Click here to close
Hello! We notice that you are using Internet Explorer, which is not supported by Xenbase and may cause the site to display incorrectly.
We suggest using a current version of Chrome,
FireFox, or Safari.
???displayArticle.abstract???
Vertebrate heart development is derived from paired primordia of anterior dorsolateral mesoderm expressing Nkx2.5 and GATA4 transcription factors. Yet growth factors and intracellular pathways specifying heart precursor gene expression are poorly understood. In the present work, we investigated the signaling events initiating Nkx2.5 expression in Xenopus laevis. We describe here that fibroblast growth factor (FGF) initiates the expression of Nkx2.5 without affecting GATA4. At gastrula, FGF3 is expressed in anterior neural ectoderm, and results presented here indicate that this tissue is involved in the induction of Nkx2.5 expression in neighboring lateral tissues. Further studies indicate that the intracellular p38MAPK and the CREB transcription factor function downstream of FGF to initiate Nkx2.5 expression. Activation of the p38MAPK pathway and of the CREB protein is both necessary and sufficient for the initial expression of Nkx2.5. Therefore, we would like to suggest that FGF expressed in anterior neural ectoderm is a major inducer of Nkx2.5 expression in neighboring cells. In these cells, FGF activates an intracellular p38MAPK signaling pathway and its downstream target, the CREB transcription factor, all participating in the expression of Nkx2.5 in cardiac progenitors.
Fig. 2. The p38MAPK pathway is involved in the early expression of Nkx2.5. (A) One of two blastomeres (upper panel) or two of two blastomeres (lower panel) were injected with p38α AMO, and the expression of Nkx2.5 and GATA4 was detected by in situ hybridization of stage 13 (top) and stage 33 (bottom) embryos. (B) p38α AMO was injected to embryos, and gene expression was assessed in three cardiac explant assays; DMZ explants (left), AC explants from Alk4-expressing embryos (middle) and VMZ explants from LiCl-treated embryos (right). At stage 15, total RNA was isolated and RT-PCR analysis was performed. (C) Transcripts encoding inactive MKK6 (MKK6A) were injected to one cell embryos, and DMZ explants (n = 18) were isolated and were grown to stage 15. Total RNA was isolated and RT-PCR analysis was performed. (D) Upper panel: Transcripts encoding MKK6E were injected to one of two blastomere embryos (n = 24). Embryos were allowed to develop to stage 14 and in situ hybridization was performed with a probe to Nkx2.5. The injected side was recognized by the staining of a β-Gal lineage tracer. Lower panel: Transcripts encoding MKK6E were injected to one cell embryos, VMZ explants (n = 18) were isolated and were grown to stage 14. Total RNA was isolated and RT-PCR analysis was performed.
Fig. 3. The CREB protein is involved in the expression of Nkx2.5 downstream of p38MAPK. (A) Stage 16 embryos were immunostained using an antibody to phospho-CREB (S133) (left) or analyzed by in situ hybridization with a probe to Nkx2.5 (right). (B) CREB AMO was injected to embryos, and gene expression was assessed in three cardiac explant assays; DMZ explants (left), AC explants from Alk4-expressing embryos (middle) and VMZ explants from LiCl-treated embryos (right). At stage 15 or stage 23, total RNA was isolated and RT-PCR analysis was performed. (C) Transcripts encoding VP16-CREB were injected to one of two blastomeres (right panel) or to two of two blastomeres (left panel). The expression of Nkx2.5 was detected by in situ hybridization (right panel) or by RT-PCR analysis on VMZ explants (n = 18) (left panel). (D) Different combinations of transcripts encoding activated MKK6 and CREB AMO were injected to embryos and VMZ explants were isolated and grown to stage 14 (left panel). Different combinations of transcripts encoding VP16-CREB and p38α AMO were injected to embryos and DMZ explants were isolated and grown to stage 14 (right panel). Total RNA was isolated and RT-PCR analysis was performed.
Fig. 4. FGF induces Nkx2.5 gene expression without affecting GATA4 gene expression. (A) Expression of FGF3 was detected on stage 13 embryos by whole-mount in situ hybridization (n = 20) (left). Stained embryos were transversely sectioned at the stained plane. One section is presented (right). Anterior transverse sections in stage 13 embryos followed by in situ staining with a probe to Nkx2.5. Nkx2.5 is expressed in lateralmesoderm of anterior section (bottom left). Adjacent sections immunostained with antibodies to phospho-CREB (S133). Red dots represent nuclear phospho-CREB staining. The embryo scheme indicates the plane section. (B) Transcripts encoding truncated FGF receptor (DN FGFR) were injected to embryos and DMZ explants (n = 36) were isolated and grown to stages 14 and 27. Total RNA was extracted and RT-PCR analysis was performed. (C) Transcripts encoding DN FGFR were injected to one cell embryos and the expression of GATA4 and Nkx2.5 was analyzed by in situ hybridization of stage 16 embryos. (D) VMZ explants were dissected from embryos injected with transcripts encoding DN FGFR or from control embryos. At stage 11, basic FGF (150 ng/ml) was added and explants were grown to stage 16. Total RNA was extracted and RT-PCR analysis was performed.
Fig. 5. Anterior neural ectoderm is necessary to induce mesodermal Nkx2.5 expression. (A) Transcripts encoding truncated BMP receptor were injected and AC explants (n = 36) were isolated and grown to stage 15. Half of the explants were used to extract RNA for RT-PCR analysis (upper) and the other half to extract proteins for Western analysis (lower). (B) Animal caps were removed at stages 8â9 from whole embryos. âMildly affectedâ embryos were allowed to grow to stage 15, and whole embryos were extracted and subjected to RT-PCR analysis of their RNA (upper) or to in situ hybridization with probes to Nkx2.5, MyoD, OTX2 and Krox20 (lower). (C) DMZ and VMZ explants were dissected at stage 10.25. Ectoderm was removed from some of the DMZ explants and was recombined with VMZ explants (pairs of VMZ: dorsal ectoderm) or grown alone (ecto.). At stage 15, total RNA was extracted and RT-PCR analysis was performed. (D) Several embryos were injected with mRNA encoding FGF8, and animal caps were removed at stages 8â9. Embryos were allowed to grow to stage 15 and in situ hybridization with probes to Nkx2.5 and MyoD was performed.
Fig. 1. Knockdown of p38α prevents heart development. (A) Anterior transverse sections of stage 38 control embryos with ventralheart structures, embryos injected with p38α AMO missing heart structures and embryos injected with p38α AMO and a transcript encoding mouse p38α with some heart structures. Sections were hematoxylinâeosin stained. (B) Anterior transverse sections of stage 46 control embryos or of embryos injected with p38α AMO. Sections were immunostained with antibodies to Troponin I (red) and counterstained with TO-PRO-3 (nuclear, blue). (C) Left panel: In situ hybridization staining of stage 30 embryos with a probe detecting myosin heavy chain α. At the two-cell stage, one blastomer was injected with p38α AMO (n = 38). Control group (n = 34) was not injected. Right panel: Embryos were injected with p38α AMO, DMZ explants (n = 18) were isolated and grown to stage 30. Total RNA was isolated and RT-PCR analysis was performed.
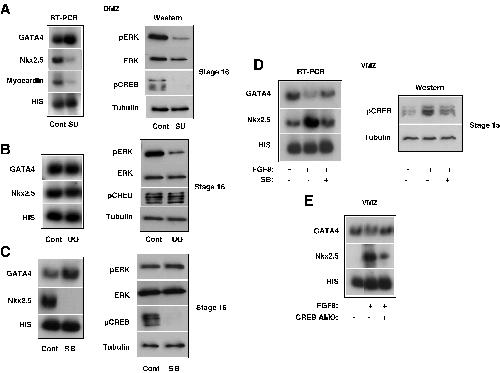
Fig.6. Induction of Nkx2.5 by FGF is mediated by p38MAPK and not by ERKMAPK. (A) DMZ explants (n = 36) were dissected and at stage 11 were cultured in SU 5402 (30 μM) and allowed to develop to stage 16. Half of the explants were used to extract RNA for RT-PCR analysis (left) and the rest were used to extract proteins for Western analysis (right). (B) DMZ explants were cultured and processed as above, except their incubation in U0126 (30 μM). (C) DMZ explants were cultured and processed as above, except their incubation in SB203580 (30 μM). (D) Transcripts encoding FGF8 were injected and VMZ explants (n = 36) were dissected and gown from stages 11 to 15 in the absence or presence of SB203580 (30 μM). Half of the explants were used to extract RNA for RT-PCR analysis (left) and the rest were used to extract proteins for Western analysis (right). (E) Different combinations of transcripts encoding FGF8 and CREB AMO were injected to embryos, and VMZ explants were dissected at stage 10+. RNA was extracted at stage 15 and RT-PCR analysis was performed.