Click here to close
Hello! We notice that you are using Internet Explorer, which is not supported by Xenbase and may cause the site to display incorrectly.
We suggest using a current version of Chrome,
FireFox, or Safari.
PLoS One
2009 Jan 01;45:e5522. doi: 10.1371/journal.pone.0005522.
Show Gene links
Show Anatomy links
Dpr Acts as a molecular switch, inhibiting Wnt signaling when unphosphorylated, but promoting Wnt signaling when phosphorylated by casein kinase Idelta/epsilon.
???displayArticle.abstract???
The Wnt pathway is a key regulator of development and tumorigenesis. Dpr (Dact/Frodo) influences Wnt signaling in part through the interaction of its PDZ-B domain with Dsh's PDZ domain. Studies have shown that XDpr1a and its close relative, Frodo, are involved in multiple steps of the Wnt pathway in either inhibitory or activating roles. We found that XDpr1a is phosphorylated by casein kinase Idelta/epsilon (CKIdelta/epsilon), an activator of Wnt signaling, in the presence of XDsh. Abrogating XDpr1a's ability to bind XDsh through mutation of XDpr1a's PDZ-B domain blocks CK1delta/epsilon's phosphorylation of XDpr1a. Conversely, XDsh possessing a mutation in its PDZ domain that is unable to bind XDpr1a does not promote XDpr1a phosphorylation. Phosphorylation of XDpr1a and XDsh by CKIdelta/epsilon decreases their interaction. Moreover, the phosphorylation of XDpr1a by CKIdelta/epsilon not only abrogates XDpr1a's promotion of beta-catenin degradation but blocks beta-catenin degradation. Our data suggest that XDpr1a phosphorylation by CKIdelta/epsilon is dependent on the interaction of XDpr1a's PDZ-B domain with XDsh's PDZ domain, and that the phosphorylation state of XDpr1a determines whether it inhibits or activates Wnt signaling.
???displayArticle.pubmedLink???
19440376 ???displayArticle.pmcLink???PMC2679210 ???displayArticle.link???PLoS One ???displayArticle.grants???[+]
Figure 1. XDsh promotes a CKIδ-mediated mobility shift of XDpr1a.A. XDpr1a exhibits a mobility shift in the presence of CKIδ and XDsh. In vitro transcribed and translated XDpr1a exhibits a mobility shift in the presence of purified CKIδ, and in the presence of in vitro transcribed and translated XDsh. The mobility shift is greater in the presence of both CKIδ and XDsh. XDsh also exhibits a mobility shift in the presence of CKIδ. The XDpr1a mobility shift present in lanes 2 and 3 is likely due to limiting amounts of endogenous XDsh and CKIδ in the reticulocyte lysates used in the in vitro transcription and translation, respectively. B. XDsh-mediated CKIδ phosphorylation of XDpr1a has little effect on XDpr1a abundance. Phosphorylation reactions were carried out as in A., but with the inclusion of luciferase as a loading control. XDpr1a and luciferase bands were quantitated, and the XDpr1a signal was normalized to that of luciferase. The luciferase-normalized signals were then normalized to that of XDpr1a alone. Error bars signify standard deviation (n = 3 trials).
Figure 2. XDsh promotes the phosphorylation of XDpr1a by CKIδ both in vitro and in vivo.A. XDsh induces a CKIδ-mediated phosphorylation of XDpr1a in vitro. Phosphorylation reactions were carried out in the presence of [35S]methionine-XDpr1a (lanes 1 and 2) or [γ-33P]ATP (lanes 3 and 4) and in the absence (lanes 1 and 3) or presence (lanes 2 and 4) of XDsh and CKIδ. Lanes 3 and 4 contain the immunopellet from an anti-Myc immunoprecipiation of [γ-33P]ATP-labeled Myc:XDpr1a. XDpr1a undergoes a gel-shift and shows increased incorporation of [γ-33P]ATP in the presence of XDsh and CKIδ. B. CKIε phosphorylates XDpr1a in vivo. HEK293 cells transfected with Flag:XDpr1a alone or with CKIε and XDsh were metabolically labeled with [32P]orthophosphoric acid prior to XDpr1a immunoprecipitation with anti-Flag antibodies. The cotransfection of CKIε and XDsh with XDpr1a induces a gel-shift and increases [32P]orthophosphoric acid incorporation into XDpr1a. This result is representative of experiments repeated three times with similar results.
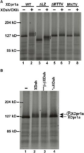
Figure 3. Mutations of XDpr1a or XDsh that block their mutual interaction also block CKIδ-mediated XDpr1 phosphorylation.A. Deletion or mutation of XDpr1a's PDZ-B domain blocks CKIδ-mediated XDpr1a phosphorylation. Deletion of the leucine zipper domain of XDpr1a (ΔLZ), which does not affect its ability to bind XDsh, does not affect the ability of XDpr1a to be phosphorylated by CKIδ, as exhibited by a mobility shift. XDpr1a containing a deletion (ΔMTTV) or a point mutation (MNTV) of its PDZ-B domain is not phosphorylated by CKIδ. The braces in lanes 2 and 4 bracket phosphorylated XDpr1a and ΔLZ, respectively. B. An Asn317Thr Mutation in XDsh's PDZ domain abrogates its promotion of XDpr1a phosphorylation. ***β-βXDsh, which contains Gln272Ala, Ser273Ala, and Glu275Ala mutations in a PDZ domain loop outside of the PDZ-B binding domain, promotes XDpr1a phosphorylation by CKIδ at a level similar to that of wild-type XDsh, while *αXDsh, which contains an Asn317Thr mutation in the PDZ-B binding domain within its PDZ domain, does not.
Figure 4. Phosphorylation of XDpr1a and XDsh by CKIδ reduces their interaction.A. Myc-tagged XDpr1a was immunoprecipitated in the presence of HA-tagged XDsh in the absence or presence of CKIδ. The presence of CKIδ reduced the coimmunoprecipitation of XDsh with XDpr1a. B. Quantitation of the relative coimmunoprecipitation (coIP) of XDsh with XDpr. The quantitation of the coimmunoprecipitation of XDsh with XDpr1a revealed that the presence of CKIδ reduced the interaction between XDpr1a and XDsh by approximately one-half when compared to the control. Error bars signify standard deviation.
Figure 5. Unphosphorylated XDpr1a promotes, but CKIδ-phosphorylated XDpr1a blocks, β-catenin degradation.Myc:XDpr1a was added to an in vitro β-catenin degradation assay after preincubation with or without CKIδ followed by anti-Myc immunoprecipitation. β-galactosidase preincubated with or without CKIδ was used as a control. Untreated XDpr1a promoted β-catenin degradation, whereas XDpr1a preincubated with CKIδ blocked β-catenin degradation. The data shown represent assays repeated six times.
Arce,
A proof-of-principle study of epigenetic therapy added to neoadjuvant doxorubicin cyclophosphamide for locally advanced breast cancer.
2006, Pubmed
Arce,
A proof-of-principle study of epigenetic therapy added to neoadjuvant doxorubicin cyclophosphamide for locally advanced breast cancer.
2006,
Pubmed Axelrod,
Differential recruitment of Dishevelled provides signaling specificity in the planar cell polarity and Wingless signaling pathways.
1998,
Pubmed
,
Xenbase Boutros,
Dishevelled: at the crossroads of divergent intracellular signaling pathways.
1999,
Pubmed
,
Xenbase Boutros,
Dishevelled activates JNK and discriminates between JNK pathways in planar polarity and wingless signaling.
1998,
Pubmed Cheyette,
Dapper, a Dishevelled-associated antagonist of beta-catenin and JNK signaling, is required for notochord formation.
2002,
Pubmed
,
Xenbase Cong,
Casein kinase Iepsilon modulates the signaling specificities of dishevelled.
2004,
Pubmed Gao,
Dapper1 is a nucleocytoplasmic shuttling protein that negatively modulates Wnt signaling in the nucleus.
2008,
Pubmed Gao,
Casein kinase I phosphorylates and destabilizes the beta-catenin degradation complex.
2002,
Pubmed
,
Xenbase Gloy,
Frodo interacts with Dishevelled to transduce Wnt signals.
2002,
Pubmed
,
Xenbase He,
Identification of c-MYC as a target of the APC pathway.
1998,
Pubmed He,
LDL receptor-related proteins 5 and 6 in Wnt/beta-catenin signaling: arrows point the way.
2004,
Pubmed Hendriksen,
Plasma membrane recruitment of dephosphorylated beta-catenin upon activation of the Wnt pathway.
2008,
Pubmed
,
Xenbase Hikasa,
The involvement of Frodo in TCF-dependent signaling and neural tissue development.
2004,
Pubmed
,
Xenbase Jiang,
DACT3 is an epigenetic regulator of Wnt/beta-catenin signaling in colorectal cancer and is a therapeutic target of histone modifications.
2008,
Pubmed Li,
Protein phosphatase 2A and its B56 regulatory subunit inhibit Wnt signaling in Xenopus.
2001,
Pubmed
,
Xenbase Liu,
Control of beta-catenin phosphorylation/degradation by a dual-kinase mechanism.
2002,
Pubmed
,
Xenbase Mann,
Target genes of beta-catenin-T cell-factor/lymphoid-enhancer-factor signaling in human colorectal carcinomas.
1999,
Pubmed Moriguchi,
Distinct domains of mouse dishevelled are responsible for the c-Jun N-terminal kinase/stress-activated protein kinase activation and the axis formation in vertebrates.
1999,
Pubmed
,
Xenbase Price,
CKI, there's more than one: casein kinase I family members in Wnt and Hedgehog signaling.
2006,
Pubmed Salic,
Control of beta-catenin stability: reconstitution of the cytoplasmic steps of the wnt pathway in Xenopus egg extracts.
2000,
Pubmed
,
Xenbase Schwarz-Romond,
Dynamic recruitment of axin by Dishevelled protein assemblies.
2007,
Pubmed Tetsu,
Beta-catenin regulates expression of cyclin D1 in colon carcinoma cells.
1999,
Pubmed Waxman,
Zebrafish Dapper1 and Dapper2 play distinct roles in Wnt-mediated developmental processes.
2004,
Pubmed
,
Xenbase Wharton,
Runnin' with the Dvl: proteins that associate with Dsh/Dvl and their significance to Wnt signal transduction.
2003,
Pubmed Wong,
Direct binding of the PDZ domain of Dishevelled to a conserved internal sequence in the C-terminal region of Frizzled.
2003,
Pubmed
,
Xenbase Yanagawa,
The dishevelled protein is modified by wingless signaling in Drosophila.
1995,
Pubmed Yau,
HDPR1, a novel inhibitor of the WNT/beta-catenin signaling, is frequently downregulated in hepatocellular carcinoma: involvement of methylation-mediated gene silencing.
2005,
Pubmed
,
Xenbase Zeng,
A dual-kinase mechanism for Wnt co-receptor phosphorylation and activation.
2005,
Pubmed
,
Xenbase Zhang,
Regulation of wingless signaling by the CKI family in Drosophila limb development.
2006,
Pubmed
,
Xenbase Zhang,
Dapper 1 antagonizes Wnt signaling by promoting dishevelled degradation.
2006,
Pubmed
,
Xenbase