|
Fig. 2. Expression of xPTP-PESTr. RT-PCR on RNA extracted from groups
of 10 embryos at various stages of development (A), 20 explants (B), or the
heart and liver of an adult male (C) using primer for xPTP-PESTr and ODC.
The negative control ( ) corresponds to RNA from Stage 36 embryos
treated in the absence of reverse transcriptase. (A) xPTP-PESTr-specific
amplification products appear as a double band at every embryonic stages
tested (arrowheads 1 and 2). (B) The two amplification products are
expressed in the ectoderm (Cap), the dorsal (DMZ) and ventral mesoderm
(VMZ), and the endoderm (Veg) of Stage 10.5 gastrula. (C) PCR performed
on liver and heart cDNA display the same amplification products than the
embryonic stage 10.5. The lower band (arrowhead 1) corresponds to the
size amplified from the EST, clone. The upper band (arrowhead 2)
corresponds to the splicing variant presented in Fig. 1A. |
|
Fig. 3. Biochemical interactions of xPTP-PESTr. (A, B) Immunoprecipitation of protein extracted from Stage 10.5 embryos either uninjected (NI) or injected
with myc-tagged-PTP-PEST (Wt) using antibodies to p130CAS, paxillin, or PACSIN2. (A) The presence of myc-PTP-PEST protein is visualized using the
myc-specific mAb 9E10 on either total extract (extract) or the various immunoprecipitates (IP). Myc-PTP-PEST is coprecipitated with p130CAS and Paxillin
but not PACSIN2. (B) The presence of each protein in the immunoprecipitates is controlled by reprobing the nitrocellulose membrane from Awith antibodies to
p130CAS, Paxillin, and PACSIN2. The arrowhead to the right indicates the expected bands for each antibody. (C) Protein extracts from Stage 20 embryos
injected with either the wild-type or C231S form of PTP-PEST were immunoprecipitated using the p130CAS antibody and compared to immunoprecipitates
from control embryos (NI). Immunocomplexes were probed using an antibody to phosphorylated tyrosine (PY20) or the p130CAS antibody. The presence of
the overexpressed Wt- or C231S-PTP-PEST was confirmed using the 9E10 mAb. Results from quantification of three independent experiments is plotted on
the right. Signal intensities have been normalized to the non injected control embryos (100%). The error bars correspond to the standard deviation from the
mean. The decrease of p130CAS phosphorylation is significant in the wild-type-expressing embryos (81 F 5.4%, P = 0.019) but not in embryos expressing the
C231S mutant (95 F 11.8%, P = 0.31). |
|
Fig. 4. Overexpression of xPTP-PESTr inhibits gastrulation. Embryos injected in the two blastomeres at two-cell stage were grown to late gastrula (Stage 13)
and treated by whole-mount in situ hybridization with the makers Sox2, brachyury (Xbra), and chordin. Embryos expressing the wild-type or the point mutant
C231S fail to close their blastopores (white double arrows) and their notochords (n) are shorter than the control (black vertical bar), indicating that gastrulation
did not occur properly. In some embryos, two notochord-like structures form around the yolk plug. The neural plate is present (Sox2) but the anterior part is
narrower (horizontal black bar) and the posterior portion splits around the yolk plug (y). |
|
Fig. 5. xPTP-PESTr overexpression induce ectoderm cell spreading on fibronectin. Animal cap ectoderm cells expressing GFP, the wild-type, or the C231S
mutant forms of Xenopus PTP-PEST were seeded on FN (10Ag/ml). Photographs were taken before (Stage 9) and after (Stage 10.5) sibling embryos initiated
gastrulation movements. Control cells expressing GFP were plated in the absence ( ) or presence (+) of the mesoderm inducing factor activin-A. Before
gastrulation, cells expressing either form of PTP-PEST spread on FN while control cells do not. During gastrulation, cells expressing Wt- or the C231S mutant
are fully spread and resemble activin-A-treated cells expressing GFP. |
|
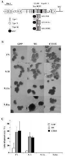
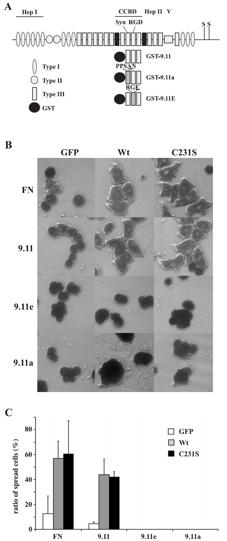
Fig. 6. The CCBD is sufficient to mediate xPTP-PESTr-induced cell
spreading. (A) Schematic representation of FN (FN) and the various GSTFN
fusion proteins used in the adhesion assay. The black rectangles
represent the EIIIA and EIIIB domains. The two heparin-binding domains
(HepI and HepII), the V region (V), and the Central Cell-Binding domain
(CCBD) are indicated. The RGD sequence in the 10th type III repeat and
the synergy domain (Syn) in the 9th type III repeats are also marked. The
point mutations in the 9.11a and 9.11e are indicated and the domains
mutated are represented in dark gray. (B) Adhesion assays were performed
as described in Fig. 4 on 10 Ag/ml of fibronectin (FN) or 6 Ag/ml of the
fusion proteins 9.11, 9.11e, and 9.11a. For counting purposes, cells are
considered spread when they display an asymmetrical shape with two or
more lamelliform protrusions. Wt- and C231S drastically increased cell
spreading when compared to GFP, on both fibronectin (FN) and the central
cell binding domain fusion protein (9.11). Cell spreading is never observed
on the mutated fusion protein 9.11a or 9.11e. (C) Histogram representing a
quantitative analysis from four independent experiments for FN and 9.11,
and two experiments for 9.11a and 9.11e. Error bars represent the standard
deviation from the mean. Statistical analysis shows that spreading in
response to wt- and C231S-PTP-PEST is significantly increased compared
to GFP on both FN and 9.11 ( P < 0.01). |
|
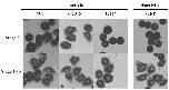
Fig. 7. a5h1 integrin is responsible for xPTP-PESTr-induced cell spreading
on fibronectin. (A) Photographs of gastrula-stage animal cap ectoderm cells
on FN (10 Ag/ml). Cells expressing GFP, the Wt- or C231S-PTP-PEST
were seeded in the presence or absence of a function blocking mAb directed
against integrin a5h1 (P8D4). (B) Histogram representing a quantitative
analysis of the experiments presented in A. The error bars represent the
standard deviation from the mean. The presence of P8D4 inhibits cell
spreading induced by both the wild-type and C231S mutant forms of xPTPPEST
to the same level as the GFP control ( P = 0.36). |
|
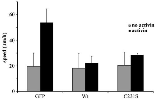
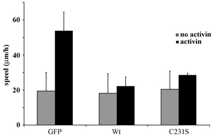
Fig. 8. xPTP-PESTr overexpression prevents activin-A-induced cell
migration on fibronectin. Animal cap ectoderm cells expressing GFP, Wt-,
or C231S-PTP-PEST proteins were seeded on FN (10 Ag/ml) with or
without activin-A. Measure of cell motility was performed on 10 cells for
each condition taking the nucleus as reference. Three independent experiments
were performed. The histogram represents the average migration
speed in Am/h for each condition. The error bars represent the standard
deviation from the mean. Activin-A treatment of control cells (GFP)
increases cell migration, while it has no effect on cells expressing either
forms of PTP-PEST. |
|
Fig. 9. xPTP-PESTr overexpression inhibits fibronectin fibrillogenesis and perturbs orientation of cell division. Blastocoel roofs (BCR) from embryos
expressing GFP, Wt-, or C231S-PTP-PEST were dissected at Stage 12, fixed, and processed for immunofluorescence. The FN fibrils of the BCR were detected
using a rabbit polyclonal antibody (32F; AâC). (DâF) Nuclei staining of the same fields as in AâC using DAPI. (A) BCR of GFP injected embryo shows
well-developed FN fibrils that connect each cell with its neighbors. (B) The BCR overexpressing wild-type xPTP-PESTr have FN only at cell âcell contacts
(arrowhead). (C) The BCR overexpressing C231S displays three types of fibrils: long fibrils that cross over up to three cells (arrowhead), very short fibrils with
more branching (arrow) and groups of parallel fibrils (double arrow and inset). (D) Nuclei staining of control cells reveals anaphase figures exclusively in the
plane of the BCR (double arrows). (E) BCR cells overexpressing Wt-PTP-PEST presents random cell division polarity: the metaphase plates show angles of
90j (arrow 1), 45j (arrow 2), or 0j (arrow 3) to the blastocoel roof plane. (F) In BCR overexpressing the C321S point mutant, cell divisions occur, as for the
control, along the BCR plane (double arrows). |
|
Fig. 10. xPTP-PEST perturbation does not affect cell intercalation in vivo. (A) Median optical section of early gastrula stage embryos (Stages 10 to 11)
expressing GFP (top), Wt- (middle), or the C231S-xPTP-PESTr mutant (bottom). The right panels correspond to higher magnification of the blastocoele (b)
roof. The various myc-tagged protein are detected using mAb 9E10 (green) while fibronectin is detected using 32F (red). The yellow color correspond to
regions of overlap. Thinning of the blastocoele roof at the onset of gastrulation down to three cell layers is observed in all experimental cases. (B) Animal cap
expressing either GFP, Wt-, or the C231S-PTP-PEST were cut at Stage 8 induced or not with 5 ng/ml of activin-A and grown until control embryos reached
Stage 15. While all animal cap expressing GFP extend in response to the activin treatment (GFP + activin, black arrowhead), elongation is dramatically reduced
in animal cap expressing either the Wt- or the C231S-PTP-PEST mutant. No extension is observed in the absence of activin ( activin). (C) Optical sections of
tailbud stage embryos (Stage 22) injected in one dorsal vegetal blastomere at the eight-cell stage. Anterior is to the left (Ant) and ventral is down (Vent). The
overexpressed proteins are detected using mAb 9E10 (green), while fibronectin is detected using 32F (red). Cells expressing either the Wt- (left panels) or the
C231S-PTP-PEST (right panels) can participate in dorsal and anterior structures (upper panels), including mesoderm from the head (h), somites (s), and
notochord. The lower panels represent a higher magnification of the notochord (n). The white arrowheads point to the fibronectin staining around the notochord
(left) and the somites (s, right). The staining pattern of green cells alternating with dark cells in the notochord indicates that cells expressing either Wt- (left) or
the C231S-PTP-PEST (right) can intercalate with nonexpressing cells to form the notochord. |