Click here to close
Hello! We notice that you are using Internet Explorer, which is not supported by Xenbase and may cause the site to display incorrectly.
We suggest using a current version of Chrome,
FireFox, or Safari.
PLoS Genet
2009 Feb 01;52:e1000363. doi: 10.1371/journal.pgen.1000363.
Show Gene links
Show Anatomy links
hnRNP I inhibits Notch signaling and regulates intestinal epithelial homeostasis in the zebrafish.
Yang J, Chan CY, Jiang B, Yu X, Zhu GZ, Chen Y, Barnard J, Mei W.
???displayArticle.abstract???
Regulated intestinal stem cell proliferation and differentiation are required for normal intestinal homeostasis and repair after injury. The Notch signaling pathway plays fundamental roles in the intestinal epithelium. Despite the fact that Notch signaling maintains intestinal stem cells in a proliferative state and promotes absorptive cell differentiation in most species, it remains largely unclear how Notch signaling itself is precisely controlled during intestinal homeostasis. We characterized the intestinal phenotypes of brom bones, a zebrafish mutant carrying a nonsense mutation in hnRNP I. We found that the brom bones mutant displays a number of intestinal defects, including compromised secretory goblet cell differentiation, hyperproliferation, and enhanced apoptosis. These phenotypes are accompanied by a markedly elevated Notch signaling activity in the intestinal epithelium. When overexpressed, hnRNP I destabilizes the Notch intracellular domain (NICD) and inhibits Notch signaling. This activity of hnRNP I is conserved from zebrafish to human. In addition, our biochemistry experiments demonstrate that the effect of hnRNP I on NICD turnover requires the C-terminal portion of the RAM domain of NICD. Our results demonstrate that hnRNP I is an evolutionarily conserved Notch inhibitor and plays an essential role in intestinal homeostasis.
Figure 1. The abnormal intestinal architecture in brom bones.(A) brom bones displays an enlarged abdomen (arrow) as compared to a wild-type sibling. (B) The dissected intestine of the wild-type fish shown in (A). The original coiled intestine tube was unfolded for a better view. Lines indicate the borders between anterior, mid and posterior intestines. (C) The intestine dissected from the brom bones mutant shown in (A). Note the abundant food waste in the intestine. Double arrows indicate the clear portion in the anterior intestine. Anterior is toward left. (D–K) Hematoxylin and Eosin (H&E) staining on cross-sections of the intestines from a wild-type fish (D and I), a brom bones heterozygous fish (E,J), and brom bones homozygous fish (F, G, H, and K). (D–H) From the anterior segments of the intestine. (I–K) From the mid segments. Arrows in (D) point to goblet cells. The severity of the intestinal phenotype varies among individual homozygous mutants. (F) represents brom bones homozygous intestines that display markedly reduced goblet cells. (G) represents brom bones homozygous intestines that exhibit excessive number of the intestinal epithelial cells and lack visible lamina propria. (H) is the cross-section of the brom bones intestine shown in (C), representing mutants with the big abdomen phenotype. Note that both the intestinal epithelium and the smooth muscle layer undergo degeneration. brb = brom bones; wt = wild-type; A = anterior intestine; M = mid intestine; P = posterior intestine. Scale bar = 50 µm.
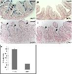
Figure 2. brom bones has significantly reduced number of intestinal goblet cells.(A,B) PAS-AB staining shows the intestinal goblet cells (arrowheads in A) in the anterior intestines of brom bones heterozygous fish (A) and homozygous fish (B). (C,D) The enzymatic activity of intestinal alkaline phosphatase (AP) in the enterocytes brush border (arrows) of the anterior intestines in brom bones heterozygous fish (C) and homozygous fish (D). (E) Quantification of the goblet cell number. Values shown are the percentages of goblet cells relative to the total number of intestinal epithelial cells per villous cross-section (n = 129 villi from 7 brom bones heterozygous fish and 154 villi from 9 brom bones homozygous fish). Error bars represent s.e.m; P = 1×10−6 by Student's t test. Scale bar = 50 µm.
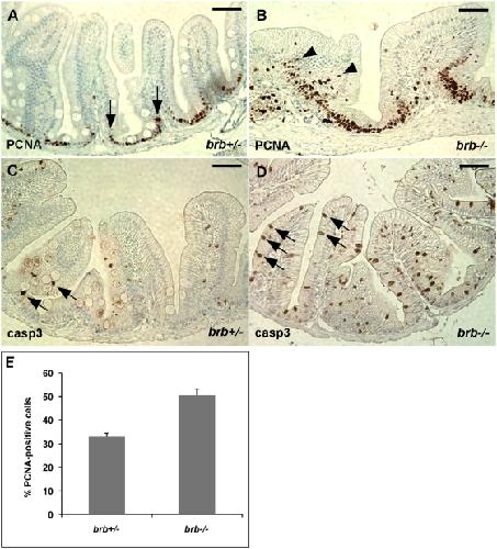
Figure 3. brom bones has increased cell proliferation and apoptosis in the intestinal epithelial cells.(A,B) Representative cross-sections of the anterior intestines from control and mutant fish immunostained for PCNA. Arrows in (A) mark the border of PCNA expression region in the intervillus pocket of a control fish. Arrowheads in (B) indicate PCNA-positive cells in the center region of intestinal epithelium of a brom bones homozygous fish. (C,D) Representative cross-sections of the anterior intestines from control (C) and mutant (D) fish immunostained for active caspase 3. Arrows point to caspase-positive cells. (E) Quantification of the PCNA-positive cell number. Values shown are the percentages of PCNA-positive cells relative to the total number of intestinal epithelial cells per villous cross-section (n = 97 villi from 6 brom bones heterozygous fish and 98 villi from 8 brom bones homozygous fish). Error bars represent s.e.m; P = 2×10−4 by Student's t test. Scale bar = 50 µm.
Figure 4. brom bones possesses an increased level of Notch signaling activity in the intestinal epithelium.(A–D) Cross-sections of the anterior intestines from control (A,C) and mutant fish (B,D) immunostained for Hes1 (A,B) and NICD (C,D). Arrowheads in A and B point to Hes1 positive-cells. Arrows in (C) and (D) indicate NICD-positive cells. (E) Quantification of the NICD-positive cell number. Values shown are the percentages of NICD-positive cells relative to the total number of intestinal epithelial cells per villous cross-section (n = 114 villi from 7 brom bones heterozygous fish and 175 villi from 10 brom bones homozygous fish). Error bars represent s.e.m; P = 0.001 by Student's t test. (F,G) Real-time RT-PCR results show the expression levels of her6 (F) and her9 (G) in the intestines of 4 wild-type fish and 4 brom bones homozygotes. The expression levels of her6 and her9 were normalized to odc. Gene expression levels in the wild-type 1 fish were set as 100%. Scale bar = 50 µm.
Figure 5. hnRNP I inhibits Notch signaling.(A) RT-PCR results demonstrate that hnRNP I (1 ng), but not brb (1 ng), inhibits the expression of esr-1 induced by NotchΔE, NICD, but not that induced by Su(H)Ank in Xenopus animal caps. Animal caps were neuralized by chordin (Chd, 50 pg). (B) Stereoimages show hnRNP Is from the wild-type zebrafish (zhnRNP I, 2.5 ng), human (hhnRNP I, 2.5 ng), mouse (mhnRNP I, 2.5 ng) and Xenopus (xhnRNP I, 2.5 ng) decreased the level of NICD-GFP as revealed by the presence of green fluorescence. In contrast, the mutated form of hnRNP I in brom bones (brb) failed to reduce the level of NICD-GFP. Note that only one of the dorsal animal blastomeres, which later gave rise to the neural tissue, was injected. Inserts at the lower left corner of each panel are bright field images. (C) Western blot result showing the level of NICD-GFP (upper panel) was reduced by overexpression of hnRNP Is. Protein extracts were made from 15 injected embryos (20 ml lysis buffer per embryo). Each lane contains 10 ml lysate. After Western blot with the anti-GFP antibody, the membrane was re-probed with anti-tubulin antibody (lower panel).
Figure 6. C-terminal region of RAM domain mediates the hnRNP I-induced NICD turnover.(A) Schematic representation of serial deletion NICD constructs (left panel) and the Western blot results (right panel) showing that the RAM domain is required for hnRNP I-induced NICD turnover. Myc-GFP (pointed by arrow) was used as the control for microinjection and loading. * indicates NICD and NICD deletion constructs. (B) Schematic representation of RAM deletion constructs (left panel) and the Western blot results (right panel) demonstrating that the C-terminal region of RAM domain is required for hnRNP I-induced NICD turnover. Myc-GFP was used as the control for injection and loading (pointed by arrow). * indicates RAM and RAM deletion constructs. (C) Western blot result showing that overexpression of hnRNP I destabilized GST-RAMC protein purified from bacteria. GST-RAMC protein (250 pg per embryo) was injected alone, or together with hnRNP I RNA (2 ng) into Xenopus embryos. Control and injected embryos were harvested at the tailbud stage. A total volume of 1 ml lysate, which was prepared from 50 embryos, was incubated with 50 ml glutathione-agarose beads at room temperature for 1 hour to recover GST-RAMC protein. Protein was eluted from the beads and blotted with an anti-GST antibody (upper panel). Supernatants were probed with the anti-tubulin antibody (lower panel).
Bray,
Notch signalling: a simple pathway becomes complex.
2006, Pubmed
Bray,
Notch signalling: a simple pathway becomes complex.
2006,
Pubmed Chen,
NOTCH1-induced T-cell leukemia in transgenic zebrafish.
2007,
Pubmed Chiba,
Notch signaling in stem cell systems.
2006,
Pubmed Cote,
A Xenopus protein related to hnRNP I has a role in cytoplasmic RNA localization.
1999,
Pubmed
,
Xenbase Crosnier,
Organizing cell renewal in the intestine: stem cells, signals and combinatorial control.
2006,
Pubmed Crosnier,
Delta-Notch signalling controls commitment to a secretory fate in the zebrafish intestine.
2005,
Pubmed Dansereau,
Hephaestus encodes a polypyrimidine tract binding protein that regulates Notch signalling during wing development in Drosophila melanogaster.
2002,
Pubmed
,
Xenbase Fiúza,
Cell and molecular biology of Notch.
2007,
Pubmed Fre,
Notch signals control the fate of immature progenitor cells in the intestine.
2005,
Pubmed Gooding,
A novel polypyrimidine tract-binding protein paralog expressed in smooth muscle cells.
2003,
Pubmed Gupta-Rossi,
Functional interaction between SEL-10, an F-box protein, and the nuclear form of activated Notch1 receptor.
2001,
Pubmed Haffter,
The identification of genes with unique and essential functions in the development of the zebrafish, Danio rerio.
1996,
Pubmed Haramis,
Adenomatous polyposis coli-deficient zebrafish are susceptible to digestive tract neoplasia.
2006,
Pubmed Ishikura,
Notch-1 activation and dendritic atrophy in prion disease.
2005,
Pubmed Jensen,
Control of endodermal endocrine development by Hes-1.
2000,
Pubmed Kaminski,
Direct evidence that polypyrimidine tract binding protein (PTB) is essential for internal initiation of translation of encephalomyocarditis virus RNA.
1995,
Pubmed Kim,
Nuclear mRNA binding proteins couple pre-mRNA splicing and post-splicing events.
2001,
Pubmed Kopan,
Signal transduction by activated mNotch: importance of proteolytic processing and its regulation by the extracellular domain.
1996,
Pubmed
,
Xenbase Lamar,
Nrarp is a novel intracellular component of the Notch signaling pathway.
2001,
Pubmed
,
Xenbase Lee,
Neurogenin 3 is essential for the proper specification of gastric enteroendocrine cells and the maintenance of gastric epithelial cell identity.
2002,
Pubmed Le Sommer,
PTB regulates the processing of a 3'-terminal exon by repressing both splicing and polyadenylation.
2005,
Pubmed
,
Xenbase Li,
Neuronal regulation of alternative pre-mRNA splicing.
2007,
Pubmed Liu,
Mutations in RRM4 uncouple the splicing repression and RNA-binding activities of polypyrimidine tract binding protein.
2002,
Pubmed Lou,
An intron enhancer recognized by splicing factors activates polyadenylation.
1996,
Pubmed Mintzer,
Lost-a-fin encodes a type I BMP receptor, Alk8, acting maternally and zygotically in dorsoventral pattern formation.
2001,
Pubmed Mullins,
Large-scale mutagenesis in the zebrafish: in search of genes controlling development in a vertebrate.
1994,
Pubmed Ng,
Formation of the digestive system in zebrafish: III. Intestinal epithelium morphogenesis.
2005,
Pubmed Oberg,
The Notch intracellular domain is ubiquitinated and negatively regulated by the mammalian Sel-10 homolog.
2001,
Pubmed Oberstrass,
Structure of PTB bound to RNA: specific binding and implications for splicing regulation.
2005,
Pubmed Oh,
Determination of functional domains in polypyrimidine-tract-binding protein.
1998,
Pubmed Palomero,
CUTLL1, a novel human T-cell lymphoma cell line with t(7;9) rearrangement, aberrant NOTCH1 activation and high sensitivity to gamma-secretase inhibitors.
2006,
Pubmed Pérez,
Multiple RRMs contribute to RNA binding specificity and affinity for polypyrimidine tract binding protein.
1997,
Pubmed Phiel,
GSK-3alpha regulates production of Alzheimer's disease amyloid-beta peptides.
2003,
Pubmed Qiu,
Recognition and ubiquitination of Notch by Itch, a hect-type E3 ubiquitin ligase.
2000,
Pubmed Radtke,
From gut homeostasis to cancer.
2006,
Pubmed Radtke,
Self-renewal and cancer of the gut: two sides of a coin.
2005,
Pubmed Real,
Intestinal brush-border-associated enzymes: co-ordinated expression in colorectal cancer.
1992,
Pubmed Robida,
Drosophila polypyrimidine-tract binding protein (PTB) functions specifically in the male germline.
2003,
Pubmed Rorick,
PP2A:B56epsilon is required for eye induction and eye field separation.
2007,
Pubmed
,
Xenbase Sancho,
Signaling pathways in intestinal development and cancer.
2004,
Pubmed Savill,
Control of epidermal stem cell clusters by Notch-mediated lateral induction.
2003,
Pubmed Schröder,
Expression of Notch pathway components in fetal and adult mouse small intestine.
2002,
Pubmed Schroeter,
Notch-1 signalling requires ligand-induced proteolytic release of intracellular domain.
1998,
Pubmed Simpson,
Structure and RNA interactions of the N-terminal RRM domains of PTB.
2004,
Pubmed Spellman,
Novel modes of splicing repression by PTB.
2006,
Pubmed Stanger,
Direct regulation of intestinal fate by Notch.
2005,
Pubmed Tokunaga,
Mapping spatio-temporal activation of Notch signaling during neurogenesis and gliogenesis in the developing mouse brain.
2004,
Pubmed van Es,
Notch/gamma-secretase inhibition turns proliferative cells in intestinal crypts and adenomas into goblet cells.
2005,
Pubmed Wagner,
Maternal control of development at the midblastula transition and beyond: mutants from the zebrafish II.
2004,
Pubmed Wagner,
Polypyrimidine tract binding protein antagonizes exon definition.
2001,
Pubmed Wallace,
Intestinal growth and differentiation in zebrafish.
2005,
Pubmed Wettstein,
The Xenopus homolog of Drosophila Suppressor of Hairless mediates Notch signaling during primary neurogenesis.
1997,
Pubmed
,
Xenbase Wollerton,
Autoregulation of polypyrimidine tract binding protein by alternative splicing leading to nonsense-mediated decay.
2004,
Pubmed Wu,
SEL-10 is an inhibitor of notch signaling that targets notch for ubiquitin-mediated protein degradation.
2001,
Pubmed Yang,
PP2A:B56epsilon is required for Wnt/beta-catenin signaling during embryonic development.
2003,
Pubmed
,
Xenbase Yang,
Requirement of Math1 for secretory cell lineage commitment in the mouse intestine.
2001,
Pubmed Zecchini,
Notch signaling regulates the differentiation of post-mitotic intestinal epithelial cells.
2005,
Pubmed