eggs. 1986, Pubmed , Xenbase
Bonne, Mutations in the gene encoding lamin A/C cause autosomal dominant Emery-Dreifuss muscular dystrophy. 1999, Pubmed
Bowman, Structural analysis of a eukaryotic sliding DNA clamp-clamp loader complex. 2004, Pubmed
Bravo, Changes in the nuclear distribution of cyclin (PCNA) but not its synthesis depend on DNA replication. 1985, Pubmed
Comeau, ClusPro: an automated docking and discrimination method for the prediction of protein complexes. 2004, Pubmed
Dechat, Lamina-associated polypeptide 2alpha binds intranuclear A-type lamins. 2000, Pubmed
Dessev, Disassembly of the nuclear envelope of spisula oocytes in a cell-free system. 1989, Pubmed
Dhe-Paganon, Structure of the globular tail of nuclear lamin. 2002, Pubmed
Goldberg, Xenopus lamin B3 has a direct role in the assembly of a replication competent nucleus: evidence from cell-free egg extracts. 1995, Pubmed , Xenbase
Goldman, Nuclear lamins: building blocks of nuclear architecture. 2002, Pubmed
Goldman, Accumulation of mutant lamin A causes progressive changes in nuclear architecture in Hutchinson-Gilford progeria syndrome. 2004, Pubmed
Gruenbaum, The nuclear lamina comes of age. 2005, Pubmed
Guex, SWISS-MODEL and the Swiss-PdbViewer: an environment for comparative protein modeling. 1997, Pubmed
Heitlinger, Expression of chicken lamin B2 in Escherichia coli: characterization of its structure, assembly, and molecular interactions. 1991, Pubmed
Jenkins, Nuclei that lack a lamina accumulate karyophilic proteins and assemble a nuclear matrix. 1993, Pubmed , Xenbase
Johnson, A-type lamins regulate retinoblastoma protein function by promoting subnuclear localization and preventing proteasomal degradation. 2004, Pubmed
Kazmirski, Out-of-plane motions in open sliding clamps: molecular dynamics simulations of eukaryotic and archaeal proliferating cell nuclear antigen. 2005, Pubmed
Kennedy, Nuclear organization of DNA replication in primary mammalian cells. 2000, Pubmed
Kong, Three-dimensional structure of the beta subunit of E. coli DNA polymerase III holoenzyme: a sliding DNA clamp. 1992, Pubmed
Laemmli, Cleavage of structural proteins during the assembly of the head of bacteriophage T4. 1970, Pubmed
Lee, Mechanism of elongation of primed DNA by DNA polymerase delta, proliferating cell nuclear antigen, and activator 1. 1990, Pubmed
Leonhardt, Dynamics of DNA replication factories in living cells. 2000, Pubmed
Li, Lagging strand DNA synthesis at the eukaryotic replication fork involves binding and stimulation of FEN-1 by proliferating cell nuclear antigen. 1995, Pubmed
Lopez-Soler, A role for nuclear lamins in nuclear envelope assembly. 2001, Pubmed , Xenbase
Lourim, Characterization and quantitation of three B-type lamins in Xenopus oocytes and eggs: increase of lamin LI protein synthesis during meiotic maturation. 1996, Pubmed , Xenbase
Machado, D-Titin: a giant protein with dual roles in chromosomes and muscles. 2000, Pubmed
Maga, Proliferating cell nuclear antigen (PCNA): a dancer with many partners. 2003, Pubmed
Mattock, Use of peptides from p21 (Waf1/Cip1) to investigate PCNA function in Xenopus egg extracts. 2001, Pubmed , Xenbase
Millar, On the solution structure of the T4 sliding clamp (gp45). 2004, Pubmed
Moir, Dynamic properties of nuclear lamins: lamin B is associated with sites of DNA replication. 1994, Pubmed
Moir, Disruption of nuclear lamin organization blocks the elongation phase of DNA replication. 2000, Pubmed , Xenbase
Moir, Nuclear lamins A and B1: different pathways of assembly during nuclear envelope formation in living cells. 2000, Pubmed
Mortusewicz, Recruitment of DNA methyltransferase I to DNA repair sites. 2005, Pubmed
Mortusewicz, Differential recruitment of DNA Ligase I and III to DNA repair sites. 2006, Pubmed , Xenbase
Newmeyer, In vitro transport of a fluorescent nuclear protein and exclusion of non-nuclear proteins. 1986, Pubmed , Xenbase
Newmeyer, Egg extracts for nuclear import and nuclear assembly reactions. 1991, Pubmed , Xenbase
Newport, A lamin-independent pathway for nuclear envelope assembly. 1990, Pubmed , Xenbase
Nigg, Assembly-disassembly of the nuclear lamina. 1992, Pubmed
Rodríguez-López, Characterisation of the interaction between WRN, the helicase/exonuclease defective in progeroid Werner's syndrome, and an essential replication factor, PCNA. 2003, Pubmed
Sasse, In vitro assembly of Drosophila lamin Dm0--lamin polymerization properties are conserved. 1997, Pubmed
Shumaker, Mutant nuclear lamin A leads to progressive alterations of epigenetic control in premature aging. 2006, Pubmed
Shumaker, The nucleoskeleton: lamins and actin are major players in essential nuclear functions. 2003, Pubmed
Shumaker, Functions and dysfunctions of the nuclear lamin Ig-fold domain in nuclear assembly, growth, and Emery-Dreifuss muscular dystrophy. 2005, Pubmed , Xenbase
Solovei, Differences in centromere positioning of cycling and postmitotic human cell types. 2004, Pubmed
Spann, Alteration of nuclear lamin organization inhibits RNA polymerase II-dependent transcription. 2002, Pubmed , Xenbase
Spann, Disruption of nuclear lamin organization alters the distribution of replication factors and inhibits DNA synthesis. 1997, Pubmed , Xenbase
Sporbert, DNA polymerase clamp shows little turnover at established replication sites but sequential de novo assembly at adjacent origin clusters. 2002, Pubmed
Stick, cDNA cloning of the developmentally regulated lamin LIII of Xenopus laevis. 1988, Pubmed , Xenbase
Toschi, Changes in cyclin/proliferating cell nuclear antigen distribution during DNA repair synthesis. 1988, Pubmed
Tovchigrechko, GRAMM-X public web server for protein-protein docking. 2006, Pubmed
Tsai, A mitotic lamin B matrix induced by RanGTP required for spindle assembly. 2006, Pubmed , Xenbase
Tsurimoto, PCNA binding proteins. 1999, Pubmed
Waga, The p21 inhibitor of cyclin-dependent kinases controls DNA replication by interaction with PCNA. 1994, Pubmed
Warbrick, PCNA binding proteins in Drosophila melanogaster : the analysis of a conserved PCNA binding domain. 1998, Pubmed
Yao, Replication factor C clamp loader subunit arrangement within the circular pentamer and its attachment points to proliferating cell nuclear antigen. 2003, Pubmed
Yao, Mechanism of proliferating cell nuclear antigen clamp opening by replication factor C. 2006, Pubmed
Zastrow, Nuclear titin interacts with A- and B-type lamins in vitro and in vivo. 2006, Pubmed
Zastrow, Proteins that bind A-type lamins: integrating isolated clues. 2004, Pubmed
