XB-ART-38648
Semin Cell Dev Biol
2009 Jul 01;205:528-34. doi: 10.1016/j.semcdb.2008.11.015.
Show Gene links
Show Anatomy links
Retina and lens regeneration in anuran amphibians.
???displayArticle.abstract???
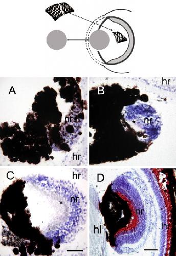
Anuran amphibians can regenerate the retina through differentiation of stem cells in the ciliary marginal zone and through transdifferentiation of the retinal pigmented epithelium. By contrast, the regeneration of the lens has been demonstrated only in larvae of species belonging to the Xenopus genus, where the lens regenerates through transdifferentiation of the outer cornea. Retinal pigmented epithelium to neural retina and outer cornea to lens transdifferentiation processes are triggered and sustained by signaling molecules belonging to the family of the fibroblast growth factor. Both during retina and lens regeneration there is a re-activation of many of the genes which are activated during development of the eye, even though the spatial and temporal pattern of gene expression is not a simple repetition of that found in development.
???displayArticle.pubmedLink??? 19095070
???displayArticle.link??? Semin Cell Dev Biol
Species referenced: Xenopus
Genes referenced: pax6
???attribute.lit??? ???displayArticles.show???
