Click here to close
Hello! We notice that you are using Internet Explorer, which is not supported by Xenbase and may cause the site to display incorrectly.
We suggest using a current version of Chrome,
FireFox, or Safari.
???displayArticle.abstract???
Within the TGF-beta superfamily, there are approximately forty ligands divided into two major branches: the TGF-beta/Activin/Nodal ligands and the BMP/GDF ligands. We studied the ligand GDF3 and found that it inhibits signaling by its co-family members, the BMPs; however, GDF3 has been described by others to have Nodal-like activity. Here, we show that GDF3 can activate Nodal signaling, but only at very high doses and only upon mRNA over-expression. In contrast, GDF3 inhibits BMP signaling upon over-expression of GDF3 mRNA, as recombinant protein, and regardless of its dose. We therefore further characterized the mechanism through which GDF3 protein acts as a specific BMP inhibitor and found that the BMP inhibitory activity of GDF3 resides redundantly in the unprocessed, predominant form and in the mature form of the protein. These results confirm and extend the activity that we described for GDF3 and illuminate the experimental basis for the different observations of others. We suggest that GDF3 is either a bi-functional TGF-beta ligand, or, more likely, that it is a BMP inhibitor that can artificially activate Nodal signaling under non-physiological conditions.
Fig. 1. Dose effects of GDF3 ORF and ORF plus untranslated regions (UTRs). Embryos were injected with increasing doses (1Â pg, 10Â pg, 100Â pg, 1000Â pg) of GDF3 RNA for the open reading frame (ORF) or the coding region plus UTRs (ORF + UTRs). (A) Top panel: western blot with goat anti-GDF3 of embryos injected with increasing doses of GDF3 constructs. Other panels: RT-PCR showing the effect of GDF3 constructs on cell fate. In lanes 1 and 2, whole embryo mRNA is shown with (1) and without (2) reverse-transcription is shown as controls for each marker gene. Lane 3 shows uninjected animal caps that express Msx1 (epidermis). Increasing doses of GDF3 induce Sox2 (neural tissue) and high doses of GDF3 ORF + UTRs induce BU (mesoderm). ODC is shown as a loading control. (B) Whole embryo (stage 17) or animal caps isolated at stage 9 and cultured until sibling stage 17. Caps were uninjected (â), injected with noggin RNA (200Â pg) or injected with increasing doses of GDF3 ORF or ORF + UTRs. Morphology of caps injected with 10, 100, 1000Â pg of each GDF3 construct are shown. (C) Luciferase assay using an Activin-responsive element (ARE-Lux) or a BMP-responsive element (BRE-Lux) driving luciferase reporters. For the BRE-Lux experiments, embryos were injected with BRE alone or with BRE and 100Â pg of BMP4 RNA to activate the reporter. Increasing doses (1Â pg, 10Â pg, 100Â pg, 1000Â pg) of GDF3 ORF or ORF + UTRs were injected with each reporter.
Fig. 2. Direct effects of GDF3 over-expression in frog embryos. GDF3 was injected with and without α-amanitin, which blocks protein translation. Embryos were harvested at stage 9 and analyzed for activation of BMP and Nodal signaling (Psmad1 and Psmad2, respectively). Stage 6 embryos are shown as a negative control for TGF-β activation, tubulin is shown as a loading control.
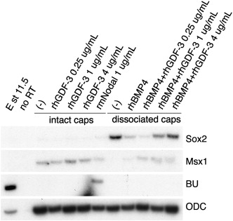
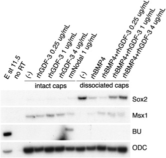
Fig. 3. Recombinant human GDF3 protein (rhGDF3) inhibits BMP activity in animal caps. Animal caps were isolated from stage 9 embryos and were cultured intact or were disassociated. The intact caps were treated with increasing doses of rhGDF3 or with recombinant mouse Nodal (rmNodal) to test for BU (mesoderm) induction. Disassociated caps express Sox2 (neural tissue) but treatment with BMP4 alone induces Msx1 (epidermis). Increasing doses of rhGDF3 protein antagonize BMP4 protein to revert the cells to a neural state. ODC is shown as a loading control. No RT is a control for genomic DNA.
Fig. 4. The prepro form and domain of GDF3 can inhibit BMP signaling. Luciferase assay using a BMP-responsive element (BRE) driving expression of a luciferase reporter (BRE-Lux). Embryos were injected with BMP4 RNA (100Â pg/embryo) alone or with 1Â ng of GDF3 constructs for wild-type GDF3 (Wt), a cleavage mutant of GDF3 (CM), or the prepro domain of GDF3 (prepro). Reporter alone is shown as a baseline control.
Andersson,
Distinct and cooperative roles of mammalian Vg1 homologs GDF1 and GDF3 during early embryonic development.
2007, Pubmed,
Xenbase
Andersson,
Distinct and cooperative roles of mammalian Vg1 homologs GDF1 and GDF3 during early embryonic development.
2007,
Pubmed
,
Xenbase Bachiller,
The organizer factors Chordin and Noggin are required for mouse forebrain development.
2000,
Pubmed Brennan,
Nodal signalling in the epiblast patterns the early mouse embryo.
2001,
Pubmed Chen,
The Vg1-related protein Gdf3 acts in a Nodal signaling pathway in the pre-gastrulation mouse embryo.
2006,
Pubmed
,
Xenbase Cheng,
Lefty blocks a subset of TGFbeta signals by antagonizing EGF-CFC coreceptors.
2004,
Pubmed
,
Xenbase Daluiski,
Bone morphogenetic protein-3 is a negative regulator of bone density.
2001,
Pubmed
,
Xenbase Dosch,
Bmp-4 acts as a morphogen in dorsoventral mesoderm patterning in Xenopus.
1997,
Pubmed
,
Xenbase Ferguson,
Decapentaplegic acts as a morphogen to organize dorsal-ventral pattern in the Drosophila embryo.
1992,
Pubmed Green,
Responses of embryonic Xenopus cells to activin and FGF are separated by multiple dose thresholds and correspond to distinct axes of the mesoderm.
1992,
Pubmed
,
Xenbase Green,
Graded changes in dose of a Xenopus activin A homologue elicit stepwise transitions in embryonic cell fate.
1990,
Pubmed
,
Xenbase Grunz,
Neural differentiation of Xenopus laevis ectoderm takes place after disaggregation and delayed reaggregation without inducer.
1989,
Pubmed
,
Xenbase Hata,
OAZ uses distinct DNA- and protein-binding zinc fingers in separate BMP-Smad and Olf signaling pathways.
2000,
Pubmed
,
Xenbase Huang,
Identification of a potential regulator of early transcriptional responses to mesoderm inducers in the frog embryo.
1995,
Pubmed
,
Xenbase Joseph,
Mutant Vg1 ligands disrupt endoderm and mesoderm formation in Xenopus embryos.
1998,
Pubmed
,
Xenbase Lander,
Initial sequencing and analysis of the human genome.
2001,
Pubmed Lee,
Identification of a novel member (GDF-1) of the transforming growth factor-beta superfamily.
1990,
Pubmed
,
Xenbase Levine,
GDF3, a BMP inhibitor, regulates cell fate in stem cells and early embryos.
2006,
Pubmed
,
Xenbase Meno,
Mouse Lefty2 and zebrafish antivin are feedback inhibitors of nodal signaling during vertebrate gastrulation.
1999,
Pubmed Peerani,
Niche-mediated control of human embryonic stem cell self-renewal and differentiation.
2007,
Pubmed Rankin,
Regulation of left-right patterning in mice by growth/differentiation factor-1.
2000,
Pubmed Rodriguez,
Induction and migration of the anterior visceral endoderm is regulated by the extra-embryonic ectoderm.
2005,
Pubmed Shi,
Mechanisms of TGF-beta signaling from cell membrane to the nucleus.
2003,
Pubmed Smith,
A mesoderm-inducing factor is produced by Xenopus cell line.
1987,
Pubmed
,
Xenbase Soares,
Functional studies of signaling pathways in peri-implantation development of the mouse embryo by RNAi.
2005,
Pubmed Thomsen,
Activins are expressed early in Xenopus embryogenesis and can induce axial mesoderm and anterior structures.
1990,
Pubmed
,
Xenbase Thomsen,
Processed Vg1 protein is an axial mesoderm inducer in Xenopus.
1993,
Pubmed
,
Xenbase Wall,
Mesendoderm induction and reversal of left-right pattern by mouse Gdf1, a Vg1-related gene.
2000,
Pubmed
,
Xenbase Wilson,
Induction of epidermis and inhibition of neural fate by Bmp-4.
1995,
Pubmed
,
Xenbase Wilson,
Concentration-dependent patterning of the Xenopus ectoderm by BMP4 and its signal transducer Smad1.
1997,
Pubmed
,
Xenbase Xu,
BMP4 initiates human embryonic stem cell differentiation to trophoblast.
2002,
Pubmed Yeo,
Nodal signals to Smads through Cripto-dependent and Cripto-independent mechanisms.
2001,
Pubmed
,
Xenbase