|
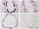
Fig. 1. Reprogramming of fibroblasts in the tail notochord. TH induces a change in gene expression in the tail that causes regression of the tail. In situ hybridization of adjacent sections with (AâC) collagen and (DâF) collagenase-3. (A, D) NF55 control; (B, E) 10 nM T3 for 2 days; (C, F) 10 nM T3 for 4 days. (scale bar = 40 μm). |
|
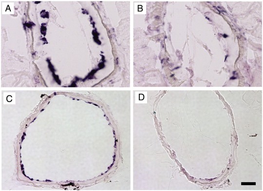
Fig. 2. The inhibition of fibroblast reprogramming. In situ hybridization with (A, C) collagen; (B, D) collagenase-3. (A, B) NF55 Col-TRDN transgenic tadpoles treated with 10 nM T3 for 4 days. (C, D) NF55 transgenic for ovine prolactin treated for 4 days with 10 nM T3. (scale bar = 40 μm). |
|
Fig. 3. Reprogramming of the skin in cross sections of the limb. In situ hybridization with A, B, C, G, H) tadpole keratin; D, E, F, I, J) adult keratin. Immunocytology with antibodies against (g) tadpole keratin; (i) adult keratin. Keratin is green and Dapi is blue. (A, D) NF55; (B, E) NF59; (C, F) adult frog; (G, g, I, i) NF55 treated with 10 nM T3 for 3 days; (H, J) NF55 treated with 10 nM T3 for 6 days. (g) Scale bar for g and i = 10 μm; for the in situ hybridization panels = 20 μm). |
|
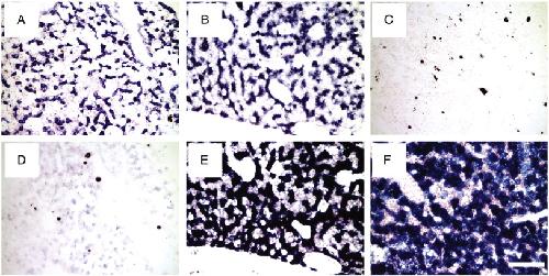
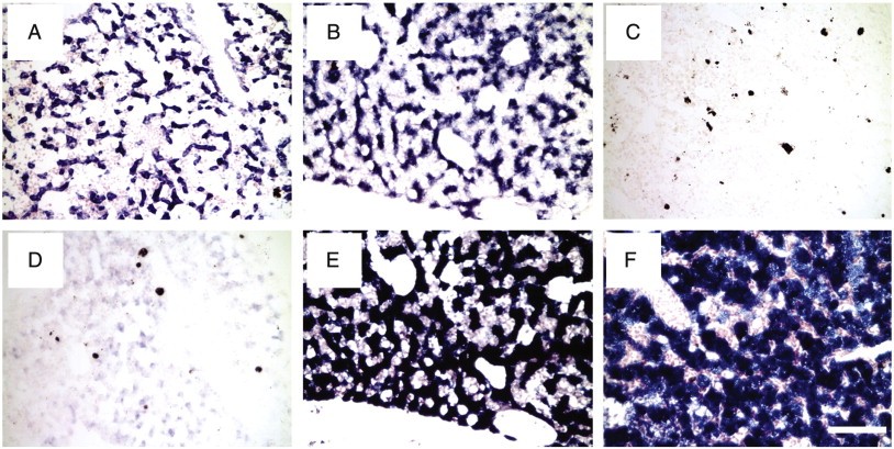
Fig. 4. Gene switching in liver parenchymal cells. In situ hybridization with (AâC) fetuin B; (DâF) serum albumin. (A, D) NF55; (B, E) NF60; (C, F) adult frog. Sections from the same stage are consecutive. Transition from larval to adult cell type happens at climax without significant cell replication or cell death. Scale bar = 100 μm. |
|
Fig. 5. The liver fatty acid binding protein (L-FABP) promoter from zebra fish expresses GFP specifically in the liver parenchymal cells. (A) Liver fluoresces in a low power ventral abdominal view of a NF55 tadpole transgenic for L-FABP-GFP; (B) section of the liver of the animal shown in (A) showing cytoplasmic expression of GFP in parenchymal cells. (C) Section of a NF55 liver of a tadpole transgenic for the tet inducible L-FABP-TRDN-GFP. This transgene is visualized in the nucleus. B and C are doubly stained with antibodies against E-cadherin (red) and GFP (green). Scale bar is 1 mm for A and 40 μm for B and C. |
|
Fig. 6. In situ hybridization of liver sections of control NF55 tadpoles and sibling tadpoles transgenic for the TRDN transgene driven by the L-FABP promoter under control of the tetracycline system. In all panels the tadpoles were incubated for 6 days with the inducer doxycycline followed by 3 days of 10 nM T3. (A, C, E, G) control NF55 tadpoles; (B, D, F, H) L-FABP-TRDN-GFP transgenic tadpoles. (A, B) fetuin B; (C, D) alcohol dehydrogenase; (E, F) CP450; (G, H) CPS. Scale bar = 40 μm. |
|
Fig. 8. Labelling of tadpole and adult red cells with BrdU at different times before and after TH treatment. (AâF) BrdU was injected 24 h before the addition of 10 nM T3. Three days later the livers were analyzed. (GâL) BrdU was injected after 48 h of 10 nM T3 treatment. The livers were isolated after another 24 h. (AâC and GâI) tadpole globin; (DâF and JâL) adult globin. (A, D, G, J) in situ hybridization (red). (B, E, H, K) BrdU immunocytology (green) of the adjacent sections; (C, F, I, L) merge of the adjacent two sections. Scale bar = 20 μm. |
|
Fig. 7. Switching of globin-containing red blood cells from larval type to adult type occurs at climax in the liver. In situ hybridization with (AâC) tadpole globin; (DâF) adult globin; (GâH) tadpole globin (red) and adult globin (purple). (A, D) NF55; (B, E, G, H) NF62; (C, F) frog liver. There was no co-localization of the two probes (G and H) at climax. Scale bar = 40 μm for AâF; 20 μm for G; 10 μm for H. |