XB-ART-38561
Mol Biol Cell
2009 Jan 01;201:124-33. doi: 10.1091/mbc.e08-06-0662.
Show Gene links
Show Anatomy links
Fibroblast growth factor receptor-induced phosphorylation of ephrinB1 modulates its interaction with Dishevelled.
???displayArticle.abstract???
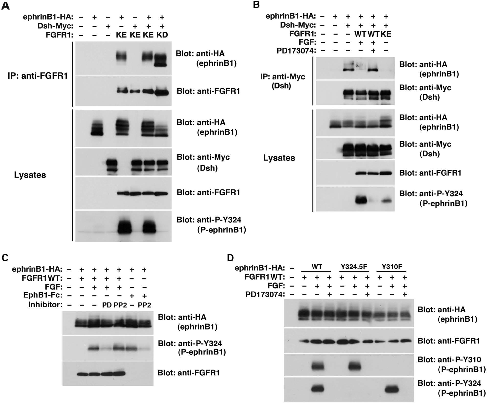
The Eph family of receptor tyrosine kinases and their membrane-bound ligands, the ephrins, have been implicated in regulating cell adhesion and migration during development by mediating cell-to-cell signaling events. The transmembrane ephrinB1 protein is a bidirectional signaling molecule that signals through its cytoplasmic domain to promote cellular movements into the eye field, whereas activation of the fibroblast growth factor receptor (FGFR) represses these movements and retinal fate. In Xenopus embryos, ephrinB1 plays a role in retinal progenitor cell movement into the eye field through an interaction with the scaffold protein Dishevelled (Dsh). However, the mechanism by which the FGFR may regulate this cell movement is unknown. Here, we present evidence that FGFR-induced repression of retinal fate is dependent upon phosphorylation within the intracellular domain of ephrinB1. We demonstrate that phosphorylation of tyrosines 324 and 325 disrupts the ephrinB1/Dsh interaction, thus modulating retinal progenitor movement that is dependent on the planar cell polarity pathway. These results provide mechanistic insight into how fibroblast growth factor signaling modulates ephrinB1 control of retinal progenitor movement within the eye field.
???displayArticle.pubmedLink??? 19005214
???displayArticle.pmcLink??? PMC2613129
???displayArticle.link??? Mol Biol Cell
???displayArticle.grants??? [+]
Intramural NIH HHS
Species referenced: Xenopus laevis
Genes referenced: dvl1 dvl2 efnb1 ephb1 fgf2 fgfr1 myc pax2 pax6 rax rhoa
???attribute.lit??? ???displayArticles.show???
References [+] :
Amaya, FGF signalling in the early specification of mesoderm in Xenopus. 1993, Pubmed , Xenbase
Amaya, Expression of a dominant negative mutant of the FGF receptor disrupts mesoderm formation in Xenopus embryos. 1991, Pubmed , Xenbase
Arvanitis, Eph/ephrin signaling: networks. 2008, Pubmed
Brückner, Tyrosine phosphorylation of transmembrane ligands for Eph receptors. 1997, Pubmed
Cavodeassi, Early stages of zebrafish eye formation require the coordinated activity of Wnt11, Fz5, and the Wnt/beta-catenin pathway. 2005, Pubmed
Chong, Fibroblast growth factor receptor-mediated rescue of x-ephrin B1-induced cell dissociation in Xenopus embryos. 2000, Pubmed , Xenbase
Chuai, Cell movement during chick primitive streak formation. 2006, Pubmed
Davy, Ephrin-B1 forward and reverse signaling are required during mouse development. 2004, Pubmed
Deng, Murine FGFR-1 is required for early postimplantation growth and axial organization. 1994, Pubmed , Xenbase
Doherty, CAM-FGF receptor interactions: a model for axonal growth. 1996, Pubmed
Doherty, CAM-FGF Receptor Interactions: A Model for Axonal Growth. 1996, Pubmed
Dollar, Regulation of Lethal giant larvae by Dishevelled. 2005, Pubmed , Xenbase
Golub, Evolutionarily conserved and divergent expression of members of the FGF receptor family among vertebrate embryos, as revealed by FGFR expression patterns in Xenopus. 2000, Pubmed , Xenbase
Holland, Bidirectional signalling through the EPH-family receptor Nuk and its transmembrane ligands. 1996, Pubmed
Huang, The retinal fate of Xenopus cleavage stage progenitors is dependent upon blastomere position and competence: studies of normal and regulated clones. 1993, Pubmed , Xenbase
Jones, Identification of XLerk, an Eph family ligand regulated during mesoderm induction and neurogenesis in Xenopus laevis. 1997, Pubmed , Xenbase
Jones, Loss of cell adhesion in Xenopus laevis embryos mediated by the cytoplasmic domain of XLerk, an erythropoietin-producing hepatocellular ligand. 1998, Pubmed , Xenbase
Kalo, In vivo tyrosine phosphorylation sites of activated ephrin-B1 and ephB2 from neural tissue. 2001, Pubmed
Kenyon, Transcription factors of the anterior neural plate alter cell movements of epidermal progenitors to specify a retinal fate. 2001, Pubmed , Xenbase
Kinoshita, Basic fibroblast growth factor promotes adhesive interactions of neuroepithelial cells from chick neural tube with extracellular matrix proteins in culture. 1993, Pubmed
Lee, EphrinB1 controls cell-cell junctions through the Par polarity complex. 2008, Pubmed , Xenbase
Lee, Dishevelled mediates ephrinB1 signalling in the eye field through the planar cell polarity pathway. 2006, Pubmed , Xenbase
Lin, The carboxyl terminus of B class ephrins constitutes a PDZ domain binding motif. 1999, Pubmed
Lu, Ephrin-B reverse signaling is mediated by a novel PDZ-RGS protein and selectively inhibits G protein-coupled chemoattraction. 2001, Pubmed , Xenbase
Mäkinen, PDZ interaction site in ephrinB2 is required for the remodeling of lymphatic vasculature. 2005, Pubmed
Maurus, Noncanonical Wnt-4 signaling and EAF2 are required for eye development in Xenopus laevis. 2005, Pubmed , Xenbase
Moody, Cell lineage analysis in Xenopus embryos. 2000, Pubmed , Xenbase
Moody, Fates of the blastomeres of the 32-cell-stage Xenopus embryo. 1987, Pubmed , Xenbase
Moore, Animal-vegetal asymmetries influence the earliest steps in retina fate commitment in Xenopus. 1999, Pubmed , Xenbase
Moore, Morphogenetic movements underlying eye field formation require interactions between the FGF and ephrinB1 signaling pathways. 2004, Pubmed , Xenbase
Neilson, Ligand-independent activation of fibroblast growth factor receptors by point mutations in the extracellular, transmembrane, and kinase domains. 1996, Pubmed , Xenbase
Palmer, EphrinB phosphorylation and reverse signaling: regulation by Src kinases and PTP-BL phosphatase. 2002, Pubmed
Pasquale, Eph receptor signalling casts a wide net on cell behaviour. 2005, Pubmed
Pasquale, Eph-ephrin bidirectional signaling in physiology and disease. 2008, Pubmed
Poliakov, Diverse roles of eph receptors and ephrins in the regulation of cell migration and tissue assembly. 2004, Pubmed
Rossant, FGF signaling in mouse gastrulation and anteroposterior patterning. 1997, Pubmed
Sela-Donenfeld, Eph receptors: two ways to sharpen boundaries. 2005, Pubmed
Slack, Inductive effects of fibroblast growth factor and lithium ion on Xenopus blastula ectoderm. 1988, Pubmed , Xenbase
Strutt, The role of RhoA in tissue polarity and Frizzled signalling. 1997, Pubmed
Sun, Targeted disruption of Fgf8 causes failure of cell migration in the gastrulating mouse embryo. 1999, Pubmed
Tanaka, Phosphorylation of ephrin-B1 via the interaction with claudin following cell-cell contact formation. 2005, Pubmed
Tanaka, Association of Dishevelled with Eph tyrosine kinase receptor and ephrin mediates cell repulsion. 2003, Pubmed , Xenbase
Wacker, Patterns and control of cell motility in the Xenopus gastrula. 1998, Pubmed , Xenbase
Yamaguchi, fgfr-1 is required for embryonic growth and mesodermal patterning during mouse gastrulation. 1994, Pubmed
Yang, Cell movement patterns during gastrulation in the chick are controlled by positive and negative chemotaxis mediated by FGF4 and FGF8. 2002, Pubmed
Yang-Snyder, A frizzled homolog functions in a vertebrate Wnt signaling pathway. 1996, Pubmed , Xenbase
