Click here to close
Hello! We notice that you are using Internet Explorer, which is not supported by Xenbase and may cause the site to display incorrectly.
We suggest using a current version of Chrome,
FireFox, or Safari.
???displayArticle.abstract???
Amphibian metamorphosis is accompanied by extensive intestinal remodeling. This process, mediated by thyroid hormone (TH) and its nuclear receptors, affects every cell type. Gut remodeling in Xenopus laevis involves epithelial and mesenchymal proliferation, smooth muscle thickening, neuronal aggregation, formation of intestinal folds, and shortening of its length by 75%. Transgenic tadpoles expressing a dominant negative TH receptor (TRDN) controlled by epithelial-, fibroblast-, and muscle-specific gene promoters were studied. TRDN expression in the epithelium caused abnormal development of virtually all cell types, with froglet guts displaying reduced intestinal folds, thin muscle and mesenchyme, absence of neurons, and reduced cell proliferation. TRDN expression in fibroblasts caused abnormal epithelia and mesenchyme development, and expression in muscle produced fewer enteric neurons and a reduced inter-muscular space. Gut shortening was inhibited only when TRDN was expressed in fibroblasts. Gut remodeling results from both cell-autonomous and cell-cell interactions.
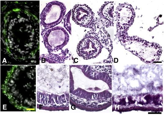
Fig. 4. The IFABP-TRDN-GFP transgene specifically inhibits TH direct-response genes in the epithelium, but not in the mesenchyme. Cross sections of duodenums from (A, B) wild-type NF54 tadpoles treated with either 0 nM T3; (C, D) 5 nM T3 for 48 h. Cross sections of duodenums from (E, F) sibling tadpoles transgenic for IFABP-TRDN-GFP treated with 5 nM T3 for 48 h. (A, C, E) Expression of the TH direct-response gene, bZip, mRNA in the epithelium. (B, D, F) Expression of the TH direct-response gene, stromelysin-3 (ST3), mRNA in the mesenchyme. mRNA localized by in situ hybridization (purple stain). Scale bar in F denotes 0.2 mm length.
Fig. 7. Both The ST3-TRDN-GFP and Col-TRDN-GFP transgenes inhibit epithelial development and thickening of the sub-epithelial mesenchyme. (A) GFP is expressed specifically in the intestinal mesenchyme of tadpoles transgenic for ST3-GFP in an NF48 tadpole induced with T3 (10 nM) for 48 h. (B) Cross sections of the intestine from an untreated NF48 wild-type tadpole; (C) an NF48 wild-type tadpole treated for 7 days with 5 nM T; (D) an NF48 tadpole transgenic for ST3-TRDN-GFP treated for 7 days with 5 nM T3. (E) GFP is expressed in the mesenchyme and smooth muscle layers (but not in the epithelium) of an NF48 tadpole transgenic for Col-GFP. Cross sections of intestine from (F) an untreated NF54 wild-type tadpole; (G) an NF54 wild-type tadpole treated for 7 days with 5 nM T3; (H) an NF54 tadpole transgenic for Col-TRDN-GFP treated for 7 days with 5 nM T3. Immunoreactivity against GFP in A and E is green, and nuclei are counterstained white with dapi. Tissues in BâD and FâH are stained with hematoxylin and eosin. Scale bar in E denotes 20 μm length; scale bars in D and H denote 50 μm length.
Fig. 8. The pCar-TRDN-GFP transgene inhibits smooth muscle separation, thickening of the inter-muscular mesenchyme, and aggregation of enteric neurons. (A) The whole-mounted duodenum of an NF57 tadpole transgenic for pCar-GFP expresses GFP (green) specifically in the longitudinal (oriented leftâright) and circular (oriented topâbottom) muscle fibers. Cross sections from the duodenum of (B) NF63 tadpole transgenic for pCar-GFP stained for immunoreactivity against GFP (green) and counterstained for nuclei with dapi (white); (C, D) stained with smooth muscle actin antibody; (E, F) stained with smooth muscle actin and neural beta-tubulin antibodies. (C, E) Control NF63 tadpole; (D, F) NF63 tadpole transgenic for pCar-TRDN-GFP. Circular (c) and longitudinal (l) smooth muscle fibers. Scale bar in A denotes 20 μm length; scale bar in B denotes 100 μm length; scale bar in F denotes 40 μm length.
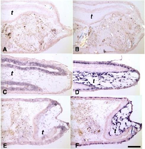
Fig. 1. Virtually every tissue is affected during spontaneous metamorphic remodeling of the duodenum. Cross sections of the duodenum from (AâC) wild-type prometamorphic tadpoles NF57; (DâF), metamorphic climax NF61; (GâI), and the end of metamorphosis NF66. (C, F, and I) Cross sections of the duodenum from tadpoles transgenic for IFABP-GFP. The GFP antibody reaction is green; smooth muscle actin antibody is red. (A, D, and G) Hematoxylin and eosin. (B, E and H) Immunoreactivity against endogenous intestinal fatty acid binding protein (IFABP; blue), muscle-specific smooth muscle actin (red), enteric neuron-specific neural beta-tubulin (green); and a nuclear counter-stain (dapi; white) is shown for half of each section. t = typhlosole, c = circular muscle, l = longitudinal muscle. Scale bar in C denotes 0.2 mm length.
Fig. 6. The IFABP-TRDN-GFP transgene inhibits circular muscle thickening and aggregation of enteric neurons. (A) Duodenal cross sections from a wild-type NF66+ froglet; (B), from a transgenic froglet. Tissues were stained for immunoreactivity against smooth muscle actin (red) and neural beta-tubulin (green). Sections are counterstained for nuclei with dapi (white). Circular muscle fibers (c); longitudinal muscle fibers (l). Inset in B is a magnification of the region encompassed by the dashed yellow rectangle. Scale bar denotes 0.1 mm length.
Amaya,
A method for generating transgenic frog embryos.
1999, Pubmed,
Xenbase
Amaya,
A method for generating transgenic frog embryos.
1999,
Pubmed
,
Xenbase Asahina,
Cell-type specific and thyroid hormone-dependent expression of genes of alpha1(I) and alpha2(I) collagen in intestine during amphibian metamorphosis.
1999,
Pubmed Beck,
Gut specific expression using mammalian promoters in transgenic Xenopus laevis.
1999,
Pubmed
,
Xenbase Berry,
The expression pattern of thyroid hormone response genes in the tadpole tail identifies multiple resorption programs.
1998,
Pubmed
,
Xenbase Berry,
The expression pattern of thyroid hormone response genes in remodeling tadpole tissues defines distinct growth and resorption gene expression programs.
1998,
Pubmed
,
Xenbase Bitgood,
Hedgehog and Bmp genes are coexpressed at many diverse sites of cell-cell interaction in the mouse embryo.
1995,
Pubmed Bou-Gharios,
A potent far-upstream enhancer in the mouse pro alpha 2(I) collagen gene regulates expression of reporter genes in transgenic mice.
1996,
Pubmed Brown,
Thyroid hormone controls multiple independent programs required for limb development in Xenopus laevis metamorphosis.
2005,
Pubmed
,
Xenbase Cai,
Expression of type II iodothyronine deiodinase marks the time that a tissue responds to thyroid hormone-induced metamorphosis in Xenopus laevis.
2004,
Pubmed
,
Xenbase Chalmers,
Development of the gut in Xenopus laevis.
1998,
Pubmed
,
Xenbase Das,
Controlling transgene expression to study Xenopus laevis metamorphosis.
2004,
Pubmed
,
Xenbase Das,
Multiple thyroid hormone-induced muscle growth and death programs during metamorphosis in Xenopus laevis.
2002,
Pubmed
,
Xenbase Dauça,
Development of the vertebrate small intestine and mechanisms of cell differentiation.
1990,
Pubmed Echelard,
Sonic hedgehog, a member of a family of putative signaling molecules, is implicated in the regulation of CNS polarity.
1993,
Pubmed Ekker,
Distinct expression and shared activities of members of the hedgehog gene family of Xenopus laevis.
1995,
Pubmed
,
Xenbase Epperlein,
Origin and distribution of enteric neurones in Xenopus.
1990,
Pubmed
,
Xenbase Fu,
A causative role of stromelysin-3 in extracellular matrix remodeling and epithelial apoptosis during intestinal metamorphosis in Xenopus laevis.
2005,
Pubmed
,
Xenbase Graham,
Collagen synthesis by human intestinal smooth muscle cells in culture.
1987,
Pubmed Ishizuya-Oka,
Connective tissue is involved in adult epithelial development of the small intestine during anuran metamorphosis in vitro.
1992,
Pubmed Ishizuya-Oka,
Requirement for matrix metalloproteinase stromelysin-3 in cell migration and apoptosis during tissue remodeling in Xenopus laevis.
2000,
Pubmed
,
Xenbase Ishizuya-Oka,
Thyroid hormone-induced expression of sonic hedgehog correlates with adult epithelial development during remodeling of the Xenopus stomach and intestine.
2001,
Pubmed
,
Xenbase Ishizuya-Oka,
Inductive action of epithelium on differentiation of intestinal connective tissue of Xenopus laevis tadpoles during metamorphosis in vitro.
1994,
Pubmed
,
Xenbase Ishizuya-Oka,
Anteroposterior gradient of epithelial transformation during amphibian intestinal remodeling: immunohistochemical detection of intestinal fatty acid-binding protein.
1997,
Pubmed
,
Xenbase Ishizuya-Oka,
Molecular mechanisms for thyroid hormone-induced remodeling in the amphibian digestive tract: a model for studying organ regeneration.
2005,
Pubmed
,
Xenbase Ishizuya-Oka,
Shh/BMP-4 signaling pathway is essential for intestinal epithelial development during Xenopus larval-to-adult remodeling.
2006,
Pubmed
,
Xenbase Ishizuya-Oka,
Regulation of adult intestinal epithelial stem cell development by thyroid hormone during Xenopus laevis metamorphosis.
2007,
Pubmed
,
Xenbase Kedinger,
Smooth muscle actin expression during rat gut development and induction in fetal skin fibroblastic cells associated with intestinal embryonic epithelium.
1990,
Pubmed Kordylewski,
Light and electron microscopic observations of the development of intestinal musculature in Xenopus.
1983,
Pubmed
,
Xenbase Krauss,
A functionally conserved homolog of the Drosophila segment polarity gene hh is expressed in tissues with polarizing activity in zebrafish embryos.
1993,
Pubmed Kroll,
Transgenic Xenopus embryos from sperm nuclear transplantations reveal FGF signaling requirements during gastrulation.
1996,
Pubmed
,
Xenbase Li,
Unique organization and involvement of GAGA factors in transcriptional regulation of the Xenopus stromelysin-3 gene.
1998,
Pubmed
,
Xenbase Marshall,
Cell specialization in the epithelium of the small intestine of feeding Xenopus laevis tadpoles.
1978,
Pubmed
,
Xenbase Marsh-Armstrong,
Thyroid hormone controls the development of connections between the spinal cord and limbs during Xenopus laevis metamorphosis.
2004,
Pubmed
,
Xenbase Marsh-Armstrong,
Asymmetric growth and development of the Xenopus laevis retina during metamorphosis is controlled by type III deiodinase.
1999,
Pubmed
,
Xenbase McHugh,
Molecular analysis of smooth muscle development in the mouse.
1995,
Pubmed Mukhi,
Remodeling the exocrine pancreas at metamorphosis in Xenopus laevis.
2008,
Pubmed
,
Xenbase Mukhi,
Remodeling of insulin producing beta-cells during Xenopus laevis metamorphosis.
2009,
Pubmed
,
Xenbase Patterton,
Transcriptional activation of the matrix metalloproteinase gene stromelysin-3 coincides with thyroid hormone-induced cell death during frog metamorphosis.
1995,
Pubmed
,
Xenbase Ramalho-Santos,
Hedgehog signals regulate multiple aspects of gastrointestinal development.
2000,
Pubmed Roberts,
Sonic hedgehog is an endodermal signal inducing Bmp-4 and Hox genes during induction and regionalization of the chick hindgut.
1995,
Pubmed Roberts,
Epithelial-mesenchymal signaling during the regionalization of the chick gut.
1998,
Pubmed Schreiber,
Remodeling of the intestine during metamorphosis of Xenopus laevis.
2005,
Pubmed
,
Xenbase Schreiber,
Tadpole skin dies autonomously in response to thyroid hormone at metamorphosis.
2003,
Pubmed
,
Xenbase Schreiber,
Diverse developmental programs of Xenopus laevis metamorphosis are inhibited by a dominant negative thyroid hormone receptor.
2001,
Pubmed
,
Xenbase Shi,
Thyroid hormone-dependent regulation of the intestinal fatty acid-binding protein gene during amphibian metamorphosis.
1994,
Pubmed
,
Xenbase Shi,
Developmental and thyroid hormone-dependent regulation of pancreatic genes in Xenopus laevis.
1990,
Pubmed
,
Xenbase Shi,
The earliest changes in gene expression in tadpole intestine induced by thyroid hormone.
1993,
Pubmed
,
Xenbase Stolow,
Xenopus sonic hedgehog as a potential morphogen during embryogenesis and thyroid hormone-dependent metamorphosis.
1995,
Pubmed
,
Xenbase Sukegawa,
The concentric structure of the developing gut is regulated by Sonic hedgehog derived from endodermal epithelium.
2000,
Pubmed Turner,
Expression of achaete-scute homolog 3 in Xenopus embryos converts ectodermal cells to a neural fate.
1994,
Pubmed
,
Xenbase Urlinger,
Exploring the sequence space for tetracycline-dependent transcriptional activators: novel mutations yield expanded range and sensitivity.
2000,
Pubmed