Click here to close
Hello! We notice that you are using Internet Explorer, which is not supported by Xenbase and may cause the site to display incorrectly.
We suggest using a current version of Chrome,
FireFox, or Safari.
Nucleic Acids Res
2009 Oct 01;3719:e126. doi: 10.1093/nar/gkp626.
Show Gene links
Show Anatomy links
Analysis of splicing patterns by pyrosequencing.
Méreau A, Anquetil V, Cibois M, Noiret M, Primot A, Vallée A, Paillard L.
???displayArticle.abstract???
Several different mRNAs can be produced from a given pre-mRNA by regulated alternative splicing, or as the result of deregulations that may lead to pathological states. Analysing splicing patterns is therefore of importance to describe and understand developmental programs, cellular responses to internal or external cues, or human diseases. We describe here a method, Pyrosequencing Analysis of Splicing Patterns (PASP), that combines RT-PCR and pyrosequencing of PCR products. We demonstrated that: (i) Ratios of two pure RNAs mixed in various proportions were accurately measured by PASP; (ii) PASP can be adapted to virtually any splicing event, including mutually exclusive exons, complex patterns of exon skipping or inclusion, and alternative 3' terminal exons; (iii) In extracts from different organs, the proportions of RNA isoforms measured by PASP reflected those measured by other methods. The PASP method is therefore reliable for analysing splicing patterns. All steps are done in 96-wells microplates, without gel electrophoresis, opening the way to high-throughput comparisons of RNA from several sources.
Figure 1. Flow-chart of the PASP method. See text for details.
Figure 2. Comparison of radioactive and PASP methods to analyse splicing patterns of two mutually exclusive exons. (A) Schematic of Xenopus α-tropomyosin pre-mRNA and the two alternative mature isoforms (6A and 6B). Exons are represented by boxes and introns by lines. (B) RNAs containing either the exon 6A or the exon 6B of Xenopus α-tropomyosin were obtained by in vitro transcription and mixed in the indicated proportions (6B%). In all mixes, the total amount of RNA was 1 ng. RNAs were reverse-transcribed using random primers and PCR-amplified using a radiolabelled (as indicated by the star) forward primer complementary to exon 5 and a reverse primer complementary to exon 7. One-third of the PCR products was electrophoresed in a native acrylamide gel (upper panel), and the other two-thirds were digested by either BstNI or AvaII before electrophoresis (middle and lower panels, respectively). On the sides of the gels are indicated the positions of the restriction sites BstNI (B, in exon 6B) and AvaII (A, in exon 6A) as well as the sizes of the radiolabelled restriction fragments. (C) The percentages of exon 6B calculated from the proportion of DNA left intact after AvaII restriction (upper panel) or cut by BstNI (lower panel) were plotted versus the proportion of exon 6B in the initial RNA mixture. (D) Positions of the biotinylated forward (fwd), reverse (rev) and sequencing (s) primers used for PASP of α-tropomyosin. Exons 6A and 6B are in light and dark grey, respectively. Inverse complementary of the sequencing primer is underlined (note that 5′–3′ orientation is from right to left). Boxed CTC is a trinucleotide that is present in both 6A and 6B PCR products and is immediately downstream of the sequencing primer. Three representative pyrograms corresponding to the indicated proportions of 6A and 6B RNA are shown with the nucleotide (Nt) dispensation order. E and S stand for enzyme and substrate, respectively. (E) One nanogram of total RNA containing various proportions of 6A and 6B isoforms was reverse transcribed, PCR amplified for 35 cycles, and submitted to PASP analysis. The proportions of exon 6B calculated from the ratios of peak heights in pyrograms [100 × G7/(G7 + G9)] were plotted versus the proportions of exon 6B in the initial RNA mixture.
Figure 3. Quality controls of PASP. RNAs containing exons 6A or 6B were mixed in the indicated proportions (6B%) to a total amount of 1, 10 and 100 ng and reverse-transcribed, except for lanes 4, 8 and 12 where the reverse transcriptase was omitted. The resulting cDNAs were PCR-amplified for 25 cycles in a total volume of 50 µl. Five microlitres of the PCR products were electrophorised on a native agarose gel in the presence of Syber-Green and the gel was photographed. The remaining PCR products were submitted to PASP with the same dispensation order as in Figure 2D. QCs 1 and 2 were calculated as described in text and the values are given below each lane.
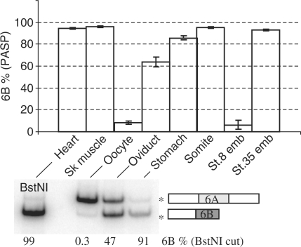
Figure 4. PASP of α-tropomyosin in Xenopus embryos and organs. RNAs were extracted from oocytes, stage 8 or 35 embryos, dissected embryonic somites or the indicated adult organs, and α-tropomyosin-splicing patterns were analysed by PASP. The percentages of exon 6B (mean ± SD of six independent RNA preparations) are shown (upper panel). Adult heart, oviduct stomach, and oocyte RNA were also analysed by radioactive RT–PCR as in Figure 2B (lower panel). The percentages of 6B exon (restricted by BstNI) are indicated under the gel.
Figure 5. PASP analysis of Tnnt2 splicing in mice. (A) Schematic drawing of mouse Tnnt2 pre-mRNA and of the alternative isoforms of Tnnt2 mRNA. The positions of the primers for pyrosequencing are shown. Primer s1 hybridizes in the constitutive exon 3 and sequences either exon 4 (isoforms 4 and 9), exon 5 (isoform 5) or constitutive exon 6 (isoform ref, reference). Primer s2 hybridizes in exon 4 and sequences either exon 5 or exon 6, hence it discriminates between isoforms 4 and 9. (B) PASP of Tnnt2 in the hearts or the skeletal muscles of three different adult or foetal mice using primer s1 or s2 as indicated (two left panels). The right panel (s1 + s2) combines the data shown in the two left panels to calculate the percentages of the four Tnnt2 isoforms. (C) Mean ± SD values were calculated from the above data. Inclusion of exon 4 corresponds to isoforms 4 and 9, and inclusion of exon 5 corresponds to isoforms 5 and 9.
Figure 6. Combined PASP and 3′RACE to analyse splicing of alternative 3′ terminal exons. (A) Schematic drawing of the 3′ terminal part of Xenopus α-tropomyosin pre-mRNA. Constitutive exon 8 can be spliced to exon 9D to generate isoform O5. Alternatively, it can be spliced to exon 9A9′. Exon 9A9′ can be used as the terminal exon (yielding isoform α7) or can be spliced to exon 9B via an alternative internal 5′ splice site to create isoform α2. In 3′RACE-PASP, an anchored oligo(dT) primer is used for RT, and a biotinylated reverse oligonucleotide corresponding to the anchor is used for PCR together with a forward primer in constitutive exon 8. Sequencing primer s1 hybridizes within constitutive exon 8, to discriminate between exon 9D, isoform O5, and 9A, isoforms α2 plus α7. Sequencing primer s2 hybridizes within exon 9A, to discriminate between exon 9′, isoform α7, and 9B, isoform α2. (B) 3′RACE-PASP of α-tropomyosin in the indicated tissues. Shown are the results obtained using sequencing primers 1 and 2 (mean ± SD of three different animals), and the results calculated from combining these two sequencings.
Ahmadian,
Pyrosequencing: history, biochemistry and future.
2006, Pubmed
Ahmadian,
Pyrosequencing: history, biochemistry and future.
2006,
Pubmed Alderborn,
Determination of single-nucleotide polymorphisms by real-time pyrophosphate DNA sequencing.
2000,
Pubmed Ben-Dov,
Genome-wide analysis of alternative pre-mRNA splicing.
2008,
Pubmed Bentley,
The imprinted region on human chromosome 7q32 extends to the carboxypeptidase A gene cluster: an imprinted candidate for Silver-Russell syndrome.
2003,
Pubmed Bhathena,
Frequency of the frame-shifting CYP2D7 138delT polymorphism in a large, ethnically diverse sample population.
2007,
Pubmed Blanchette,
Global analysis of positive and negative pre-mRNA splicing regulators in Drosophila.
2005,
Pubmed Bustin,
Absolute quantification of mRNA using real-time reverse transcription polymerase chain reaction assays.
2000,
Pubmed Clark,
Genomewide analysis of mRNA processing in yeast using splicing-specific microarrays.
2002,
Pubmed Duriez,
Alternative splicing of Xenopus alphafast-tropomyosin pre-mRNA during development: identification of determining sequences.
2000,
Pubmed
,
Xenbase Frey,
Quantification of G protein Gaalphas subunit splice variants in different human tissues and cells using pyrosequencing.
2005,
Pubmed Hamon,
Polypyrimidine tract-binding protein is involved in vivo in repression of a composite internal/3' -terminal exon of the Xenopus alpha-tropomyosin Pre-mRNA.
2004,
Pubmed
,
Xenbase Hardy,
Characterization of muscle and non muscle Xenopus laevis tropomyosin mRNAs transcribed from the same gene. Developmental and tissue-specific expression.
1991,
Pubmed
,
Xenbase Ho,
Transgenic mice expressing CUG-BP1 reproduce splicing mis-regulation observed in myotonic dystrophy.
2005,
Pubmed Johnson,
Genome-wide survey of human alternative pre-mRNA splicing with exon junction microarrays.
2003,
Pubmed Kafert,
Differential quantitation of alternatively spliced messenger RNAs using isoform-specific real-time RT-PCR.
1999,
Pubmed Klinck,
Multiple alternative splicing markers for ovarian cancer.
2008,
Pubmed Le Sommer,
PTB regulates the processing of a 3'-terminal exon by repressing both splicing and polyadenylation.
2005,
Pubmed
,
Xenbase Pan,
Revealing global regulatory features of mammalian alternative splicing using a quantitative microarray platform.
2004,
Pubmed Schmucker,
Drosophila Dscam is an axon guidance receptor exhibiting extraordinary molecular diversity.
2000,
Pubmed Shaw,
Promoter methylation of P16, RARbeta, E-cadherin, cyclin A1 and cytoglobin in oral cancer: quantitative evaluation using pyrosequencing.
2006,
Pubmed Sugnet,
Unusual intron conservation near tissue-regulated exons found by splicing microarrays.
2006,
Pubmed Sun,
Quantification of allele-specific G-protein beta3 subunit mRNA transcripts in different human cells and tissues by Pyrosequencing.
2005,
Pubmed Szafranski,
Violating the splicing rules: TG dinucleotides function as alternative 3' splice sites in U2-dependent introns.
2007,
Pubmed Tost,
Analysis of gene-specific DNA methylation patterns by pyrosequencing technology.
2007,
Pubmed Wagner,
Quantification of alternatively spliced FGFR2 RNAs using the RNA invasive cleavage assay.
2003,
Pubmed Wang,
Splicing in disease: disruption of the splicing code and the decoding machinery.
2007,
Pubmed Wang,
Splicing regulation: from a parts list of regulatory elements to an integrated splicing code.
2008,
Pubmed Yeo,
Alternative splicing events identified in human embryonic stem cells and neural progenitors.
2007,
Pubmed Zhang,
Dye-free gene expression detection by sequence-tagged reverse-transcription polymerase chain reaction coupled with pyrosequencing.
2009,
Pubmed