|
Figure 1. Recombinant CKIε, but not CKIα, interacts with mPer1 and xDsh.(A) GST, GST-CKIε, or GST-CKIα was bound to glutathione sepharose, and then incubated with 35S-labeled mPer1 or xDsh. 10% of the mPer1 input and 25% of the xDsh input are shown. Coomassie stained gel shows the levels of GST fusion protein used for each pull-down. (B) Quantification of three independent experiments. Values are normalized against the amount of protein bound by GST-CKIε, and error bars represent standard deviation of the mean. |
|
Figure 2. Protein constructs used in this work.CKIα and -ε are shown with their conserved kinase domains in gray and black, respectively (89% similarity, 75% identity). The arrow indicates the position of residue 295 in CKIε, and the non-conserved, charged region of the protein is colored red. The filled arrowhead indicates the position of residue 319, where CKIε is conventionally truncated. The C-terminus contains autophosphorylation sites and is colored yellow. The open arrowhead and white bars indicate the position of residues N275 and R279 (CKIε), and I283 and T287 (CKIα). |
|
Figure 3. xDsh and mPer1 do not require CKIε's C-terminus for binding.(A, B) Purified GST, GST-CKIε, GST-CKIεΔC or GST-CKIεΔΔC were bound to glutathione sepharose and incubated with 35S-labeled xDsh or mPer1 as indicated. |
|
Figure 4. Residues 275 and 279 regulate binding to xDsh and mPer1.(A) Space-filling representation of CKIδ (PDB ID 1CKJ, [50]). Residues shown in cyan and red are conserved between CKIε and CKIδ, but not CKIα. Red residues N275 and R279 are solvent accessible and are chemically distinct in CKIα. Orange shading shows the position of the ATP binding cleft. (B) Binding of 35S-labeled mPer1 and xDsh to GST-CKIεΔC, GST-CKIεΔC N275A/R279A, or GST-CKIεΔC N275I/R279T was performed. (C) Quantification of three independent experiments. Values are normalized against the amount of protein bound by GST-CKIεΔC. |
|
Figure 5. The C-terminal tail enhances binding of xDsh and mPer1 to mutant CKIε.(A) GST, GST-CKIε, or GST-CKIε N275I/R279T was bound to glutathione sepharose and incubated with 35S-labeled xDsh or mPer1. (B) Quantification of three independent experiments. Values are normalized against the amount of protein bound by GST-CKIε. |
|
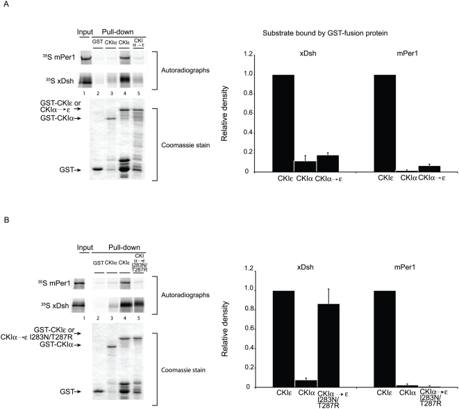
Figure 6. A. Neither xDsh nor mPer1 bind strongly to CKIα→ε.GST, GST-CKIε (partially purified) or GST- CKIα→ε, was bound to glutathione sepharose and incubated with 35S-labeled xDsh or mPer1. (B) GST, GST-CKIε, or GST- CKIα→ε I283N/T287R, was bound to glutathione sepharose and incubated with 35S-labeled xDsh or mPer1. The bar graphs represent quantification of three independent experiments. Values are normalized against the amount of protein bound to GST-CKIε. |
|
Figure 7. Autophosphorylation of CKIε inhibits binding by substrate and scaffolding proteins.Purified GST and GST-fusion proteins were bound to glutathione sepharose and bound GST-CKIε was incubated with SAP or ATP for 1 hour. Resin was incubated with 35S-Methionine-labeled xDsh, mAxin or mPer1. 10% of the mPer1and mAxin input and 25% of the xDsh input were run. Coomassie stained gel shows the levels of GST fusion protein used for each pull-down. |
|
Figure 8. Analysis of the binding of the C-terminal tail.(A) Full-length CKIε was incubated with either SAP or ATP prior to reaction with the EDC crosslinker. Lane 2 shows that there is no change in the apparent molecular weight of dephosphorylated CKIε. In lane 4, there is marked change in the migration of autophosphorylated, crosslinked CKIε (bracketed). Asterisk shows a high molecular weight species that may correspond to SAP-CKIε oligomers (lane 2). (B) Space-filling models of CKIδ are shown. The APBS plugin for PyMol (DeLano Scientific LLC) was used to establish electrostatic potential of solvent exposed atoms. Positively charged areas are shaded blue and correspond to basic regions of the protein; negatively charged regions are red, and correspond to acidic areas. The highly basic groove that has been postulated to be a phosphate recognition region is conservered across the CKI family. The two identified cross-linked residues are indicated with an X. The cartoon line on the left side diagram shows the position of the first 20 amino acids of the tail based on the crosslinking data. The dotted line on the right side shows the proposed extension of the tail onto the backside of the kinase. |
|
Figure 9. Model of inter- and intra-molecular interactions involving CKIε.Red blocked arrows represent inhibition of binding and green arrows represent positive binding interactions. (A–D) Back face of the kinase. (A) CKIε binds to Dsh and Per using different binding sites. (B) Mutation of CKIε N275 and R279 to the corresponding CKIα identity inhibits Dsh and Per binding; however, the C-terminal tail and at least one other residue in the kinase domain promote Per binding. (C) Changing two residues in CKIα to the CKIε identity along with adding CKIε's C-terminus enables Dsh to bind to CKIα. Per is unable to bind this chimeric kinase. (D) Binding of the autophosphorylated tail to the backside prevents the binding of substrates. Phosphorylated sites detected by mass spectrometry are shown on the tail. (E) View of the front side of the kinase. Left, CKIε's C-terminus is labile when it is not phosphorylated, and CKIε is able to bind to partners. Right, upon incubation with ATP, CKIε autophosphorylates and the C-terminus binds tightly to the back side of the kinase domain. This positions the peptide PEDLDRERREHDREER next to the active site and the phosphate recognition groove. The X's show identified crosslinks between the peptide and the kinase domain. |