XB-ART-39688
J Biol Chem
2009 Jul 03;28427:18545-56. doi: 10.1074/jbc.M109.017723.
Show Gene links
Show Anatomy links
Differential regulation of cell type-specific apoptosis by stromelysin-3: a potential mechanism via the cleavage of the laminin receptor during tail resorption in Xenopus laevis.
Mathew S, Fu L, Fiorentino M, Matsuda H, Das B, Shi YB.
???displayArticle.abstract???
Matrix metalloproteinases (MMPs) have been extensively studied because of their functional attributes in development and diseases. However, relatively few in vivo functional studies have been reported on the roles of MMPs in postembryonic organ development. Amphibian metamorphosis is a unique model for studying MMP function during vertebrate development because of its dependence on thyroid hormone (T3) and the ability to easily manipulate this process with exogenous T3. The MMP stromelysin-3 (ST3) is induced by T3, and its expression correlates with cell death during metamorphosis. We have previously shown that ST3 is both necessary and sufficient for larval epithelial cell death in the remodeling intestine. To investigate the roles of ST3 in other organs and especially on different cell types, we have analyzed the effect of transgenic overexpression of ST3 in the tail of premetamorphic tadpoles. We report for the first time that ST3 expression, in the absence of T3, caused significant muscle cell death in the tail of premetamorphic transgenic tadpoles. On the other hand, only relatively low levels of epidermal cell death were induced by precocious ST3 expression in the tail, contrasting what takes place during natural and T3-induced metamorphosis when ST3 expression is high. This cell type-specific apoptotic response to ST3 in the tail suggests distinct mechanisms regulating cell death in different tissues. Furthermore, our analyses of laminin receptor, an in vivo substrate of ST3 in the intestine, suggest that laminin receptor cleavage may be an underlying mechanism for the cell type-specific effects of ST3.
???displayArticle.pubmedLink??? 19429683
???displayArticle.pmcLink??? PMC2709371
???displayArticle.link??? J Biol Chem
???displayArticle.grants??? [+]
Intramural NIH HHS
Species referenced: Xenopus laevis
Genes referenced: gnl3 mmp11 rpl8 rpsa
???attribute.lit??? ???displayArticles.show???
|
|
FIGURE 1. Transgenic ST3 expression is induced in premetamorphic tadpole tail after heat shock. Transgenic (TG) and wild type animals at stage 54 (premetamorphic) were heat-shocked (HS) for 0, 1, 4, and 7 days. Total RNA was isolated from the tail of these tadpoles as well as stage 62 metamorphosing wild type animals or stage 54 wild tadpoles treated with or without 5 nM T3 for 3 days. The total RNA was subjected to reverse transcription and quantitative PCR with a primer/probe set specific for both endogenous ST3 and the transgene ST3-GFP. A primer/probe set specific for the rpL8 gene was used as the RNA control. The ST3/ST3-GFP signals were normalized to those of rpL8. *, p value < 0.05. |
|
|
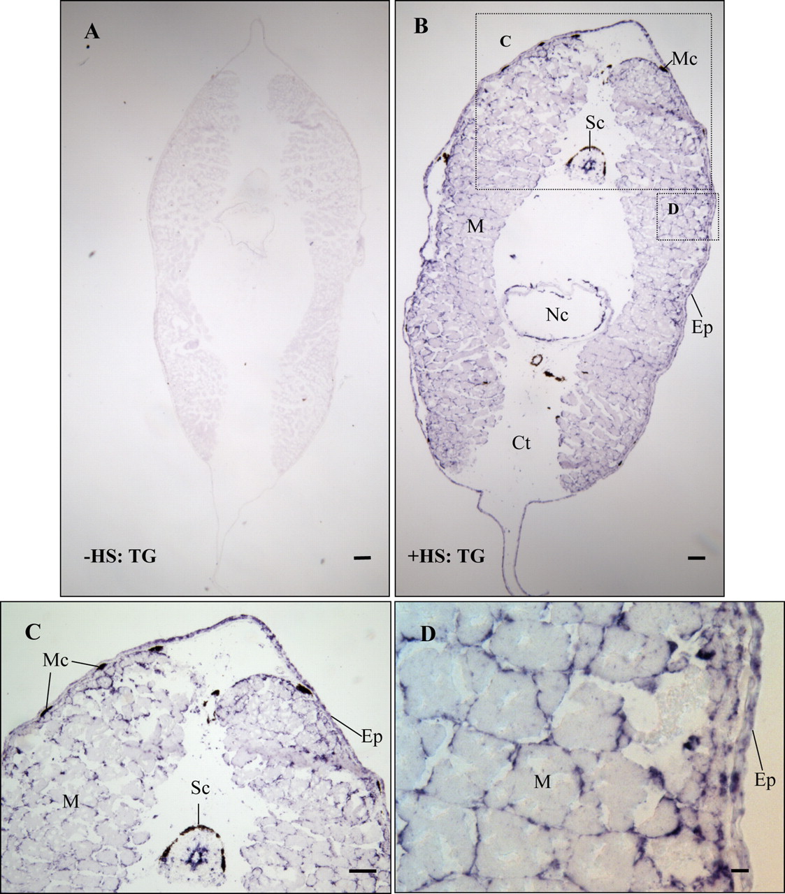
FIGURE 2. Heat shock treatment leads to ubiquitous expression of ST3-GFP transgene in the tail of transgenic animals. Transgenic (TG) tadpoles at stage 54 were treated without (âHS) (A) or with (+HS) (B, C, and D) heat shock. C and D correspond to the boxed regions in B, magnified under 10à and 40à objectives, respectively. The tails from these animals were subjected to in situ hybridization with a GFP antisense probe for detecting the transgene (endogenous ST3 had little or no expression at this stage, see Fig. 1 and Ref. (29). Ct, connective tissue; Ep, epidermis; M, muscle; Sc, spinal cord; Mc, melanocytes; Nc, Notochord. A, B, and C, scale bar = 100 μm; D, scale bar = 10 μm. |
|
|
FIGURE 3. Transgenic ST3 preferentially induces apoptosis in the muscles over the epidermis in the tadpole tail. Transgenic (TG) and sibling wild type (WT) tadpoles at stage 52â54 were subjected to daily heat shock (HS) treatment to induce transgene expression. After 4 days the tadpoles were examined under a fluorescent dissecting microscope to verify the transgene expression (because of the C-terminal-fused GFP) and were then sacrificed. Tail was isolated by TUNEL assay to detect apoptotic cells. A and a (boxed region in A, magnified under a 40à objective) represent the heat-shocked wild type tadpoles. B and b (boxed region in B, magnified under a 40à objective) represent heat-shocked transgenic tadpoles. M, muscle; Ep, epidermis; Mc, melanocytes; Sc, spinal cord. Arrows denote the apoptotic cells. Scale bar in A and B = 100 μm and in a and b = 50 μm. C, quantification of the apoptotic cells in the muscle (A) or epidermal (B) region per an arbitrarily defined unit area of the tail sections of wild and transgenic tadpoles. The unit area of the tail sections was calculated using NIH Image J Software. Five randomly chosen sections/animal of three animals/treatment group were counted. Note that ST3 overexpression led to an increase in apoptosis in both the muscle and epidermal regions but significantly only in the muscle region. *, p value ⤠0.05. |
|
|
FIGURE 4. Both T3 treatment and transgenic overexpression of ST3 lead to cell death in the tail of premetamorphic tadpoles.A, wild type tadpoles without heat shock or T3 treatment (-HS-T3); a, a boxed region in A. B, transgenic animals without heat shock or T3 treatment (-HS-T3); b, a boxed region in B. C, wild type tadpoles treated with T3 for 3 days (-HS+T3); c, a boxed region in C. D, transgenic tadpoles treated with T3 for 3 days (-HS+T3); d, a boxed region in D. E, wild type tadpoles treated with heat shock for 7 days (+HS-T3); e, a boxed region in E. F, transgenic tadpoles treated with heat shock for 7 days (+HS-T3); f, a boxed region in F. G, wild type tadpoles treated with heat shock for 7 days and T3 for the last 3 days (+HS+T3); g, a boxed region in G. H, transgenic tadpoles treated with heat shock for 7 days and T3 for the last 3 days (+HS+T3); h, a boxed region in H. The boxed regions are either magnified under a 40à objective or from enlarged from the pictures taken with a 10à objective. Note the T3 treatment induced cell death in both the muscles and epidermis, whereas transgenic ST3 mainly caused cell death in the muscles, just as in the animals with 4-day heat shock treatment (Fig. 3). M, muscle; Ep, epidermis; Mc, melanocytes; Sc, spinal cord. Arrows denote the apoptotic cells. Panels AâH, scale bar = 100 μm; panels aâh, scale bar = 50 μm. |
|
|
FIGURE 5. Differential effects of T3 and transgenic ST3 in inducing apoptosis in the epidermis and muscles. Quantification of the apoptotic cells in the muscle (A) or epidermal (B) region per an arbitrarily defined unit area of the tail section of wild and transgenic tadpoles. The animals were treated and analyzed as in Fig. 4. The area of the tail sections was calculated using NIH Image J Software. Five randomly chosen sections/animal of three animals/treatment group were counted. Note that ST3 overexpression for 7 days led to an increase in apoptosis in both the muscle and epidermal regions but significantly only in the muscle region, just as the results from 4-day heat shock treatment (Fig. 3C). T3 treatment induced apoptosis in both the epidermis and muscles. Overexpression of ST3 had a tendency to enhance T3-induced cell death, although not very significantly. The p values for pairwise comparisons are shown. |
|
|
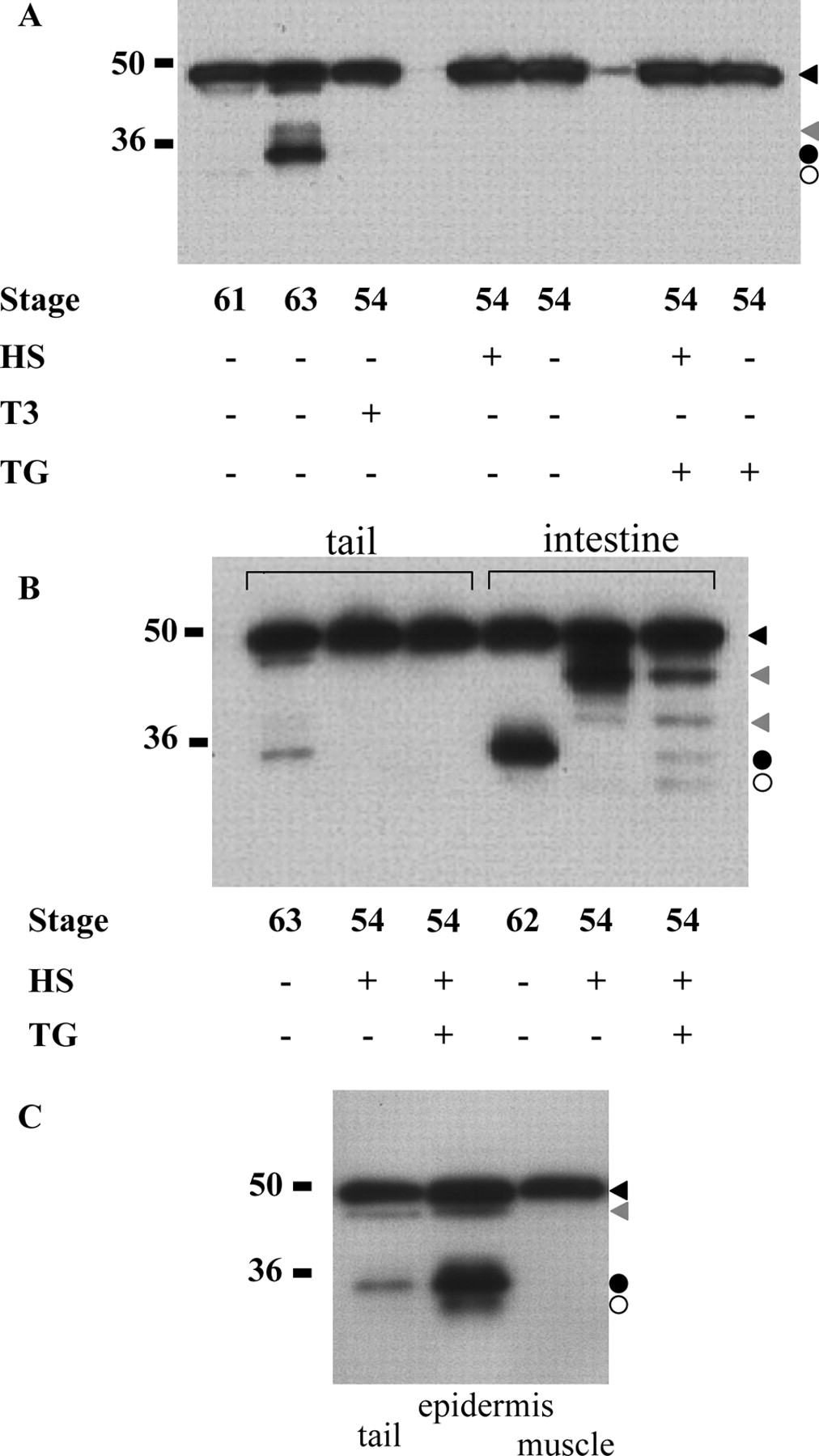
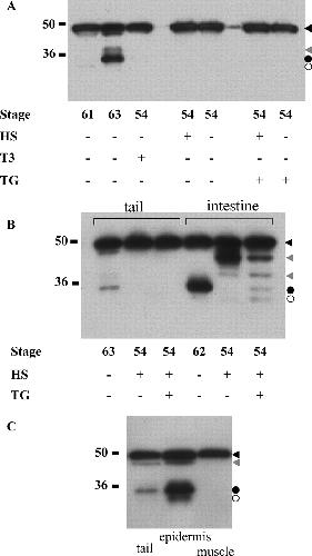
FIGURE 6. LR is cleaved in the tail during natural metamorphosis but not after T3 treatment or ST3 overexpression.A, LR is degraded in the tail only when rapid tail resorption takes place (stage 63). Premetamorphic transgenic (TG) and wild type animals were heat-shocked (HS) daily for 4 days, and the tail was isolated. Total proteins were isolated from these samples as well as the tail of premetamorphic tadpoles at stage 54 treated with or without 5 nM T3 or naturally metamorphosing tadpoles at stage 61 (before tail length reduction) and 63 (when the tail was half its original length). The proteins were subjected to Western blotting with anti-Xenopus LR antibody. Note that one major LR cleavage product of the size expected from ST3 cleavage (closed circle) was observed at stage 63, when endogenous ST3 was highly expressed, whereas no cleavage was detected in transgenic or T3-treated tadpoles. B, LR is cleaved in the tail and intestine at the climax of metamorphosis as well as in the intestine but not the tail of premetamorphic transgenic tadpoles. Transgenic and wild type animals were heat-shocked daily. The tail was isolated after 7 days, and intestine was isolated after 3 days (as a positive control of LR cleavage by ST3 transgene as done previously (48)). Total protein was isolated from these samples as well as from the intestine or tail of naturally metamorphosing tadpoles at stage 62 or 63 (to be consistent with earlier studies (48)). The proteins were subjected to Western blotting with anti-Xenopus LR antibody. Note that LR cleavage was observed in stage 63 tail and stage 62 intestine as well as in the intestine of transgenic tadpoles overexpressing ST3. No cleavage was detected in transgenic tail. C, LR is cleaved in the epidermis but not the muscles of the tail at the climax of metamorphosis (stage 63). Total protein was isolated from the tail of stage 63 naturally metamorphosing tadpoles or isolated epidermis and muscles of the stage 63 tail. The proteins were subjected to Western blotting with anti-Xenopus LR antibody. The arrowhead indicates full-length LR. The faint arrowheads indicate likely nonspecific cleavage products of LR (48). The open and closed circles indicate the expected cleavage products by ST3. |
|
|
FIGURE 7. Cell type-specific apoptosis during natural tail resorption. Tail sections at stage 61 (A) or 63 (B) were analyzed by TUNEL assay for apoptotic cells. Panel B is a composite photo of a single tail section after TUNEL labeling. Insets a and b, boxed regions in A or B magnified under a 40à objective. The arrows indicate apoptotic cells. M, muscle; Ep, epidermis; Nc, notochord; Ns, notochord sheath; Sc, spinal cord; Mc, melanocytes. Scale bar in A and B = 100 μm. Scale bar in a and b = 50 μm. C, quantification of apoptotic cells per defined unit area of the tail section at stage 61 and stage 63. The area was calculated using NIH Image J software. Note that significantly more cell death was observed in epidermis compared with that in the muscles at stage 63. p < 0.05. |
|
|
FIGURE 8. LR cleavage correlates with high levels of ST3 expression during tail resorption.A, qPCR analysis shows that ST3 mRNA attains high levels by stage 62, when tail length reduction is to begin during natural metamorphosis. Total RNA was isolated from the tail of tadpoles from premetamorphic stage 54 to metamorphic stages 60–63. The total RNA was subjected to reverse transcription and qPCR with a primer/probe set specific for ST3. A primer/probe set specific for the rpL8 gene was used as the RNA control. The ST3 signals were normalized to those of rpL8. B, Western blot shows that LR cleavage is present at stages 62 and 63 when ST3 expression is very high in the tail. Total protein was isolated from tail of tadpoles at various stages. The proteins were subjected to Western blotting with anti-Xenopus LR antibody. The arrowhead indicates full-length LR. The faint arrowhead indicates a likely nonspecific cleavage product of LR (48). The open and closed circles indicate the expected cleavage products by ST3. Note that only the larger cleavage product (closed circle) is detected in the whole tail extract. |
|
|
FIGURE 9. Spatial expression of LR in the tail during natural metamorphosis. Stage 63 tail sections were immunostained with anti-Xenopus LR antibody (A, a, b, c) or preimmune serum (B). Shown in A and B were composite pictures of the photos taken for different regions of the same sections. Note that LR is strongly expressed in the epidermis (a) and connective tissue (b) but not in the muscle cells except the apoptotic muscle regions, where the signals are likely because of infiltrating fibroblasts (c). M, muscle; Ep, epidermis; Nc, notochord; Ns, notochord sheath; Sc, spinal cord; Mc, melanocytes; Ap, apoptotic bodies. Scale bar in A and B = 100 μm. Scale bar in a, b, and c = 50 μm. |
References [+] :
Ahmad,
Stromelysin 3: an independent prognostic factor for relapse-free survival in node-positive breast cancer and demonstration of novel breast carcinoma cell expression.
1998, Pubmed
Ahmad, Stromelysin 3: an independent prognostic factor for relapse-free survival in node-positive breast cancer and demonstration of novel breast carcinoma cell expression. 1998, Pubmed
Amano, The matrix metalloproteinase stromelysin-3 cleaves laminin receptor at two distinct sites between the transmembrane domain and laminin binding sequence within the extracellular domain. 2005, Pubmed , Xenbase
Amano, Spatio-temporal regulation and cleavage by matrix metalloproteinase stromelysin-3 implicate a role for laminin receptor in intestinal remodeling during Xenopus laevis metamorphosis. 2005, Pubmed , Xenbase
Anderson, Stromelysin-3 is overexpressed by stromal elements in primary non-small cell lung cancers and regulated by retinoic acid in pulmonary fibroblasts. 1995, Pubmed
Basset, A novel metalloproteinase gene specifically expressed in stromal cells of breast carcinomas. , Pubmed
Basset, Stromelysin-3: a paradigm for stroma-derived factors implicated in carcinoma progression. 1997, Pubmed
Berry, The expression pattern of thyroid hormone response genes in the tadpole tail identifies multiple resorption programs. 1998, Pubmed , Xenbase
Berry, The expression pattern of thyroid hormone response genes in remodeling tadpole tissues defines distinct growth and resorption gene expression programs. 1998, Pubmed , Xenbase
Birkedal-Hansen, Matrix metalloproteinases: a review. 1993, Pubmed
Buchholz, Transgenic analysis reveals that thyroid hormone receptor is sufficient to mediate the thyroid hormone signal in frog metamorphosis. 2004, Pubmed , Xenbase
Castronovo, Functional domains of the 67-kDa laminin receptor precursor. 1991, Pubmed
Chenard, High levels of stromelysin-3 correlate with poor prognosis in patients with breast carcinoma. 1996, Pubmed
Chin, Matrix metalloproteinases regulate morphogenesis, migration and remodeling of epithelium, tongue skeletal muscle and cartilage in the mandibular arch. 1997, Pubmed
Damjanovski, Spatial and temporal regulation of collagenases-3, -4, and stromelysin -3 implicates distinct functions in apoptosis and tissue remodeling during frog metamorphosis. 1999, Pubmed , Xenbase
Das, Multiple thyroid hormone-induced muscle growth and death programs during metamorphosis in Xenopus laevis. 2002, Pubmed , Xenbase
Fingleton, Matrilysin in early stage intestinal tumorigenesis. 1999, Pubmed
Fiorentino, Mutational analysis of the cleavage of the cancer-associated laminin receptor by stromelysin-3 reveals the contribution of flanking sequences to site recognition and cleavage efficiency. 2009, Pubmed , Xenbase
Fu, Transcriptional regulation of the Xenopus laevis Stromelysin-3 gene by thyroid hormone is mediated by a DNA element in the first intron. 2006, Pubmed , Xenbase
Fu, Novel double promoter approach for identification of transgenic animals: A tool for in vivo analysis of gene function and development of gene-based therapies. 2002, Pubmed , Xenbase
Fu, A causative role of stromelysin-3 in extracellular matrix remodeling and epithelial apoptosis during intestinal metamorphosis in Xenopus laevis. 2005, Pubmed , Xenbase
Fujimoto, One of the duplicated matrix metalloproteinase-9 genes is expressed in regressing tail during anuran metamorphosis. 2006, Pubmed , Xenbase
Fujimoto, Expression of matrix metalloproteinase genes in regressing or remodeling organs during amphibian metamorphosis. 2007, Pubmed , Xenbase
Hasebe, Spatial and temporal expression profiles suggest the involvement of gelatinase A and membrane type 1 matrix metalloproteinase in amphibian metamorphosis. 2006, Pubmed , Xenbase
Hotary, Membrane type I matrix metalloproteinase usurps tumor growth control imposed by the three-dimensional extracellular matrix. 2003, Pubmed
Ishizuya-Oka, Transient expression of stromelysin-3 mRNA in the amphibian small intestine during metamorphosis. 1996, Pubmed , Xenbase
Ishizuya-Oka, Requirement for matrix metalloproteinase stromelysin-3 in cell migration and apoptosis during tissue remodeling in Xenopus laevis. 2000, Pubmed , Xenbase
Kerr, An electron-microscope study of cell deletion in the anuran tadpole tail during spontaneous metamorphosis with special reference to apoptosis of striated muscle fibers. 1974, Pubmed
Kikuyama, Aspects of amphibian metamorphosis: hormonal control. 1993, Pubmed , Xenbase
Lee, Matrix metalloproteinases at a glance. 2004, Pubmed
Lefebvre, Developmental expression of mouse stromelysin-3 mRNA. 1995, Pubmed
Lefebvre, The breast cancer-associated stromelysin-3 gene is expressed during mouse mammary gland apoptosis. 1992, Pubmed
Lochter, An odyssey from breast to bone: multi-step control of mammary metastases and osteolysis by matrix metalloproteinases. 1999, Pubmed
López-Otín, Emerging roles of proteases in tumour suppression. 2007, Pubmed
Lynch, Matrix metalloproteinase 7 mediates mammary epithelial cell tumorigenesis through the ErbB4 receptor. 2007, Pubmed
Malinoff, Isolation of a cell surface receptor protein for laminin from murine fibrosarcoma cells. 1983, Pubmed
Mañes, Identification of insulin-like growth factor-binding protein-1 as a potential physiological substrate for human stromelysin-3. 1997, Pubmed
Martin, The other side of MMPs: protective roles in tumor progression. 2007, Pubmed
Masson, In vivo evidence that the stromelysin-3 metalloproteinase contributes in a paracrine manner to epithelial cell malignancy. 1998, Pubmed
Matsuda, An epidermal signal regulates Lmx-1 expression and dorsal-ventral pattern during Xenopus limb regeneration. 2001, Pubmed , Xenbase
McCawley, Matrix metalloproteinases: they're not just for matrix anymore! 2001, Pubmed
Murphy, The 28-kDa N-terminal domain of mouse stromelysin-3 has the general properties of a weak metalloproteinase. 1993, Pubmed
Nagase, Cell surface activation of progelatinase A (proMMP-2) and cell migration. 1998, Pubmed
Nelson, Matrix metalloproteinases: biologic activity and clinical implications. 2000, Pubmed
Patterton, Transcriptional activation of the matrix metalloproteinase gene stromelysin-3 coincides with thyroid hormone-induced cell death during frog metamorphosis. 1995, Pubmed , Xenbase
Pei, Leukolysin/MMP25/MT6-MMP: a novel matrix metalloproteinase specifically expressed in the leukocyte lineage. 1999, Pubmed
Pei, Furin-dependent intracellular activation of the human stromelysin-3 zymogen. 1995, Pubmed
Pei, Hydrolytic inactivation of a breast carcinoma cell-derived serpin by human stromelysin-3. 1994, Pubmed
Rao, Isolation of a tumor cell laminin receptor. 1983, Pubmed
Shi, The earliest changes in gene expression in tadpole intestine induced by thyroid hormone. 1993, Pubmed , Xenbase
Shi, Thyroid hormone regulation of apoptotic tissue remodeling: implications from molecular analysis of amphibian metamorphosis. 2001, Pubmed , Xenbase
Shi, Cloning and characterization of the ribosomal protein L8 gene from Xenopus laevis. 1994, Pubmed , Xenbase
Starkey, Cell surface and substrate distribution of the 67-kDa laminin-binding protein determined by using a ligand photoaffinity probe. 1999, Pubmed
Stolow, Identification and characterization of a novel collagenase in Xenopus laevis: possible roles during frog development. 1996, Pubmed , Xenbase
Têtu, Prognostic significance of stromelysin 3, gelatinase A, and urokinase expression in breast cancer. 1998, Pubmed
Uria, Matrix metalloproteinases and their expression in mammary gland. 1998, Pubmed
Vu, Matrix metalloproteinases: effectors of development and normal physiology. 2000, Pubmed
Wang, Thyroid hormone-induced gene expression program for amphibian tail resorption. 1993, Pubmed , Xenbase
Yoshizato, Biochemistry and cell biology of amphibian metamorphosis with a special emphasis on the mechanism of removal of larval organs. 1989, Pubmed
