XB-ART-39425
PLoS One
2009 Jan 01;43:e4951. doi: 10.1371/journal.pone.0004951.
Show Gene links
Show Anatomy links
Characterisation of the fibroblast growth factor dependent transcriptome in early development.
Branney PA, Faas L, Steane SE, Pownall ME, Isaacs HV.
???displayArticle.abstract???
FGF signaling has multiple roles in regulating processes in animal development, including the specification and patterning of the mesoderm. In addition, FGF signaling supports self renewal of human embryonic stem cells and is required for differentiation of murine embryonic stem cells into a number of lineages. Given the importance of FGF signaling in regulating development and stem cell behaviour, we aimed to identify the transcriptional targets of FGF signalling during early development in the vertebrate model Xenopus laevis. We analysed the effects on gene expression in embryos in which FGF signaling was inhibited by dominant negative FGF receptors. 67 genes positively regulated by FGF signaling and 16 genes negatively regulated by FGF signaling were identified. FGF target genes are expressed in distinct waves during the late blastula to early gastrula phase. Many of these genes are expressed in the early mesoderm and dorsal ectoderm. A widespread requirement for FGF in regulating genes expressed in the Spemann organizer is revealed. The FGF targets MKP1 and DUSP5 are shown to be negative regulators of FGF signaling in early Xenopus tissues. FoxD3 and Lin28, which are involved in regulating pluripotency in ES cells are shown to be down regulated when FGF signaling is blocked. We have undertaken a detailed analysis of FGF target genes which has generated a robust, well validated data set. We have found a widespread role for FGF signaling in regulating the expression of genes mediating the function of the Spemann organizer. In addition, we have found that the FGF targets MKP1 and DUSP5 are likely to contribute to the complex feedback loops involved in modulating responses to FGF signaling. We also find a link between FGF signaling and the expression of known regulators of pluripotency.
???displayArticle.pubmedLink??? 19333377
???displayArticle.pmcLink??? PMC2659300
???displayArticle.link??? PLoS One
???displayArticle.grants??? [+]
BB/D010039/1 Biotechnology and Biological Sciences Research Council , BB/C505408/1 Biotechnology and Biological Sciences Research Council , BB_BB/C505408/1 Biotechnology and Biological Sciences Research Council
Species referenced: Xenopus laevis
Genes referenced: cdx4 chrd dusp5 dusp6 fgf4 fgf8 foxd3 foxd4l1 frzb lin28a mapk1 myod1 nog odc1 rpa1 smad1 spry2 tbxt
???attribute.lit??? ???displayArticles.show???
|
|
Figure 1. FGF signaling in early development.(A) is a Western blot showing levels of diphospo-ERK (dp-ERK) in whole embryos from cleavage stage 6 to late blastula stage 9.5 (3 to 8 hours pf at 23°C). GAPDH is a ubiquously expressed loading control. (B) shows whole mount immunohistochemistry for dp-ERK in blastula stage 9 embryos. In animal hemisphere view dorsal side is to the right. In lateral view the animal hemisphere is to the top and the dorsal side is to the right. In dorsal view the animal hemisphere is to the top. (C) is a Western blot comparing dp-ERK levels in control uninjected embryos and embryos injected with 4 ng dnFGFR4 mRNA from blastula stage 9 to early gastrula stage 10.25. (D) shows whole mount immunohistochemistry for dp-ERK at blastula stage 9 in a control uninjected embryo and an embryo injected with 4 ng dnFGFR4 embryo. Embryos are viewed from the animal hemisphere with dorsal side to the right. (E) is an RNAase protection analysis (RPA) showing the expression of Cdx4, MyoD, brachyury and ODC in control uninjected embryos and embryos injected with 4 ng dnFGFR4 mRNA from early gastrula stage 10 until stage 10.5. ODC is a ubiquioulsy expressed loading control. 10 µg of total RNA were used per hybridization. (F) is a Western blot showing dp-ERK levels in control uninjected embryos, embryos injected with 4 ng dnFGFR1 mRNA and embryos injected with 4 ng dnFGFR4 mRNA at early gastrula stage 10.5. The embryos are siblings to one set of the three biological replicates used for the microarray analysis. (G) is an RPA showing expression of Cdx4, MyoD and brachyury in control uninjected embryos, embryos injected with 4 ng dnFGFR1 mRNA and embryos injected with 4 ng dnFGFR4 mRNA at early gastrula stage 10.5. The embryos are siblings to one set of the three biological replicates used for the microarray analysis. (H) shows whole mount in situ hybridizations for Cdx4, MyoD and brachyury in control uninjected embryos , embryos injected with 4 ng dnFGFR1 mRNA and embryos injected with 4 ng dnFGFR4 mRNA at early gastrula stage 10.5. The embryos are siblings to one set of the three biological replicates used for the microarray analysis. |
|
|
Figure 2. Identification of FGF target genes.(A, B and C) are scatterplots of log2 probeset expression values from the Affymetrix microanalysis undertaken on early gastrula stage 10.5 control embryos, dnFGFR1 injected embryos and dnFGFR4 injected embryos . Values for each point are the average of three biological replicates. The centre line represents a ratio of 1â¶1 between the two groups indicating no difference in expression. The outlying lines represent two fold differences in expression. Points representing probe sets showing â¥2 reduction in expression are indicated in green. Points representing probesets showing â¥2 increase in expression are indicated in red. (D) is a chart showing the expression of brachyury (bra), cdx4, marginal coil (M.coil), Iro3 and sprouty2 in control embryos and embryos injected with 4 ng dnFGFR1 mRNA or 4 ng dnFGFR4 mRNA. Microarray derived expression values are based on the average of three biological replicates. Relative expression is calculated as a percentage of the expression in control embryos. Standard deviation bars are indicated. (E) shows pie charts of genes positively and negatively regulated by FGF signaling. Percentages of each group classified according to their putative cellular function are indicated. Details of the up regulated and down regulated genes are contained Tables 1, 2 and Tables S2 to S11. (F) shows the expression patterns of genes positively regulated by FGF signaling at determined by in situ hybridization at early gastrula stage 10.5, early neurula stage 14, post-neurula stage 22 and early tailbud stage 30. Gastrula embryos are vegetal views with dorsal to the top. Neurula embryos are dorsal views with anterior to the left. Post-neurula and tailbud embryos are lateral view with dorsal to the top and anterior to the left. (G) shows the expression patterns of genes negatively regulated by FGF signaling. |
|
|
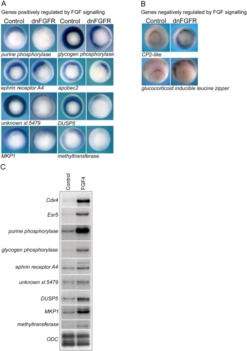
Figure 3. Validation of FGF target genes.(A) shows whole mount in situ hybridizations for genes positively regulated by FGF signaling at gastrula stage 10.5 in control embryos and embryos injected with 2 ng of dnFGFR1 mRNA. (B) shows the expression gene negatively regulated by FGF signaling in control embryos and embryos injected with 2 ng dnFGFR1 mRNA. All embryos are vegetal view with dorsal to the top. Non-uniform down regulation around the circumference of the blastopore is apparent in some embryos and is likely due to variability in the diffusion of injected dnFGFR mRNA. (C) is an RPA showing the expression at gastrula stage 10.5 of a number of genes in control animal cap explants and explants treated with FGF4 protein. 5 µg total RNA was used per hybridization. ODC is a loading control. |
|
|
Figure 4. FGF signaling and regulation of dorsal gene expression.(A) is a bar chart showing the log2 of the ratio of expression dnFGFR4 injected embryos versus control embryos for a number of dorsally expressed genes at gastrula stage 10.5. Microarray derived expression values are based on the average of three biological replicates. Bars in red below the centre line represents genes down regulated in response to FGF inhibition. Bars in green represent genes up regulated in response to FGF inhibition. (B) shows whole mount in situ hybridizations for chordin, FoxD5 and Frzb in control embryos and embryos injected with 4 ng dnFGF4 mRNA at very early gastrula stage 10+ and mid-gastrula stage 11. All embryos are vegetal views with dorsal to the top. (C) is an RPA showing the expression of chordin and noggin in control embryos and embryos injected with 4 ng dnFGFR1 mRNA at gastrula stage 10.5. (D) is a Western blot showing levels of phospho-SMAD1/5/8 (p-SMAD) at gastrula stage 10.5 in control embryos, embryos injected with 4 ng dnFGFR1 mRNA or 1 ng mRNA coding for secreted the BMP inhibitor noggin. GAPDH is a loading control. |
|
|
Figure 5. Cluster analysis of genes down regulated in response to FGF inhibition.(A) shows the temporal expression profiles of FGF8 (dashed line) and several known FGF target genes from blastula stage 8 until early neurula stage 14 (5 to 16 hours pf at 23°C). Profiles are derived from normalised microarray expression levels. Relative expression values are represented as percentages of the maximum expression value for each gene. (B) is a cluster dendrogram generated within BRB-ArrayTools for genes that are significantly down regulated in response to FGF inhibition i.e. positively regulated by FGF signaling. The red line indicates the level at which the dendrogram was cut, corresponding to a correlation coefficient of 0.85. (C) is a heat map of temporal expression for gene clusters positively regulated by FGF signalling. Only clusters containing ≥5 members are presented. Values at each time point from blastula stage 8 to early neurula stage 14 are derived from the mean of the expression levels for all the genes in each cluster. (D) shows the temporal expression profiles of FGF8 and gene clusters positively regulated by FGF signalling based upon the mean of the expression levels for all the genes in each cluster. |
|
|
Figure 6. MKPs and FGF signalling.(A) shows the temporal expression profiles of MKP1, MKP3 and DUSP5 from blastula stage 8 until early neurula stage 14 (5 to 16 hours pf at 23°C). Profiles are derived from normalised microarray expression levels. Relative expression values are represented as percentages of the maximum expression value for each gene. (B) is a chart showing the expression of MKP1. MKP3 and DUSP5 in control embryos and embryos injected with 4 ng dnFGFR1 mRNA or 4 ng dnFGFR4 mRNA. Microarray derived expression values are based on the average of three biological replicates. Relative expression is calculated a percentage of the expression in control embryos. Experiments in (C, D and E) were carried out on animal cap explants removed from blastula stage 8 embryos. In all cases control explants are from uninjected embryos, FGF4 treatment was with 10 units of recombinant protein and mRNA injections were with 10 ng MKP1, MKP3 or DUSP5. (C) shows the morphology of animal cap explants at tailbud stage 41. (D) shows 10 µm histological sections of animal cap explants at stage 41. (E) is a Western blot showing levels of dp-ERK and the loading control GAPDH in animal cap explants at stage 10.5. |
References [+] :
Amaya, FGF signalling in the early specification of mesoderm in Xenopus. 1993, Pubmed , Xenbase
Amaya, Expression of a dominant negative mutant of the FGF receptor disrupts mesoderm formation in Xenopus embryos. 1991, Pubmed , Xenbase
Bendall, IGF and FGF cooperatively establish the regulatory stem cell niche of pluripotent human cells in vitro. 2007, Pubmed
Böttcher, The transmembrane protein XFLRT3 forms a complex with FGF receptors and promotes FGF signalling. 2004, Pubmed , Xenbase
Böttcher, Fibroblast growth factor signaling during early vertebrate development. 2005, Pubmed
Brazma, Minimum information about a microarray experiment (MIAME)-toward standards for microarray data. 2001, Pubmed
Burks, FGF signalling modulates transcriptional repression by Xenopus groucho-related-4. 2009, Pubmed , Xenbase
Christen, FGF-8 is associated with anteroposterior patterning and limb regeneration in Xenopus. 1997, Pubmed , Xenbase
Christen, Spatial response to fibroblast growth factor signalling in Xenopus embryos. 1999, Pubmed , Xenbase
Christian, Xwnt-8 modifies the character of mesoderm induced by bFGF in isolated Xenopus ectoderm. 1992, Pubmed , Xenbase
Ciruna, FGF signaling regulates mesoderm cell fate specification and morphogenetic movement at the primitive streak. 2001, Pubmed
Cornell, Activin-mediated mesoderm induction requires FGF. 1994, Pubmed , Xenbase
Cornell, FGF is a prospective competence factor for early activin-type signals in Xenopus mesoderm induction. 1995, Pubmed , Xenbase
Delaune, Neural induction in Xenopus requires early FGF signalling in addition to BMP inhibition. 2005, Pubmed , Xenbase
Fisher, eFGF is required for activation of XmyoD expression in the myogenic cell lineage of Xenopus laevis. 2002, Pubmed , Xenbase
Fletcher, The role of FGF signaling in the establishment and maintenance of mesodermal gene expression in Xenopus. 2008, Pubmed , Xenbase
Fletcher, FGF8 spliceforms mediate early mesoderm and posterior neural tissue formation in Xenopus. 2006, Pubmed , Xenbase
Frazzetto, Xenopus marginal coil (Xmc), a novel FGF inducible cytosolic coiled-coil protein regulating gastrulation movements. 2002, Pubmed , Xenbase
Gómez, Conserved cross-interactions in Drosophila and Xenopus between Ras/MAPK signaling and the dual-specificity phosphatase MKP3. 2005, Pubmed , Xenbase
Griffin, Analysis of FGF function in normal and no tail zebrafish embryos reveals separate mechanisms for formation of the trunk and the tail. 1995, Pubmed
Harland, In situ hybridization: an improved whole-mount method for Xenopus embryos. 1991, Pubmed , Xenbase
Hongo, FGF signaling and the anterior neural induction in Xenopus. 1999, Pubmed , Xenbase
Isaacs, New perspectives on the role of the fibroblast growth factor family in amphibian development. 1997, Pubmed , Xenbase
Isaacs, eFGF regulates Xbra expression during Xenopus gastrulation. 1994, Pubmed , Xenbase
Isaacs, Expression of a novel FGF in the Xenopus embryo. A new candidate inducing factor for mesoderm formation and anteroposterior specification. 1992, Pubmed , Xenbase
Isaacs, Regulation of Hox gene expression and posterior development by the Xenopus caudal homologue Xcad3. 1998, Pubmed , Xenbase
Keenan, FGF signal transduction and the regulation of Cdx gene expression. 2006, Pubmed , Xenbase
Kimelman, Synergistic induction of mesoderm by FGF and TGF-beta and the identification of an mRNA coding for FGF in the early Xenopus embryo. 1987, Pubmed , Xenbase
Klingbeil, Xwig1, a novel putative endoplasmic reticulum protein expressed during epithelial morphogenesis and in response to embryonic wounding. 2001, Pubmed , Xenbase
Kunath, FGF stimulation of the Erk1/2 signalling cascade triggers transition of pluripotent embryonic stem cells from self-renewal to lineage commitment. 2007, Pubmed
LaBonne, Role of MAP kinase in mesoderm induction and axial patterning during Xenopus development. 1995, Pubmed , Xenbase
LaBonne, Mesoderm induction by activin requires FGF-mediated intracellular signals. 1994, Pubmed , Xenbase
Levenstein, Basic fibroblast growth factor support of human embryonic stem cell self-renewal. 2006, Pubmed
Levine, Notch signaling links interactions between the C/EBP homolog slow border cells and the GILZ homolog bunched during cell migration. 2007, Pubmed
Lewis, XCL100, an inducible nuclear MAP kinase phosphatase from Xenopus laevis: its role in MAP kinase inactivation in differentiated cells and its expression during early development. 1995, Pubmed , Xenbase
Liu, Regulation of embryonic stem cell self-renewal and pluripotency by Foxd3. 2008, Pubmed
Lombardo, Expression and functions of FGF-3 in Xenopus development. 1998, Pubmed , Xenbase
Mason, A novel MAP kinase phosphatase is localised in the branchial arch region and tail tip of Xenopus embryos and is inducible by retinoic acid. 1996, Pubmed , Xenbase
Mathieu, Nodal and Fgf pathways interact through a positive regulatory loop and synergize to maintain mesodermal cell populations. 2004, Pubmed
Mitchell, The FGFR pathway is required for the trunk-inducing functions of Spemann's organizer. 2001, Pubmed , Xenbase
Newport, A major developmental transition in early Xenopus embryos: I. characterization and timing of cellular changes at the midblastula stage. 1982, Pubmed , Xenbase
Nutt, Xenopus Sprouty2 inhibits FGF-mediated gastrulation movements but does not affect mesoderm induction and patterning. 2001, Pubmed , Xenbase
Pan, Nanog and transcriptional networks in embryonic stem cell pluripotency. 2007, Pubmed
Pera, Integration of IGF, FGF, and anti-BMP signals via Smad1 phosphorylation in neural induction. 2003, Pubmed , Xenbase
Pownall, eFGF, Xcad3 and Hox genes form a molecular pathway that establishes the anteroposterior axis in Xenopus. 1996, Pubmed , Xenbase
Ribisi, Ras-mediated FGF signaling is required for the formation of posterior but not anterior neural tissue in Xenopus laevis. 2000, Pubmed , Xenbase
Sasai, Xenopus chordin: a novel dorsalizing factor activated by organizer-specific homeobox genes. 1994, Pubmed , Xenbase
Schulte-Merker, Mesoderm formation in response to Brachyury requires FGF signalling. 1995, Pubmed , Xenbase
Sheng, Churchill, a zinc finger transcriptional activator, regulates the transition between gastrulation and neurulation. 2003, Pubmed , Xenbase
Shinga, Early patterning of the prospective midbrain-hindbrain boundary by the HES-related gene XHR1 in Xenopus embryos. 2001, Pubmed , Xenbase
Sivak, FGF signal interpretation is directed by Sprouty and Spred proteins during mesoderm formation. 2005, Pubmed , Xenbase
Slack, Mesoderm induction in early Xenopus embryos by heparin-binding growth factors. , Pubmed , Xenbase
Smith, Expression of a Xenopus homolog of Brachyury (T) is an immediate-early response to mesoderm induction. 1991, Pubmed , Xenbase
Smith, Expression cloning of noggin, a new dorsalizing factor localized to the Spemann organizer in Xenopus embryos. 1992, Pubmed , Xenbase
Stavridis, A discrete period of FGF-induced Erk1/2 signalling is required for vertebrate neural specification. 2007, Pubmed
Steiner, FoxD3 regulation of Nodal in the Spemann organizer is essential for Xenopus dorsal mesoderm development. 2006, Pubmed , Xenbase
Takeuchi, The prickle-related gene in vertebrates is essential for gastrulation cell movements. 2003, Pubmed , Xenbase
Umbhauer, Mesoderm induction in Xenopus caused by activation of MAP kinase. 1995, Pubmed , Xenbase
Viswanathan, Selective blockade of microRNA processing by Lin28. 2008, Pubmed
Winning, Disruption of cell adhesion in Xenopus embryos by Pagliaccio, an Eph-class receptor tyrosine kinase. 1996, Pubmed , Xenbase
Yang, Cell movement patterns during gastrulation in the chick are controlled by positive and negative chemotaxis mediated by FGF4 and FGF8. 2002, Pubmed
Yu, Induced pluripotent stem cell lines derived from human somatic cells. 2007, Pubmed
Zaraisky, The homeobox-containing gene XANF-1 may control development of the Spemann organizer. 1995, Pubmed , Xenbase
