Click here to close
Hello! We notice that you are using Internet Explorer, which is not supported by Xenbase and may cause the site to display incorrectly.
We suggest using a current version of Chrome,
FireFox, or Safari.
???displayArticle.abstract???
The smallest catalytic RNA identified to date is a manganese-dependent ribozyme that requires only a complex between GAAA and UUU to effect site-specific cleavage. We show here that this ribozyme occurs naturally in the 3'-UTR of Vg1 and beta-actin mRNAs. In accord with earlier studies with model RNAs, cleavage occurs only in the presence of manganese or cadmium ions and proceeds optimally near 30 degrees C and physiological pH. The time course of cleavage in Vg1 mRNA best fits a two-step process in which both steps are first-order. In Vg1 mRNA, the ribozyme is positioned adjacent to a polyadenylation signal, but has no influence on translation of the mRNA in Xenopus oocytes. Putative GAAA ribozyme structures are also near polyadenylation sites in yeast and rat actin mRNAs. Analysis of sequences in the PolyA Cleavage Site and 3'-UTR Database (PACdb) revealed no particular bias in the frequency or distribution of the GAAA motif that would suggest that this ribozyme is currently or was recently used for cleavage to generate processed transcripts. Nonetheless, we speculate that the complementary strands that comprise the ribozyme may account for the origin of sequence elements that direct present-day 3'-end processing of eukaryotic mRNAs.
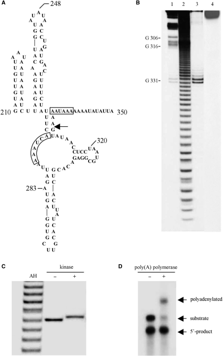
Figure 1. A manganese-dependent ribozyme in the 3′-UTR of Vg1 mRNA. (A) The secondary structure of the region encompassing residues 210–350 of the Vg1 localization element (VLE). An arrow indicates the site of cleavage and boxes enclose a consensus polyadenylation signal at position 334 and a nonconsensus signal at 272. The structure was generated using mfold version 3.1 (51). (B) Vg1 RNA (radiolabeled at the 3′-end) was incubated overnight in cleavage buffer in the presence (lane 3) or absence (lane 4) of 10 mM manganese and then analyzed on a denaturing polyacrylamide gel alongside ribonuclease T1 and alkaline hydrolysates (lanes 1 and 2, respectively). The doublet in lane 3 is also apparent in the T1 digest (lane 1) and is due to length heterogeneity in the substrate RNA. (C) A 5′ hydroxyl group at the cleavage site. The 3′ cleavage product was incubated with polynucleotide kinase and ATP and compared to untreated fragment and an alkaline hydrolysate. (D) A 3′ phosphate at the cleavage site. A portion of a cleavage reaction containing an equal mixture of substrate and product RNA was incubated with poly(A) polymerase and compared to an untreated sample. Only the substrate RNA is polyadenylated.
Figure 2. Characterization of the self-cleavage reaction. All reactions were carried out in standard conditions, excepting the indicated variable. The metal dependence of cleavage was tested with the indicated divalent cation at a concentration of 10 mM.
Figure 3. Kinetics of the cleavage reaction. (A) A trace amount of internally labeled Vg1 RNA was added to the indicated concentration of unlabeled Vg1 RNA. The reactions proceeded in standard conditions overnight. (B) Vg1 RNA (100 nM) was incubated for the indicated amount of time in standard conditions. Reactions were stopped with EDTA and analyzed on a denaturing polyacrylamide gel. (C) The autoradiograph was scanned with a laser densitometer to generate the individual data points. The best-fit curve (solid line) is defined by a kinetic equation that represents a two-step process with both steps being first order. (D) The plot of ln(fraction unreacted) versus time yields an observed first-order rate constant of 6.6 × 10−4 min−1.
Figure 4. In vivo translation of wild-type and mutant Vg1 mRNA lacking the GAAA ribozyme sequence. Stage VI oocytes were injected with capped mRNA and incubated overnight in OR2 buffer containing [35S]methionine/cysteine. Vg1 protein was immunoprecipitated from whole-cell extract prepared from 20 oocytes and analyzed by SDS–PAGE followed by autoradiography. Lane 1, oocytes injected with water only; lane 2, oocytes injected with wild-type mRNA; lane 3, oocytes injected with mRNA in which the GAAA ribozyme sequence was changed to CCCA.
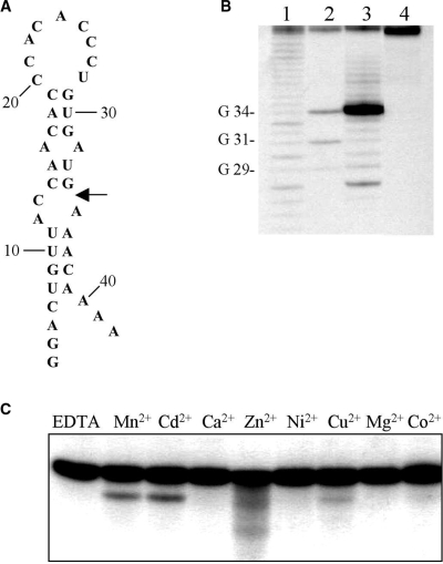
Figure 5. A manganese-dependent ribozyme in the zipcode of β-actin mRNA. (A) The predicted secondary structure of the zipcode element in the 3′-UTR of β-actin mRNA (52). An arrow marks the site of manganese-dependent cleavage. (B) Zipcode RNA (radiolabeled at the 3′-end) was incubated overnight in cleavage buffer in the presence (lane 3) or absence (lane 4) of 10 mM manganese and then analyzed on a denaturing polyacrylamide gel alongside alkaline and ribonuclease T1 hydrolysates (lanes 1 and 2, respectively). (C) The metal dependence of self-cleavage in zipcode RNA. RNA was incubated overnight in the presence of the indicated metal. Weak cleavage with Cu2+ has been reported previously for the manganese ribozyme (53); whereas, Zn2+ triggers nonspecific degradation.
Figure 6. The frequency of GAAA immediately upstream and downstream of the polyadenylation signal. One thousand mRNA sequences from C. elegans and D. melanogaster were scanned in 1-nt increments using a 4-nt window. The frequency of the sequences GAAA, CAAA and TATG are presented as histograms relative to the position of the AATAAA hexanucleotide sequence.
Figure 7. Predicted base-pairing interactions between the HDE of histone mRNAs and U7 snRNAs. Selected histone mRNAs (top strand) and U7 snRNAs (bottom strand) are presented; only the region immediately flanking the Sm site (designated by a rectangle) of U7 is shown in each case. Adapted from ref. 41.
Baillat,
Integrator, a multiprotein mediator of small nuclear RNA processing, associates with the C-terminal repeat of RNA polymerase II.
2005, Pubmed
Baillat,
Integrator, a multiprotein mediator of small nuclear RNA processing, associates with the C-terminal repeat of RNA polymerase II.
2005,
Pubmed Bombard,
Probing the mechanism of an Mn2+-dependent ribozyme by means of platinum complexes.
1998,
Pubmed Bond,
Multiple processing-defective mutations in a mammalian histone pre-mRNA are suppressed by compensatory changes in U7 RNA both in vivo and in vitro.
1991,
Pubmed Brockman,
PACdb: PolyA Cleavage Site and 3'-UTR Database.
2005,
Pubmed Buck,
Structural perspective on the activation of RNAse P RNA by protein.
2005,
Pubmed Buck,
Protein activation of a ribozyme: the role of bacterial RNase P protein.
2005,
Pubmed Buratowski,
Connections between mRNA 3' end processing and transcription termination.
2005,
Pubmed Callebaut,
Metallo-beta-lactamase fold within nucleic acids processing enzymes: the beta-CASP family.
2002,
Pubmed Chen,
Two cellular proteins bind specifically to a purine-rich sequence necessary for the destabilization function of a c-fos protein-coding region determinant of mRNA instability.
1992,
Pubmed Chin,
Branch-point attack in group II introns is a highly reversible transesterification, providing a potential proofreading mechanism for 5'-splice site selection.
1995,
Pubmed Chodchoy,
An intact histone 3'-processing site is required for transcription termination in a mouse histone H2a gene.
1991,
Pubmed Dange,
A Mn2(+)-dependent ribozyme.
1990,
Pubmed Dávila López,
Early evolution of histone mRNA 3' end processing.
2008,
Pubmed Dominski,
The polyadenylation factor CPSF-73 is involved in histone-pre-mRNA processing.
2005,
Pubmed Dominski,
Formation of the 3' end of histone mRNA: getting closer to the end.
2007,
Pubmed Dye,
Multiple transcript cleavage precedes polymerase release in termination by RNA polymerase II.
2001,
Pubmed Fedor,
The catalytic diversity of RNAs.
2005,
Pubmed Foat,
Profiling condition-specific, genome-wide regulation of mRNA stability in yeast.
2005,
Pubmed Grigull,
Genome-wide analysis of mRNA stability using transcription inhibitors and microarrays reveals posttranscriptional control of ribosome biogenesis factors.
2004,
Pubmed Hernandez,
Formation of the 3' end of U1 snRNA is directed by a conserved sequence located downstream of the coding region.
1985,
Pubmed Herschlag,
Comparison of pH dependencies of the Tetrahymena ribozyme reactions with RNA 2'-substituted and phosphorothioate substrates reveals a rate-limiting conformational step.
1994,
Pubmed Kazakov,
A trinucleotide can promote metal ion-dependent specific cleavage of RNA.
1992,
Pubmed Kim,
The yeast Rat1 exonuclease promotes transcription termination by RNA polymerase II.
2004,
Pubmed Kislauskis,
Sequences responsible for intracellular localization of beta-actin messenger RNA also affect cell phenotype.
1994,
Pubmed Kolev,
Symplekin and multiple other polyadenylation factors participate in 3'-end maturation of histone mRNAs.
2005,
Pubmed
,
Xenbase Kolev,
VgRBP71 stimulates cleavage at a polyadenylation signal in Vg1 mRNA, resulting in the removal of a cis-acting element that represses translation.
2003,
Pubmed
,
Xenbase Kuo,
Quantitative studies of Mn(2+)-promoted specific and non-specific cleavages of a large RNA: Mn(2+)-GAAA ribozymes and the evolution of small ribozymes.
2000,
Pubmed Laneve,
Purification, cloning, and characterization of XendoU, a novel endoribonuclease involved in processing of intron-encoded small nucleolar RNAs in Xenopus laevis.
2003,
Pubmed
,
Xenbase MacDonald,
The 64-kilodalton subunit of the CstF polyadenylation factor binds to pre-mRNAs downstream of the cleavage site and influences cleavage site location.
1994,
Pubmed Mandel,
Polyadenylation factor CPSF-73 is the pre-mRNA 3'-end-processing endonuclease.
2006,
Pubmed Mohr,
Function of the Neurospora crassa mitochondrial tyrosyl-tRNA synthetase in RNA splicing. Role of the idiosyncratic N-terminal extension and different modes of interaction with different group I introns.
2001,
Pubmed Moore,
Two proteins crosslinked to RNA containing the adenovirus L3 poly(A) site require the AAUAAA sequence for binding.
1988,
Pubmed Mowry,
Vegetal messenger RNA localization directed by a 340-nt RNA sequence element in Xenopus oocytes.
1992,
Pubmed
,
Xenbase Murthy,
The 160-kD subunit of human cleavage-polyadenylation specificity factor coordinates pre-mRNA 3'-end formation.
1995,
Pubmed Otero,
A 250-nucleotide UA-rich element in the 3' untranslated region of Xenopus laevis Vg1 mRNA represses translation both in vivo and in vitro.
2001,
Pubmed
,
Xenbase Podar,
The two steps of group II intron self-splicing are mechanistically distinguishable.
1998,
Pubmed Prislei,
Self-cleaving motifs are found in close proximity to the sites utilized for U16 snoRNA processing.
1995,
Pubmed
,
Xenbase Raghavan,
Microarray-based analyses of mRNA decay in the regulation of mammalian gene expression.
2004,
Pubmed Rebagliati,
Identification and cloning of localized maternal RNAs from Xenopus eggs.
1985,
Pubmed
,
Xenbase Ross,
Characterization of a beta-actin mRNA zipcode-binding protein.
1997,
Pubmed Salehi-Ashtiani,
A genomewide search for ribozymes reveals an HDV-like sequence in the human CPEB3 gene.
2006,
Pubmed Teixeira,
Autocatalytic RNA cleavage in the human beta-globin pre-mRNA promotes transcription termination.
2004,
Pubmed Uguen,
The 3' ends of human pre-snRNAs are produced by RNA polymerase II CTD-dependent RNA processing.
2003,
Pubmed Van Atta,
A ribozyme model: site-specific cleavage of an RNA substrate by Mn2+.
1994,
Pubmed Wagner,
A genome-wide RNA interference screen reveals that variant histones are necessary for replication-dependent histone pre-mRNA processing.
2007,
Pubmed Wang,
Precision and functional specificity in mRNA decay.
2002,
Pubmed West,
Human 5' --> 3' exonuclease Xrn2 promotes transcription termination at co-transcriptional cleavage sites.
2004,
Pubmed West,
Transcriptional termination sequences in the mouse serum albumin gene.
2006,
Pubmed Wilhelm,
Coordinate control of translation and localization of Vg1 mRNA in Xenopus oocytes.
2000,
Pubmed
,
Xenbase Yang,
Decay rates of human mRNAs: correlation with functional characteristics and sequence attributes.
2003,
Pubmed Yuo,
Sequences required for 3' end formation of human U2 small nuclear RNA.
1985,
Pubmed
,
Xenbase Zhao,
Formation of mRNA 3' ends in eukaryotes: mechanism, regulation, and interrelationships with other steps in mRNA synthesis.
1999,
Pubmed