Click here to close
Hello! We notice that you are using Internet Explorer, which is not supported by Xenbase and may cause the site to display incorrectly.
We suggest using a current version of Chrome,
FireFox, or Safari.
???displayArticle.abstract???
The thyroid gland synthesizes thyroxine (T4), which passes through the larval tadpole's circulatory system. The enzyme type II iodothyronine deiodinase (D2) converts thyroxine (T4) to the active hormone 3,5,3'-triiodothyronine (T3) in peripheral tissues. An early response to thyroid hormone (TH) in the Xenopus laevis tadpole is the stimulation of cell division in cells that line the brain ventricles, the lumen of the spinal cord, and the limb buds. These cells express constitutively high levels of D2 mRNA. Exogenous T4 induces early DNA synthesis in brain, spinal cord, and limb buds as efficiently as T3. The deiodinase inhibitor iopanoic acid blocks T4- but not T3-induced cell division. At metamorphic climax, both TH-induced cell division and D2 expression decrease in the brain. Then D2 expression appears in late-responding tissues including the anterior pituitary, the intestine, and the tail where cell division is reduced or absent. Therefore, constitutive expression of D2 occurs in the earliest target tissues of TH that will grow and differentiate, while TH-induced expression of D2 takes place in late-responding tissues that will remodel or die. This pattern of constitutive and induced D2 expression contributes to the timing of metamorphic changes in these tissues.
Fig. 1. Constitutive localization of D2 mRNA expression in the embryonic
brain. Dorsal view of a whole-mount in situ hybridization of a stage 35
albino X. laevis embryo using a D2 probe. The scale bar is 1 mm. The solid
arrow is the otic vesicle; and the open arrows point to the brainventricle.
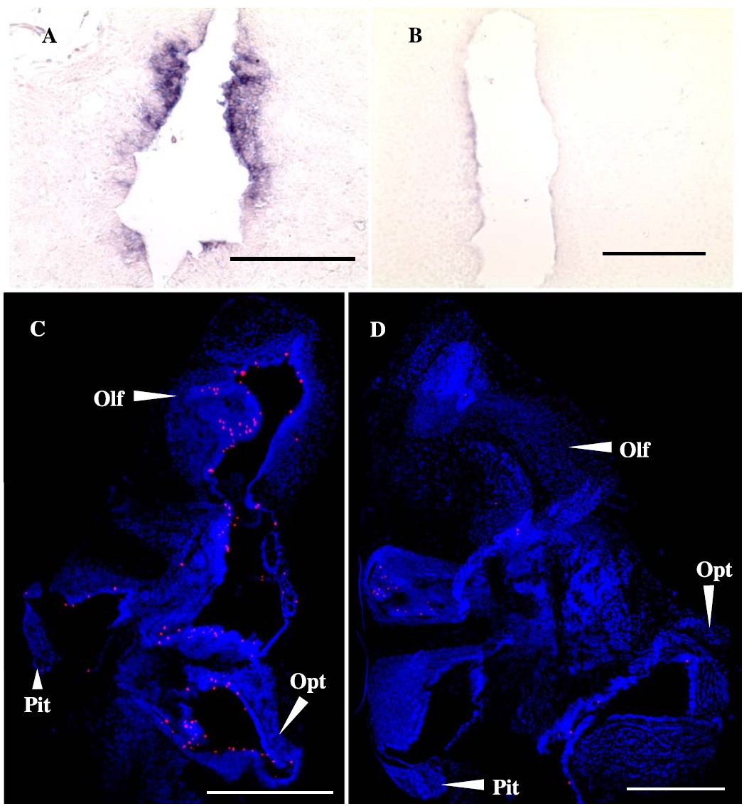
Fig. 2. D2 expression and cell proliferation are colocalized in the tadpolebrain. (A, C) Stage 53; (B, D) Stage 63. (A, B) D2 in situ hybridization. The scale bar
is 200 Am. (C, D) Sagittal sections immunostained for PH3 (red) and stained with DAPI (blue). Anterior is up and dorsal is right. Olf, olfactory lobe; Opt, optic
tectum; Pit, pituitary. The scale bar is 1 mm.
Fig. 3. Cell proliferation in the X. laevis brain is induced by T4 if there is D2 activity. Stage 53 tadpoles were treated with methimazole for several weeks to
eliminate endogenous TH then induced with hormone for 4 days. In all panels, blue is DAPI and red is PH3. A and B are sagittal sections; C and D are dorsal
views of brain whole mounts. (A) No TH; (B) 10 nM T3 showing cell division induced in the cells lining the ventricles; (C) iopanoic acid added 2 h before 3
nM T4; (D) 3 nM T4 for 4 days without iopanoic acid. All the scale bars are 1 mm.
Fig. 4. Cell proliferation in the X. laevis spinal cord is induced by T4 if there is D2 activity. Stage 51 tadpoles were pretreated with methimazole then induced
with hormone for 4 days. A, C, and D were doubly stained with DAPI (blue) and PH3 (red). A and C are whole mounts; B and D are the same cross section of
the spinal cord shown in C. (A) Iopanoic acid added 2 h before 3 nM T4; (B) D2 in situ hybridization; (C) 3 nM T4 without iopanoic acid. Scale bars: (A, C) 1
mm; (B, D) 200 Am.
Fig. 5. Expression of D2, TRa, and RXRa mRNA (from left to right) in stage 52 hind limb buds. Cross sections containing hind limb bud are attached to the
body at the anterior level of the tail. The scale bar is 500 Am.
Fig. 6. Developmental expression of the D2 gene in the X. laevis pituitary. Sagittal sections of the pituitary region of the brain from stages 54, 60, and 64 (left to
right) were doubly hybridized with D2 and POMC (upper row), and in adjacent sections with TSHh and POMC (lower row). There is no overlap in cells that
express POMC and D2 or cells that express POMC and TSHh. The scale bar is 200 Am.
Fig. 7. Developmental expression of D2 in the X. laevis tail at different stages during metamorphosis. The lower figure is an Haematoxylin and Eosin (HE)
stained section adjacent to the stage 63 section used for the in situ hybridization just above it. The scale bar is 1 mm.
Fig. 8. Developmental expression of D2 in the small intestine at different stages during the metamorphic climax. The lower figures are HE-stained sections
adjacent to the in situ hybridized sections just above them. The scale bar is 200 Am.